What are the 6 main functions of the skin ?
Name and briefly describe what is going on here

Acute skin failure caused by toxic epidermal necroylsis
Toxic epidermal necrolysis = a potentially life-threatening dermatologic disorder characterized by widespread erythema, necrosis, and bullous detachment of the epidermis and mucous membranes, resulting in exfoliation and possible sepsis and/or death.
Acute skin failure = a state of total dysfunction of the skin resulting from different dermatological conditions. It constitutes a dermatological emergency and requires a multi-disciplinary, intensive care approach.
Name and briefly describe the condition shown

Erythroderma - is the term used to describe intense and usually widespread reddening of the skin due to inflammatory skin disease. It often precedes or is associated with exfoliation (skin peeling off in scales or layers), when it may also be known as exfoliative dermatitis (ED).
Describe the barrier function of skin
It is a two way barrier: epidermis which prevents against physical, chemical damage and damage from pathogens.
Name and briefly describe the condition shown

Steroid-sulphatase deficiency X-linked ichthyosis - a skin condition caused by the hereditary deficiency of the steroid sulfatase (STS) enzyme
What could be the condition shown below ?

Cumulative irritant hand dermatitis
What is shown in the pic ?

Ulcer following a compound fracture
Appreciate the function of melanin protecting the DNA in cells nuclei

Describe the functions of skin in metabolism and detoxification
Skin is metabolically active:
Explain vitamin D metabolism in realtion to the skin
Cholecalciferol (7-dehydrocholesterol) is acted on by UV radiation which converts it to ====> Vit D3
Vitamin D3 stored as hydroxycholecalciferol in liver
Converted to 1,25-dihydroxycholecaliferol in kidney

Describe the skins role in thermoregulation
•Protects against being too hot or too cold has Warm/cold-sensitive thermoreceptors which if you are to hot or cold results in:
Describe the skins role in immune defence
•Important in:
•Langerhans’ & T cells important
Name and briefly describe the condition shown - hint the patient is finding the rash itchy which is worse at night

Scabies - a contagious skin condition caused by tiny mites that burrow into the skin. Main symptom is itchiness which is worse at night and also redness where the mites may have burrowed
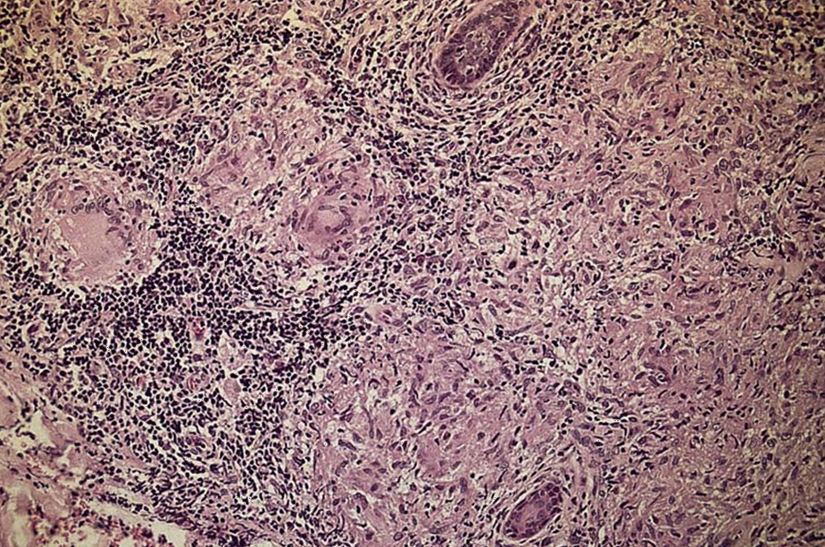
What is shown in the pic ?

Granulomas
What is Eczema herpeticum?
Eczema herpeticum is a disseminated viral infection characterised by fever and clusters of itchy blisters or punched-out erosions. It is most often seen as a complication of atopic dermatitis/eczema.

What is Chronic discoid lupus erythematosus?
Discoid lupus erythematosus (DLE) is a chronic skin condition of sores with inflammation and scarring favoring the face, ears, and scalp and at times on other body areas. These lesions develop as a red, inflamed patch with a scaling and crusty appearance.

Describe the communication functions of the skin
Describe the sensory functions of the skin

Match the following functions of the skin with the consequences of it not being able to carry out this function:
Functions: