Progress Test Revision Flashcards

(21 cards)

1
Q

.
This disorder causes learning difficulties in male children only. The severity of the disorder becomes worse in subsequent generations.

What is the most likely diagnosis?

Duchenne muscular dystrophy

Hunter syndrome

Di George syndrome

Fragile X syndrome

Haemophilia A

A

Fragile X syndrome

How well did you know this?
1
Not at all
2
3
4
5
Perfectly
2
Q

Describe the coagulation screen results for haemophilia, acute leukaemia, VWD and DIC [4]

A

Haemophilia:
- APTT increased, PT and Thrombin time normal

How well did you know this?
1
Not at all
2
3
4
5
Perfectly
3
Q

24-year-old attended with painful regular contractions for the past 5 hours. A vaginal examination shows that her cervix is 5 cm dilated. She requests an epidural.

Which of the following statements about an epidural is correct?

It causes variation in the fetal heart rate

It is associated with a higher rate of caesarean delivery

It requires increased fetal surveillance

It is the leading cause of postnatal backache

It is available in a low-risk birthing unit

A

It requires increased fetal surveillance

How well did you know this?
1
Not at all
2
3
4
5
Perfectly
4
Q
A

Hourly Maxidex drops
(Dexamethasone eye drops)

How well did you know this?
1
Not at all
2
3
4
5
Perfectly
5
Q

A 50 year old woman is under a community mental health team (CMHT) for management of a long term psychiatric condition. Due to the medications that she takes she has a yearly physical health check during which an ECG is performed, see below. She reports feeling well in herself with no chest pain or cardiac symptoms.

Which one of the following medications is the patient most likely to take given the ECG findings?

Sodium valproate

Quetiapine

Zopiclone

Lorazepam

Diazepam

A

Quetiapine - 2nd generation anti-psychotic causes QT prolongation

How well did you know this?
1
Not at all
2
3
4
5
Perfectly
6
Q

How would you differentiate between ongoing miscarriage and ectopic pregnancy? [2]

A

Vital signs are normally ok in miscarriage vs not in ectopic

Clots in miscarriage

How well did you know this?
1
Not at all
2
3
4
5
Perfectly
7
Q

State 4 risks of epidural use in pregnancy [4]

A

Risk of Maternal Hypotension

Changes in Uterine Activity
* Epidurals can alter contraction patterns:
* Sometimes they slow down labor, requiring oxytocin augmentation.
* They may also affect uterine tone.

Risk of Instrumental or Operative Delivery
* Epidurals may prolong the second stage of labor (pushing phase).
* There’s an increased likelihood of needing forceps, vacuum, or cesarean delivery

Maternal Immobility and Positioning
* With an epidural, the mother is often less mobile.
* This can reduce her ability to naturally change positions, which helps with fetal descent and oxygenation.
* Poor positioning may contribute to cord compression or non-reassuring fetal heart rates.

How well did you know this?
1
Not at all
2
3
4
5
Perfectly
8
Q

State where CES would be on an MRI [1]

A
How well did you know this?
1
Not at all
2
3
4
5
Perfectly
9
Q

How do you differentiate between CT w/ without contrast?

A
How well did you know this?
1
Not at all
2
3
4
5
Perfectly
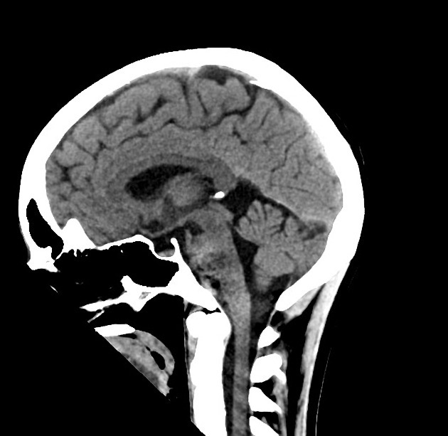
10
Q

What view is this [1]1

A

sagittal

How well did you know this?
1
Not at all
2
3
4
5
Perfectly
11
Q

View?

