PENFIGO Flashcards

(65 cards)

1
Q

¿Qué es el pénfigo?

A
  • Enfermedad ampollosa autoinmune. Intraepidérmica.
  • Anticuerpos IgG contra desmogleínas → pérdida de adhesión entre queratinocitos (acantólisis) → ampollas flácidas
  • Signo de Nikolsky positivo.
How well did you know this?
1
Not at all
2
3
4
5
Perfectly
2
Q

¿Qué dice Bolognia sobre la ruptura de adhesión en pénfigo?

A

Inicia por inhibición funcional de DSG1/DSG3 (anticadherinas)

How well did you know this?
1
Not at all
2
3
4
5
Perfectly
3
Q

¿Qué tipo de ampollas presentan TODOS los pénfigos?

A
  • Ampollas flácidas
  • Nikolsky (+)
    (ambos signos son compartidos)
How well did you know this?
1
Not at all
2
3
4
5
Perfectly
4
Q

¿Cuáles son las tres formas principales de pénfigo?

A
  • Pénfigo vulgar
  • Pénfigo foliáceo
  • Pénfigo paraneoplásico
How well did you know this?
1
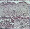
Not at all
2
3
4
5
Perfectly
5
Q

¿Qué anticuerpos tiene el pénfigo vulgar?

A
  • IgG vs DSG3 (predominio mucoso)
  • Mucocutáneo: IgG vs DSG3 y DSG1
How well did you know this?
1
Not at all
2
3
4
5
Perfectly
6
Q

¿Qué anticuerpos tiene el pénfigo foliáceo?

A

IgG vs DSG1 → solo afecta piel, no mucosas

How well did you know this?
1
Not at all
2
3
4
5
Perfectly
7
Q

¿Qué anticuerpos tiene el pénfigo paraneoplásico?

A
  • IgG vs DSG1 y DSG3 + anticuerpos antiplakina
  • Reacción autoinmune T → dermatitis de interfase
How well did you know this?
1
Not at all
2
3
4
5
Perfectly
8
Q

¿Con qué neoplasias se asocia el pénfigo paraneoplásico?

A
  • Cáncer
  • Linfoma no Hodgkin
  • LLC
    (“no se les mejora nunca a menos que les curen el cáncer”)
How well did you know this?
1
Not at all
2
3
4
5
Perfectly
9
Q

¿Cuál es la relación hombre:mujer y edad de inicio en pénfigo?

A
  • H:M = 1:1
  • Inicio 50–60 años
  • Incidencia: 0.76–5 por millón/año
How well did you know this?
1
Not at all
2
3
4
5
Perfectly
10
Q

Paso 1 de la patogénesis del pénfigo

A

Autoanticuerpos IgG contra la superficie celular del queratinocito

How well did you know this?
1
Not at all
2
3
4
5
Perfectly
11
Q

Paso 2 de la patogénesis: ¿qué pasa con las desmogleínas?

A

Inhibición funcional de DSG → pérdida de adhesión celular → ampollas.

How well did you know this?
1
Not at all
2
3
4
5
Perfectly
12
Q

¿Cuáles son los antígenos principales en el pénfigo?

A

Desmogleínas:
* DSG3 → mucosa (pénfigo vulgar)
* DSG1 → piel superficial (pénfigo foliáceo)

How well did you know this?
1
Not at all
2
3
4
5
Perfectly
13
Q

¿Qué respuesta inmune ocurre en el pénfigo paraneoplásico?

A
  • Autoinmunidad humoral (Ac vs Ag)
  • autoinmunidad celular (citotoxicidad de LT)
How well did you know this?
1
Not at all
2
3
4
5
Perfectly
14
Q

¿Qué alelos HLA se asocian a pénfigo?

A
  • HLA II DRB1*0402
  • HLA II DRB1*1401
  • HLA II DQB1*0302
  • HLA DRB1*14
  • HLA DQB1*0503

no de memoria

How well did you know this?
1
Not at all
2
3
4
5
Perfectly
15
Q

¿Qué tipo de inmunoglobulina aparece en el “pénfigo IgA”?

