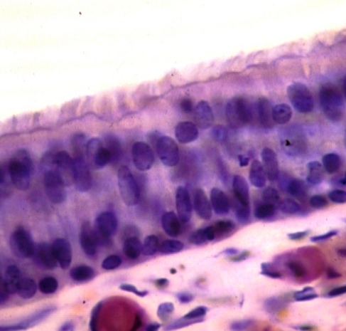
Classify the Epithelium:

respiratory epithelium
Identify “A” and “B”



Bowman’s or Olfactory Glands
Which arrow
indicates the true
vocal cord?

B

Identify the airway

Bronchus

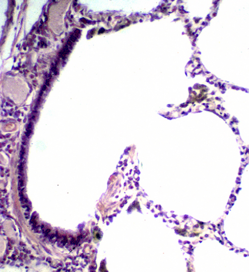
This is a
bronchiole
Why is this a
respiratory
bronchiole?

the
airway is open to
alveolar gas
exchange
surfaces.
Identify the cells of the
alveolar septum

