Respiratory Epithelium is comprised primarily of ___epithelium.

pseudostratified ciliated columnar
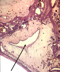
)__ cartilage is in this tracheal ring

hyaline
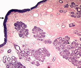
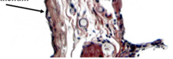
this is a SINUS in a slide of the ____

nasal fossa
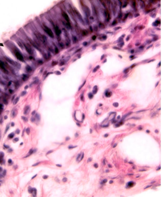
Within each conchae is a ____ bone which stains an intense even purple

turbinate
____ bone in nasal fossa

turbinate

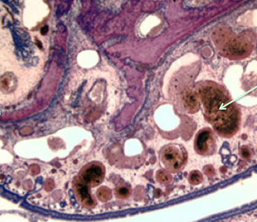
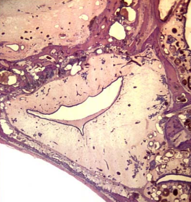
swell bodies

swell bodies
what is the function of this?

Bowman’s glands
produce proteinaceous serous secretions to clear cilia and facilitate access of new odorants.
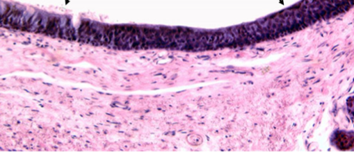
olfactory epithelium, which consists of__ and ____, and the bipolar neurons known as olfactory cells

basal cells, supporting cells

there is a lack of CILIA in ___ epithelium

olfactory
this is a slide of the ___

larynx
this is ___ cartilage

cricoid cartilage (from larynx slide)
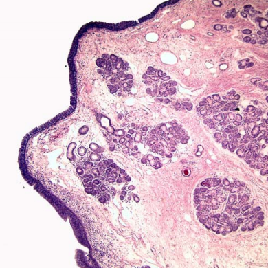
this is the larynx in the region of the ____

vestibular fold
2/ serous and mucuous glands
how do you know this is a vestibular fold of larynx?

respiratory epithelium with goblet cells and basal bodies
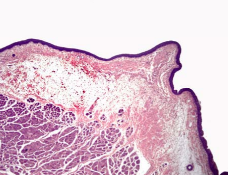
how do you know this is a vocal cord portion of larynx?

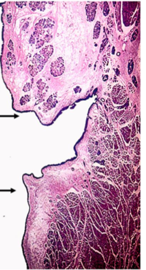
what type of region of the larynx is this? how do you know?

transitional.
the epithelium transitions from respiratory to stratified squamous epithelium.
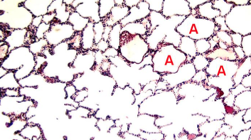
what are the A’s?

alveoli or alveolar sacs and ducts.
what is this?

alveolar septae.

mesotheleium of the lung
what is this slide of?

lung bronchus

paranasal sinus

vestibular fold
(has serous gland)

vocal cord
no serous glands
and squamous stratified epithelium

regular bronchiole
folding
no visible cartilage
smooth muscle