A

coronal (non-contrast)

How well did you know this?
1
Not at all
2
3
4
5
Perfectly
12
Q

View?

A

Axial

How well did you know this?
1
Not at all
2
3
4
5
Perfectly
13
Q

What are the difference in MRI T1 and T2 and flair? [3]

A

T1-weighted MRI: Highlights anatomy, provides crisp images, and shows fluids as dark. It is particularly useful for visualizing fat tissue.

T2-weighted MRI: Focuses on pathology, making fluids bright, which is ideal for visualizing inflammation, edema, and certain lesions
- T2 = H2O

How well did you know this?
1
Not at all
2
3
4
5
Perfectly
14
Q

A 72 year-old man has left homonymous hemianopia with macular sparing.

What is the most likely location of the lesion?

Left optic tract

Right optic tract

Right occipital lobe

Optic chiasm

Left occipital lobe

A

Right occipital lobe

How well did you know this?
1
Not at all
2
3
4
5
Perfectly
15
Q

A patient who has been recently diagnosed with depression and has been treated with an SSRI antidepressant for the last four weeks.

Which of the following side-effects is the patient most likely to experience?

Dermatological (e.g. rash)

Sexual (e.g. loss of libido)

Antihistaminergic (e.g. sedation, psychomotor slowness)

Extrapyramidal (e.g. stiffness, cogwheel rigidity)

Anticholinergic (e.g. dry mouth, blurred vision, urinary hesitancy)

A

Sexual (e.g. loss of libido)

How well did you know this?
1
Not at all
2
3
4
5
Perfectly
16
Q

A previously healthy 19 year old primigravida is found unresponsive in bed one morning. Attempts to resuscitate her fail. Three weeks earlier she had a positive pregnancy test and was due to see a midwife for her booking tests later that week. A post-mortem revealed a ruptured tubal pregnancy.

Which of the following is true of maternal mortality in the UK?

It is defined as a maternal death associated with pregnancy or childbirth occurring up to 6 weeks after delivery

It does not include deaths from complications of therapeutic termination of pregnancy

The majority of anaesthetic deaths in pregnancy are due to epidurals

The most common cause in the UK is hospital acquired infections

It does not include deaths from suicide during pregnancy

A

It is defined as a maternal death associated with pregnancy or childbirth occurring up to 6 weeks after delivery

17
Q

What is epilepsy mesial temporal sclerosis? [1]

What is it associated with? [1]

A

a condition that causes scarring in the deep part of the temporal lobe, specifically affecting the hippocampus and amygdala. This scarring is a common cause of focal seizures and epilepsy in the temporal lobe

18
Q

Describe how you collect ACR samples [3]

A

Collecting an ACR sample
* by collecting a ‘spot’ sample it avoids the need to collect urine over a 24 hour period in order to detect or quantify proteinuria
should be a first-pass morning urine specimen
* if the initial ACR is between 3 mg/mmol and 70 mg/mmol, this should be confirmed by a subsequent early morning sample.
* If the initial ACR is 70 mg/mmol or more, a repeat sample need not be tested.

19
Q

When would you refer to a nephrologist regarding ACR? [3]

A

a urinary albumin:creatinine ratio (ACR) of 70 mg/mmol or more, unless known to be caused by diabetes and already appropriately treated

a urinary ACR of 30 mg/mmol or more, together with persistent haematuria (two out of three dipstick tests show 1+ or more of blood) after exclusion of a urinary tract infection

consider referral to a nephrologist for people with an ACR between 3-29 mg/mmol who have persistent haematuria and other risk factors such as a declining eGFR, or cardiovascular disease

20
Q

A 35 year old woman visits her general practitioner (GP) complaining of a productive cough of 6 weeks duration. On further questioning she has a history of fever and night sweats and lost about 10 kg in weight during this time. She lived in Nigeria until she was 16 years old.

Which one of the following investigations should the GP request first?

bronchoscopy

serum interferon-gamma release assay

full blood count

mantoux test

sputum for acid fast bacillus

A

sputum for acid fast bacillus

21
Q

Oral dose for fluconazole for thrush? [1]

A

150 mg for 1 dose.