Pleural Effusion Main Features
Exudative - inflammatory (increased permeability) i.e. Malignancy, Pneumonia/TB/Empyema (ph <7.2, low glucose), PE etc. High protein (>30g/L) & LDH.
Transudative (changes to hydrostatic/osmotic forces) - non-inflammatory i.e. HF, RA, Cirrhosis, Hypoalbuminaemia (nephrotic, LD, Meig’s - triad of ascites, pleural effusion and rhs ovarian tumour), Hypothyroid etc. Low protein (<30g/L) & LDH.
Symptoms: Dyspnoea, Chest pain, Reduced exercise tolerance.
Signs: Tracheal deviation (away), Reduced chest expansion, Stony dullness to percussion, absent/reduced breath sounds on auscultation, reduced vocal fremitus.
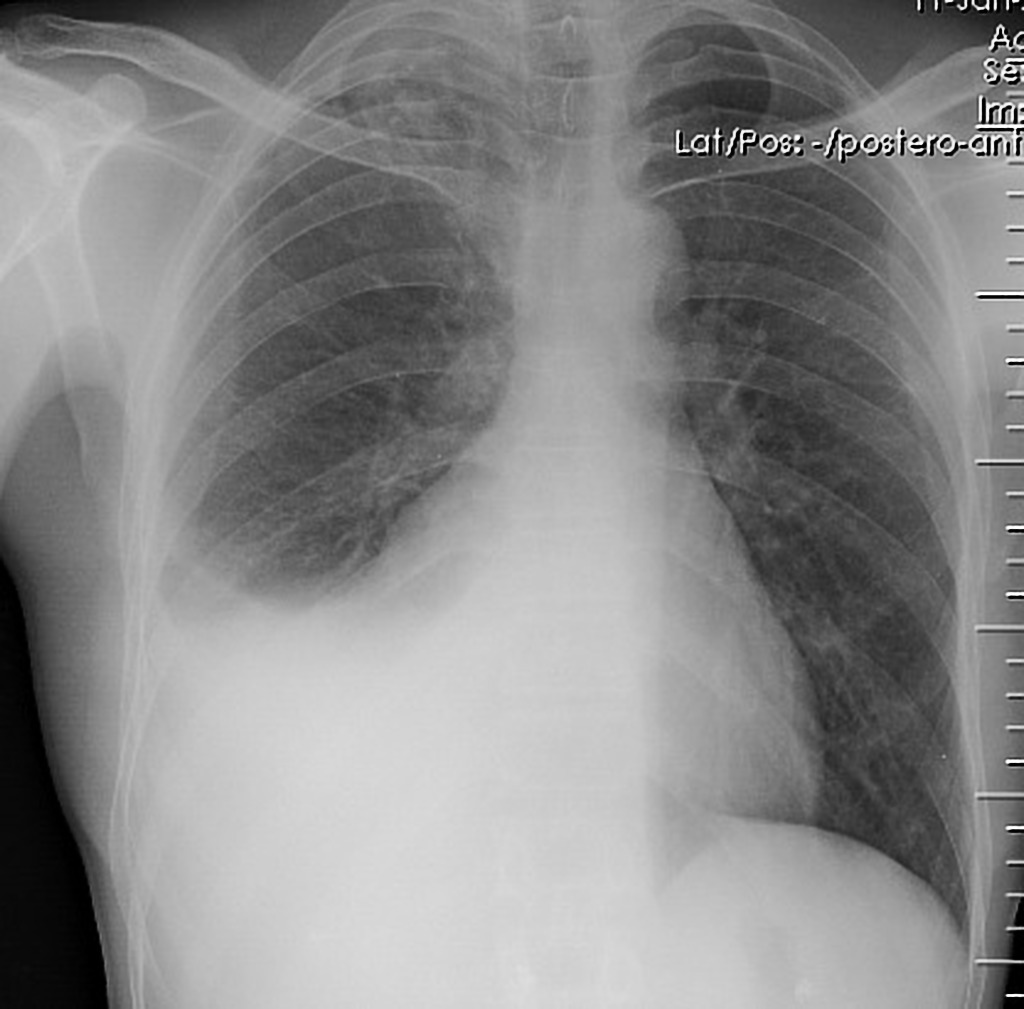
Ix: PA CXR; blunting of costophrenic angle or white-out (large).
Management: ABCDE, US-guided aspiration, Intercostal drain, Pleurodesis with tetracycline/bleomycin (recurrent).

