respiratory Flashcards

(152 cards)

1
Q

respiration vs ventilation

A

resp = exchange gases @ alveoli
vent = movement air thru airways

How well did you know this?
1
Not at all
2
3
4
5
Perfectly
2
Q

plica vena cava

A

fold of pleura that caudal vena cava runs to heart in

How well did you know this?
1
Not at all
2
3
4
5
Perfectly
3
Q

what type control diaphragm

A

somatic - can control it bc can control breathing

How well did you know this?
1
Not at all
2
3
4
5
Perfectly
4
Q

importance neg press in pleural cavity

A

holds lungs against ribs/diaphragm
* w/o it ribs etc move but lungs don’t (= can’t breathe)
* hole in pleura = lung collapse = pneumothorax

How well did you know this?
1
Not at all
2
3
4
5
Perfectly
5
Q

species diffs bet pleural sacs

A

ruminants: L + R pleural sacs isolated = conditions limited to side of injury

dog/cat/horse: mediasteinal pleura permeable = comm = unilateral problem becomes bilateral

How well did you know this?
1
Not at all
2
3
4
5
Perfectly
6
Q

nares

A

outer part nostril where air enters
* protection from invasion foreign mat

interior rostral nasal cavity lined stiff hairs for further protection

horse = expandable for incr air floe bc can’t breathe thru mouth

How well did you know this?
1
Not at all
2
3
4
5
Perfectly
7
Q

turbinates

A

scrolls bone lined vascular mucosa w mucous glands
* splits nasal cavity into 4 interconnected passageways = meati (single meatus)
* warms (-> core body temp), humidifies + cleans air - bc mucosa v mucousy (protect against infection)

How well did you know this?
1
Not at all
2
3
4
5
Perfectly
8
Q

where are turbinates found

A
  • dorsal nasal concha
  • ventral nasal concha
  • ethmoidal conchae
How well did you know this?
1
Not at all
2
3
4
5
Perfectly
9
Q

passage air after nasal cavity

A

-> nasopharynx -> larynx -> infraglottic cavity -> trachea -> bifurcation dorsal to base heart …..

How well did you know this?
1
Not at all
2
3
4
5
Perfectly
10
Q

structure + role larynx

A

interconnected cartilages that move (inc epiglottis), lined mucous mem
* connects pharynx + trachea
* protect lower airways
* involved swallowing, coughing, eructation/vomming/rumination
* open + close w breathing so paralysis = vocal fold -> centre + no open = resistance airflow

epiglottis involved diverting food mat airway -> oes

How well did you know this?
1
Not at all
2
3
4
5
Perfectly
11
Q

structure trachea

A

incomplete rings cartilage (fibro, framework), w ends joined trachialis musc
* sometimes flat cartilage + long musc = sticks trachea on inspiration = difficult breathe
* carnivores = musc on outside, everything else = on inside

exterior CT layer, tubular, ciliated mucosal lining w mucous glands

How well did you know this?
1
Not at all
2
3
4
5
Perfectly
12
Q

bronchus types

A
  1. primary to each lung
  2. second each supply lobe
  3. tert (= segmental) each supply prim lobule (bronchopulmonary segment)
How well did you know this?
1
Not at all
2
3
4
5
Perfectly
13
Q

CT bet lobules

A

peribronchial CT
* -> surface visceral pleura
* can be visible as surface marbling, e.g. pigs

How well did you know this?
1
Not at all
2
3
4
5
Perfectly
14
Q

tracheal bronchus

A

in ruminants + pigs, deviates from trachea cranial to bifurcation -> cranial lobe R lung

How well did you know this?
1
Not at all
2
3
4
5
Perfectly
15
Q

division systems bronchi

A
  1. 1st 6 = monopodial sys, w only small decr in diameter for small incr in cross-sectional area
  2. then equal sys -> 2 daughter bronchi equal size to each other = large incr cross-sectional area (double each time)
    * = air travelling slower + less turbulent by end
How well did you know this?
1
Not at all
2
3
4
5
Perfectly
16
Q

airway lining

A

pseudostratified ciliated columnar epithelium w goblet cells + submucosal glands
* cilia beat together for mucous -> pharynx -> swallow = protective mucociliary escalator function
* remove foreign mat + microbes that bypassed upper airway defences

