skin Flashcards

(68 cards)

1
Q

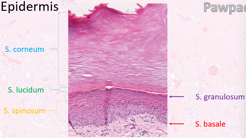
epidermis structure

A

squamous stratified epithelium made mainly keratinocytes
* variable thickness according use - species + anatomical location

How well did you know this?
1
Not at all
2
3
4
5
Perfectly
2
Q

layers epidermis

A
  1. stratum basale = single layer cuboidal cells in contact w BM. stem cells, dividing form new keratinocytes replace lost @ surface
  2. stratum spinosum = several layers keratinocytes bound tightly by desmosomes (cyt conts tonofilament)
  3. stratum granulosum = fewer layers, v basophilic, loads keratohyaline granules (only if epi v thick)
  4. stratum lucidum = dead cells, lost nuclei, translucent, keratinised (only if epi v thick)
  5. stratum corneum = flattened dead keratinised cells continuously sloughed (v basophilic

deep -> superficial

spinosum - spiky bc lots desmosomes
How well did you know this?
1
Not at all
2
3
4
5
Perfectly
3
Q

eosinophilic vs basophilic

A

pink vs purple

How well did you know this?
1
Not at all
2
3
4
5
Perfectly
4
Q

desmosomal prots

A
  1. desmoglein 1
  2. desmocollin 1
  3. E-cadherin
How well did you know this?
1
Not at all
2
3
4
5
Perfectly
5
Q

hemidesmosomal prots

A
  1. plakophilin 1
  2. keratins 5 + 14
  3. laminin
How well did you know this?
1
Not at all
2
3
4
5
Perfectly
6
Q

melanocytes

A

cells w tenticles to prod melanin + inject it in keratinocytes
* prod pigment (melanin) to reduce damage UV light on DNA
* mel synthed, packed in vesicles -> adjacent keratinocytes = lost when reach skin surface
* nucleus v close basement mem
* amount determines phenotypic characteristic skin pigment

in stratum basale, extensions bet stratum spinosum layers

How well did you know this?
1
Not at all
2
3
4
5
Perfectly
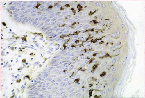
7
Q

Langerhans cells

A

macrophages for immuno surveillance in epidermis => cause rashes

= brown cells
How well did you know this?
1
Not at all
2
3
4
5
Perfectly
8
Q

merkel cells

A

sensory receptors in basal layer, associated w nerve endings

can see on slides

How well did you know this?
1
Not at all
2
3
4
5
Perfectly
9
Q

processes occurring in epidermis

A
  1. continuous proliferation of keratinocytes in basal layer
  2. migration, differentiation + keratinisation of keratinocytes
  3. squamous cells being sloughed off at surface
  4. protection from UV light
  5. immunosurveillance
  6. sensorial perception

==> relatively impermeable protective layer

How well did you know this?
1
Not at all
2
3
4
5
Perfectly
10
Q

dermis is

A

extracellular matrix w collagen etc + vessels + nerves/sensory corpuscles + adnexa (hair follicles, musc)

How well did you know this?
1
Not at all
2
3
4
5
Perfectly
11
Q

mols in extracellular matrix of dermis

A
  1. collagen
  2. elastic fibres
  3. GAG (hyaluronic acid)
  4. proteoglycan
  5. water
How well did you know this?
1
Not at all
2
3
4
5
Perfectly
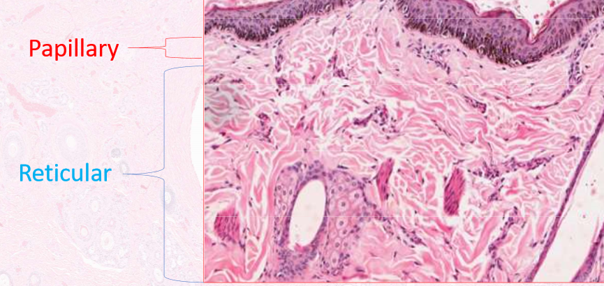
12
Q

dividing dermis

A
  1. outer papillary - collagen less chunky
  2. reticular = bigger bottom layer
How well did you know this?
1
Not at all
2
3
4
5
Perfectly
13
Q

bv plexi in skin

A
  1. superficial plexus just beneath epidermis => nutrients to all epidermis
  2. mid plexus => supply adnexa
  3. deep plexus
How well did you know this?
1
Not at all
2
3
4
5
Perfectly
14
Q

pacinian corpuscle histology

A
How well did you know this?
1
Not at all
2
3
4
5
Perfectly
15
Q

hypodermis

A

== subcutis
layer where collagen ends, made adipocytes, connecting skin to musc etc below
* variable in thickness

