SRMA Flashcards

(22 cards)

1
Q

What is the prevalence of dogs presented with SRMA?

A
  • 1,6-2%
How well did you know this?
1
Not at all
2
3
4
5
Perfectly
2
Q

Is there a sex predilection in SRMA?

A
  • two studies report it
  • male 62.7% (Hilpert
    et al., 2020)
  • male 64.9% (Biedermann et al., 2016)
How well did you know this?
1
Not at all
2
3
4
5
Perfectly
3
Q

What breeds beside Beagle, Boxer, Bernese Mountain dog is reported to be overrepresented with SRMA?

A
How well did you know this?
1
Not at all
2
3
4
5
Perfectly
4
Q

What is known about the pathogenesis of SRMA?

A
  • mainly Th2-, Th17-, IL-4
    mediated humoral immune response
  • a high CD4+/CD8+-ratio and elevated Th2-related cytokine pattern
  • transforming growth factor beta 1
    (TGF-β1) is upregulated intrathecally and initiates an induced humoral
    immune response in terms of excessive IgA synthesis
  • elevation of IL-6 and TGF-β1 induce the differentiation
    of CD4+-progenitor cells to specific Th17-cells, which produce IL-17 during the acute phase of
    SRMA
How well did you know this?
1
Not at all
2
3
4
5
Perfectly
5
Q

How common is pyrexia in SRMA?

A
  • 81% (Grapes
    et al., 2020)
  • 82.6% (Gonçalves et al., 2021)
How well did you know this?
1
Not at all
2
3
4
5
Perfectly
6
Q

What can be seen in chronic SRMA cases with meningeal fibrosis?

A
  • neurological deficits
    (ataxia, tetraparesis or paraparesis) (Tipold und Jaggy, 1994)
  • rarely obstructions of cerebrospinal fluid flow
    and hydrocephalus (Tipold and Jaggy, 1994)
  • thickened vessel walls may cause spinal cord compression due
    to chronic inflammation
  • hemorrhage of ruptured meningeal vessels
    and can be clinically detected as ataxia or paresis (Tipold and Jaggy,
    1994; Zilli et al., 2021)
How well did you know this?
1
Not at all
2
3
4
5
Perfectly
7
Q

What cranial nerve deficits can rarely be seen in SRMA?

A
  • Optic nerve, unilateral blindness (Tang et al., 2022)
  • cluster seizures (Wrzosek et al.,2009)
How well did you know this?
1
Not at all
2
3
4
5
Perfectly
8
Q

Where can hemorrhage be found in chronic SRMA cases?

A
  • epidural space (Zilli et al., 2021)
  • intradural extramedullary (Wang-Leandro et al., 2017)
  • intradural intramedullary
    (Hughes et al., 2015)
  • can lead to cardiac arreste, need for surgical decompression long-term application of immunosuppressive or
    anti-inflammatory treatment
How well did you know this?
1
Not at all
2
3
4
5
Perfectly
9
Q

Can SRMA affect the heart?

A
  • yes, rarely
  • arteritis of small to medium-sized cardiac arteries result in myocarditis and is clinically
    documented in elevation of the cardiac biomarker Troponin I, electrocardiography (ECG) changes, echocardiographic abnormalities
How well did you know this?
1
Not at all
2
3
4
5
Perfectly
10
Q

What percentage of dogs with SRMA also exhibit IMPA?

A
  • IMPA was simultaneously diagnosed in 31 of 350 dogs with SRMA,
    resulting in a prevalence of 9% (Gonçalves et al., 2021)
  • in an older small (!) study 46%
How well did you know this?
1
Not at all
2
3
4
5
Perfectly
11
Q

Which biomarker could help to differentiate non-inflammatory versus inflammatory CNS diseases?

A
  • NGAL (Meyerhoff et al., 2019)
How well did you know this?
1
Not at all
2
3
4
5
Perfectly
12
Q

What are CSF changes in chronic SRMA?

