SDRA Flashcards

(15 cards)

1
Q

Síndrome do desconforto respiratório agudo
(definição)

A

Tipo de edema pulmonar inflamatório que cursa com hipoxemia e insuficiência respiratória

How well did you know this?
1
Not at all
2
3
4
5
Perfectly
2
Q

Causas mais comuns de SDRA?
(4)

A

1- Sepse (pulmonar ou não)
2- Pneumonia
3- Aspiração de conteúdo gástrico
4- Traumas

How well did you know this?
1
Not at all
2
3
4
5
Perfectly
3
Q

Causas de lesão pulmonar direta que podem levar à SDRA
(5)

A

1- Aspiração de conteúdo gástrico (síndrome de Mendelson)
2- Infecção pulmonar
3- Inalar produtos tóxicos
4- Trauma torácico
5- Afogamento

How well did you know this?
1
Not at all
2
3
4
5
Perfectly
4
Q

Causas de lesão pulmonar indireta que podem levar à SDRA
(7)

A

1- Sepse
2- Choque
3- Politrauma
4- Grande queimado
5- Pancreatite aguda
6- Pós transplante pulmonar
7- Overdose

How well did you know this?
1
Not at all
2
3
4
5
Perfectly
5
Q

Lesão histopatológica da SDRA

A

Dano alveolar difuso (DAD)
1- Edema intersticial
2- Edema alveolar rico em proteínas
3- Sangramento alveolar
4- Congestão capilar
5- Necrose de pneumócitos tipo I

How well did you know this?
1
Not at all
2
3
4
5
Perfectly
6
Q

Principais citocinas presentes na inflamação na SDRA?

A

TNF-alfa, IL-1, IL-6 e IL-8

How well did you know this?
1
Not at all
2
3
4
5
Perfectly
7
Q

Fases da SDRA

A

1- Exsudativa: infiltrado de neutrófilos nos capilares alveolares e nos pneumócitos tipo I
2- Proliferativa: regeneração dos pneumócitos tipo I em pneumócitos tipo II e início de fibrose alveolar e intersticial
3- Fibrótica: Ocorre quando o pulmão não consegue se recuperar, apresentando intensa fibrose e perda da complacência pulmonar

How well did you know this?
1
Not at all
2
3
4
5
Perfectly
8
Q

Relação ventilação/perfusão (V/Q) na SDRA

A

Diminuída

Com a formação do edema e o prejuízo aos alvéolos, bem como necrose de pneumócitos e redução da complacência pulmonar, ocorre um desequilíbrio na ventilação/perfusão (V/Q), sendo necessário uma ventilação com menor volume nesses pacientes, para não gerar volutrauma

How well did you know this?
1
Not at all
2
3
4
5
Perfectly
9
Q

Quadro clínico SDRA

A
  • Dispneia + tosse + uso da musculatura acessória + sintomas da doença que causou a SDRA
  • Parâmetro ventilatórios caem: PaO2/FiO2 < 200
  • Estertores crepitantes bilaterais + cianose
How well did you know this?
1
Not at all
2
3
4
5
Perfectly
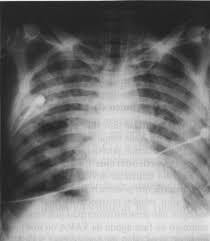
10
Q

Raio x na SDRA

A

Infiltrado misto que pode poupar algumas regiões do pulmão
Se acomete os 2 lados = síndrome do pulmão branco

Infiltrado misto = componente alveolar e intersticial bilateral

How well did you know this?
1
Not at all
2
3
4
5
Perfectly
11
Q

Como se encontra a gasometria do paciente com SDRA?

A
  • Hipoxemia que não responde ao suplemento de O2.
  • O paciente hiperventila, ficando taquipneico e hipocapnéico, gerando alcalose respiratória
  • Ao evoluir = falência respiratória = retenção de CO2
How well did you know this?
1
Not at all
2
3
4
5
Perfectly
12
Q

Definição de Berlim

A

Diagnostica a SDRA:
1- Tempo: Instalação abrupta após exposição a fator de risco ou piora de sintomas
2- Radiologia: opacidade bilateral não explicada por derrames, atelectasias ou nódulos
3- Edema: sem origem cardíaca ou hipervolemia
4- Oxigenação:
PaO2/FiO2 = 201-300 -> SDRA leve
PaO2/FiO2 = 101-200 -> SDRA moderado
PaO2/FiO2 < 100 -> grave

How well did you know this?
1
Not at all
2
3
4
5
Perfectly
13
Q

Tratamento da SDRA grave

A

1- Volume corrente (VC) < 6ml/kg de peso ideal
2- Pressão de platô (Pplatô) < 30cmH2O
3- Pressão Expiratória Final Positiva (PEEP) > 10 cmH2O
4- Hipercapnia leve, manter pH > 7,15

Peso ideal:
H= 50 + 0,91 (cm de altura - 152,4)
M= 45,5 + 0,91 (cm alt -152,4)

How well did you know this?
1
Not at all
2
3
4
5
Perfectly
14
Q

Para que serve a PEEP?

A

Mantém os alvéolos abertos após manobra de recrutamento numa SDRA

How well did you know this?
1
Not at all
2
3
4
5
Perfectly
15
Q

O que é a manobra de recrutamento alveolar?

A

Consegue abrir alvéolos colapsados e, através da PEEP, mantê-los abertos, aumentando a PaO2

How well did you know this?
1
Not at all
2
3
4
5
Perfectly