Qs Flashcards

(282 cards)

1
Q

You see this patient in the GP.

Their mum mentions they have a fascination with water

Which genetic condition do you think they have?

William’s syndrome
Noonan’s syndrome
Prader-Willi syndrome
Angelman’s syndrome
Patau’s syndrome

A

Angelman
- TOM TIP: The novel features to remember and link with Angelman syndrome so you can spot it in your exams is the unusual fascination with water, happy demeanour and widely spaced teeth.

How well did you know this?
1
Not at all
2
3
4
5
Perfectly
2
Q

A 28-year-old in her first pregnancy has a spontaneous vaginal delivery at term, followed by post-partum haemorrhage, just after the placenta is delivered. The doctor managing the emergency asks the midwife to check for placental integrity.
Regarding placental anatomy, which one of the following statements is true?
Question 1 Answer

a.
It originates from the inner cell mass of the blastocyst

b.
Its thickness at the centre is ~ 4 cm

c.
A spiral artery usually supplies 3-4 cotyledons

d.
It contains 15-20 cotyledons

A

It contains 15-20 cotyledons

How well did you know this?
1
Not at all
2
3
4
5
Perfectly
3
Q

A patient is diagnosed with an inherited muscular condition.

They initially presented with frequent ankle sprains.

What is the most likely cause?

A

Charcot-Marie Tooth Disease

How well did you know this?
1
Not at all
2
3
4
5
Perfectly
4
Q

Which is the antipsychotic lisenced in dementia?

Risperidone
Quetiapine
Haloperidol
Aripriprazole

A

Which is the antipsychotic lisenced in dementia?

Risperidone
Quetiapine
Haloperidol
Aripriprazole

How well did you know this?
1
Not at all
2
3
4
5
Perfectly
5
Q

What is the most common cause of neonatal respiratory distress in full-term/postmature infants? [1]

A
How well did you know this?
1
Not at all
2
3
4
5
Perfectly
6
Q

You see this patient in the GP.
Upon eye examination you notice this pattern
Which genetic condition do you think they have?

  • William’s syndrome
  • Noonan’s syndrome
  • Prader-Willi syndrome
  • Angelman’s syndrome
  • Patau’s syndrome
A
  • William’s syndrome
  • starburst eyes in iris
How well did you know this?
1
Not at all
2
3
4
5
Perfectly
7
Q

You see this patient in the GP.
You think they have William’s syndrome

Which cardiac condition are they likely to present with?

  • Bicuspid aortic valve
  • Mitral valve stenosis
  • Aortic regurgitation
  • Aortic dissection
  • Supraclavicular aortic stenosis
A

Supraclavicular aortic stenosis

TOM TIP:
- The distinctive features to remember with William syndrome are the very sociable personality, the starburst eyes and the wide mouth with a big smile. It is worth remembering the association with supravalvular aortic stenosis and hypercalcaemia, as these are unique features that are easy to test in exams.

How well did you know this?
1
Not at all
2
3
4
5
Perfectly
8
Q

ITP is which type of hypersensitivty syndrome?

I
II
III
IV

A

I
II
III
IV

How well did you know this?
1
Not at all
2
3
4
5
Perfectly
9
Q

A patient with anorexia might have which of the following

mitral stenosis
aortic stenosis
tricuspid stenosis
aortic valve prolapse
mitral valve prolapse

A

mitral valve prolapse

How well did you know this?
1
Not at all
2
3
4
5
Perfectly
10
Q
A
How well did you know this?
1
Not at all
2
3
4
5
Perfectly
11
Q

An infant has seizures.

An ECG is performed and shown

Based off this ECG what is the most likely cause of the seizures?

Dravet Syndrome
Juvenile Myoclonic Syndrome
Reflex anoxic seizure
West’s syndrome
Lennox–Gastaut syndrome

A

West’s syndrome
- hypsarrhythmia being classical of west’s syndrome.

How well did you know this?
1
Not at all
2
3
4
5
Perfectly
12
Q

An infant has seizures.

An ECG is performed and shown that suggests West syndrome.

What would the first line treatment be? [1]

A

Vigabatrin

How well did you know this?
1
Not at all
2
3
4
5
Perfectly
13
Q

Which is the most common complement deficiency?

C1
C2
C3
C4
C5

A

Which is the most common complement deficiency?

C1
C2
C3
C4
C5

How well did you know this?
1
Not at all
2
3
4
5
Perfectly
14
Q

A key test for hereditary angioedema (C1 esterase inhibitor deficiency) is to check the levels of []

C1
C2
C3
C4
C5

A

C4 - will be low

How well did you know this?
1
Not at all
2
3
4
5
Perfectly
15
Q
A
How well did you know this?
1
Not at all
2
3
4
5
Perfectly
16
Q

A baby is LGA during SFH scans.

At birth it is noticed to have macroglossia, exomphalos, organomegaly.

What condition does it have? [1]

A

Beckwith Wiedemann

Comes up multiple times in lecture

How well did you know this?
1
Not at all
2
3
4
5
Perfectly
17
Q

What type of vasa praevia is depicted? [1]

A
How well did you know this?
1
Not at all
2
3
4
5
Perfectly
18
Q

What type of vasa praevia is depicted? [1]

A
How well did you know this?
1
Not at all
2
3
4
5
Perfectly
19
Q

A mother is detected as being < 10th centile at serial growth scan at 24 weeks.

Which type of doppler would be used to monitor them?

  • Umbilical artery Dopplers
  • Uterine artery dopplers
  • ductus venosus
  • MCA
A
  • Umbilical artery Dopplers
  • Uterine artery dopplers
  • ductus venosus
  • MCA
How well did you know this?
1
Not at all
2
3
4
5
Perfectly
20
Q

Bilateral cataracts in a newborn would most likely indicate congenital infection of

CMV
VZV
Rubella
TG
HIV

A

Bilateral cataracts in a newborn would most likely indicate congenital infection of

CMV
VZV
Rubella
TG
HIV

How well did you know this?
1
Not at all
2
3
4
5
Perfectly
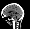
21
Q

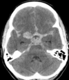
A baby is born and has this scan.

Which is the most likely cause?

CMV
VZV
Rubella
TG
HIV

A

TG
- Intrancranial calcification

How well did you know this?
1
Not at all
2
3
4
5
Perfectly
22
Q

A child has congenital rubella syndrome

Which cardiac complication are they most likely going to have

CoA
ToF
ASD
VSD
PDA

A

PDA

How well did you know this?
1
Not at all
2
3
4
5
Perfectly
23
Q

A baby is born with microcephaly and
fetal growth restriction.
Upon further investigations, ventriculomegaly and cerebellar atrophy are found.

What infection is most likely caused this? [1]

A

Zika

How well did you know this?
1
Not at all
2
3
4
5
Perfectly
24
Q

Which of the following best describes CMV in pregnancy
Infection is most likely in first trimester; biggest risk to baby in first trimester
Infection is most likely in first trimester; biggest risk to baby in third trimester
Infection is most likely in third trimester; biggest risk to baby in third trimester
Infection is most likely in third trimester; biggest risk to baby in first trimester

A

Infection is most likely in third trimester; biggest risk to baby in first trimester

