Measuring Sperm
Volume of Sperm
Concentration and Vitality - Sperm

Motility of Sperm
Morphology - Sperm
What is shown in the diagram?

Morphology of Sperm
What distribution is shown in the table?

Distribution of values for semen parameters from men whose partners became pregnant within 12 months of discontinuing contraceptive use
Nomenclature - Semen Analysis
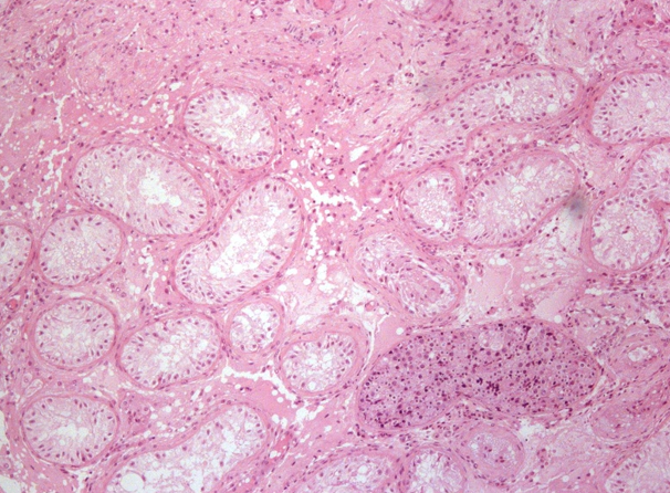
Testis - what abnormality is shown?

What is shown?

semen sample stained with papanicolaou stain
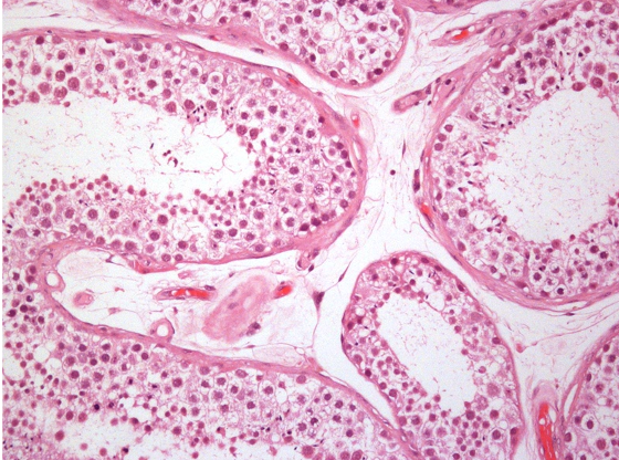
Testis - what is shown here? (in biopsy)

Biopsy of Testis - what is shown?


When doing a biopsy of testis, what is an issue?
The part of tissue is not always truly representative of the whole tissue - some part that you biopsy may be artefact - only see some part mean you may not see all - variations between different seminiferous tubules are present
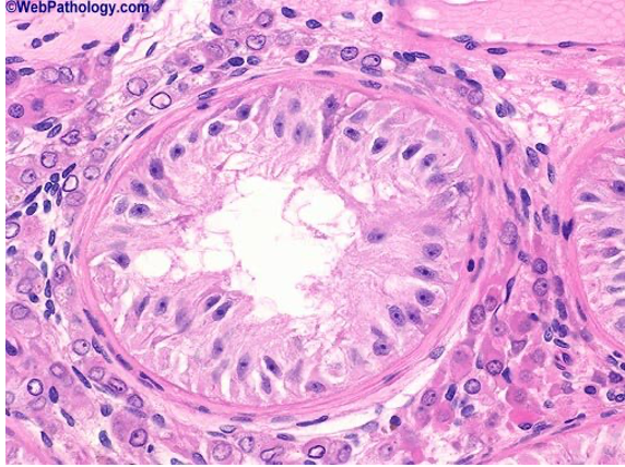
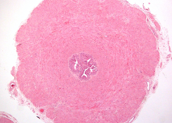
What is shown here?

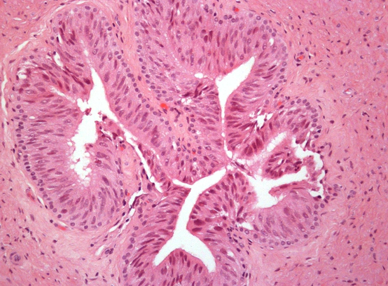
Vas deferens - excides as a segment in a vasectomy - lumen in middle - lined by epithelial cells - in vasectomy it is blocked/cut to prevent sperm getting into semen
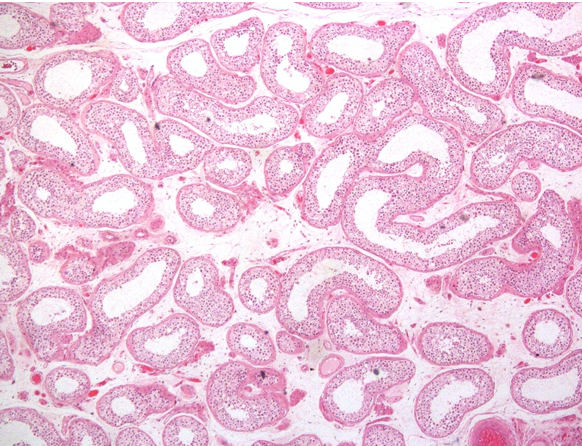
What is shown here? (testis)

Vas diferens - high power picture