A

IgA contra superficie celula

How well did you know this?
1
Not at all
2
3
4
5
Perfectly
16
Q

¿Qué estructura ataca DSG3 y en qué subtipo?

A
  • Mucosa
  • Pénfigo vulgar (DSG3 → mucosa)
How well did you know this?
1
Not at all
2
3
4
5
Perfectly
17
Q

DSG1 afecta… ¿piel o mucosa?

A
  • Piel superficial
  • Pénfigo foliáceo
  • No afecta mucosas
How well did you know this?
1
Not at all
2
3
4
5
Perfectly
18
Q

¿Las ampollas del pénfigo son tensas o flácidas?

A
  • Flácidas
  • Se rompen fácil → erosiones (por acantólisis intraepidérmica)
How well did you know this?
1
Not at all
2
3
4
5
Perfectly
19
Q

¿Qué signo ayuda al diagnóstico del pénfigo?

A

Nikolsky (+)
(se desprende la piel con fricción)

How well did you know this?
1
Not at all
2
3
4
5
Perfectly
20
Q

Lesiones características del pénfigo vulgar

A
  • Ampollas flácidas, intraepidérmicas, dolorosas
  • Se ven más erosiones que ampollas
  • Ruptura fácil → erosiones extensas
  • Todo px con PV tiene afectación oral
  • Nikolsky (+)
    IMAGEN: vesículas flácidas + erosiones
How well did you know this?
1
Not at all
2
3
4
5
Perfectly
21
Q

¿Qué porcentaje de lesiones cutáneas del PV aparece en áreas seborreicas?

A

90% (tórax anterior/posterior + cuero cabelludo)

How well did you know this?
1
Not at all
2
3
4
5
Perfectly
22
Q

¿Siempre hay afectación mucosa en el PV?

A

Sí. Siempre presente.
(Bolognia p.505)

How well did you know this?
1
Not at all
2
3
4
5
Perfectly
23
Q

Hallazgo inmunológico clave del PV

A
  • IgG intercelular en todo el estrato
  • Anti-DSG3 predominante
How well did you know this?
1
Not at all
2
3
4
5
Perfectly
24
Q

¿Todos los px con PV tienen afectación oral?

A

Sí, 100% la tienen
* Erosiones orales dolorosas
* Pueden afectar: mucosa bucal, paladar, encía, lengua

