Recall what melanocytes are and where do they migrate from and to in foetal development ?
The are pigment producing dendritic cells which migrate from the neural crest to the epidermis (basal layer and above)
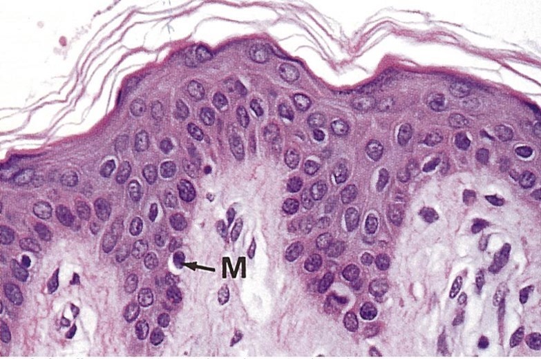
What organelles do melanocytes contain and what is the function of these organelles ?
Where are Full melanosomes (‘melanin granules’) transferred too ?
Transferred to adjacent keratinocyte via dendrites.
Note - pic below shows this happening in stages (it shows them becoming darker)
There are two different types of melanin pigment:

Appreicate the pick of the epidermis (also shows where the basement membrane is)

What is the cell shown here ?

Melanocytes
What protects the nucleur DNA in basal cells ?
Melanin caps (formed by the organelles in melanocytes)
What disease is shown here ?

Vitiligo
What is vitiligo ?
It is an autoimmune disease with loss of melanocytes
What disease is shown here ?

Albinism
What is albinism ?
It is a disorder where there is a genetic partial loss of pigment production
What condition is shown here?

Nelsons syndrome
What is nelsons syndrome ?
It is a disorder where melanin stimulating hormone is produced in excess by the pituitary gland
Name a tumour of the melanocyte cell line ?
Malignant melanoma

What is the origin of langerhans cells ?
They are from the bone marrow
Where do langerhans cells reside in the epidermis and what 2 other places can they be found ?
Reside in the prickle layer of the epidermis and also are found in the dermis and in lymph nodes
What is the function of langerhans cells ?
•Involved in the skin immune system
– Antigen presenting cells
– Pick up antigen in skin and circulate to lymph nodes (prob why they are also found in lymph nodes) via lymphatic system
What type of cell is shown in the picture ?

Langerhans cells
Where are merkle cells located in the skin ?
Located in the basal layer (stratum basale)
What is the function of merkle cells in the skin ?
Mechanoreceptors - sensory receptor that responds to mechanical pressure or distortion.
Merkle cell cancer as shown in the pic is a rare form of skin cancer - is it associated with high or low mortality and what causes it?

Caused by viral infection and associated with high mortality
Label the hair follicle and what is this unit also referred to ?

The pilosebaceous unit

Name 2 hormones which can influence hair growth/development ?
Androgens, thyroxine
What is the gland called which is adjacent to the hair follicle ?
Sebaceous gland
Describe the 3 main phases of hair growth ?
Anagen phase[edit]
Anagen is the active growth phase of hair follicles[10] during which the root of the hair is dividing rapidly, adding to the hair shaft. During this phase the hair grows about 1 cm every 28 days. Scalp hair stays in this active phase of growth for 2–7 years; this period is genetically determined. At the end of the anagen phase an unknown signal causes the follicle to go into the catagen phase.
Catagen phase[edit]
The catagen phase is a short transition stage that occurs at the end of the anagen phase.[11] It signals the end of the active growth of a hair. This phase lasts for about 2–3 weeks while the hair converts to a club hair. A club hair is formed during the catagen phase when the part of the hair follicle in contact with the lower portion of the hair becomes attached to the hair shaft. This process cuts the hair off from its blood supply and from the cells that produce new hair. When a club hair is completely formed, about a 2-week process, the hair follicle enters the telogen phase.
Telogen phase[edit]
The telogen phase is the resting phase of the hair follicle.[12] When the body is subjected to extreme stress, as much as 70 percent of hair can prematurely enter a phase of rest, called the telogen phase. This hair begins to fall, causing a noticeable loss of hair. This condition is called telogen effluvium.[13] The club hair is the final product of a hair follicle in the telogen stage, and is a dead, fully keratinized hair.[6] Fifty to one-hundred club hair are shed daily from a normal scalp.[6]
