Tx options for distal tarsal luxations (PIT and TMT most commonly)
1) Closed reduction and external coaptation (full limb cast, min 8 weeks)
2) Open reduction and internal fixation/arthrodesis (cartilage removal (drilling) and LCP application) plus shorter period of external coaptation
3) Transfixation pin casts are rarely. reported (in 105kg Shetland)

Tx of TCj luxation
Px poor - salvage only, no chance of athleticism
1) Reports exist of closed reduction and internal fixation (eg Maitland-Stuart 2018 EVE)
No real option for arthrodessis as high motion joint and reciprocal aparatus
Tx options for lateral malleolus fracture
1) Arthroscopic removal preferable (<30mm fragments)
2) Removal by arthrotomy (less ideal than the above)
3) Internal (lag screw) fixation, recommended for fragments wider than 30mm
Most common site of tarsal luxations
1) TMT (most common)
2) PIT
3) TCj
DIT luxation extremely rare dt relationship with 4th tarsal bone
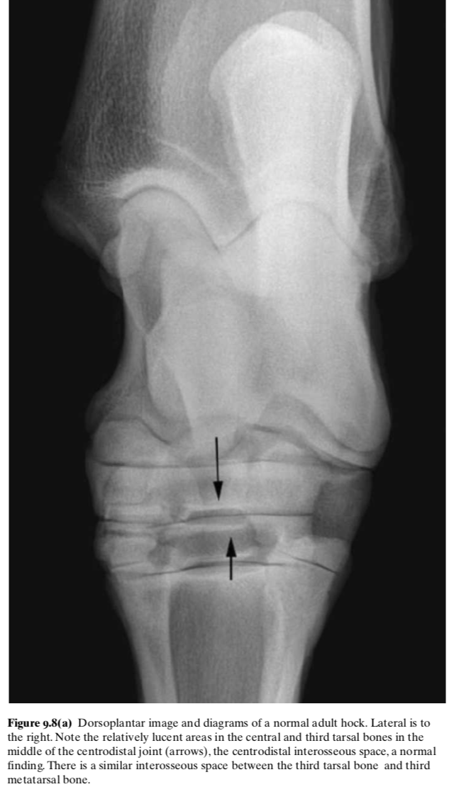
Three normal lucencies visible on a DLPMO rad
1) Synovial fossa in the intertrochlear groove of the talus proximally
2) Sinus tarsi - between talus and calcaneus platarolaterally
3) Tarsal canal between central/third and fourth tarsal bones

Lucent region in the DIT on DP rad
The centrodistal interosseous space, a normal finding

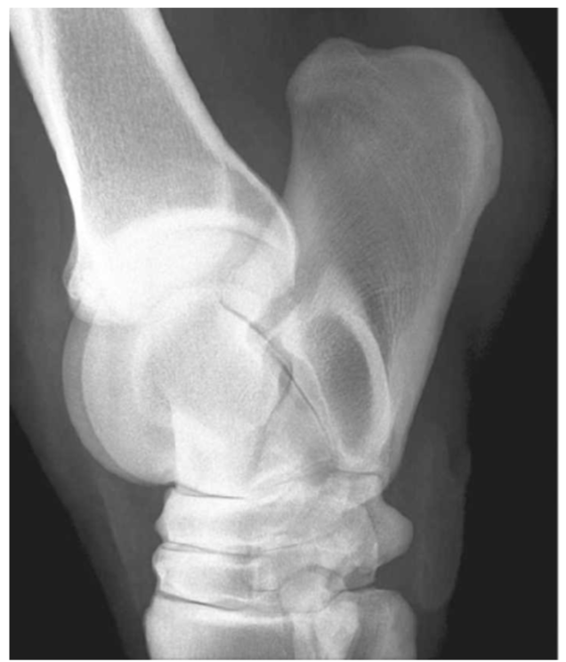
Appearance of the talocalcaneal joint on LM rads
Upside down Y shape