How well did you know this?
1
Not at all
2
3
4
5
Perfectly
25
Which progesterones would be more useful for reduced libido C15 C19 C21 C24 C30
Which progesterones would be more useful for reduced libido C15 **C19** - more like 'male progesterones' C21 C24 C30
26
Which progesterones would be more useful for acne C15 C19 C21 C24 C30
**C21**
27
You suspect someone has premature ovarian failure. Which of the following would you test to confirm? Oestrogen Testosterone LH FSH Progesterone
**Measure FSH** * FSH >30 IU/l (>25 IU/l if < 40 years) * 2 samples >4 weeks apart
28
A women is having mono-chorionic twins. When would a planned C-section occur? 35 weeks 36 weeks 37 weeks 38 weeks 39 weeks
A women is having mono-chorionic twins. When would a planned C-section occur? 35 weeks 36 weeks **37 weeks** 38 weeks 39 weeks
29
A women is having di-chorionic twins. When would a planned C-section occur? 35 weeks 36 weeks 37 weeks 38 weeks 39 weeks
A women is having di-chorionic twins. When would a planned C-section occur? 35 weeks 36 weeks 37 weeks **38 weeks** 39 weeks
30
When would a c-section for triplets occur? [1] *how many weeks? *
**34 weeks**
31
A patient has CF. They have a pseudomonas infection How do you **eradicate** the infection if it is an initial infection? [1]
Attempts at Pseudomonas aeruginosa eradication are important in patients with cystic fibrosis - **Commence nebulised colistin and oral ciprofloxacin**
32
A patient has CF. They have a pseudomonas infection How do you treat the infection if it is an chronic infection? [1]
azithromycin is used in CF management, it is primarily used as an anti-inflammatory agent rather than for its antimicrobial properties against Pseudomonas. **Long-term azithromycin is typically reserved for patients with chronic Pseudomonas infection** to reduce exacerbation frequency and improve lung function through its immunomodulatory effects, not as an eradication strategy for first isolation.
33
Systemic vasculitic symptoms in the presence of hepatitis B signs and in the absence of pulmonary symptoms/signs suggests a diagnosis []
Systemic vasculitic symptoms in the presence of hepatitis B signs and in the absence of pulmonary symptoms/signs suggests a diagnosis **polyarteritis nodosa**
34
Infantile colic normally improves around [] months of age and resolves around [] months of age
Infantile colic normally improves around 3-4 months of age and resolves around **6 months of age**
35
What is hypertensive in pregnancy? [2]
Hypertension in pregnancy in usually defined as: * **systolic > 140 mmHg or diastolic > 90 mmHg** * or an **increase above booking readings of > 30 mmHg systolic or > 15 mmHg diastolic**
36
A 76-year-old male is admitted to hospital by ambulance following a fall. He reports reaching up into the cupboard in his kitchen before falling backwards over a stool onto his back. X-rays demonstrate a burst fracture in the lumbar spine, and subsequent MRI confirms compression of the spine at **the L1 level.** How would you expect this to present and why? [2]
**conus medullaris syndrome** caused by spinal cord compression at the end of the cord just as it tapers from a cord-like structure (upper motor neurons) to peripheral nerves exiting the spine (lower motor neurons). In most patients, this is found at the L1 level. - The syndrome presents with a mixture of upper and lower motor neuron signs. **It is one of the rare causes of loss of ankle jerk reflexes (lower motor neuron signs) with upward plantar responses (upper motor neuron signs).**
37
**[]** is the method of choice for patients with good pre-morbid status with an **intracapsular NOF fracture**
**Internal fixation** is the method of choice for patients with good pre-morbid status with an intracapsular NOF fracture
38
How do you tx overactive bladder? [1]
**Bladder re-training exercises**
39
Renal transplant patients - which skin cancer is most common? [1]
Renal transplant patients - **skin cancer (particularly squamous cell)** is the most common malignancy secondary to immunosuppression
40
When would you admit a pregnant patient w hypertension? [1]
Pregnant women with blood pressure **≥ 160/110 mmHg** are likely to be admitted and observed
41
If a newborn baby has an abnormal hearing test at birth they are offered the **[]** test
If a newborn baby has an abnormal hearing test at birth they are offered the **auditory brainstem response** test
42
A patient presents with morning stiffness > 30mins in hands. How would you determine if this was PsA or RA? [1]
An **asymmetrical presentation** suggests **psoriatic arthritis rather than rheumatoid**
43
Management of myasthenic crisis? [2]
Management of myasthenic crisis - **intravenous immunoglobulin, plasmapheresis**
44
Locked-in syndrome would suggest which artery has been infarcted? [1]
Locked-in syndrome - **basilar artery**
45
If a menopause patient is < 50 - how long do they need contraception for? [1]
2 years
46
Which specific form of contraception is associated with weight gain? [1]
**Depo P**
47
What is important to council patients about depo contraception if they are over 40? [1]
they will have delayed fertlity for a **year**
48
A pregnant person has ? child w DS. What timelines would you do different forms of more invasive testing? [2]
**CVS**: 11-13+6 weeks **Amniocentesis**: 15 weeks
49
A patient has claw toes, pes cavus, charcot joints, scoliosis and they have a loss of function that follows a continuum from pure motor –> motor/sensory/pure sensory) What is the most likely dx? Myotonic dystrophy Guillan-Barre syndrome Charcot-Marie-Tooth Duchennes MD
**Charcot-Marie-Tooth**
50
Which of the following describes a neuropathic EMG? polyphasic, long duration, large amplitude polyphasic, short duration, large amplitude polyphasic, long duration, short amplitude polyphasic, short duration, short amplitude monophasic, small duration, large amplitude
**polyphasic, long duration, large amplitude**
51
Which of the following describes a myopathic EMG? polyphasic, long duration, large amplitude polyphasic, short duration, large amplitude polyphasic, long duration, short amplitude polyphasic, short duration, short amplitude monophasic, small duration, large amplitude
polyphasic, short duration, short amplitude
52
Which of the following is associated with rhabdo? Hypercalcaemia Hypernatraemia Hypokalaemia Hypocalcaemia Hypophosphatemia
**Hypocalcaemia** hypocalcaemia (myoglobin binds calcium) elevated phosphate (released from myocytes) hyperkalaemia (may develop before renal failure)
53
UMN symptoms in legs and LMN in arms describes which disease? [1]
ALS
54
Which of the following presents with UMN signs only? ALS Primary lateral sclerosis Progressive muscular atrophy Progressive bulbar palsy
Which of the following presents with UMN signs only? ALS **Primary lateral sclerosis** Progressive muscular atrophy Progressive bulbar palsy
55
Which of the following has a tremor of 6-12Hz PD Resting tremor Essential tremor ALS
**Essential tremor**
56
anti-ganglioside antibody are associated with MND MD CIDP Charcot-Marie-Tooth GBS
anti-ganglioside antibody are associated with MND MD CIDP Charcot-Marie-Tooth **GBS**
57
A physiological tremor is found to be at which frequency - 1-2 Hz - 3-4 Hz - 6-8 Hz - 6-10 Hz - 8-12Hz
- **8-12Hz**
58
An essential tremor is found to be at which frequency - 1-2 Hz - 3-4 Hz - 6-8 Hz - 6-10 Hz - 8-12Hz
An essential tremor is found to be at which frequency - 1-2 Hz - 3-4 Hz **- 6-8 Hz** - 6-10 Hz - 8-12Hz
59
An PD tremor is found to be at which frequency? [1]
**4-6Hz**
60
Transverse myelitis most commonly occurs in which part of the spine? Cervical Thoracic Lumbar Sacral
**Thoracic**
61
What is the difference between somatisation and conversion disorders? [2]
**Somatoform disorder** * Somatoform disorder describes the presence of physical symptoms that cannot be explained by a physical medical condition. It is an unconscious process, and patients are not fabricating their symptoms. Common presenting symptoms are gastrointestinal symptoms, fatigue, weakness, musculoskeletal symptoms and, as in this patient's case, abdominal pain. **Conversion disorder** * Conversion disorder is a psychiatric condition that results in a presentation of neurological symptoms without any underlying neurological cause.
62
An 82-year-old man presents to his GP due to an enlarging bump on his nose. On examination, there is a 1x1cm nodule on the tip of his nose which has a central crusted depression What is the treatment? [1]
**Keratoacanthoma** is a benign yet locally invasive skin growth which can be indistinguishable from squamous cell carcinoma clinically. **It may spontaneously resolve within a few months, however surgical excision is usually recommended first-line.** Other options if surgery is not appropriate or declined include cryotherapy, curettage or medical treatment with topical imiquimod or 5-fluorouracil.
63
Uncomplicated, closed fractures of the humeral shaft can be managed how? [1]
**Uncomplicated, closed fractures of the humeral shaft often require nothing more than analgesia and conservative management with a basic sling**. Fractures during hoist transfers can indeed occur, particularly in people with risk factors for fragility fractures. This includes postmenopausal women who are likely to have osteoporosis, and skeletal tumours / metastases (hinted at in this patient with multiple myeloma).
64
A 21 year old man presents to the GP clinic with a 3-day history of fever, shortness of breath on exertion and body aches. On physical examination, he appears pale, lethargic, and mildly agitated. Oral examination revealed several painless ulcers along the hard palate. His temperature is 38.5°C. Laboratory tests reveal low haemoglobin levels, elevated lactate dehydrogenase, and a positive direct antiglobulin test at body temperature. What is the most likely dx? [1]
65
What is the most likely type of lesion causing this defect? [1]
**Pituitary tumour:** - Causes **superior bitemporal HH**
66
What is the most likely type of lesion causing this defect? [1]
**CRANIOPHARYNGIOMA** - Causes inferior bitemporal HH
67
Which of the following is typically in implicated in syringomyelia? Corticospinal tract Spinothalamic tract Dorsal column (fasciculus gracilis and cuneatus) Spinocerebellar tract Rubrospinal tract
**Spinothalamic tract** - loss of pain and temp
68
Which of the following is most likely to cause psoriasis? Hypercalcaemia Hypocalcaemia Hyponatraemia Hyperphosphataemia Hypernatraemia
Which of the following is most likely to cause psoriasis? Hypercalcaemia **Hypocalcaemia** Hyponatraemia Hyperphosphataemia Hypernatraemia
69
What PASI score would indicate severe psoriasis? [1]
**> 10**
70
Which of the following might trigger psoriasis Lisinopril Amlodipine Losartan Hydrochlorothiazide Spironolactone
Which of the following might trigger psoriasis **Lisinopril ** - & BB & Lithium
71
The following are all types of BCC. Which is the most likely to have reoccurrence?
D = **morpheaform** (or infiltrative) BCC is high-risk due to its extensive local spread and high recurrence rate.
72
Which of the following would you use for lichen sclerosus? Hydrocortisone 1% Triamcinolone acetonide 0.1% Mometasone furoate 0.1% Fluocinonide 0.05% Clobetasol propionate 0.05%
Which of the following would you use for lichen sclerosus? Hydrocortisone 1% Triamcinolone acetonide 0.1% Mometasone furoate 0.1% Fluocinonide 0.05% **Clobetasol propionate 0.05%**
73
A patient present with this skin rash. They also claim to have had problems with memory and diarrhoea. Which vitamin are they most likely deficient in? B1 C B3 B6 B12
A patient present with this skin rash. They also claim to have had problems with memory and diarrhoea. Which vitamin are they most likely deficient in? **B3** - **pellegra**
74
Which of the following would you use for bullous pemphigoid? Hydrocortisone 1% Triamcinolone acetonide 0.1% Mometasone furoate 0.1% Fluocinonide 0.05% Clobetasol propionate 0.05%
Which of the following would you use for bullous pemphigoid? **Clobetasol propionate 0.05%** - super potent
75
A 54-year-old man with a history of poorly controlled type 2 diabetes presents to the emergency department with severe pain and swelling in his left thigh that started 12 hours ago after he fell while working in his yard. He reports the pain as deep and out of proportion to what he would expect from the small puncture wound he sustained during the fall. On examination, his temperature is 38.9°C (102°F), heart rate is 115 bpm, and blood pressure is 90/60 mmHg. The left thigh is markedly swollen, erythematous, and tender, with areas of dusky discoloration and crepitus on palpation. Laboratory results reveal a white blood cell count of 21,000/mm³ and elevated creatine kinase levels. A CT scan shows gas in the soft tissues. Which type of necrosting fasciitis is this? Type 1 Type 2 Type 3 Type 4
A 54-year-old man with a history of poorly controlled type 2 diabetes presents to the emergency department with severe pain and swelling in his left thigh that started 12 hours ago after he fell while working in his yard. He reports the pain as deep and out of proportion to what he would expect from the small puncture wound he sustained during the fall. On examination, his temperature is 38.9°C (102°F), heart rate is 115 bpm, and blood pressure is 90/60 mmHg. The left thigh is markedly swollen, erythematous, and tender, with areas of dusky discoloration and crepitus on palpation. Laboratory results reveal a white blood cell count of 21,000/mm³ and elevated creatine kinase levels. A CT scan shows gas in the soft tissues. Which type of necrosting fasciitis is this? **Type 3** Type 1 – Polymicrobial (anaerobes + aerobes) Type 2 – Group A beta-haemolytic streptococci Type 3 – Clostridium perfringens; also associated with Vibrio species infection from seafood ingestion or water contamination of wounds. Type 4 - Fungal infection