How well did you know this?
1
Not at all
2
3
4
5
Perfectly
25
Presentación cutánea típica en PV
* Ampollas flácidas * Lesiones erosivas * Hemorragia * Costras
26
¿Cómo es el líquido dentro de las ampollas en PV?
Transparente, puede ser hemorrágico o seropurulento
27
¿Sangran fácil las erosiones del PV?
* Sí, sangran fácil * Forman costras * No cicatrizan → dejan hiperpigmentación
28
Mortalidad del PV
1.6–12%
29
¿PV tiene prurito?
Poco prurito
30
Profundidad de las ampollas en PF
Muy superficiales (granular)
31
¿Afecta mucosa el PF?
* NO * Solo afecta piel
32
¿Las lesiones del PF son iguales entre sí?
* Sí, son exactamente iguales y múltiples * Control más difícil aunque el PV es más aparatoso
33
Tipo de escamas típicas en PF
Cornflakes
34
Localización típica del PF
Lesiones costrosas, seborreicas Scalp, cara, tronco
35
¿Cómo progresa el PF?
* Vesículas frágiles → erosiones * Escama costrosa generalizada
36
¿Con qué neoplasias se asocia el pénfigo paraneoplásico?
* Linfoma no Hodgkin * LLC * 1/3 otros tumores (Castleman, timomas, sarcomas, macroglobulinemia)
37
Lesiones clave del **pénfigo paraneoplásico**
* Erosiones orales severas * Estomatitis intratatable * Ulceración hasta borde bermellón * Conjuntivitis cicatrizante * Manifestaciones polimorfas
38
¿Por qué tienen mal pronóstico?
Bronquiolitis obliterante → muerte (por daño alveolar masivo)
39
Mortalidad del pénfigo paraneoplásico
75–90%
40
Supervivencia del paraneoplásico
* 1 año: 49% * 2 años: 41% * 5 años: 38%
41
Lesiones del **pénfigo IgA**
* Vesículas o pústulas flácidas * Sobre piel eritematosa o normal * Tienden a confluir → patrón anular * Costra central * Axilas e ingles > Frecuente IMAGEN: pústulas “sunflower-like”
42
Patrón clásico de las pústulas en IgA
“Sunflower-like” (girasol)
43
Infiltrado típico del pénfigo IgA
Neutrófilos intraepidérmicos
44
¿En qué edad aparece el pénfigo IgA?
Mediana o avanzada edad
45
Prevalencia del pénfigo IgA
<3%
46
Diagnóstico diferencial del pénfigo IgA
* Dermatosis pustulosa subcórnea * Se diferencia por IFD/IFI
47
¿Qué fármacos pueden inducir pénfigo?
* Penicilamina * Captopril * β-lactámicos * Checkpoint inhibitors
48
Hallazgo de biopsia en pénfigo
Ampolla intraepidérmica + acantólisis
49
¿Qué muestra la IF directa (IFD) en pénfigo?
* Depósitos de IgG y C3 intercelular * Patrón en “panal de abeja” FOTO: la imagen verde de IF en red intercelular
50
¿Qué detecta la IF INDIRECTA (IFI) en pénfigo?
AutoAc IgG circulantes (En pénfigo vulgar y foliáceo)
51
¿Qué detecta ELISA en pénfigo?
* Anti-DSG1 * Anti-DSG3
52
¿Dónde se localiza la inmunofluorescencia en pénfigo vs penfigoide?
* Pénfigo: en epidermis, entre los queratinocitos * Penfigoide: membrana basal
53
Estudios complementarios sugeridos en pénfigo
* BH, urea, electrolitos, PFH * Glucemia, HbA1c, lípidos * ANA * EGO * TAC tórax–abdomen–pelvis (indispensable en sospecha paraneoplásico)
54
Histología del pénfigo vulgar
* **Intraepidérmica suprabasal** * “Fila de lápidas” (queratinocitos basales adheridos) * Dermis con infiltrado inflamatorio
55
Histología del pénfigo foliáceo
* Acantholisis epidérmica superior (granulosa) * Queratinocitos acantolíticos unidos al techo o piso de la ampolla * Epidermis profunda intacta
56
Histología del pénfigo paraneoplásico
* Mixto: similar a PV, EM y LP * Ampollas intactas + acantólisis suprabasal * Necrosis de queratinocitos aislados * Linfocitos en epidermis * Dermatitis de interfase, degeneración vacuolar
57
Primera línea de tratamiento según Bolognia
Corticoides sistémicos (Respuesta rápida)
58
Medicamentos “esteroide-sparing” para pénfigo
* Rituximab (1ª línea en moderado–severo) * Micofenolato * **Azatioprina** (pero el que más se usa es este!!!) * IVIG
59
Tratamiento localizado del pénfigo
* Corticoesteroides tópicos * Tacrolimus tópico * Doxiciclina * Corticoides sistémicos * Dapsona * Vitamina B3
60
Tratamiento para pénfigo extenso (>10 ampollas/día)
* Corticoesteroide sistémico * AZA / MFM / Doxiciclina + Vit B3 * MTX * Clorambucil
61
Criterio de control en pénfigo
* No nuevas lesiones en 2 semanas * 80% en resolución
62
¿Qué es recaída en pénfigo?
* Nuevas lesiones que no sanan en una semana * Más de 3 lesiones = grave * Regresar a la dosis previa sin actividad
63
Tratamiento de pénfigo resistente
* IVIG * Inmunoabsorción * Anti-CD20 / Anti-IgE * Ciclofosfamida * Plasmaféresis
64
Rituximab en pénfigo
* Primera línea en moderado-severo * Ahorra esteroide * Alta eficacia
65
¿Para qué se usa dapsona en pénfigo?
* Alternativa en formas localizadas * Especialmente útil en IgA