Most common sites for OCD and best projections
1) DIRT - LM and DMPLO
2) Lateral trochlear ridge - DMPLO
3) Medial malleolus - DP or preferably 10-15° DLPMO. Usually affects the axial aspect of the MM
Views for FPTT
DMPLO and ‘skyline’ - plataroproximal plantarodistal view
Palmaromedial extra-articular location (close to sustentaculum)
Incidental finding
Most common third tarsal bone fracture configuration in racing TBs
Frontal plane slabs (as for C3) running from slightly DM to PL ie see best on DMPLO rads
Tx of choice for 3TB frontal plane slab fractures
Lag screw fixation (3.5mm usually - 3.5/2.5mm drill bits) under rad guidance
Reported by Barker and Wright 2017 (EVJ) w 79% return to racing
Conservative management also appropriate, simialr return to racing. DIT/TMT OA likely to develop but overall well tollerated
Central tarsal bone fracture configurations
Dorsal/dorsolateral slabs in racehorses
Saggital slabs in sports horses

Path of SDFT in the hind limb
Originates at the supracondylar fossa of the caudal femur (close to gastroc), travelling distally moving from deep to the gastroc, wrapping medially in the mid tibia to lie superficial. Medial and lateral retinacular attachments to the calcaneus before running distally to insert on poximopalmar P2 via 2 branches
Describe the path of the cranial tibial artery
Why might this be a good choice of intra-arterial injection target for regenerative medicine to the proximal plantar metataral region? (Torrent et al 2019 EVJ)
Cranial tibial aa is a branch of popliteal aa that descends with 2 satellite veins on the lateral surface of the tibia, deep to the tibialis cranialis muscle
Continues as the dorsal pedal artery at the level of the TCj and gives off the perforating tarsal artery which passes in a plantar direction through the tarsal vascular canal together with a satellite vein and nerve and unites on the proximal part of the interosseous muscle with the plantar arteries at the deep plantar arch.
Good alternative for MSC administration in the proximal plantar region of the metatarsus and distal hindlimb, optimising the treatment of more generalised or inaccessible lesions.

4 components of the common calcaneal tendon
Gastroc tendon
SDFT
Biceps femoris
Semitendonosus
(Soleus)
Describe the grades of neonatal skeletal ossification index?
What is the racing px for each grade according to Hayward 2018 (EVJ)
Grade 1: some cuboidal bones with no evidence of ossification
Grade 2: all cuboidal bones have some radiographic evidence of ossification. Proximal epiphysis of MC/MT is open. Lateral styloid process and tibial malleoli are barely visible
Grade 3: bones are small and round, with wide joint spaces. Proximal MC/MT3 physis is closed, & lateral styloid process and tibial malleoli are distinct
Grade 4: cuboidal bones shaped like adult counterparts, w joint spaces of expected width
Grade 2 and 3 foals are less likely to race vs maternal siblings (not stat sig for grade 1 but only 1/5 raced -amazing that even 1 did).
The initial Adams Ossification index (1988) considers Grade 4 foals to be normal. Hayward 2018 showed that Grade 4 foals had normal gestation lengths and made it to the racetrack as frequently as their maternal siblings, BUT they did earn an average of $14,000 less than their maternal siblings.

