Sinusitis Flashcards

(21 cards)

1
Q

¿Qué es la sinusitis?

A

Es la inflamación de la mucosa de los Senos paranasales (SP), con prescencia de MOCO -> obliteración de las zonas de drenaje…

–>

Éstasis y perpetuación del proceso inflamatorio e infeccioso

How well did you know this?
1
Not at all
2
3
4
5
Perfectly
2
Q

Diferencias entre RINITIS y SINUSITIS:

A

RINTIS: Aumento de la producción de moco + Bloqueo de las áreas de paso

SINUSITIS: Éstasis de Moco = Proliferación Bacteriana

How well did you know this?
1
Not at all
2
3
4
5
Perfectly
3
Q

Explica la fisiopatología de la SINUSITIS:

A
How well did you know this?
1
Not at all
2
3
4
5
Perfectly
4
Q

Clasificación de la Sinusitis según su tiempo de evolución:

A
  • Aguda: < de 1 mes
  • Sub-Aguda: Entre 1 - 3 meses
    -Crónica: > de 3 meses
How well did you know this?
1
Not at all
2
3
4
5
Perfectly
5
Q

Clasificación de la Sinusitis según su etiología:

A
  • Viral (Catarral): Autolimitada 10 días, solo se da Tx de soporte
  • Bacteriana: Requiere tx con antibióticos
  • Fúngica: Requiere tx con antimicóticos
How well did you know this?
1
Not at all
2
3
4
5
Perfectly
6
Q

¿Cómo es la presentación clínica de la sinusitis?

A
  • Aguda: DOLOR facial + fiebre + rinorrea anterior
  • Crónica: Rinorrea posterior + Halitosis (mal aliento). NO PRODUCE DOLOR
How well did you know this?
1
Not at all
2
3
4
5
Perfectly
7
Q

¿Cuál es el seno paranasal más frecuentemente afectado en sinusitis en niños (4 - 7 años)?

A

Es el etmoidal

How well did you know this?
1
Not at all
2
3
4
5
Perfectly
8
Q

Dx de sinusitis es…

A

** #1 Clínico** +

GS-> Dx radiológico: TC de nariz y senos paranasales (cortes axiales y coronales)
*Para ver la extensión de la sinusitis

INDICACIÓN: DIAGNÓSTICO DE PERSISTENCIA DE SINUSITIS,
DE DAÑOS CRONICOS OCULTOS Y DE FACTORES
PROPICIANTEs

How well did you know this?
1
Not at all
2
3
4
5
Perfectly
9
Q

FACTORES FAVORECEDORES de Sinusitis:

A
  • DESVIACIONES SEPTALES (CONGENITAS ó TRAUMÁTICAS)
  • ESCASA VASCULARIZACIÓN DE LA MUCOSA
  • INFLAMACIÓN (ALERGIA, POLIPOSIS ó INFECCIÓN VIRAL
    CATARRAL)
  • ALTERACIONES ANATÓMICAS CONGENITAS (CORNETES
    PARADOJICOS, CONCHAS BULOSAS)
  • INFECCIÓN ODONTÓGENA
  • ESTADOS DE INMUNOSUPRESIÓN (DM, SIDA, POSTQUIMIOTERAPIA,
    ETC)
  • ENFERMEDADES GENETICAS (DISCINESIA CILIAR)
How well did you know this?
1
Not at all
2
3
4
5
Perfectly
10
Q

¿Cuáles son los microorganismos más comunes en la Sinusitis?

A

Streptococo Pneumonie , Hemophilus Influenzae, Moraxella Catarralis, S. Aureus, S. Pyogenes, Micoplasma Pneumonie, Pseudonoma Aeruginosa.

-Aspergillus Fumigatus, Aspergillus Niger, Aspergillus Flavus.

  • Rizopus orizae.
How well did you know this?
1
Not at all
2
3
4
5
Perfectly
11
Q

Complicaciones más comunes de Sinusitis:

A
  • Celulitis orbitaria
  • Celulitis pre-septal
  • Absceso intracraneal
  • Meningitis
How well did you know this?
1
Not at all
2
3
4
5
Perfectly
12
Q

Pilares para el Tratamiento de Sinusitis:

A
  1. DETERMINAR LOS FACTORES SUSCEPTIBLES DE TRATAMIENTOMÉDICO
  2. DEFINIR TIEMPO DE EVOLUCIÓN y COMORBILIDADES.
  3. PRECISAR LOS FACTORES ANATÓMICOS PARA ESTABLECER
    EL PLAN QUIRÚRGICO
How well did you know this?
1
Not at all
2
3
4
5
Perfectly
13
Q

Tx médico de la Sinusitis:

A
  • Terapia antibiótica
  • Terapia antifúngica (Anfotericina B)
  • # 1 DESCONGESTIÓN NASAL ( con gotas tópicas para abrir el complejo osteonasal) + # 2 HIGIENE NASAL (lavado nasal)-Antiinflamatorios (esteroides/AINES)
  • Tx del factor alérgico después de resolver el factor infeccioso
How well did you know this?
1
Not at all
2
3
4
5
Perfectly
14
Q

¿Cuáles son las mejores opciones para la AntibióticoTerapia?

A
  • Amoxicilina, amoxicilina/ácido clavulánico,

OTROS: claritromicina, eritromicina, cefalosporinas de 1era y 2da
generación, fluoroquinolonas.

  • ATB anti-estafiloccócico sólo en casos de sinusitis crónica y/o recurrente.

OJO: NO USAR ni ABUSAR DE LA CEFTRIAXONA (Rocephin)

How well did you know this?
1
Not at all
2
3
4
5
Perfectly
15
Q

¿Cómo se indica en TX médico de la sinusitis?

A

Se indica el Tx ATB por períodos > 10 días

Tx vo + Tx local: Lavados nasales + Corticoesteroides nasales + descongestionantes nasales ** ( OXIMETAZOLINA ) **

* NO suministrar ATB en paralelo con anti-histamínicos

How well did you know this?
1
Not at all
2
3
4
5
Perfectly
16
Q

Tx Quirúrgico de la SInusitis:

A

Rinoseptoplastía ó Septoplastía

Otros:
Procedimientos en cornetes (cauterización, tripsia,
medialización).
Antrostomía, etmoidectomía, polipectomía.
Ampliaciones del complejo osteomeatal.
Frontotomías, esfenoidectomía

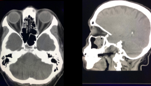
17
Q

¿Qué se ve en esta imagen?

A

Sinusitis + Mucocele

18
Q

¿Qué se ve en esta imagen?

A

Sinusitis Maxilo-Etmoidal Bilateral
Con hipertrofia de los cornetes y cornete medio paradójico

19
Q

¿Qué se ve en esta imagen?

A

Calcificaciones por Aspergillus

20
Q

¿Qué se ve en esta imagen?

A

Mucocele derecho + espolón

21
Q

¿Qué se ve en esta imagen?

A

Sinusitis Maxilo-Etmoidal DERECHA
*Las bacterias pueden migrar desde otras lesiones