76
How does dapsone work to treat DH? [1]
Dapsone is an antibiotic which helps reduce the pruritic symptoms of Dermatitis Herpetiformis
77
A diagnosis of pemphigus vulgaris is made. IgG autoantibodies to which protein is the pathogenesis of this disease due? Collagen type XVIII Desmoglein Bullous pemphigoid antigen Keratin Desmoplakin
A diagnosis of pemphigus vulgaris is made. IgG autoantibodies to which protein is the pathogenesis of this disease due? Collagen type XVIII **Desmoglein** Bullous pemphigoid antigen Keratin Desmoplakin
78
Ciclosporin treatment needs regular monitoring with: - FBC - LFTs - Lipids - U&Es
- **Lipids**
79
Which test would you use to detect HIV in a neonate? Viral antigen Viral antibody HIV PCR CD4 count
**HIV PCR**
80
At what age could you start testing neonate for HIV using antibody? 3 months 6 months 1 year 18 months 2 years
**18 months** - before: use viral PCR
81
A patient has HIV. They have specific testing which is outlined below. Which of the following is the most likely pathogen? Pneumocystis jirovecii pneumonia (PCP) Toxoplasma gondii Mycobacterium avium complex (MAC) Cytomegalovirus (CMV) Cryptococcus neoformans
**Cryptococcus neoformans** - +ve indian ink staining
82
A patient has HIV. Which of the following do you check every 6-12 months to assess level of infection? Viral antigen Viral antibody HIV PCR CD4 count
**HIV PCR**
83
A patient with HIV suffers a pathology which is suspected to have arisen from inhaling a pathogen from bird faeces. What is the name of the pathogen Pneumocystis jirovecii pneumonia (PCP) Toxoplasma gondii Mycobacterium avium complex (MAC) Cytomegalovirus (CMV) Cryptococcus neoformans
**Cryptococcus neoformans**
84
A 37-year-old man with a history of untreated HIV presents with profuse, watery diarrhea that has persisted for over two weeks. He reports 8–10 bowel movements per day, associated with abdominal cramping, fatigue, and a 5-kg weight loss. He denies recent travel or antibiotic use. His temperature is 37.2°C (99°F), and his blood pressure is 110/70 mmHg. Laboratory results show a CD4 count of 45 cells/mm³. Stool studies are negative for leukocytes, ova, and parasites. Modified acid-fast staining of the stool reveals oocysts. Which of the following is the most likely cause of this patient’s symptoms? A) Giardia lamblia B) Clostridioides difficile C) Cryptosporidium parvum D) Entamoeba histolytica E) Salmonella enterica
A 37-year-old man with a history of untreated HIV presents with profuse, watery diarrhea that has persisted for over two weeks. He reports 8–10 bowel movements per day, associated with abdominal cramping, fatigue, and a 5-kg weight loss. He denies recent travel or antibiotic use. His temperature is 37.2°C (99°F), and his blood pressure is 110/70 mmHg. Laboratory results show a CD4 count of 45 cells/mm³. Stool studies are negative for leukocytes, ova, and parasites. Modified acid-fast staining of the stool reveals oocysts. Which of the following is the most likely cause of this patient’s symptoms? A) Giardia lamblia B) Clostridioides difficile **C) Cryptosporidium parvum** D) Entamoeba histolytica E) Salmonella enterica
85
This patient has severe diarrhoea. They also have HIV. **What is being tested? Which test is being used? [1]**
**C) Cryptosporidium parvum** - **modified Ziehl-Neelsen (acid-fast) staining technique**. This method allows for the **visualization of the parasite's oocysts** in fecal smears, which can be pinkish-red on a green background.
86
A 42-year-old man with a known history of HIV presents to the clinic with a 3-week history of persistent fevers, night sweats, and unintentional weight loss. He also reports fatigue and a rapidly enlarging, painless mass in his neck. On examination, there is a firm, non-tender cervical lymph node approximately 3 cm in size. Laboratory studies show a CD4 count of 85 cells/mm³ and elevated lactate dehydrogenase (LDH). A CT scan reveals multiple enlarged lymph nodes in the cervical, mediastinal, and abdominal regions. A lymph node biopsy is performed, revealing sheets of large atypical lymphoid cells with a high mitotic index. Which of the following is the most likely diagnosis? A) Burkitt lymphoma B) Diffuse large B-cell lymphoma C) Hodgkin lymphoma D) Follicular lymphoma E) Mantle cell lymphoma
**B) Diffuse large B-cell lymphoma**
87
Widespread lymphadenopathy, diarrhoea and hepatosplenomegaly in someone with HIV is most likely from? Mycobacterium avium complex (MAC) Lymphoma Cytomegalovirus (CMV) infection Tuberculosis Histoplasmosis
**Mycobacterium avium complex (MAC)**
88
Blood cultures x 3 at least, using special Bactec bottles, bone marrow is used to dx which of the following in a person with HIV? Mycobacterium avium complex (MAC) Lymphoma Cytomegalovirus (CMV) infection Tuberculosis Histoplasmosis
**Mycobacterium avium complex (MAC)**
89
A patient with HIV has TB. How long does the treatment last? [1]
**6months**
90
A patient with HIV has TB w CNS involvement. How long does the treatment last? [1]
**12months**
91
A 39-year-old man with a history of advanced HIV presents to the emergency department with a 10-day history of bloody diarrhea, abdominal cramping, and low-grade fevers. He has also experienced significant weight loss and fatigue. He is not currently on antiretroviral therapy and has been lost to follow-up for over a year. His vital signs show a temperature of 38.3°C, and his examination reveals mild diffuse abdominal tenderness. Laboratory tests reveal a CD4 count of 38 cells/mm³. Colonoscopy reveals multiple deep linear ulcerations in the colon, and histopathology shows large cells with intranuclear inclusions described as "owl eye" appearance. Which of the following is the most likely diagnosis? A) Cryptosporidium parvum infection B) Cytomegalovirus (CMV) colitis C) Entamoeba histolytica infection D) Clostridioides difficile colitis E) Mycobacterium avium complex (MAC)
**B) Cytomegalovirus (CMV) colitis**
92
A patient is diagnosed with chlamydia. They recently went on holiday and found doxycycline used for malaria prophylaxis caused them skin reactions. Which treatment should you used to treat chlamydia? A) Azithromycin 1g orally as a single dose B) Ceftriaxone 500 mg intramuscularly C) Metronidazole 400 mg three times daily for 7 days D) Amoxicillin 500 mg three times daily for 7 days E) Azithromycin 1g orally three times daily for 7 days
**A) Azithromycin 1g orally as a single dose**
93
SBA 1: Which test should be routinely monitored due to the metabolic effects of protease inhibitors? A. Urine ketones B. HbA1c C. Serum lactate D. Reticulocyte count E. Serum amylase
**B. HbA1c** - Rationale: Protease inhibitors can cause insulin resistance and dyslipidaemia. HbA1c is useful for monitoring glucose control over time.
94
Dolutegravir belongs to which class of antiretroviral drugs? A. Non-nucleoside reverse transcriptase inhibitor (NNRTI) B. Protease inhibitor (PI) C. Nucleoside reverse transcriptase inhibitor (NRTI) D. Integrase strand transfer inhibitor (INSTI) E. Entry inhibitor
Dolutegravir belongs to which class of antiretroviral drugs? A. Non-nucleoside reverse transcriptase inhibitor (NNRTI) B. Protease inhibitor (PI) C. Nucleoside reverse transcriptase inhibitor (NRTI) **D. Integrase strand transfer inhibitor (INSTI)** E. Entry inhibitor
95
Which drugs are used in PrEP Tenofovir disoproxil fumarate with dolutegravir Tenofovir disoproxil fumarate with efavirenz Tenofovir disoproxil fumarate with emtricitabine Tenofovir disoproxil fumarate with ritonavir Tenofovir disoproxil fumarate with zidovudine
Which drugs are used in PrEP Tenofovir disoproxil fumarate with dolutegravir Tenofovir disoproxil fumarate with efavirenz **Tenofovir disoproxil fumarate with emtricitabine** Tenofovir disoproxil fumarate with ritonavir Tenofovir disoproxil fumarate with zidovudine
96
97
Which of the following combinations contains the two long-acting injectable drugs licensed for HIV pre-exposure prophylaxis (PrEP)? A) Tenofovir disoproxil fumarate (TDF) + Emtricitabine (FTC) B) Cabotegravir + Rilpivirine C) Dolutegravir + Lamivudine D) Cabotegravir + Emtricitabine E) Efavirenz + Tenofovir alafenamide (TAF)
**B) Cabotegravir + Rilpivirine**
98
Which of the following combinations contains the two drugs licensed as part of the recommended regimen for HIV post-exposure prophylaxis (PEP)? A) Tenofovir disoproxil fumarate (TDF) + Emtricitabine (FTC) B) Rilpivirine + Tenofovir alafenamide (TAF) C) Raltegravir + Tenofovir alafenamide (TAF) D) Tenofovir disoproxil fumarate (TDF) + Emtricitabine (FTC) + Raltegravir E) Efavirenz + Zidovudine
Which of the following combinations contains the two drugs licensed as part of the recommended regimen for HIV post-exposure prophylaxis (PEP)? A) Tenofovir disoproxil fumarate (TDF) + Emtricitabine (FTC) B) Rilpivirine + Tenofovir alafenamide (TAF) **C) Raltegravir + Tenofovir alafenamide (TAF)** D) Tenofovir disoproxil fumarate (TDF) + Emtricitabine (FTC) + Raltegravir E) Efavirenz + Zidovudine
99
Which drug has caused this Abacavir Atazanavir Darunavir Efavirenz Emtricitabine/FTC Lamivudine/3TC Lopinavir Nevirapine Raltegravir Ritonavir Tenofovir
**Atazanavir**
100
Advanced HIV, headache, fever, recent grand mal seizure. CT head unremarkable. What is the most likely cause? Pneumocystis jirovecii pneumonia (PCP) Toxoplasma gondii Mycobacterium avium complex (MAC) Cytomegalovirus (CMV) Cryptococcus neoformans
Pneumocystis jirovecii pneumonia (PCP) Toxoplasma gondii Mycobacterium avium complex (MAC) Cytomegalovirus (CMV) **Cryptococcus neoformans**
101
A newborn infant is delivered to an HIV-positive mother. What is the recommended management for the infant to reduce the risk of HIV transmission? A. No treatment needed if the mother’s viral load is undetectable B. Start zidovudine monotherapy for 4–6 weeks immediately after birth C. Start combination antiretroviral therapy only if the infant tests HIV positive D. Start nevirapine alone for 12 weeks and encourage breastfeeding E. Start zidovudine for 4–6 weeks; add nevirapine if high risk of transmission
A newborn infant is delivered to an HIV-positive mother. What is the recommended management for the infant to reduce the risk of HIV transmission? A. No treatment needed if the mother’s viral load is undetectable B. Start zidovudine monotherapy for 4–6 weeks immediately after birth C. Start combination antiretroviral therapy only if the infant tests HIV positive D. Start nevirapine alone for 12 weeks and encourage breastfeeding **E. Start zidovudine for 4–6 weeks; add nevirapine if high risk of transmission**
102
A 28-year-old patient is diagnosed with secondary syphilis. The initial RPR titre is 1:128. After appropriate treatment, which of the following changes in the RPR titre would most likely indicate successful therapy? A. RPR becomes negative immediately after treatment B. RPR titre increases to 1:256 after 3 months C. RPR titre decreases from 1:128 to 1:32 within 6 months D. RPR remains at 1:128 indefinitely E. RPR titre decreases from 1:128 to 1:64 within 1 month
A 28-year-old patient is diagnosed with secondary syphilis. The initial RPR titre is 1:128. After appropriate treatment, which of the following changes in the RPR titre would most likely indicate successful therapy? A. RPR becomes negative immediately after treatment B. RPR titre increases to 1:256 after 3 months **C. RPR titre decreases from 1:128 to 1:32 within 6 months** D. RPR remains at 1:128 indefinitely E. RPR titre decreases from 1:128 to 1:64 within 1 month
103
Describe what an non-treated active syphilis infection would like in multipe non-trep. tests [1]
titres would increase - e.g. **1:32 --> 1:128**
104
Which of the following is a cause of coma? Hypercortisolism Hypokalaemia Hypocapnia Hyperlipidaemia Hypercalcaemia
**Hypercalcaemia** - Hypercalcaemia can induce coma by causing a generalised depression of neuronal activity. This is due to the increased calcium ions interfering with the sodium channels in the neurons, leading to a decreased excitability.
105
hich of the following is the by-product of female gametogenesis? Mature oocyte Oogonia Polar body Primary oocyte Secondary oocyte
Polar body
106
The risk of Down’s syndrome in the child of a 40-year-old woman is: 1 in 3000 1 in 1500 1 in 250 1 in 100 1 in 50
The risk of Down’s syndrome in the child of a 40-year-old woman is: 1 in 3000 1 in 1500 1 in 250 **1 in 100** 1 in 50
107
A 52-year-old woman presents with a long history of pain in both of her big toes. On examination, both affected toes are deviated laterally and there is a tender swelling of the metatarsophalangeal joints. What is the most likely diagnosis? Mallet toe Hammer toe Hallux rigidus Hallux valgus Claw toe
A 52-year-old woman presents with a long history of pain in both of her big toes. On examination, both affected toes are deviated laterally and there is a tender swelling of the metatarsophalangeal joints. What is the most likely diagnosis? Mallet toe Hammer toe Hallux rigidus **Hallux valgus** Claw toe
108
What is hallux rigidus? [1]
**Hallux rigidus** is **osteoarthritis** of the metatarsophalangeal (**MTP**) joint of the great toe.
109
A 72-year-old woman presents with bilateral shoulder pain and difficulty raising her arms, especially in the morning. Examination reveals restricted active movement due to pain, but passive range of motion is preserved; she was previously treated for subacromial bursitis with little improvement. Which of the following is the most likely diagnosis? A. Rotator cuff tear B. Osteoarthritis of the shoulder C. Subacromial bursitis D. Polymyalgia rheumatica E. Polymyositis