How well did you know this?
1
Not at all
2
3
4
5
Perfectly
17
Q

lobe + lobule distinction diff species

A

bounding gait need greater freedom movement = more external sep bet lobes (dog lots, horse nope)

dogs = lobule divisions not visible, pigs = v visible CT marbling

How well did you know this?
1
Not at all
2
3
4
5
Perfectly
18
Q

lobe defn

A

portion tiss supplied secondary bronchus

not defined external divisions

How well did you know this?
1
Not at all
2
3
4
5
Perfectly
19
Q

bronchus vs bronchiole

A
  • cartilage rings dwindle -> plates then replaced sm musc (can change diameter) + elastic tiss (structure) in bronchioles
  • bronchioles no submucosal glands

bronchioles <1mm diameter

How well did you know this?
1
Not at all
2
3
4
5
Perfectly
20
Q

terminal bronchioles

A

last division bronchioles before resp zone, each ending in air exchange portion lung (secondary lobule)
* no cilia
* no goblet cells
* Clara cells prod surfactant

How well did you know this?
1
Not at all
2
3
4
5
Perfectly
21
Q

resp zone components

A
  • resp bronchioles w alveolar outpouchings of walls for some gas exchange
  • alveolar ducts
  • alveolar sacs
How well did you know this?
1
Not at all
2
3
4
5
Perfectly
22
Q

sm musc + elastic tiss in resp zone

A

no sm musc - all affected external forces

lots elastic tiss investing it = passively recoils to shape (lots expiration passive)

How well did you know this?
1
Not at all
2
3
4
5
Perfectly
23
Q

cells in alveoli epithelium

A
  1. type 1 alveolocytes = v thin squamous
  2. type 2 = cuboidal to prod surfactant (keep surface bet cells + air moist)
  3. macrophage to phagocytose tiny foreign particles/infectious agents past nasal + escalator -> alveoli