Describe the incomplete ossification grading described by Stanshi 2018 (JEVS)
CARPUS
Mature carpus: The margins of the cuboidal bones are straight with square corners. The dense palmar process of the third carpal bone (C3) is visible through the dorsal aspect. The lateral styloid process (LSP) is triangular, with a flat distal surface that angles proximally at the lateral aspect. The fourth metacarpal bone and fourth carpal bone (C4) have flat surfaces. A trabecular bone pattern is apparent in all carpal bones.
Slightly immature carpus: The cuboidal bone margins have curved corners and slightly rounded facets. The palmar process of C3 is faint. The LSP is oval, with no obvious flat distal surface. The distal margin of C4 and the proximal fourth metacarpal bone are rounded. A trabecular bone pattern is variably apparent.
Immature carpus: The margins of most carpal bones are round, especially the ulnar and C4, and the palmar process of C3 is indistinct. The LSP is oval, and there is a large space between it and the proximal margin of the ulnar carpal bone. C4 is almost round, and the proximal margin of the fourth metacarpal bone is rounded. The cuboidal bones show very little trabecular detail.
TARSUS
Mature tarsus: The dorsal margins of the central (TC) and third (T3) tarsal bones are slightly rounded, and the joint spaces between talus, TC, T3, and the fourth metatarsus are thin with parallel surfaces. The center of TC and T3 has a homogeneous trabecular density, and the articular surfaces have thin dense margins. The lateral trochlear ridge of the talus has formed a distal notch, and T1/2 are fused. The plantar calcaneal apophysis reaches the plantar calcaneal margin, and the distal calcaneal margin is flat
Slightly immature tarsus: The dorsal corners of TC and T3 are curved, resulting in a wider joint space at the dorsal aspect. The center of TC and T3 is homogeneous in density and lacks an obvious trabecular appearance; a dense subchondral margin is not apparent. The distal lateral trochlear ridge is horizontal, and fusion of T1&2 is indistinct or absent. Mineralisation of the calcaneal apophysis does not reach the plantar calcaneal margin, and the distal calcaneal facet is rounded.
Immature tarsus: The dorsal margin of TC and T3 are curved or pointed, resulting in a very wide dorsal joint space. The center of TC and T3 has an indistinct bone pattern that does not resemble trabecular or cortical bone. The joint surfaces can be irregular, and the bone density is heterogenous. The distal lateral trochlear ridge is angled proximally, and T1&2 are not fused. Mineralisation of the calcaneal apophysis is reduced, and the distal calcaneal facet is round. A foal with a focal area of severely reduced mineralization anywhere in the cuboidal bones would be graded as immature

Reported success rates for injection of the DIT (CD) joint and TMT by Seabaugh et al (2017 EVJ)
TMT 96% accurate
DIT 42% accurate
What were the findings of Hoaglund (EVJ 2019) WRT injection accurracy of the DIT with medial and dorsolateral approaches with and without radiographic guidance?
3 types of SDFT luxation
Stable or unstable - ie move on and off the POH
Management options and reported outcomes for SDF (sub)luxations
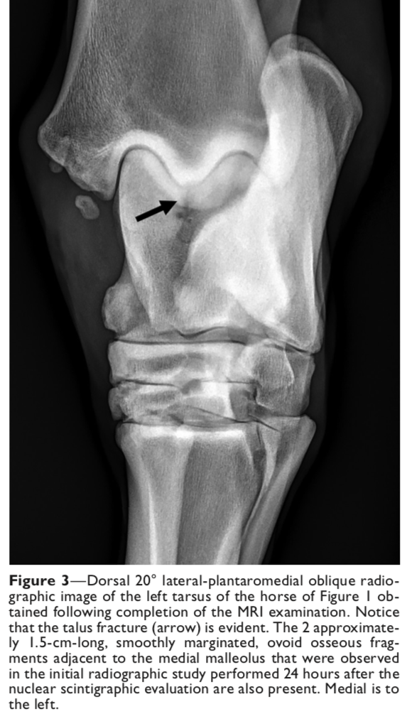
Most appropriate radiographic view for incomplete sagittal fractures of the talus
D 10-20° L- PMO

Landmarks for screw positioning for T3 fracture repair (Barker & Wright 2017 EVJ).
What % RTR?
Fx occus in consistent location - DM-PL.
Implant therefore inserted from DL to PM, aiming slightly proximodistally.
Site for drill insertion is midway between long & lateral extensor tendons, midway between TMT & DIT.
Used single 3.5mm cortex screw in lag.
79% RTR