A 72-year-old woman presents with bilateral shoulder pain and difficulty raising her arms, especially in the morning. Examination reveals restricted active movement due to pain, but passive range of motion is preserved; she was previously treated for subacromial bursitis with little improvement. Which of the following is the most likely diagnosis? A. Rotator cuff tear B. Osteoarthritis of the shoulder C. Subacromial bursitis **D. Polymyalgia rheumatica** E. Polymyositis
110
What is the starting dose for PMR pred? 60 mg 30 mg 15 mg 10 mg 5 mg
What is the starting dose for PMR pred? 60 mg 30 mg **15 mg** 10 mg 5 mg
111
A patient has GCA. Which artery is the reason they might have vision problems A. Central retinal artery B. Posterior ciliary artery C. Ophthalmic artery D. Lacrimal artery E. Supraorbital artery
**B. Posterior ciliary artery**
112
A 68-year-old woman attends the emergency department after falling down the stairs. She had suffered trauma to her forehead. On examination, she has bilateral upper limb weakness. Based on the following scenario, select the most likely spinal cord lesion Central cord syndrome Cauda equina syndrome Brown-Séquard syndrome Anterior cord syndrome Posterior cord syndrome
**Central cord syndrome**
113
A 60-year-old man with known type 1 diabetes mellitus for the past 20 years has come to his GP for his annual diabetic check. His blood pressure is 160/90 mmHg today. He is found to have a urinary albumin/creatinine ratio (ACR) of >2.5 mg/mmol, suggestive of microalbuminuria. Which of the following drugs is proven to reduce microalbuminuria? ACE inhibitors Alpha-blockers Beta-blockers Calcium channel blockers Thiazide
**ACE inhibitors** Angiotensin-converting enzyme (ACE) inhibitors dilate the efferent renal arteriole, thus reducing intraglomerular hypertension and proteinuria, regardless of whether blood pressure is elevated or not.
114
Which measurement is the most reliable indicator of gestational age in the first trimester? Biophysical profile Biparietal diameter Crown–rump length Femur length Nuchal translucency
Crown–rump length
115
A 31-year-old pregnant woman was involved in a minor road traffic collision where she banged her abdomen on the steering wheel. Serious injury has been excluded, but she is concerned about the baby. She has good fetal movements and has had no bleeding per vaginam. The fetal heart is heard and is regular. She is at 25 weeks’ gestation and is RhD negative. She has had no previous children. What action needs to be taken with regard to anti-D prophylaxis? Give antenatal anti-D prophylaxis 250 IU and take Kleihauer test Give antenatal anti-D prophylaxis 500 IU and take Kleihauer test Give postnatal anti-D and take Kleihauer test Give routine antenatal anti-D prophylaxis at 28 weeks and take Kleihauer test No action needed at present
The **dose is 250 IU** before **20 weeks** and **500 IU after** **20 weeks’ gestation.**
116
After all sensitizing events and delivery why do you do a Kleihauer blood test? [1]
After all sensitizing events and delivery, a Kleihauer blood test **should be taken to ensure a higher dose of anti-D is not required if there has been particularly large fetomaternal haemorrhage (FMH).**
117
According to ICD-10 criteria, which of the following options describe the key features of hebephrenic schizophrenia? * Delusions and hallucinations * Disorganized speech and behaviour and flat affect * Meets the criteria for schizophrenia, but no specific symptom subtype predominates * Previous positive symptoms, now less marked, with prominent negative symptoms * Psychomotor disturbance
Disorganized speech and behaviour and flat affect
118
Causes of sensorineural deafness include: Perforated eardrum Benign positional vertigo Gentamicin therapy Warfarin therapy Impacted wax
The correct answer is Gentamicin therapy. **Gentamicin** is an aminoglycoside antibiotic that is known to be ototoxic. This means it can cause damage to the inner ear, leading to sensorineural hearing loss.
119
Ehlors-Danlos is caused by a defect in which type of collagen? Type I Type II Type III Type IV
**Type III**
120
This person has systemic sclerosis. Which drug has been used to see the differences? [1]
Nail ulcers treated using iv iloprost
121
A 52-year-old woman presents with worsening shortness of breath on exertion and a long-standing history of Raynaud’s phenomenon. On examination, she has tight, shiny skin limited to her fingers and hands (sclerodactyly), along with telangiectasia and calcinosis cutis. Echocardiography reveals pulmonary artery hypertension. Her renal function is normal and there is no evidence of interstitial lung disease. Question: Which of the following autoantibodies is most likely to be positive in this patient? A. Anti-Scl-70 (anti-topoisomerase I) B. Anti-dsDNA C. Anti-centromere antibody D. Anti-RNA polymerase III E. Anti-Jo-1
**C. Anti-centromere antibody** - Limited SSc: PAH; Diffuse: ILD
122
# Juvinile Arthritis: Which form is most associated with bilateral [1] and unilateral [1] uveitis?
**Unilateral**: Enthesitis **Bilateral**: Oligoarticular
123
A 21-year-old woman presents to clinic with episodes of palpitations, dizziness, and fatigue that are worse when standing and improve when she lies down. She denies chest pain or syncope. Her symptoms began gradually over the past year. She also reports frequent joint pain and a history of recurrent joint subluxations. On examination, her heart rate increases from 75 bpm while lying down to 120 bpm within 10 minutes of standing. Her blood pressure remains stable. Question: Which of the following is the most likely underlying diagnosis? A. Classical Ehlers-Danlos syndrome B. Marfan syndrome C. Loeys-Dietz syndrome D. Hypermobile Ehlers-Danlos syndrome E. Orthostatic hypotension due to adrenal insufficiency
**D. Hypermobile Ehlers-Danlos syndrome**
124
1st line Ix for ?tinea corporis [1]
Skin scrapings to be sent for microscopy culture and sensitivities
125
How can syphilus affect joints? [1]
**Neurosyphilis** is one of the causes of **Charcot joint**. The disease damages the **nerves**, leading to loss of **sensation in the affected joint**. - Loss of sensation in the joint leads to repeated unrecognized trauma. This results in progressive destruction, leading to joint deformity and disability. - The process is self-perpetuating, as the deformity leads to abnormal mechanical stresses which further damage the joint.
126
X-rays show destruction of the joint with dislocation and debris, known as the *“bag of bones*” appearance. What does this describe? [1]
**Charcot joint**
127
In the last Confidential Enquiry into Maternal and Child Health (CEMACH) the commonest cause of indirect maternal death was: Cardiac disease Haemorrhage Road traffic accident Pre-eclampsia Venous thromboembolism
**Cardiac disease** Indirect maternal death refers to a death that is not directly caused by obstetric complications but is instead due to a pre-existing or newly developed health condition that is aggravated by the physiological adaptations of pregnancy.
128
Which RA treatment might cause orange urine MTX LEF MMF Cyclophosphamide SFZ
Which RA treatment might cause orange urine MTX LEF MMF Cyclophosphamide **SFZ**
129
Which RA treatment might cause this skin change? [1]
**Hydroxychloroquine** - blue skin mottling
130
A 54-year-old man with a history of epilepsy and ischaemic heart disease is seen in clinic with a 3 month history of lethargy. Blood tests are as follows: Hb 9.6 g/dl MCV 123 fl (macrocytic) Plt 164 * 109/l WCC 4.6 *109/l Which one of his medications is most likely to be responsible? [1]
Phenytoin - causes macrocytic anaemia due to folate antagonsim
131
positive spurling test indicates [1]
**Cervical radiculopathy**
132
Which would have damage due to axillary nerve damage? Supraspinatus Infraspinatus Teres minor Subscapularis
The four rotator cuff muscles are: Supraspinatus – suprascapular nerve Infraspinatus – suprascapular nerve **Teres minor – axillary nerve** ✅ Subscapularis – upper and lower subscapular nerves
133
Which of the following findings is most characteristic of anterior spinal artery syndrome? A. Loss of vibration and proprioception B. Flaccid lower motor neuron signs only C. Loss of pain and temperature below the lesion with preserved dorsal column function D. Upper limb weakness greater than lower limb weakness E. Hemisection of motor and sensory pathways
C. Loss of pain and temperature below the lesion with preserved dorsal column function
134
A 45-year-old man sustains a spinal cord injury after a motorbike crash. He has bilateral loss of motor function and pain/temperature sensation below the lesion, but vibration and proprioception are intact. What spinal cord syndrome does this describe? A. Central cord syndrome B. Brown-Séquard syndrome C. Anterior spinal artery syndrome D. Complete cord transection E. Posterior cord syndrome
A 45-year-old man sustains a spinal cord injury after a motorbike crash. He has bilateral loss of motor function and pain/temperature sensation below the lesion, but vibration and proprioception are intact. What spinal cord syndrome does this describe? A. Central cord syndrome B. Brown-Séquard syndrome **C. Anterior spinal artery syndrome** D. Complete cord transection E. Posterior cord syndrome
135
**Question 5:** A patient is stabbed in the left side of his thoracic spine. Examination reveals left-sided spastic weakness and loss of vibration and proprioception, with right-sided loss of pain and temperature. Which tract is responsible for the right-sided loss? A. Lateral corticospinal tract B. Anterior corticospinal tract C. Dorsal columns D. Spinothalamic tract E. Spinocerebellar tract **Question 6:** In central cord syndrome, which pattern of motor impairment is typically observed? A. Upper limb weakness greater than lower limb weakness B. Lower limb weakness greater than upper limb weakness C. Equal upper and lower limb weakness D. Spastic paraparesis only E. Flaccid paralysis of one side only **Question 7**: A 60-year-old man with poorly controlled hypertension develops sudden neck pain and bilateral weakness after lifting a heavy object. He has bilateral loss of pain and temperature sensation, but proprioception is preserved. What is the most likely cause? A. Posterior cord infarction B. Anterior spinal artery infarct C. Central cord syndrome D. Brown-Séquard syndrome E. Transverse myelitis **Question 8:** Which of the following best describes the neurological deficit in Brown-Séquard syndrome? A. Bilateral motor loss with preserved pain sensation B. Contralateral loss of vibration and proprioception C. Ipsilateral motor and dorsal column loss, contralateral pain and temperature loss D. Symmetric weakness of upper limbs E. Sacral sparing with bilateral lower limb paralysis
D – Spinothalamic tract A – Upper limb weakness greater than lower limb weakness B – Anterior spinal artery infarct C – Ipsilateral motor and dorsal column loss, contralateral pain and temperature loss
136
What is the gold standard for diagnosing iloapsoas abscess? MRI US CT Needle
CT
137
A 35-year-old male with a T4 spinal cord injury presented with sudden-onset severe headache, facial flushing, and profuse sweating above the level of injury. His blood pressure was markedly elevated at 180/110 mmHg, significantly above his baseline. Upon examination, a kinked urinary catheter was identified and promptly corrected, leading to rapid resolution of symptoms. What is causing this presentation? [1] What is the name for this presentation? [1]
A 35-year-old male with a T4 spinal cord injury presented with sudden-onset severe headache, facial flushing, and profuse sweating above the level of injury. His blood pressure was markedly elevated at 180/110 mmHg, significantly above his baseline. Upon examination, a kinked urinary catheter was identified and promptly corrected, leading to rapid resolution of symptoms. Which of the following could be a cause of this presentation? **Overdistended bladder** * An overdistended bladder is a common trigger for **autonomic dysreflexia** in individuals with spinal cord injuries at or above the T6 level. Other potential causes include bowel distension, skin irritations, or any noxious stimuli below the level of injury.
138
This image shows a herniation at which level L1/L2 L2/L3 L3/L4 L4/L5 L5/S1
**L4/L5**
139
Conus medullaris ends at L1/L2 L2/L3 L3/L4 L4/L5 L5/S1
Conus medullaris ends at **L1/L2** L2/L3 L3/L4 L4/L5 L5/S1
140
Which of the following is the most sensitive test for an ACL injury? Anterior Drawer Test Pivot Shift Test Posterior Drawer Test Lachman's Test Slocum Test
Which of the following is the most sensitive test for an ACL injury? Anterior Drawer Test Pivot Shift Test Posterior Drawer Test **Lachman's Test** Slocum Test
141
A patient suffers from a NOF. Which artery is most likely impacted to cause avascular necrosis? Medial circumflex femoral artery Lateral circumflex femoral artery Artery of the ligamentum teres Obturator artery Superior gluteal artery
A patient suffers from a NOF. Which artery is most likely impacted to cause avascular necrosis? **Medial circumflex femoral artery** Lateral circumflex femoral artery Artery of the ligamentum teres Obturator artery Superior gluteal artery
142
A patient presents with a 'popeye' appearance in their arm. Rupture to a tendon to which of the following is the most likely cause? Coracoid process of the scapula Greater tuberosity of the humerus Lesser tuberosity of the humerus Infraglenoid tubercle of the scapula Supraglenoid tubercle of the scapula