alveolocytes = pneumocytes

How well did you know this?
1
Not at all
2
3
4
5
Perfectly
24
Q

layers for gas exchange

A

thin = easy gas exchange

thin fluid film for O2/CO2 dissolve so can move across mems

How well did you know this?
1
Not at all
2
3
4
5
Perfectly
25
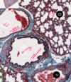
bronchovascular bundle
bronchus w bronchial artery + vein running alongside w CT tiss around (part pleura) * breathe + change press pleural space = pleura moves, all connected = bundles open + reduced resistance blood/air flow
26
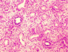
histology resp sys
27
bronchial circulation
bronchial arteries from aorta -> supply lung tiss -> bronchial veins -> azygous vein * some -> pulm circ -> LA (deoxed blood no significant effect on oxygenation blood -> bod)
28
why does all blood pass thru cap bed in lungs
interarterial + intervenous anastomoses in lungs but no arteriovenous * = neoplastic cells, infectious agents sieved out + stay @ lungs = tumours spread there often
29
nerve supply to lungs
symp + parasymp from pulmonary plexus 1. vagus nerve for parasymp supply, directly innervating airways 2. symp only innervates bvs, effects on airway sm musc via (nor)adrenaline in blood on β2 adrenoreceptors (indirect)
30
what sends info on sensory nerves
mechanoreceptors (stretch receptors) + chemoreceptors (e.g. if irritant) -> resp centre
31
label
larynx
32
label
cross-section trachea
33
why so many layers to airways
complex for defence against external environ 1. aerodynamic filtration 2. mucociliary escalator
34
aerodynamic filtration
coiled turbinates = particles bounced to sides covered mucous = stick then cilia beat w escalator = moved out | bc turbinates covered pseudostratified w cilia + mucous
35
histology lower resp tract
epithelial defences gone so can gas exchange so need alveolar defences (macrophages)
36
histology bronchovascular bundle
37
blood air barrier
interstitium almost indistinguishable
38
how does alveolar epitheium renew
type 1 pneumocytes can't divide so if damaged just type 2 (no good for gas exchange) - they divide then specialise * so type 2 essential for mucous asw as maintenance
39
upper vs lower resp sys
upper = nose + pharynx lower = larynx, trachea, bronchi, lungs * stratified squamous -> pseudostratified ciliated columnar epithelium w goblet cells * upper = cilia down towards pharynx, vus up towards pharynx (both so can be swallowed)
40
how does mucous mem change down lower resp tract
after tertiary bronchi pseudo -> ciliated columnar w some goblet cells -> w/o goblet -> non-ciliated simple cuboidal (terminal bronchioles) -> simple squamous | from terminal bronchioles inhaled particles removed by macrophages
41
interlobular septa
CT walls sepping respiratory unit lobules * consist sollagen, elastic fibres + bvs * no in carnivores, complete in ruminants + pigs, horses have incomplete (poorly lobulated)
42
alveolar pores
= septal pores = openings in interalveolar septa * lined by epithelial cells for air + macrophages pass bet alveoli
43
visceral pleura =?
pulmonary pleura * squamous -> cuboidal cells overlying elastic fibres + dense irregular CT * free surface of cells covered microvilli * thickest parts cont collagen, bvs, lymph vessels
44
respiratory rate | RR
no. breaths taken 1min
45
resting RR
20-30brpm horses = 10-12brpm
46
eupnoea
normal resting breathing
47
tachypnoea
increased RR
48
hyperpnoea
increased resp depth
49
dyspnoea
incr resp effort
50
apnoea
absence of breathing
51
purpose of breathing
ventilate alveoli
52
how to get air movement
due press changes in alveoli 1. for inhalation: gen press < atmospheric (by expand thoracic cavity) 2. for exhalation: gen press > atmos (= decr size thoracic cavity) then air out until alveolar press = atmos bet breaths no movement air (insp + exp pauses) = press in alveoli = atmos press
53
result/importance neg press in pleural space
1. lungs expand on inspiration 2. lungs no collapse on expiration
54
how does inspiration happen
1. diaphragm contracts + flattens caudally 2. external intercostal musc run caudoventral + contract so ribs out + cranial 3. = incr size thoracic cavity = decr press = air in
55
how does expiration happen
usually passive from elastic recoil lungs + muscs so press incr + air out * some species = active phase, also in exercise =: 1. internal intercostals (cranioventral) = ribs caudal + in 2. abdom muscs contract = abdom contents up = diaphragm domes 3. = thorax decr size = alv press incr = exp
56
result active expiration
walls compressed so tiss recoils = neg press = passive inspiration | before active inspiration
57
transpulmonary press