How well did you know this?
1
Not at all
2
3
4
5
Perfectly
16
Q

label

A

hair follicle where hair grows from

dermal papilla cont bvs to supply whole structure

How well did you know this?
1
Not at all
2
3
4
5
Perfectly
17
Q

histology of hair folliclle

A
How well did you know this?
1
Not at all
2
3
4
5
Perfectly
18
Q

simple vs compound hair follicles species

A

simple = pig, horse, cow
compound = cat, dog, sheep, goat

How well did you know this?
1
Not at all
2
3
4
5
Perfectly
19
Q

primary vs secondary hair follicles

A

primary = may have additional apocrine gland asw
secondary = smaller + go into dermis/hypodermis less deep

How well did you know this?
1
Not at all
2
3
4
5
Perfectly
20
Q

life cycle of hair follicle/shaft

A
  1. anagen phase = growing
  2. catagen = regressing
  3. telogen = resting
  4. kenogen = latent (hairless)
How well did you know this?
1
Not at all
2
3
4
5
Perfectly
21
Q

what affects hair growth cycle

A
  1. photoperiod = times of day org exposed to light
  2. genetics
  3. age
  4. hormones
How well did you know this?
1
Not at all
2
3
4
5
Perfectly
22
Q

how does photoperiod affect hair growth cycle domestic animals

A

most shed coat seasonally under influence hormones prolactin + melatonin (proded in dark)
* dogs + cattle change in summer
* cats + rabbits -> winter coat in autumn, summer in spring

How well did you know this?
1
Not at all
2
3
4
5
Perfectly
23
Q

how hormones affect hair growth cycle

A

thyroid:
1. decr anagen (growth)
2. incr telogen (resting)

so hypothyroidism => bilat, symmetrical alopecia

How well did you know this?
1
Not at all
2
3
4
5
Perfectly
24
Q

sinus hair

A

whisker (also in toes)

special bc w/in wall of hair follicle are sinus of blood + nerves to understand environ around

