What are the two main layers that make up the skin and what are each layer primarily made up off? include how they relate to each other in terms of position
The two main layers of skin are the epidermis and dermis.
Epidermis is the outer layer of the skin so lies about the (inner layer) dermis which is the connective tissue.
In basic embryological terms how is the epidermis made?
Formed from the ectoderm - ectoderm cells form a single later periderm, there is then a gradual increase in the layers of cells, the periderm is then cast off, the epidermis is then formed

In basic embryological terms what is the dermis formed from ?(germ layer)
Formed from mesoderm below ectoderm

What are melanocytes and where do they come from in terms of embryological development of the skin ?
They are pigment producing dendritic cells that come from the neural crest and migrate to the epidermis (basal layer and above)
What are the different layers of skin developed at each of the stages; week 4, 16 and 24 in foetal skin development ?
At week 4 - Periderm, Basal layer, Dermis (corium) have developed.
At week 16 - Keratin Layer, Granular Layer, Prickle cell, Layer, Basal Layer, Dermis have developed.
At week 24 - the same layers in 16 have developed but there is now also hair follicles and sebaceous glands developed.
What are Blaschko’s lines?
They are the developmental growth pattern of skin - they don’t follow nerves, vessels or lymphatics

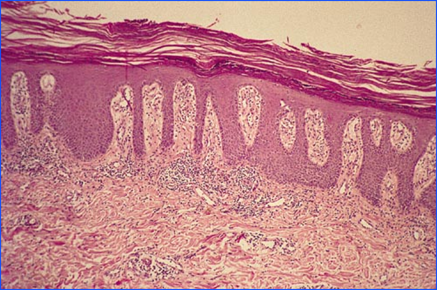
What are the main components of skin?
Epidermis
Appendages:
Dermo-epidermal junction
Dermis: connective tissue, less cellular
Sub-cutis: predominantly fat

Which type of cells makes up for 95% of the cells in the epidermis ? and what do they contain
Keratinocytes - which contain keratin.
What are the other less common cells are found in the epidermis ?
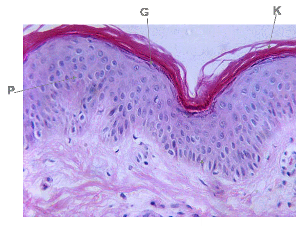
What are the 4 distinct layers within the epidermis ?

where do keratinocytes migrate from ?
The basement membrane
Regulation of epidermal turnover is a balance between cells in/out controlled by growth factors, hormones and cell death. Name 2 conditions where there is a loss in control of epidermal turnover ?
What is the condition shown?

Psoriasis
What condition is shown? what should it look like ?

Psoriasis

What type of cells is the basal layer made up of and what does it have lots of in it ?
Made up of small cubodial cells with lots of intermediate filaments (keratin) in it
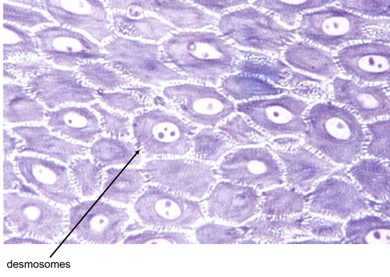
What type of cells make up the prickle layer and what does it have in it ?
Made up of larger polyhedral cells.
Has lots of desmosomes (connections) with intermediate filaments connecting to the desmosomes

Describe the features of the granular layer and the appearance of the cells which make it up?
Describe the features of the keratin layer

Give an example of a skin disease which affects keratinocytes?
HPV - Human papilloma virus infection of keratinocytes causes warts

Note that mucosal surfaces can also be affected by skin disease
appreciate this