diff bet alveolar press + intrapleural press
58
compliance | w equ
degree to which change in transpulmonary press leads to change in lung vol C = change in vol/change in press | altered in disease state + if obese
59
what does lung compliance depend on
1. elasticity of lungs + thoracic cage 2. alveoli surface tension
60
alveoli surface tension
resp zone surfaces lined fluid facilitate dissolution + diffusion gases + water mols form H bonds at water-air interface, creating surface tension * = decr SA = resists lung expanion = decr lung compliance
61
surfactant made up of?
* phospholipids * prots * Ca2+
62
role surfactant + how works
1. hydrophilic heads phospholipids dissolve in fluid lining alveoli 2. tails remain in liquid layer 3. reduce formation H bonds bet water mols 4. = decr surface tension | O2/CO2 dissolve in fluid lining, NOT surfactant
63
atelectasis | w causes
collapsed alveoli due inadequate surfactant 1. premature neonates inadequate prod surfactant = severe dyspnoea 2. in adults sigh = stim release surfactant so prevention sigh =... 3. prolonged general anaesthesia w inadequate ventilation
64
what determines press in alveolus
radius (r) + surface tension (T) P = 2T/r = smaller alv, higher press, air small -> large = small collapse **SO** all alv same amount surfactant = conc higher in small = surface tension decr relatively more = press equiv
65
what determines airway resistance w equ | effect incr has on resistance
radius (r), length (L), viscosity (η) Pouseille's: R = 8Lη/πr^4 (double radius = decr R 4-fold) | decr, incr, incr
66
turbulence vs viscosity
in resp they're effectively the same
67
how does resistance vary bet insp + exp
peribronchial CT comms w visceral pleura so insp = lower airways distended = lower resistance to airflow
68
varying resistance parts resp tract | during insp
lower airways dilated (CT comm) = upper higher resistance * so mouth breathe to incr A + decr resistance * horses = obligate nasal breathers = distensible nares + can decr size bvs in nasal passageways to decr resistance
69
how alter airway radius
sm musc in walls (ANS innerv) * symp = β2 adrenoreceptors to relax musc, dilate, decr res * parasymp = contract musc, constr airways, incr res
70
asthma
bronchospasm = decr airway diameter = incr resistance
71
cause + effect incr turbulence
incr speed (e.g. bc larger airway) ==> incr friction bet mols = incr resistance to flow
72
effect smaller bronchioles
decr speed flow + laminar airflow = minimal friction = minimal resistance airflow
73
laminar airflow
continuous flow uniform in direction + velocity
74
tidal vol
vol air moved during resp cycle * 10ml/kg in normal resting dog | normally only uses tiny bit potential vital capacity
75
minute ventilation
tidal vol * resp rate * metabolic activity incr = O2 requirement incr + need expel more CO2 = need min vent incr too
76
residual vol
vol air remaining after full expiration due limitations compressability thoracic wall
77
functional residual capacity
exp reserve vol + residual vol = total amount air in lungs after normal exp at rest
78
how max tidal vol in peak exercise
1. neck muscs used further expansion to take in inspiratory reserve vol 2. abdom + internal intercostal used active exp force more air out + use exp reserve vol
79
graph showing respiratory vols
80
F + P
F = fraction of gas mix made that gas, e.g. FO2 = 21% P = partial press that gas (press exerted by gas w/in mix), e.g. PO2 = 0.21 * atmos press
81
how does gas exert press
gas mols move + collide w surfaces, creating press * mol size irrelevant - CO2 + O2 mol both exert same press
82
what makes gas mols move
from region high partial press that gas to region low partial press that gas down press grad * other gases present irrelevant to gradient
83
partial press gas in sol
gas mols dissolve in contact w water * incr partial press = more dissolves * mols also come out of sol to re-enter gas phase * no. mols of given gas entering + leaving sol in given time equal = dynamic equilibrium = partial press gas in sol = partial press in gas phase | CO2 more soluble than O2
84
how does PO2 down airways change
air humidified = water vapour added = PO2 proportionately less but total press exerted by gas same * PO2 = (atmos press - PH2O) * 0.21
85
what affects composition air in alveoli
* alveolar ventilation * exchange gases - only small prop exchanged w each breath
86
variation concs O2/CO2 bet airways + alveoli
1. PAO2 < PO2 in airways bc constant diff O2 -> blood 2. PACO2 > PCO2 in airways bc diff out blood -> alveoli all stay quite stable if composition inspired air + cent rate same | PA... = alveolar partial press