**Supraglenoid tubercle of the scapula**: - Long head of bicep is the most common cause of bicep tendon tear - which attaches here
143
Bennet's fracture Mallet fracture Boxer's fracture Rolando's fracture Tuft fracture What is the mechanism of this injury? [1]
**Mallet fracture** - usually caused by a traumatic impaction blow (i.e. sudden forced flexion) to the tip of the finger in the extended position.
144
A patient presents with ?spinal cord compression. Whilst you are arranging an MRI, what dose of dexamethasone would you prescribe? 6 mg 8 mg 10 mg 16 mg 24 mg
A patient presents with ?spinal cord compression. Whilst you are arranging an MRI, what dose of dexamethasone would you prescribe? 6 mg 8 mg 10 mg **16 mg** 24 mg
145
Name a complication of this fracture (that isn't nerve related) [1]
Supracondylar humerus (and tibial shaft) fractures are the most common cause of **compartment syndrome**
146
Name this test Thompson Test McMurray's Test Anterior Drawer Test Lachman’s Test Talar Tilt Test
**Thompson Test** (for Achilles tendon rupture) McMurray's Test (for meniscal tears in the knee) Anterior Drawer Test (Ankle) (for assessing ankle ligament instability) Lachman’s Test (for ACL injury in the knee) Talar Tilt Test (for assessing lateral ankle instability)
147
Which part of is the most susceptible to osteomyelitis in children?
**C = metaphysis** - most vascularised in children ## Footnote **In adults: A - epiphysis**
148
A 45-year-old woman presents to the clinic with complaints of sudden, localized numbness and tingling on the outer aspect of her right thigh, which has been present for the past week. She reports feeling as if her thigh is "falling asleep" frequently, especially when sitting for prolonged periods. Additionally, she mentions recent rapid weight gain over the past few months. Her past medical history includes obesity and a sedentary lifestyle. On examination, there is decreased sensation along the lateral thigh but no motor weakness. Physical examination reveals no other significant findings, and there is no history of trauma or surgery to the affected area. What is the most likely diagnosis? A. Meralgia paresthetica B. Femoral neuropathy C. Lumbosacral radiculopathy D. Piriformis syndrome E. Hip osteoarthritis with referred pain
Correct Answer: **A. Meralgia paresthetica** **Explanation**: **Meralgia paresthetica** is caused by compression of the **lateral femoral cutaneous nerve,** often due to increased abdominal pressure, such as from **weight** **gain**, which can compress the nerve as it passes under the inguinal ligament. This condition typically presents with sensory symptoms (numbness and tingling) on the lateral thigh, without motor weakness.
149
A patient has a dynamic hip screw placed in them. What is the recommendation for mobilisation after the surgery? Immediate post-operative weight bearing Non-weight bearing for 2 weeks Non-weight bearing for 4 weeks Non-weight bearing for 6 weeks
A patient has a dynamic hip screw placed in them. What is the recommendation for mobilisation after the surgery? **Immediate post-operative weight bearing** Non-weight bearing for 2 weeks Non-weight bearing for 4 weeks Non-weight bearing for 6 weeks
150
The following test is: * The patient is seated with their neck in a neutral position. * The examiner applies downward pressure on the patient's head while tilting and rotating the head to the affected side (the side where pain or symptoms are suspected). Lhermitte's sign Thompson's sign Kernig's Sign Brudzinski's Sign Spurling’s sign
**Spurling’s sign**
151
It causes up to 21% of all congenital hearing loss at birth and 10% of all cases of cerebral palsy Refers to CMV VZV Rubella Parvovirus Toxoplasmosis
It causes up to 21% of all congenital hearing loss at birth and 10% of all cases of cerebral palsy Refers to **CMV** VZV Rubella Parvovirus Toxoplasmosis
152
Which of the following best describes CMV in pregnancy Infection is most likely in first trimester; biggest risk to baby in first trimester Infection is most likely in first trimester; biggest risk to baby in third trimester Infection is most likely in third trimester; biggest risk to baby in third trimester Infection is most likely in third trimester; biggest risk to baby in first trimester
Which of the following best describes CMV in pregnancy Infection is most likely in first trimester; biggest risk to baby in first trimester Infection is most likely in first trimester; biggest risk to baby in third trimester Infection is most likely in third trimester; biggest risk to baby in third trimester **Infection is most likely in third trimester; biggest risk to baby in first trimester**
153
Which type of juvinile epilepsy syndrome is most common in teenage girls? Juvenile myoclonic epilepsy (Janz syndrome) Lennox-Gastaut syndrome Typical (petit mal) absence seizures West Syndrome Benign rolandic epilepsy
**Juvenile myoclonic epilepsy (Janz syndrome)**
154
Which of the following is most associated with paraesthesia (e.g. unilateral face), usually on waking up Juvenile myoclonic epilepsy (Janz syndrome) Lennox-Gastaut syndrome Typical (petit mal) absence seizures West Syndrome Benign rolandic epilepsy
Which of the following is most associated with paraesthesia (e.g. unilateral face), usually on waking up Juvenile myoclonic epilepsy (Janz syndrome) Lennox-Gastaut syndrome Typical (petit mal) absence seizures West Syndrome **Benign rolandic epilepsy**
155
Which of the following is most associated with EEG: slow spike? Juvenile myoclonic epilepsy (Janz syndrome) Lennox-Gastaut syndrome Typical (petit mal) absence seizures West Syndrome Benign rolandic epilepsy
Which of the following is most associated with EEG: slow spike? Juvenile myoclonic epilepsy (Janz syndrome) **Lennox-Gastaut syndrome** Typical (petit mal) absence seizures West Syndrome Benign rolandic epilepsy
156
Which of the following is most associated with EEG: hypsarrhythmia? Juvenile myoclonic epilepsy (Janz syndrome) Lennox-Gastaut syndrome Typical (petit mal) absence seizures West Syndrome Benign rolandic epilepsy
Which of the following is most associated with EEG: hypsarrhythmia? Juvenile myoclonic epilepsy (Janz syndrome) Lennox-Gastaut syndrome Typical (petit mal) absence seizures **West Syndrome** Benign rolandic epilepsy
157
B – Infantile spasms (West's syndrome) C – Sodium valproate (ethosuximide is also first-line per NICE, but valproate is commonly used if other seizure types are present) C – Lennox-Gastaut syndrome D – Juvenile myoclonic epilepsy
158
C – 4–8 years B – Hypsarrhythmia C – Tuberous sclerosis C – Benign rolandic epilepsy C – Lennox-Gastaut syndrome
159
# A A patient presents with kyphoscoliosis and ataxia. he is 10 and also has DM What is the dx? [1]
**Friedrich's ataxia**
160
[] is the only antipsychotic that can be used in AD
**Risperidone**
161
162
163
164
Correct Answer(s): A Justification for correct answer(s): The symptoms described suggest the diagnosis of trigeminal neuralgia. Carbamazepine is the first-line treatment for this condition and is therefore the most appropriate option among the choices given
165
Justification for correct answer(s): The case description seems to be of migraine with a surprisingly abrupt onset of headache. It is the abrupt onset of headache is the most worrying feature and suggests a serious underlying cause. Abrupt onset of headache with visual disturbance could be due to subarachnoid haemorrhage (possibly a haemorrhage into the occipital lobe, e.g. from an intracerebral arteriovenous malformation), or haemorrhage into a pituitary macroadenoma with compression of the anterior visual pathway. Other possibilities include reversible cerebral vasoconstriction syndrome, cerebral venous sinus thrombosis or low-pressure headache, though visual disturbance would not be easily explained).
166
Abrupt onset of headache with visual disturbance could be due to [3]
Abrupt onset of headache with visual disturbance could be due to **subarachnoid haemorrhage** (possibly a haemorrhage into the occipital lobe, e.g. from an intracerebral arteriovenous malformation), or **haemorrhage into a pituitary macroadenoma with compression of the anterior visual pathway**. Other possibilities include **reversible cerebral vasoconstriction syndrome, cerebral venous sinus thrombosis or low-pressure headache**, though visual disturbance would not be easily explained).
167
**Correct Answer(s): E** Justification for correct answer(s): The most likely drug contributing to the patient's hyperkalaemia is irbesartan. Irbesartan is an angiotensin II receptor blocker (ARB) commonly used to treat hypertension, especially in CKD. It leads to reduced aldosterone secretion, which in turn leads to reduced potassium secretion.
168
What are the effects of ACE/ARBs on electrolytes? [2]
169
Electrolyte changes in thiazides? [+]
170
Correct Answer(s): D Justification for correct answer(s): This patient has developed oral candidiasis and this is most likely due to local deposition of the inhaled steroid (beclometasone dipropionate). The risk of this happening again can be reduced by using a large volume spacer as there will be less local deposition of the drug in her mouth. Changing to a dry powder or a different steroid inhaler is unlikely to help and may make things worse.
171
Correct Answer(s): E Justification for correct answer(s): Based on the low testosterone and low LH and FSH levels, the most likely cause of his presentation is a pituitary adenoma leading to hypogonadotropic hypogonadism. The pituitary adenoma would suppress the production of L
172
Justification for correct answer(s): The most appropriate management for this patient with type 1 diabetes mellitus, burning pain in his feet, difficulty sleeping, and decreased eGFR would be amitriptyline. Although duloxetine can be used in this condition it is not recommended with an eGFR <30 mL/min. Clinical guideline [CG173] Published: 20 November 2013 Last updated: 22 September 2020 https://www.nice.org.uk/guidance/cg173/chapter/Recommendations
173
A 28-year-old in her first pregnancy has a spontaneous vaginal delivery at term, followed by post-partum haemorrhage, just after the placenta is delivered. The doctor managing the emergency asks the midwife to check for placental integrity. Regarding placental anatomy, which one of the following statements is true? Question 1 Answer a. It originates from the inner cell mass of the blastocyst b. Its thickness at the centre is ~ 4 cm c. A spiral artery usually supplies 3-4 cotyledons d. It contains 15-20 cotyledons
**It contains 15-20 cotyledons**
174
Where specifically does the placenta originate from? [1]
The placenta **originates from the outer cellular layers in the blastocyst, that is the trophoblast**
175
Placental thickness is highest at the centre and is usually ~ [] cm 2.5 3.5. 4.5 5.5 6.5
Placental thickness is highest at the centre and is usually ~ [] cm **2.5** 3.5. 4.5 5.5 6.5
176
Placental thickness **≥[] cm** is often pathological - What could this be caused by? [1]
Placental thickness **≥4 cm** is often pathological - Placental thickness ≥4 cm is often pathological, especially in the context of pre-existing or gestational diabetes mellitus
177
What are the functional units of the placenta? [1] What do each contain? [1] How many are there? [1]
A term placenta contains ~ **15-20 cotyledons**. - Each cotyledon contains **3-4 stem villi**, that are the **functional units of the placenta**.
178
What is each cotyledon is usually supplied by? [1]
Each **cotyledon** is usually supplied by a **single spiral artery**.
179
Pregnancy test is based on urinary detection of hCG. It can detect a pregnancy from [] days after implantation
Pregnancy test is based on urinary detection of hCG. It can detect a pregnancy from **7-10 days** after implantation
180
. In case of complete miscarriage, in the absence of PV bleeding or abdominal pain, a home pregnancy test is usually advised after [] weeks.
. In case of complete miscarriage, in the absence of PV bleeding or abdominal pain, a home pregnancy test is usually advised after **3 weeks.**
181
A 37-year-old in her fourth pregnancy at 17 weeks’ gestation and with a previous history of two early miscarriages, attends A&E complaining of PV leaking. The leakage is pinkish and watery. A speculum examination confirms amniotic fluid pooling in the posterior fornix and a bedside ultrasound scan shown a single viable fetus with anyhydramnios. Which one of the following is the most critical function Question 3 Answer a. Fetal swallowing b. Forms a hydrostatic wedge which helps cervical dilatation c. Protects from cord compression during contractions d. Allows free movements to fetus e. Transfer of nutrients and water
Fetal swallowing
182
he most critical function of the amniotic fluid at this stage of gestation is fetal swallowing. Why? [2]
Ingestion of amniotic fluid and passage within the fetal lungs is an **essential trigger for development during the canalicular phase of lung maturation** (18-25 weeks). It is also critical for **development of the GIT.**
183
Which of heparin / LMWH crosses the placenta? [2]
Many drugs administered to the mother will cross the placenta (exceptions include LMWH but not heparin)
184
ccording to the SPIKES framework, two of the most critical aspects of communication upon delivering unexpected news are: S, space P, perceptions. Describe what these are [2]