How well did you know this?
1
Not at all
2
3
4
5
Perfectly
25
sebaceous glands
exocrine gland prod sebum (oily) as aqueezed by contractions piloerector muscs * pale staining, flask shaped * secr by holocrine method * excretory duct empties into hair follicle * sebum = lipids: triglycerides, cholesterol esters, waxes (odourless until broken down by bac)
26
function sebum
oils hairs + forms oily film on skin to: 1. prevent water loss =/ waterproofing 2. lubricate skin 3. inhibit growth certain bac 4. spread sweat 5. territorial marker | skin not v perm water but not waterproof = route drug administration
27
what increases water resistance skin
* sebaceous gland secretions * insoluble keratin w/in keratinocytes
28
regulation sebaceous glands
regged sex steroid hormones (androgens incr activity) * more active after puberty * larger + more productive in breeding season used territorial marking + sexual attraction
29
sebaceous glands in birds
none w feathers * in preening, spread secretions from uropygial gland @ base tail
30
sweat/apocrine/epitrichial glands
exocrine gland prod sweat (ultrafiltrate of blood plasma) * for thermoreg (evap heat loss), excr, scent signalling * simple cuboidal epithelium w myoepithelial cells * symp adrenergic * oily opaque secr odourless -> smell w bac breakdown * cont myoepithelial cells excr duct = 2 layers cuboidal => hair folicle/sweat pore to exit (merocrine) | common in domestics, less in primates
31
ecrine sweat glands
for evaporative heat loss * symp cholinergic * watery NaCl sol modified by aldosterone * odourless * cont myoepithelial cells | common primates, less in domestics
32
sweat glands diff species
1. horse, donkey, cattle = abundant 2. sheep + goats = moderate, on scrotum + inguinal region -> enhanced heat loss there 3. dogs, cats, pigs = sparse, of lil thermoreg importance
33
pig specialised skin glands
preputial glands @ opening foreskin => sexual attraction initiate mating behaviours sow
34
sheep specialised skin glands
1. infraorbital pouch => territorial marking 2. interdigital on all limbs => fatty secr, mark footprints, signal other animals in flock | also in goats, deer
35
specialised skin glands dog
1. anal => fatty secr during pooing => signature on faeces for territorial marking 2. tail gland (dorsal tail) => territorial marking | cats have tail gland too; anal = stink gland in skunks for defense
36
mammary glands
modified sweat glands | v susceptiblle changes due hormones
37
arrector pili musc
* 45deg to hair follicle * mostly present in dorsal aspect * attached follicle wall to raise/lower hairs for thermoreg/social functions | super pink
38
functions of skin
* protection as boundary * thermoreg * secretion * sensory * pigmentation * vit D metabolism * immunosurveillance
39
what determines temp
depends on balance bet heat input + heat output
40
thermoreg defn
organism's ability to keep body temp w/in certain boundaries, even when surrounding tempv diff
41
core temp
= brain, thorax, abdom mammals = endotherms = stable core temp
42
normal core temp
* range 0.5-1.0° over 24h * diurnal animals = lowest @ night + 1st thing * incr in metabolic rate = incr temp: growing, lactating, pregnant
43
controlling body temp mammals
maintained by hypothalamus * thermoreceptors on skin (skin temp) or in hypothal (blood temp) | symp ANS both ways, neg feedback control
44
responses to cold stress
* vasoconstriction * less sweating * hairs stand upright = contract erector pili musc to trap thicker layer air insulate * shivering = thermogenesis * adrenaline + thyroxine released * activate brown adipose tiss = thermogenesis * behaviour
45
responses to heat stress
* vasodilation * sweating/panting = evaporative heat loss * hairs lie flat * no shivering * no adrenaline or thyroxine release * behaviour = decr symp activity
46
what happens when you relax/contract resistance arterioles
1. blood shunted -> dermis thru subcut adipose tiss + blood heats skin 2. decr bloodflow in dermis + subcut fat provides insulation from heat loss from vasculature
47
normal core temp horse
rectal temp 37.5-38.5
48
normal core temp cow
rectal temp 38.0-38.5
49
normal core temp pig
rectal temp 38.5-39.0
50
normal core temp sheep
rectal temp 38.5-39.5
51
normal core temp cat
rectal temp 38.5-39.5
52
normal core temp dog
rectal temp 37.5-39.0
53
evaporative heat loss
evap requires heat E + causes insensible heat loss * sweating, panting + wetting bod horses sweat profusely, cattle/sheep moderate, pigs/dogs/cats minimal -> pigs/dogs/cats reliant panting
54
panting
rapid shallow breathing * incr RR 30->300-350/min = natural oscillation frequency so lil E expended * water to evap mostly from nasal turbs | dogs, cats, pigs, rumis + birds can
55
what contributes heat input
not working, growing etc all E converted -> heat | 60-70% heat prod in heart, brain, liver, kidneys (10% body mass)
56
thermogenesis
incr basal metabolic rate by 1. shivering as antagonistic muscs contr simultaneously 2. incr secr of symp NS for rapid short-lived incr in metab = ox FAs in BAT 3. incr secr thyroid hormone - slow + prolonged 4. incr appetite
57
behavioural responses to heat/cold stress
* open/closed posture * seeking shade/heat * wallowing for evap heat loss
58
thermo-neutral zone | TNZ
where additional E not required to maintain core temp (includes thermoreg mechs that use lil/no E
59
lower critical temp
where animal must start heat prod to maintain body temp
60
upper critical temp
cutaneous blood flow has reached max + extra E required to lose heat
61
which homeostatic mechs have E cost
1. evaporative heat loss - sweating/panting 2. thermogenesis 3. some behavioural changes like incr exercise
62
chem forms of vit D
1. vit D2 = constituent of plants 2. vit D3 = cholecalcoferol, synthed in skin
63
vit D synth in skin
7-dehydrocholesterol in dermis -UV-> cholecalciferol | inhibited by dense fur coat, heavy pigmentation
64
pyrogens
systemic illnesses like viral infections release pyrogens * incr hypothalamic set pt to higher val than normal => you're acc really hot but you feel cold
65
why production of melanin important
* camouflage * mimicry * social comms * protect against harmful solar radiation (can dissipate over 99.9% absorbed UV)
66
melanin
1. eumelanins = black + brown 2. pheomelanins = red + yellow
67
what factors control pigment synth
* genetics * local factors in skin * hormones
68
process of melanin synth control
more MSH binding receptor = more tyrosinase = tyrosin -> eumelanin (derivative) MSH prod stimmed by: * UV light * disease states * external signals, e.g. for camouflage | controlled MSH-receptor binding