87
how press grads bet blood + alveoli maintained
use O2 + prod CO2 by respiring tiss then both diff bet alv + blood until equilibrium reached PO2 in tiss < PaO2 (in arterioles) so O2 -> tiss * opp for CO2
88
ventilation:perfusion ratio
determines equilibrium CO2 + O2 reach * correct equilib relies on correct vent + perf * low VA:Q underventilated + overperfused - narrowed/obstructed airways * high VA:Q = overventilated + underperfused - disease, recumbency so press on bvs from other organs | range across lungs, e.g. caudodorsal lung lobes preferentially perfused
89
hyperventilation defn + result
incr ventilation at normal metabolic rate = incr PAO2 + decr PACO2 = incr PaO2 + decr PaCO2 = hypocapnia - can cause alterations in pH
90
hypoventilation
decr PAO2 + incr PACO2 = decr PaO2 (hypoxia) + incr PaCO2 (hypercapnia) * risk during general anaesthesia so need monitor * outside GA variations PaCO2 uncommon bc CO2 v soluble = can move bet alveoli + over-vent compensate under-vent but O2 no sol = no move = no compensate = hypoxia common
91
dead space defn w types
areas ventilated but don't participate in gas exchange 1. anatomical dead space = airways 2. functional dead space = unperfused alveoli
92
what air enters alveoli in inspiration
dead space gas fills alveoli before fresh air * dead space air conts proportion exhaled air from last breath = lower pO2 + higher pCO2 * exacerbated by shallow breathing
93
O2 transport
poorly soluble = can't carry enough in plasma meet needs = need Hb
94
structure Hb
4 haem units each w associated globin chain * haem = pigment mol cont Fe2+ * each ferrous ion reversibly bind 1O2 == 1 Hb can bind 4O2
95
globin role
polypep to prevent irreversible binding O2 -> ferrous ion so O2 can be released at tiss * diff globin mols = diff sequence aas = diff affinity O2
96
blood O2 capacity
max O2 that lood leaving lungs could carry * 1g Hb can carry 1.36ml O2 * mammalian blood = [Hb] 150g/L so 1L 200ml O2 if all Hb bound
97
what determines O2 content blood
O2 capacity and PAO2 (alveolar partial press O2
98
cooperative binding
when O2 binds to haem, affinity other binding sites for O2 incr AND as O2 starts dissociate 1 site, other sites' affinity decr = unloading facilitated
99
oxyhaemoglobin dissociation curve
Hb never 100% saturated w/in normal pO2 avg tiss pO2 = 40mmHg = 75% dissociation - rest = reserve if needed, e.g. exercise | anaemia = O2 content decr but Hb saturation same = oximeter no identify
100
effect of temp on oxyhaemoglobin dissociation curve
incr temp = to right = decr affinity Hb for O2 * active tiss prods more heat = need more O2 = Hb releases it (easier O2 offload) * vice versa
101
effect pH on oxyhaemoglobin dissociation curve
decr pH due incr pCO2 or incr 2,3-DPG (prod metabolism) = more active tiss = decr Hb affinity for O2 = easier unload O2 = more released
102
how does 2,3-DPG decr Hb affinity
binds Hb * ruminant + some foetal Hb no bind = Hb retains higher affinity (important for maternal circ -> foetus)
103
methods CO2 transport in blood
1. dissolved in plasma - 5% bc more soluble than O2 2. carbamino compounds = combined w prots in rbc or plasma 3. as bicarb ions as diffs tiss -> rbc -> carbonic acid -> dissociate (readily) (back to acid -> CO2 to exhale at lungs)
104
carbaminohaemoglobin | = HbCO2
vast majority carbamino compounds in blood (in rbcs) * CO2 binds more readily deoxyHb than oxyHb so offloading O2 facilitates loading CO2 at tiss so active + offload more O2 = more space for more CO2 * vice versa in lungs
105
formation + what happens to bicarb ions in blood
formed in rbc then diffs out -> plasma = electrochem grad = exchanged for Cl- = chloride shift * reaction reversed at lungs as CO2 exhaled so grad to reform it
106
what happens to H+ formed in rbcs
can't diffuse out = buffered H+ * buffered by Hb to maintain pH * deoxyHb greater affinity than oxy so at tiss Hb dissociates O2, deoxy binds H+ = press grad CO2 -> H+/HCO3- + vice versa to convert -> CO2 + exhale at lungs where more O2
107
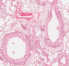
alveolar vs extra-alveolar vessels
alveolar = caps running in alveolar septa, participate gas exchange extra-alveolar = move blood to + from lungs (bronchovasc bundle) | dorsocaudal region lung norm best ventilated = preferentially perfused
108
resp sys on radiograph
109
how does vasc resistance (+ so diameter) change
1. initially decr as bronchovasc bundle CV pulls extra-aalveolar open + caps not yet compressed 2. then breathe in = alveoli bigger = caps bet them squished | so w anaesthesia be careful no overinflate causing vasc resistance
110
pulmonary vascular resistance