ccording to the SPIKES framework, two of the most critical aspects of communication upon delivering unexpected news are: **S, space (physical and non-physical) to connect and join the patient**, and **P, perceptions, to understand what her perceptions are** (hence asking questions) and what is her language, in order to be able to align with that while delivering the news.
185
Which stage of the ovulation cycle has variable length? [1]
The **pre-ovulatory phase of the menstrual cycle** (also known as **follicular** or proliferative phase) has **variable duration,** while the **post-ovulatory phase is rather fixed, as the lifespan of a corpus luteum is of 14 days.**
186
The vestible is the anatomical space enclosed by the []
The vestible is the anatomical space enclosed by the **labia minora**
187
A 21-year-old is reviewed at GP practice due to curdy vaginal discharge, dyspareunia, and generalised soreness in the genital area, which is worsen by urination. Upon examination, the GP notices redness and tenderness in the vestibular area. Which one of the following is the correct anatomical definition of ‘vestibule’? Question 8 Answer a. The inner faces of the labia minora b. The lower end of the vulval introitus c. The anatomical space between the vulva and the anus d. The blind upper end of the vagina e. The anatomical space including the vaginal introitus, the urinary meatus, and the clitoris
**The anatomical space including the vaginal introitus, the urinary meatus, and the clitoris**
188
Which ligament collects blood during c-section? [1]
The **broad ligament is composed by two sheets of peritoneum**. It extends from the lateral pelvic wall on both sides and folds over the internal female genitalia covering their surfaces anteriorly and posteriorly. It also includes parametrial tissues, vessels, lymphatics, and nerves. **This ligament is prone to collect bloods when complex caesarean sections are carried out with lateral extensions.**
189
The [] ligament is a band of fibrous tissue which keeps the uterus in position during pregnancy.
The **round ligament** is a band of fibrous tissue which keeps the uterus in position during pregnancy.
190
33-year-old lady in her second pregnancy and with a history of previous caesarean section undergoes an emergency caesarean section in labour due to suspected fetal compromise. A transverse lower segment uterine incision is carried out, which is complicated by extension and collection of blood (haematoma) within one of the uterine ligaments. Which ligament is most likely to be involved? Question 9 Answer a. Infundibulo-pelvic ligament b. Broad ligament c. Meso-ovarian ligament d. Cardinal ligament e. Round ligament
Broad ligament
191
Describe the uterine body-cervix ratio during infant, reproductive age and post-menapausal [3]
The uterine body -cervix ratio is 1:1 during infancy, 2:1 during during reproductive age, and goes back to 1:1 in post-menopause as the uterus becomes atrophic.
192
What is the version angle? [1]
The **version angle** is between the **long axis of the cervix and the vagina**.
193
A 32-year-old lady is referred to a gynaecologist due to a 6-month history of pelvic pain, dysmenorrhea, and dyspareunia. Her sexual health screening is negative. A transvaginal ultrasound reveals a retro-verted uterus and multiple adhesions suggestive of endometriosis. Regarding uterine anatomy, which of the following statement is correct? Question 11 Answer a. An anteverted uterus has a version angle greater than 90 degree b. The uterine body-cervix ratio is 2:1 in post-menopause c. The version angle is between the long axis of the cervix and the vagina d. 80% of uteri are axial or retroverted e. Each `Fallopian tube meet the uterus at the infundibulum
A 32-year-old lady is referred to a gynaecologist due to a 6-month history of pelvic pain, dysmenorrhea, and dyspareunia. Her sexual health screening is negative. A transvaginal ultrasound reveals a retro-verted uterus and multiple adhesions suggestive of endometriosis. Regarding uterine anatomy, which of the following statement is correct? Question 11 Answer a. An anteverted uterus has a version angle greater than 90 degree b. The uterine body-cervix ratio is 2:1 in post-menopause c. **The version angle is between the long axis of the cervix and the vagina ** d. 80% of uteri are axial or retroverted e. Each `Fallopian tube meet the uterus at the infundibulum
194
A 38-year-old in her first pregnancy at 8 weeks’ gestation is reviewed in Early Pregnancy Unit due to right sided pain and PV spotting. A transvaginal ultrasound scan reveals a single, viable intrauterine pregnancy and a normal corpus luteum in the right ovary. Regarding the corpus luteum, which of the following statements is true? Question 1 Answer a. The corpus luteum secretes low levels of progesterone throughout pregnancy b. Once the corpus luteum becomes corpus albicans, progesterone secretion increases c. The luteal phase of the menstrual cycle has variable duration d. Most progesterone secretion is taken over by placenta from around 12 weeks e. Luteal deficiency can be associated with multiple pregnancies
Feedback Your answer is correct. The correct answer is: **Most progesterone secretion is taken over by placenta from around 12 weeks**
195
A 17-year-old girl is seen in the Ultrasound department for a gynae scan due to irregular menstrual cycles and hirsutism. Her BMI is 35. The ultrasound reveals bilaterally enlarged ovaries with multiple peripheral follicles and hyperechogenic stroma. Regarding the anatomy of the ovaries, which of the following statements is correct? Question 3 Answer a. They are not covered by peritoneum b. The cortex is the peripheral part of the ovary c. The ovarian artery is a branch of the hypogastric artery d. They are adjacent to the isthmic part of the tube e. The infundibulo-pelvic ligament connects the ovary to the uterine cornu
The cortex is the peripheral part of the ovary
196
Describe how the ovaries are held in place by ligaments [2]
The **ovaries are covered by peritoneum**. They are **attached** to the **posterior surface of the broad ligament by the meso-ovarium** and to the **lateral uterine wall by the ovarian ligament** (not the infundibulo-pelvic ligament, that is a vascular ligament containing the ovarian vessels)
197
The ovarian artery originates from the [1]
The ovarian artery originates from the **abdominal** **aorta**, below the renal arteries.
198
A 32-year-old woman in her first pregnancy and labelled as “low-risk” at booking, is admitted to the hospital at 41+5 weeks gestation for induction of labour. The antenatal CTG meets criteria and the tocograph does not record any meaningful uterine activity. Upon examination, the cervix is found to be 3 cm dilated with bulging membranes and an artificial rupture of membranes is carried out. This shows the amniotic fluid to be heavily meconium stained. Is the meconium a problem? [1]
In a low-risk primigravida with a post-term pregnancy, meconium is common and **may indicate fetal maturation rather than compromise** However, **fetal distress/chronic hypoxia should always be suspected. Therefore, in the presence of meconium, it is recommended that delivery is expedited.**
199
A 32-year-old woman in her first pregnancy and labelled as “low-risk” at booking, is admitted to the hospital at 41+5 weeks gestation for induction of labour. The antenatal CTG meets criteria and the tocograph does not record any meaningful uterine activity. Upon examination, the cervix is found to be 3 cm dilated with bulging membranes and an artificial rupture of membranes is carried out. This shows the amniotic fluid to be heavily meconium stained. What is the best next step in this case? Question 6 Answer a. Discuss fetal blood sampling or skull stimulation to exclude fetal acidosis b. Discuss immediate labour augmentation with vaginal prostaglandins c. Allow 24 hours to wait for spontaneous onset of uterine contractions d. Allow 4 hours to wait for spontaneous onset of uterine contractions e. Discuss immediate labour augmentation with oxytocin
A 32-year-old woman in her first pregnancy and labelled as “low-risk” at booking, is admitted to the hospital at 41+5 weeks gestation for induction of labour. The antenatal CTG meets criteria and the tocograph does not record any meaningful uterine activity. Upon examination, the cervix is found to be 3 cm dilated with bulging membranes and an artificial rupture of membranes is carried out. This shows the amniotic fluid to be heavily meconium stained. What is the best next step in this case? Question 6 Answer a. Discuss fetal blood sampling or skull stimulation to exclude fetal acidosis b. Discuss immediate labour augmentation with vaginal prostaglandins c. Allow 24 hours to wait for spontaneous onset of uterine contractions d. Allow 4 hours to wait for spontaneous onset of uterine contractions e. **Discuss immediate labour augmentation with oxytocin**
200
A 32-year-old in her first pregnancy and low-risk at booking, is admitted to delivery suite for spontaneous labour. The membranes have recently ruptured, and the amniotic fluid volume is clear. Maternal observations are normal. Last vaginal examination, performed 2 hours earlier, showed the cervix to be 8 cm dilated and the fetal head station 0 cm. There are 4 contractions in 10 minutes. The CTG is now pathological due to reduced fetal heart variability for over 90 minutes. **What is the most correct management plan?**
The clinician in this case needs to expedite labour and reassure themselves that the fetus is not at risk and that it is safe to continue pursuing vaginal birth. The most likely **next step would be vaginal examination** (to see if there is further progress in labour, prior to make a decision regarding expediting delivery) **and fetal scalp stimulation** - **Good reactivity at fetal scalp stimulation** would reassure the **doctor that the reduced variability on the fetal heart trace is unlikely to be due to hypoxia**. **Expediting by CS could be an option**, if the **vaginal examination shows no progress** and **no reactivity to fetal skull stimulation**, or if they were other risks factors such as **sepsis or meconium.**
201
How much blood is a bed soaked with blood? [1] How much is floor spill? [1]
A bed soaked with blood is estimated to be at least 1000ml of blood, with floor spill 2000ml.
202
When do you perform a peri-mortem c section? [2] Where does this occur? [1]
A perimortem caesarean should be performed if the woman is pregnant and the **uterus is approaching or above the umbilicus** and there is **no response in first 4 minutes of resuscitation** (as hypoxic brain damage is evident by 6 minutes). - This should **occur at the site of collapse and CPR must be continued throughout the procedure.**
203
A 10-year-old premenarchal girl attends the A&E department with severe RIF pain. Initially this pain was intermittent for a few days but now is constant. She also reports vomiting and reduced appetite. On examination, her abdomen is rigid with rebound tenderness. Her blood results reveal mildly increased WCC with normal CRP. An ultrasound scan reveals a swollen right adnexum with no blood supply at color Doppler investigation. She is taken for an emergency laparoscopy which confirms ovarian torsion. The ovary is detorted, and the girl has a speedy recovery. What is the gold standard for diagnosing ovarian torsion? Question 2 Answer a. Abdominal and pelvic examination b. Laparoscopy c. Increased inflammatory markers d. Clinical history e. Ultrasound with use of colour Doppler
**Laparoscopy**
204
The Ockenden Report was an independent review into maternity services which revealed a failure of maternity governance processes at which NHS Trust? Question 6 Answer a. Shrewsbury & Telford Hospital NHS Trust b. East Kent (Morecambe Bay Hospital) c. Mid Staffordshire Foundation Trust d. University Hospitals Birmingham NHS Foundation Trust e. Mid and South Essex NHS Foundation Trust
**Shrewsbury & Telford Hospital NHS Trust**
205
The 4 key pillars for essential actions of the Ockended report were [4]
The 4 key pillars for essential actions of the Ockended report were **safe staffing, well-trained workforce, learning from incidents and listening to families.**
206
Which of the following statements best apply to the “Duty of Candour”? Question 7 Answer a. It involves telling the person when something has gone wrong b. It must be completed after a full investigation c. It applies only to safety incidents leading to death d. It is not a legal duty, but it is best practice e. It involves apologising to the person affected and admitting wrong doing
It is not a legal duty, but it is best practice
207
Describe what is meant by duty of candour
The **duty of candour is a general duty to be open and transparent with people receiving care from you**. It means saying sorry, not admitting fault. It is not a legal duty but best practice. It is carried out irrespective of whether there is anyone’s liability, as it is the first step to learning from what happened and preventing it recurring. It applies to any safety incidents, not only to those requiring full investigations. It applies to all health and social care providers that the National Care and Quality Commission (CQC) regulates.
208
A 30-year-old female and her 34-year-old male partner are seen in the fertility clinic with a 2-year history of primary infertility. The doctor seeing them discusses the various female and male factors which may contribute to infertility. One of these is female ovarian reserve. What is the most important determinant of ovarian reserve and hence fertility? Question 8 Answer a. Body mass index b. Genetic make-up c. Age d. Environmental influences e. Prenatal smoking exposure