A
  • low- to moderate-grade
    pleocytosis predominantly includes lymphohistiocytic cells (lymphocytes and macrophages)
  • protein content low- to moderate-grade elevation (Tipold and Jaggy, 1994).
How well did you know this?
1
Not at all
2
3
4
5
Perfectly
13
Q

What can increase the likelihood to diagnose SRMA concerning CSF tapping?

A
  • high and low tap
  • Especially in older dogs, a higher diagnostic yield
    was achieved including 111 dogs (Carletti
    et al., 2019).
  • measuring combined serologic and intrathecal IgA values (Maiolini et al., 2012)
How well did you know this?
1
Not at all
2
3
4
5
Perfectly
14
Q

Do dogs with SRMA frequently show MRI abnormalities?

A
  • yes, nearly all dogs showed MRI abnormalities
    (n =69/70).
    (Remelli et al., 2022)
  • meningeal contrast enhancement
    (87.1%)
  • enhancement of the synovium of the articular
    facets (48.6%)
  • muscular contrast enhancement in the cervical region
    (48.6%)
  • mostly between C2 and C4 (70–75.7%)
How well did you know this?
1
Not at all
2
3
4
5
Perfectly
15
Q

What is the classic dosage scheme for prednisolon in SRMA patient?

A
  • by Cizinauskas et al. in
    2020

– prednisolone 4 mg/kg q24h for 2 days
– prednisolone 2 mg/kg q24h for 1–2 weeks
– prednisolone 1 mg/kg q24h for 4–6 weeks

How well did you know this?
1
Not at all
2
3
4
5
Perfectly
16
Q

What are reported relapse rates of SRMA?

A
  • range from 16% to 60%
  • 16% (Bathen-Noethen et al., 2008)
  • 19% (Giraud
    et al., 2021)
  • 20% (Lowrie et al., 2009b),
  • 25% (Tipold and Jaggy,
    1994)
  • 29.4% (Hilpert et al., 2020)
  • 32.4% (Biedermann et al., 2016)
  • 48% (Lau et al., 2019)
  • 60% (Cizinauskas et al., 2000)
17
Q

What is the mortality rate in SRMA?

18
Q

Does the relapse rate increase significantly with shorter prednisolone protocol in SRM?

A
  • no
  • 30% 6 months versus 38% 6 weeks (n=44)

Citation
Rose JH et al. Prospective randomized trial comparing relapse rates in dogs with SRMA treated with a 6-week or 6-month prednisolone protocol. JVIM. 2024.

19
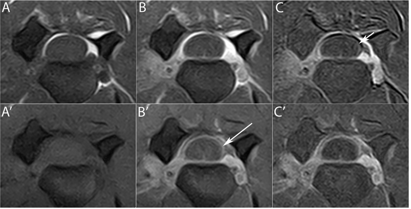
Q

What are the sequences? What is evident?

A
  • meningeal contrast enhancement
  • SRMA

Transverse T1W (upper row) and T1 FAT SAT (lower row) images pre- (A,A’) and post- (B,B’) contrast administration at the level of the C3–C4 intervertebral space. Meningeal enhancement is visible on the T1W images only with the application of the subtraction technique (C) (short arrow), while it is easily detectable in T1W FAT SAT images (B’) (long arrow). The subtraction technique in T1W FAT SAT images (C’) is therefore not necessary.

20
Q

List typical MRI changes and frequency in dogs with SRMA

A

Jones BA et al. Magnetic resonance imaging findings in dogs with SRMA in the UK and their clinical significance: 53 cases (2013–2021). (JSAP, accepted 2025).

  • 73% of dogs had abnormalities
  • paravertebral muscle changes (30/53; 56.6%)
  • meningeal contrast enhancement (13/41; 31.7%)
  • spinal cord parenchymal T2-W hyperintensity (15/53; 28.3%)
  • Haemorrhage was observed in five of 53 (9.4%)
  • Fifty-two (98.1%) dogs survived to discharge
  • Relapse occurred in nine of 29 (31.0%)
21
Q

Can CRP concentration help to distinguish between SRMA and IMPA

A
  • not very reliable
22
Q

What is evident on the MRI?

A
  • intradural, extramedullary hemorrhage
  • here due to SRMA