(press (pulm art) - press (LA))/CO
111
compare pulm + systemic vasc resistance
* pulm lower * pulm = caps contribute significantly, sys = arterioles * means arterial pulsations systemic transferred -> caps so pulm cap flow pulsatile instead | caps v lil signif sys, vs arterioles v lil signif pulm
112
where is pulm vasc res changed
pulm arteries/arterioles cont sm musc in walls - contract/relax * amount varies bet species so intensity vasoconstr varies * relax = dilate = decr PVR * contract = constr = incr PVR | controlled by balance neural + humoral
113
neural control pulm vasculature
autonomic via pulmonary plexus + vagus | not main influence pulm flow - f(l)ight = humoral for overall vasodil
114
symp effect on pulm vasc
β-receptors = vasodil α-receptors = vasoconstr more α than β so overall effect vasoconstr
115
parasymp effect on pulm vasc
* release nitric oxide stims muscarinic receptors = vasodil * direct sm musc action = vasoconstr net overall = vasodil
116
humoral controls pulm vasculature
1. NO from endothelial cells for vasodil due: * parasymp stim * bradykinin * incr speed blood flow in vessel due shear stress, e.g. exercise 2. alveolar hypoxia for vasoconstr to maintain VA:Q by diverting blood to well-ventilated alveoli * problem if hypoxia generalised, e.g. altitude, bc then all constr = incr afterload = heart failure
117
control of resp
automatic + rhythmic, adjusted w/o conscious input but degree conscious control (won't allow to detriment tho) * pacemaker neurones in pre-Botzinger complex in medulla oblongata
118
central pattern generator | CPG
network communicating pathways that prod appropriate resp rate + depth based on need * rythmically activates neurones dorsal resp grp
119
what controls inspiration
neurones dorsal resp grp stim motor neurones -> muscs insp (diaphragm, ext intercosts)
120
Hering-Breuer reflex
pulm stretch receptors in lung send impulses -> pons just rostral medulla oblongata stop stim insp + prevent overinflation lung * incr in frequency impulses signals degree inflation * important in exercise
121
control expiration
mainly passive due elastic recoil active via neurones ventral resp grp sending impulses expiratory muscs (int intercosts, abdom)
122
irritant receptors
in epithelial lining airways, stimmed: 1. contact foreign mat 2. deformation airways stim protective mechs against further invasion, e.g. cough, incr mucous secr, bronchoconstr, shallow breathing
123
musc spindle stretch receptors
in resp muscs to monitor their movements + modulate strength contractions
124
peripheral chemoreceptors where + innerv
1. carotid bodies @ division common carotid artery -> internal + external, innerv glossopharyngeal 2. aortic bodies in aortic arch, innerv vagus - important foetus, not adult in these locations bc need good blood supply
125
role peripheral chemoreceptors
monitor PaO2 from dissolved in plasma (= accurate), PaCO2, arterial [H+] * pO2 decr = glomus cells depol = a pots -> resp centre incr ventilation * O2 not much effect until below 60-70mmHg but Hb no dissociate much before then so chill anaemic = PaO2 seems fine bc dissolved same but not enough Hb carry enough
126
central chemoreceptors
v sensitive, only monitor PaCO2 as most important factor affecting resp + PaO2 less sensitive as Hb saturation stays so high * CO2 crosses blood:brain barrier -> HCO3-/H+ - detect [H+] in cerebrospinal fluid + impulses resp centre incr vent * incr arterial [H+] no effect as can't cross blood:brain barrier
127
buffer
sys that can bind or donate H+ ions + so alter pH * acid, prots (Hb), NH3 obey law of mass action - incr conc 1 component + equ moves opp direction
128
dissociation constant | pKa
pH when conc both components equal - acid + H+/base side equ
129
compensation acidosis/alkalosis
if cause is respiratory, compensation metabolic (kidneys) + vice versa * acidosis = need remove H+ = incr resp rate/depth + secr in intercalated (alkalosis compensation) * alkalosis = need add H+/remove bicarb = decr resp rate/depth + absorb H+ in intercalated can be partial or full - full when pH completely back to normal | all abt moving equ one way or other
130
panting
fast shallow breathing - moves dead space air up + down * worsens ventilation
131
weak vs strong acid/base
strong = dissociates completely in water - useless as buffer as no remove anything from sol, e.g. HCO3- weak dissociates incompletely = most bound stay bound, e.g. H2CO3 holds on so time convert -> CO2 + H2O
132
graph for respiratory acid:base imbalances
uncompensated = lil incr/decr in HCO3- bc 1 HCO3- for every H+ when H2CO3 dissociates compensated = big incr/decr due renal compensation as synthed + absorbed or secreted