**Age is responsible for 85% of the variation in ovarian reserve**. The remaining 15% is accounted by environmental factors. In women < 25 years, age accounts for 95% of the variation and only 5% is determined by other factors.
209
A 32-year-old female undergoes investigations for infertility. A baseline ultrasound scan shows the presence of a right sided fluid filled adnexal structure. This is diagnosed by the doctor as hydrosalpinx. What is the recommended treatment for hydrosalpinx in a woman proceeding for IVF treatment? Question 10 Answer a. Doxycicline 100mg BD for 7 days b. Ceftriaxone 1mg IM once only c. Hysterosalpingography d. Expectant management e. Removal/clipping of hydrosalpinx
**Removal/clipping of hydrosalpinx**
210
**[]** is the leading cause of indirect maternal deaths.
Cardiac disease is also the leading cause of indirect maternal deaths. but maybe covid?
211
[] was the leading cause of maternal death in the UK in 2020-22.
**Thrombosis and thromboembolism** was the leading cause of maternal death in the UK in 2020-22.
212
A 25-year-old is seen by the GP for a sudden, tender swelling on the left side of the vagina. This is red, painful to touch and makes it difficult to walk or sit. She is otherwise well in herself, and her observations are normal. She is sexually active but currently not in a relationship and her last intercourse was 6 months back. She never experienced this before. Upon examination, the GP confirms a Bartholin’s gland abscess. What is the most likely initial management? Question 14 Answer a. Broad spectrum antibiotics b. Conservative management (pain relief and saline baths) c. Surgical marsupialization d. STI screening prior to start antibiotic treatment. e. Incision and drainage
A 25-year-old is seen by the GP for a sudden, tender swelling on the left side of the vagina. This is red, painful to touch and makes it difficult to walk or sit. She is otherwise well in herself, and her observations are normal. She is sexually active but currently not in a relationship and her last intercourse was 6 months back. She never experienced this before. Upon examination, the GP confirms a Bartholin’s gland abscess. What is the most likely initial management? Question 14 Answer a. **Broad spectrum antibiotics** b. Conservative management (pain relief and saline baths) c. Surgical marsupialization d. STI screening prior to start antibiotic treatment. e. Incision and drainage
213
A 16-year-old is brought in by her mother who is concerned about her lack of pubertal signs and menstruation. Her serum gonadotrophin levels are raised. Which of the following causes of delayed puberty is associated with elevated circulating gonadotrophin levels? Question 15 Answer a. Prolactinoma b. Anorexia nervosa c. Kallman syndrome d. Gonadal dysgenesis e. Still's disease
A 16-year-old is brought in by her mother who is concerned about her lack of pubertal signs and menstruation. Her serum gonadotrophin levels are raised. Which of the following causes of delayed puberty is associated with elevated circulating gonadotrophin levels? Question 15 Answer a. Prolactinoma b. Anorexia nervosa c. Kallman syndrome d. **Gonadal** **dysgenesis** e. Still's disease
214
A 26-year-old woman with her 28-year-old female partner are seen in the fertility unit for fertility treatment using donor sperm. She gives a history of irregular menstrual cycles, 60-180 days. She complains of excessive facial hair growth and an ultrasound scan reports polycystic ovarian morphology. She has a BMI of 21. What is the first line treatment for anovulatory infertility due to PCOS in a woman with a normal BMI? Question 1 Answer a. FSH b. Metformin c. Clomiphene/letrozole d. IVF e. IUI
**Clomiphene/letrozole**
215
A woman with multiple fibroids has just had a spontaneous vaginal delivery. The midwife starts active management of third stage of labour. What does this include? Question 3 Answer a. Bimanual compression b. Bladder filling c. Vaginal misoprostol d. Oxytocin injection e. Delayed cord clamping
**Oxytocin injection**
216
A 28-year-old in her first pregnancy is seen at 38 weeks by her midwife. The abdominal palpation suggests breech presentation. A bedside scan confirms breech presentation. The midwife counsels the patient regarding delivery options for breech presentation. Which of the following is a complication of breech presentation? Question 4 Answer a. Delayed first stage of labour b. Amniotic fluid embolism c. Post-partum haemorrhage d. Uterine rupture e. Cord prolapse
**Cord prolapse, fetal head entrapment, premature rupture of membranes and birth asphyxia** are complications of breech delivery.
217
A 27-year-old primipara who is booked for elective caesarean section at 39 weeks due to breech presentation presents to triage at 38+3 weeks contracting and with cervical dilatation 5 cm. The urgency of her caesarean section procedure is therefore changed. Which of the following is the new urgency category? Question 9 Answer a. Category 2 b. Category 3 c. Category 4 d. Category 5 e. Category 1
Category 2
218
A 32-year-old lady in her third pregnancy and with a previous history of pre-eclampsia is seen for routine growth scan at 32 weeks. The scan shows reduced fetal growth velocity and abnormal fetal and maternal Dopplers. Her BP at booking was 135/85 mmHg. What is the most likely aetiology of fetal growth restriction in this fetus? Question 11 Answer a. Constitutional b. Placental dysfunction c. Wrong dating d. Genetic e. Infections
Placental dysfunction
219
A 33-year-old in her first pregnancy is transferred to theatre for trial of instrumental delivery due to prolonged second stage of labour and occipito-posterior position. The trial fails and the procedure is converted to caesarean section. Regarding caesarean section at full dilatation, which of the following is a major concern for future pregnancies specific to this procedure? Question 14 Answer a. Increased risk of ectopic pregnancy b. Increased risk of PPH c. Increased risk of abnormally invasive placenta d. Deeply engaged fetal head e. Increased risk of preterm birth
**Caesarean section at full dilatation increases the risk of preterm birth in future pregnancies**. Risk of PPH and deeply engaged head apply to this pregnancy, but not the future ones. Increased risk of abnormally invasive placenta and ectopic pregnancy (including scar pregnancy) apply to all caesarean section and not specifically to the one at full dilatation.
220
. This disorder causes learning difficulties in male children only. The severity of the disorder becomes worse in subsequent generations. What is the most likely diagnosis? Duchenne muscular dystrophy Hunter syndrome Di George syndrome Fragile X syndrome Haemophilia A
**Fragile X syndrome**
221
Describe the coagulation screen results for haemophilia, acute leukaemia, VWD and DIC [4]
**Haemophilia**: - APTT increased, PT and Thrombin time normal
222
24-year-old attended with painful regular contractions for the past 5 hours. A vaginal examination shows that her cervix is 5 cm dilated. She requests an epidural. Which of the following statements about an epidural is correct? It causes variation in the fetal heart rate It is associated with a higher rate of caesarean delivery It requires increased fetal surveillance It is the leading cause of postnatal backache It is available in a low-risk birthing unit
**It requires increased fetal surveillance**
223
**Hourly Maxidex drops** (Dexamethasone eye drops)
224
A 50 year old woman is under a community mental health team (CMHT) for management of a long term psychiatric condition. Due to the medications that she takes she has a yearly physical health check during which an ECG is performed, see below. She reports feeling well in herself with no chest pain or cardiac symptoms. Which one of the following medications is the patient most likely to take given the ECG findings? Sodium valproate Quetiapine Zopiclone Lorazepam Diazepam
**Quetiapine** - 2nd generation anti-psychotic causes QT prolongation
225
How would you differentiate between ongoing miscarriage and ectopic pregnancy? [2]
Vital signs are normally ok in miscarriage vs not in ectopic Clots in miscarriage
226
State 4 risks of epidural use in pregnancy [4]
**Risk of Maternal Hypotension** **Changes in Uterine Activity** * Epidurals can alter contraction patterns: * Sometimes they slow down labor, requiring oxytocin augmentation. * They may also affect uterine tone. **Risk of Instrumental or Operative Delivery** * Epidurals may prolong the second stage of labor (pushing phase). * There's an increased likelihood of needing forceps, vacuum, or cesarean delivery **Maternal Immobility and Positioning** * With an epidural, the mother is often less mobile. * This can reduce her ability to naturally change positions, which helps with fetal descent and oxygenation. * Poor positioning may contribute to cord compression or non-reassuring fetal heart rates.
227
State where CES would be on an MRI [1]
228
How do you differentiate between CT w/ without contrast?
229
What view is this [1]1
sagittal
230
View?
coronal (non-contrast)
231
View?
Axial
232
What are the difference in MRI T1 and T2 and flair? [3]
**T1-weighted MRI**: Highlights anatomy, provides crisp images, and shows fluids as dark. It is particularly useful for visualizing fat tissue. **T2-weighted MRI**: Focuses on pathology, making **fluids bright**, which is ideal for **visualizing** **inflammation**, **edema**, and **certain lesions** - T2 = H2O
233
A 72 year-old man has left homonymous hemianopia with macular sparing. What is the most likely location of the lesion? Left optic tract Right optic tract Right occipital lobe Optic chiasm Left occipital lobe
**Right occipital lobe**
234
A patient who has been recently diagnosed with depression and has been treated with an SSRI antidepressant for the last four weeks. Which of the following side-effects is the patient most likely to experience? Dermatological (e.g. rash) Sexual (e.g. loss of libido) Antihistaminergic (e.g. sedation, psychomotor slowness) Extrapyramidal (e.g. stiffness, cogwheel rigidity) Anticholinergic (e.g. dry mouth, blurred vision, urinary hesitancy)
Sexual (e.g. loss of libido)
235
A previously healthy 19 year old primigravida is found unresponsive in bed one morning. Attempts to resuscitate her fail. Three weeks earlier she had a positive pregnancy test and was due to see a midwife for her booking tests later that week. A post-mortem revealed a ruptured tubal pregnancy. Which of the following is true of maternal mortality in the UK? It is defined as a maternal death associated with pregnancy or childbirth occurring up to 6 weeks after delivery It does not include deaths from complications of therapeutic termination of pregnancy The majority of anaesthetic deaths in pregnancy are due to epidurals The most common cause in the UK is hospital acquired infections It does not include deaths from suicide during pregnancy
**It is defined as a maternal death associated with pregnancy or childbirth occurring up to 6 weeks after delivery**
236
What is epilepsy mesial temporal sclerosis? [1] What is it associated with? [1]
a **condition that causes scarring in the deep part of the temporal lobe**, specifically affecting the **hippocampus** and **amygdala**. This scarring is a common cause of **focal seizures and epilepsy in the temporal lobe**
237
Describe how you collect ACR samples [3]
**Collecting an ACR sample** * by collecting a 'spot' sample it avoids the need to collect urine over a 24 hour period in order to detect or quantify proteinuria **should be a first-pass morning urine specimen** * if the **initial ACR is between 3 mg/mmol and 70 mg/mmol, this should be confirmed by a subsequent early morning sample.** * If the initial **ACR is 70 mg/mmol or more, a repeat sample need not be tested.**
238
When would you refer to a nephrologist regarding ACR? [3]
a urinary albumin:creatinine ratio (ACR) of **70 mg/mmol or more,** **unless** known to be caused by **diabetes** and already appropriately treated a **urinary ACR of 30 mg/mmol or more,** together with **persistent** **haematuria** (two out of three dipstick tests show 1+ or more of blood) after exclusion of a urinary tract infection consider referral to a nephrologist for people with an ACR **between 3-29 mg/mmol who have persistent haematuria and other risk factors such as a declining eGFR, or cardiovascular disease**
239
A 35 year old woman visits her general practitioner (GP) complaining of a productive cough of 6 weeks duration. On further questioning she has a history of fever and night sweats and lost about 10 kg in weight during this time. She lived in Nigeria until she was 16 years old. Which one of the following investigations should the GP request first? bronchoscopy serum interferon-gamma release assay full blood count mantoux test sputum for acid fast bacillus
**sputum for acid fast bacillus**
240
Oral dose for fluconazole for thrush? [1]
**150 mg for 1 dose**.
241
What are the features of avoidant personality disorders? [+]
The features described are consistent with avoidant personality disorder, which is characterised by **social inhibition, feelings of inadequacy and hypersensitivity to criticism, and a strong desire for affection and acceptance**. People with this disorder tend to **avoid social situations and have few close relationships**, often relying heavily on a **single attachment figure.** They may also experience physical symptoms such as **headaches and stomach aches** when faced with **stress** or anxiety-provoking situations.
242
What would brain dead look like on ECG? [1] Be specific [1]
