characteristics of vasculitis
Inflammation of the blood vessel walls
Pathology defined by leukocyte-mediated injury of
vessel walls
Classified by whether
leukocytes damage
predominantly small,
medium, or large vessels

outline the classifications of vasculitis
large vessel vasculitis: takayasu arteritis, giant cell arteritis
medium vessel: polyarteritis Nodosa, kawasaki disease
Small vessel (immune complex): cryglobulinemic vasculitis, igA vasculitis, hypocomplementemic urticarial vasulitis, (LESS FREQUENT)
Small vessel (ANCA-Associated): microscopic polangitis, granulomatosis (wegeners), eosinophilic granulomatosis with polyangitis (MORE COMMON)

note vessel types in different types of vasculitis

when to suspect vasculitis (clinical features)
recognizing vasculitis usually happens in an ___ setting
emergent setting

3 types of anca-associated vasculitis
what type of anca-associated vasculitis is more common in caucasians?
In Northern European populations, GPA is more common
GPA is most common in Caucasian patients of European descent
In Southern European populations, MPA is more common.
AAV affects both sexes equally.3 AAV occurs in patients of all ages (range 9–78 years).3
T/F in AAV, immunofluorescence typically shows deposition of immune complexes
false. Immunofluorescence typically shows no deposition of immune complexes (pauci-immune)
organ pathology mechanism during AAV
AAV causes necrotizing vasculitis which can obstruct vessels .vascular injury leads to ischemia, hemorrhage, granulomatous inflmamation and loss of function of the organ.
which organ is most ocmmonly involved in AAV
lungs and kidenys.
when should AAV be suspected
AAV should be suspected in patients presenting with multisystemic symptoms not caused by infections or alignancy such as:
clinical indications for ANCA test

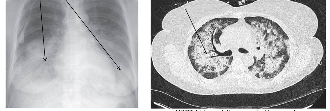
what type of AAV would this person be struggling with?

MPA: more frequently associated with alveolitis and pulmonary hemorrhage than GPA

what type of AAV would this person be struggling with?

GPA. GPA is more frequently associated with pulmonary nodules than is MPA

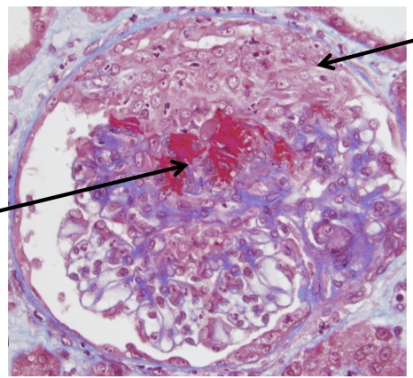
what does this slide depict?

glomerulonephritis. pathologically, this is indistinguishable in GPA, MPA, EGPA and renal-limited disease
in the acute phase, the glomerulonephritis is characterized by segmental fibrinoid necrosis and creascent formation
Fill out this table for GPA, MPA, and EGPA


manifestations of AAV in upper airways, joints, eyes ekin and nuerological symptoms

2 phases of treatment for AAV
T/F untreated GPA (Wegeners) is fatal
true. natural course of severe disease has mean survival of 5 months. Corticosteroids alone have been shown to prolong median survival by 7.5 months only
main induction therapy for AAV
corticosteroids, often in combination with methotrexate or cyclophosphamine. (in severe cases, methylprednisone IV)

maintenance therapies for AAV
Azathioprine, retuximab, methotrexiate, mycophenolate mofetil and low dose prednisone-
think about MAINRITSAN: MAINtenance of remission using RITuximab for System ANca-associated vasculitides. – retux is less likely to have relpases in comparison with azothiaprine

case:
72 F, Chronic headache for 2 years January 2013:
Bilateral temporal headache
Temporal area tenderness and swelling May 2013:
Jaw claudication for 2 weeks
May 26: R eye blurry vision and metamorphopsia ( wavy lines) ROS: fatigue, weight loss and anorexia
extreme case of giant cell arteritis