133
gross embryology | mammals
1. foregut = tube then groove in floor (cranial + extends caudal) 2. deepens + forms outgrowth (laryngotracheal tube) 3. sepped from oes (original tube) by bilateral tracheo-oesophageal grooves 4. grooves meet form tracheo-oesophageal septum so tubes sepped 5. cranial laryng tube = trachea - endoderm lining -> resp epithel + mucosa + submucosal glands 6. as grows caudally bifurcates -> 2 bronchial buds (principal, 1, bronchi) 7. extend caudally (R midline, L lateral) -> lobar, 2, bronchi (R = 4, L = 2) 8. extend caudally, dividing -> segmental, 3, bronchi 9. -> further divisions outer tube splanchnic mesoderm will become visceral pleura | pharynx forms from foregut cranial to septum
134
how does pulm circ become part of circ
cardiac tube developed already w venous end ventral to foregut = mesoderm in contact w endoderm foregut so connex bet heart + lungs can develop 1. angiogenesis 2. vasculogenesis | don't know which of 2 - probs bit of both
135
angiogenesis vs vasculogenesis
angio = existing bvs grow + invest lungs vasculo = new bv network that grows + joins existing
136
resp sys histological embryology stages
1. embryonic 2. pseudoglandular 3. canalicular 4. terminal sac 5. alveolar
137
embryonic stage | histological embryology
from formation laryngotracheal groove -> formation 3 bronchi * endoderm -> epithelium w mucosal + submucosal glands * splanchnic mesoderm -> sm musc, cartilage, CT
138
pseudoglandular stage | histological embryology
* lungs extend, developing conducting branches bronchial tree * vascularisation starts
139
canalicular stage | histological embryology
* airway lumens enlarge * resp bronchioles form - bigger spaces * caps come into contact w epithelium in bronchioles | start of resp part developing, as opposed just ventilation before
140
terminal sac stage | histological embryology
resp bronchioles -> sacs lined cuboidal epithel (air sacs forming) * organises into type I + II alveolocytes * production surfactant begins
141
alveolar stage | histological embryology
* caps associate closely w alveolar lining = form blood air barrier * type II proliferate so surfactant production incr * diff -> type 1 = thin-walled squamous appearance | incomplete at birth + continues post-natally
142
development gas exchange in foetus
early embryo = diffusion but quickly insufficient so placentation to bring maternal + foetal circulations close for gas exchange * microvilli in placenta = high SA, incr Rogas exchange
143
arrangement foetal + maternal bvs
countercurrent = most efficient gas exchange concurrent crosscurrent = foetal going past in loops pool = foetal dipping in + out maternal
144
why is foetal blood relatively hypoxic
oxed + deoxed blood mixed couple times in circ
145
how does foetus cope relative hypoxia
1. carotid bods relatively insensitive - develop sensitivity 1st few wks life 2. higher CO than adult 3. higher affinity Hb for O2
146
how does foetal Hb have higher affinity O2
ruminants = foetal Hb unresponsive 2,3DPG primates = foetal Hb reduced interaction 2,3DPG horses/pigs = no foetal Hb BUT foetal rbcs have lower [2,3DPG] | all reduce dissociation of Hb from O2
147
what happens resp sys during birth
as foetus develops alveoli expand due fluid in them * process birth squeezes some fluid out + remainder reabsorbed into lymphatic + bvs | = C-section more likely have fluid in lungs
148
changes to resp sys at birth
1. hypoxia as O2 supply cut off (no placenta 2. hypercapnia same reason 3. decr bod temp of foetus 4. sensory stim, e.g. mum licking, us rubbing == 1st breath w lots effort (intra-alveolar press 60mmHg below atmos press) -> fluid out, lungs open, air in * lungs inflate, pleura moves, bronchovasc budnles open = decr pulm vasc resistance = blood no diverted = pulm gas exchange starts ## Footnote born premature = no much surfactant = surface tens = hard breathe = give surfactant in trachea
149
myoglobin
in sk musc + stores O2 - released at low cell pH, e.g. during exercise
150
increaasing red blood cell count (rbcc)
short term = splenic contraction long term = erythropoeisis * balance bc too high = incr blood viscosity = incr resistance flow = incr afterload = incr cardiac workload = heart failure
151
how does effect hypoxic pulm vasoconstr vary bet species
diff amounts pulm vasc sm musc * cattle > pigs > horses > sheep > dogs so consequences low inspired pO2 more significant cow than sheep
152
why does hypoxia mean decr pH
more anaerobic resp = more lactic acid = decr pH (only lil bit) NOT bc incr PaCO2 bc lower atmos press means lower pCO2 asw