Electrocerebral inactivity (ECI) or electrocerebral silence (ECS) is defined as **no EEG activity over 2 uV** when recording from scalp electrode pairs 10 or more cm apart with interelectrode impedances under 10,000 Ohms (10 KOhms), but over 100 Ohms.
243
Dx? [1]
**dermatomyositis** **Perifascicular muscle** **fibre** **atrophy** is a specific, histopathological feature of dermatomyositis6 **Inflammatory infiltrates** are predominantly located in the **perimysium and perivascular regions** and include CD4+ T cells2,6, B cells2 and plasmacytoid dendritic cells6
244
Dx? [1]
IBM
245
Dx? [1] History of parasthesias and numbness
**Corpus callosum lesions** – around the corpus callosum = **MS**
246
**Optic neuritis** Abnormal signal in the optic chiasm – too bright on the RHS Contrast ehnahces Optic neuritis in the right optic nerve Can be initial manifestation of MS
247
**Correct Answer(s): B** Justification for correct answer(s): Based on the given information, the most likely cause of their inability to conceive is anovulatory cycles. **The woman’s menstrual cycle is longer than the normal range of 21-32 days, which suggests** that she may not be ovulating regularly. The absence of any other medical conditions or abnormalities in either partner suggests that anovulation is the most likely cause of their infertility.
248
Correct Answer(s): A Justification for correct answer(s): As the patient is currently unable to answer questions and although his wife reports that he planned to discontinue active treatment, this has not been documented and cannot be verified. The admitting team should therefore decide about the best clinical approach to the patient, including appropriateness or otherwise of CPR.
249
Describe the characteristics of **social phobia** [2]
Social phobia is a type of anxiety disorder characterised by an **excessive and persistent fear of social situations**, including **public speaking**. It can cause significant distress and interfere with daily activities. Treatment options may include cognitive-behavioural therapy and/or medication.
250
Correct Answer(s): D Justification for correct answer(s): Placement of an oesophageal stent can **provide palliation of dysphagia in patients with oesophageal cancer**. It is a minimally invasive procedure that can be done under sedation or general anaesthesia. It involves placement of a metal or plastic stent into the oesophagus to hold it open, allowing food and liquid to pass through. It is a safe and effective option for patients with dysphagia due to oesophageal cancer, particularly in those with advanced or metastatic disease who may not be candidates for curative treatment
251
CEA and AFP are markers for which cancers? [2]
CEA: colorectal AFP: liver
252
Tx for acute dystonia includes? [2]
Treatment includes anticholinergic medication such as benztropine or diphenhydramine
253
100. A 2 day old boy undergoes his routine neonatal hearing screen. His mother has been deaf since early childhood and has bilateral hearing aids. She asks whether her baby will be deaf. Which is the most appropriate additional assessment?
**A. Brainstem evoked response test** ustification for correct answer(s): Brainstem evoked response test would be the most appropriate additional assessment in this case. This test measures the electrical activity in the auditory pathway in response to sound and can detect hearing loss even in newborn infants. It is a reliable and objective way of assessing the function of the auditory system and can identify hearing loss at an early stage, which is important for early intervention and treatment.
254
What are features of personality disorders? [4]
255
Up to [] infections a year (and some-times up to []) is normal for **pre-school infection**
Up to **8 infections** a year (and some-times up to **12**) is normal for pre-school infection
256
Reactive lymphadenopathy is common in children – how does it present? [2]
**Reactive lymphadenopathy** is common in children – this usually occurs with a **viral upper respiratory tract infection**; children will get usually **bilateral cervical lymphadenopathy.** - the lymph nodes are usually **small, mobile and discrete**, and **minimally tender without erythema or warmth**
257
**Cervical lymphadenitis** is commonly caused by either [2] - How do you manage? [1]
Cervical lymphadenitis is commonly caused by either **Group A Streptococcus or Staph aureus** - children can either be **managed on oral antibiotics, or admitted to hospital and given intravenous antibiotics**
258
**reflex anoxic seizures** (breath-holding spells) are common in young children, and do not require any investigation or treatment. They often occur when a child is upset or angry, or has a sudden shock or pain. They are harmless, but can be really scary for parents to witness. With a generalised seizure, a child would usually have a post-ictal period (when they are sleepy or confused) for at least 15 minutes, whilst this child quickly recovered. If they are **recurrent** they can occasionally be associated with **[]**
If they are **recurrent** they can occasionally be associated with **IDA**
259
A 6 year old boy presents with pallor, lethargy and bruising. Bloods show Hb 67 (115 - 140,) WCC 33 (5-12,) platelets 46 (150 - 450) and a film confirms the presence of blasts. Which features are associated with a more favourable prognosis in acute lymphoblastic leukaemia? Tick as many as apply. Question 8 Select one: Being male WCC < 50 at diagnosis Hb >70 at diagnosis Age < 5 years T cell ALL
**WCC < 50 at diagnosis**
260
Which results would support a diagnosis of disseminated intravascular coagulation (DIC)? [4]
Platelets decreased, PT prolonged, APTT prolonged, INR raised, D Dimer raised, Fibrinogen decreased
261
**Sickle cell disease** is diagnosed by []
Sickle cell disease is diagnosed by **haemoglobin electrophoresis (requested as a haemoglobinopathy screen,) with >80% HbS in Sickle Cell Disease**
262
Which of the following is a term used to describe a baby born weighing less than 1000g? Question 2 Select one: a. Very low birthweight b. Low birthweight c. Incredibly low birthweight d. Extremely low birthweight
**Extremely low birthweight**
263
A child is born with upslanting palpebral fissures, prominent epicanthic folds, a protruding tongue and a singular palmar crease on both hands. They are hypotonic. Given the suspected diagnosis, which test would provide the quickest confirmatory evidence? Question 4 Select one: a. Karyotype b. Genome sequencing c. Fluorescent in-situ hybridisation d. Microarray
A child is born with upslanting palpebral fissures, prominent epicanthic folds, a protruding tongue and a singular palmar crease on both hands. They are hypotonic. Given the suspected diagnosis, which test would provide the quickest confirmatory evidence? Question 4 Select one: a. Karyotype b. Genome sequencing c. **Fluorescent in-situ hybridisation** d. Microarray
264
As a neonatal SHO, you’re called to attend the delivery of a baby who the obstetric team are worried is in foetal distress. The baby is born in poor condition, with no spontaneous respiratory effort, and they appear blue and floppy with a slow heart rate. From the list below, what is the key aim of initial resuscitation? Question 13 Select one: a. Inflate the lungs b. Provide 100% oxygen c. Gain IV access d. Provide chest compressions
Inflate the lungs
265
On average, what percentage of babies born in the UK require input on a neonatal unit? Question 16 Select one: a. 25% b. 9% c. 14% d. 5%
**14%**
266
What is the most common demographic and location of an inguinal hernia? Question 6 Select one: a. Female, bilateral b. Male, left-sided c. Female, right-sided d. Male, right-sided e. Male, bilateral
**Male, right-sided**
267
A child with increased work of breathing but normal oxygen saturations, stomach pain. This could be...
increased work of breathing but normal oxygen saturations – this could be **kussmaul breathing** – **DKA**
268
**Duodenal atresia** – double bubble sign (gas in the stomach and duodenum only)
269
A child is admitted with an unexplained fracture and bruising. What is the name of the formal multi-agency meeting which will be held to agree the next steps? A. Professionals meeting B. Multi-agency meeting C. Discharge planning meeting D. Strategy meeting E. Child protection panel
A child is admitted with an unexplained fracture and bruising. What is the name of the formal multi-agency meeting which will be held to agree the next steps? A. Professionals meeting B. Multi-agency meeting C. Discharge planning meeting **D. Strategy meeting** E. Child protection panel
270
A child needs one to one support to facilitate his learning at the current main stream school and is progressing well with the support he receives. How can this be process be formalised?
**Education and Health care plan (EHCP)** - This outlines any special educational needs a child has and the provision a local authority (LA) must put in place to help them. The funding for this additional support is from school budget and any additional budget is provided by LA.
271
What is the difference between DLA and PIP? [1]
DLA stands for disability living allowance. For children over 16 years and adults this has now been replaced by PIP (personal independence plan.)
272
State what is meant by an IEP (Individual Education Plan) [1]
An IEP (Individual Education Plan) is used for children who are not fulfilling their potential at school, or may have an additional need that requires modification of the curriculum or extra learning resources. It is written by teachers, and is a tool to help plan, teach, monitor and evaluate a particular student’s progress.
273
If you think ?Cerebral palsy, what is the next management step? [1]
**The correct answer is referral to Community Paediatrics.** - The red flag in this case is Hand Preference in an infant under 1 year of age. This raises concerns regarding the possibility of unilateral weakness, and thus, cerebral palsy (especially as the child was premature and had a long stay on the neonatal unit, because pre-term infants are at higher risk of brain haemorrhage shortly after birth). - **You may also find abnormal tone on examination**. Once referred to community physio they would l**ikely consider referral to physio and for MIR** (however, this would be done after their assessment).
274
A lack of **[] words** by 18 months is a developmental red flag
A lack of **6 words** by 18 months is a developmental red flag
275
A lack of 6 words by 18 months is a developmental red flag and not having any words at this age **shows a delay in the speech, language and hearing functional area** of development. A delay in this functional area would warrant a **[] test** as a the first step.
The correct answer is a hearing test. A lack of 6 words by 18 months is a developmental red flag and not having any words at this age shows a delay in the speech, language and hearing functional area of development. **A delay in this functional area would warrant a hearing test as a the first step.**
276
A baby fails the Newborn Hearing Screening. What is the next appropriate step and why? [1]
The Newborn Hearing Screening test uses a Evoked otoacoustic emission test (EOAE), which uses an earphone to produce a sound which produces an echo from the normal ear. **However, amniotic fluid in the ear canal can commonly cause false positives**. - Therefore, it is appropriate to reassure mum that this does not necessarily mean a problem with hearing at this stage, but that baby will need either a repeat test or a different type of test to check the hearing.
277
Faltering growth is a red flag in infants with vomiting - what specifically would trigger further investigations? [2]
Faltering growth is a red flag in infants with vomiting – **infants with weight below the 2nd centile**, or **whose weight has dropped two centiles, should have further investigation**.
278
Describe features of innoncent murmurs [+]
Innocent heart murmurs are usually **systolic, short** and have a ‘**musical**’ or ‘**vibratory**’ quality to them. They **do not usually radiat**e, and are less than **grade 4/6 in intensity** (i.e. no thrill present.) Innocent heart murmurs often **vary with respiration and the position of the child.** Tachycardia, tachypnoea and hepatomegaly may suggest possible cardiac failure. If femoral pulses are absent, this is concerning for coarctation of the aorta, and further investigation is required. Children over 1 year of age with features of an asymptomatic innocent heart murmur, with normal examination, do not require any further investigation. The family can be reassured and safety net advice given.
279
Dx? [1]
**Presbyacusis (age-related hearing loss)** The pathophysiology of age-related hearing loss (ARHL), or presbycusis, involves a complex interplay between environmental and genetic factors.6 These include noise exposure, genetic predisposition, cell damage and neural degeneration. **Presbycusis is characterised by bilateral hearing loss above 2000Hz.** On a standard audiogram, presbycusis appears as an overall down-sloping line representing **impaired hearing at higher frequency sounds.** **Presbyacusis is classically bilateral and symmetrical.**
280
**Noise-induced hearing loss** is typically characterised by a notch on the audiogram at 4000 Hz.
281
**Meniere’s disease** is typically characterised by **low-frequency sensorineural hearing loss.**
282
**Otosclerosis** is pathologically characterised by abnormal bony remodelling, which includes bone resorption, new bone deposition, and vascular proliferation in the temporal bone. 7 Otosclerosis is characterised by conductive hearing loss with loss in bone conduction at 2000 Hz (referred to as Carhart’s notch).