Asthma
A: Reversible airway obstruction
Symptoms: Wheeze, dyspnoea, cough (nocturnal), chest tightness, diurnal variation (worse in morning), atopy/FHx, worse after exercise or NSAIDs/BBlockers
Signs: Tachypnoea, Hyperinflated lungs, Hyper-resonance (air-trapping), Reduced air entry, Wheeze on auscultation.
Ix: Peak flow (variability >20%). FENO >40 adults or <35 in paeds
Tx: SABA (salbutamol) - ICS (beclometasone) - LABA (salmeterol); if no benefit stop and increase ICS dose - LRTA (montelukast), high-dose steroid or oral b2-agonist
Pneumonia Types
Symptoms: Fever, malaise (unwell), rigors, cough, purulent sputum, pleuritic chest pain, haemoptysis.
Signs: tachypnoea, tachycardia, hypotension, cyanosis, pyrexia, dullness to percussion, increased vocal resonance/tactile fremitus, bronchial breathing (high pitched), pleural rub.
CAP:
HAP (>48hrs admission): Pseudomonas aeruginosa, Staph. aureus, Enterobacteria.
Staph aureus: gram-positive cocci; IVDUs, Elderly or Influenza
Klebsiella: gram-negative aneorobic rod; ‘red-currant’ sputum, elderly, alcoholics & diabetics.
Mycoplasma: flu-like symptoms (arthralgia, myaligia, dry cough & headache), affects younger patients.
Legionella: Fever, myalgia and malaise followed by dyspnoea and dry cough. Associated with legionnaire’s disease. Patients exposed to poor hotel air conditioning.
Chlamydophila psittaci: contact with infected birds i.e. parrots, cattle, horse and sheep. Features include lethargy, arthralgia, headache, anorexia, dry cough and fever.
Pneumocystis: Immunosuppression (malignancy/chemo) or HIV positive (increased risk if CD4+ <200). Pneumocystis jiroveci (fingus). Symptoms include dyspnoea, dry cough and fever.
Croup vs. Epiglottitis
Croup: 6m-3yrs old. Parainfluenza. Inspiratory stridor. Seal-barking cough & hoarse voice. Low-grade pyrexia (upto 38.5). Keep child CALM. Dexamethasone 0.15mg/kg/dose regardless of severity (pred if unavailable). IF Moderate/Severe (biphasic stridor, irritability or reduced conciousness) then NEBULISED ADRENALINE 0.4ml/kg 1:1000, max 5mls) & high-flow Oxygen.
Epiglottitis (less common due to vaccination): 2-5 years. Staph aureus, H.Influenzae b (Hib), Pseudomonas spp. Moraxella catar., Mycobacterium tb. Rapid onset. Sore throat, odynophgagia, drooling, ‘hot-potato’ voice, fever. Manage with immediate senior involvement, DO NOT EXAMINE THROAT, oxygen, IV abx, endotracheal intubation may be required.
Bacterial Tracheitis:

Ashtma Attack
Severe: Inability to speak in complete sentences, RR >25, peak flow 33-50% predicted
Life-threatening: silent chest, confusion, bradycardia, cyanosis, exhaustion
Ixs: ABG, Bloods (FBC, CRP), CXR.
Management:

CURB Score
To calculate the CURB-65 a point is awarded for each of the following:
The score also indicates the risk of mortality for a patient with pneumonia
A CURB-65 score of 0-1 requires home treatment, 2 requires consideration for hospital treatment, however 3-5 would need hospital admission alongside consideration for ITU referral.
Pneumonia Management
Management of patients with pneumonia consists of:
Pneumothorax
Symptoms: Sudden-onset SOB & Pleuritic chest pain.
Tension:
ABCDE, High-flow O2, Emergency needle decompression.
Primary (spontaneous):
<2cm and NO SOB then discharge & review in 2-4 weeks.
>2cm or SOB; Emergency needle decompression 16-18G cannula.
Secondary:
1-2cm and NOT SOB; Chest X-ray aspiration. Admit for 24hrs observation.
SOB or >2cm on CXR; intercostal drain & admit patient

Sarcoidosis
A: multi-system disease characterised by granuloma formation with widespread inflammatory changes and complications. Common in young adults and people of African descent.
Acute: Swinging fever, polyarthralgia, erythema nodosum (red shin nodules), and bilateral hilar lymphadenopathy. This is also known as Löfgren syndrome.
Chronic: Resp features of dry non-productive cough, dyspnoea, reduced exercise tolerance. Examination may reveal crepitations.
Ix: Tissue-biopsy (lung, lymph nodes) is diagnostic revealing non-caseating granulomas. Raised ESR, ACE (not specific/diagnostic) & Ca. Reduced lymphocytes.
Management: Acute - bed rest & nsaids. Steroid tx; oral or IV dependent on disease severity. Immunosuppressants in severe disease.
Sarcoidosis vs. TB

COPD Management
General: Smoking Cessation (nicotine replacement), annual influenza vaccine, pneumococcal vaccine (once), pulmonary rehab.
Pharmacological:
if already taking a SAMA, discontinue and switch to a SABA
*Asthmatic/Steroid responsive features include:

Acute exacerbation of COPD management
*Avoid in patients with long QT
NICE guidelines from 2010 recommend the following:
Lung Cancer
Types:
Small Cell (SCLC) ~15-20%
Non Small Cell (NSCLC) ~80-85%
parathyroid hormone-related protein (PTH-rp) secretion causing hypercalcaemia, clubbing, hypertrophic pulmonary osteoarthropathy (HPOA), hyperthyroidism due to ectopic TSH
gynaecomastia, HPOA (long bones, painful)
Signs
Symptoms
Ixs:
CXR (mass, mediastinal widening, hilar lymphadenopathy, lobe collapse)
CT (staging)
Brochoscopy with biopsy (CT guided/VATS) - EBUS (central) or Transthoracic needle (peripheral)
Management:
Refer individuals >40 years with haemoptysis (2 weeks)
Indications for urgent CXR
Aged 40 or greater with 2 of following (1 if smoker):
Organisms assoc. with Acute exacerbation of COPD
Atelectasis
Features
Management
Interstitial Lung Disease
Upper Zones (CHARTS)
Lower Zones
Granulomatosis with Polyangiitis (GPA)
Features
Investigations
Management