TCE Flashcards

(36 cards)

1
Q

Abertura ocular

A

Espontânea – 4
Ao som – 3
À pressão – 2
Ausente – 1
Não testável - NT

How well did you know this?
1
Not at all
2
3
4
5
Perfectly
2
Q

Resposta verbal

A

Orientada – 5
Confusa – 4
Palavra – 3
Sons – 2
Ausente – 1
Não testável - NT

How well did you know this?
1
Not at all
2
3
4
5
Perfectly
3
Q

Resposta motora

A

Obedece a comandos – 6
Localizada – 5
Flexão normal – 4
Flexão anormal – 3
Extensão – 2
Ausente – 1
Não testável - NT

How well did you know this?
1
Not at all
2
3
4
5
Perfectly
4
Q

Classificação das pupilas

A
  • Ambas pupilas reagem = 0.
  • Uma pupila reage = 1 ponto.
  • Nenhuma reação: 2 pontos.
How well did you know this?
1
Not at all
2
3
4
5
Perfectly
5
Q

Clínica da fratura de base de crânio

A

rinorreia, otorreia, hemotímpano, sinal de Battle, Sinal do Guaxinim

How well did you know this?
1
Not at all
2
3
4
5
Perfectly
6
Q

Tipos de Lesões cerebrais difusas

A

Concussão cerebral.
Lesão axional difusa (LAD).

How well did you know this?
1
Not at all
2
3
4
5
Perfectly
7
Q

Qual a característica clínica de uma CONCUSSÃO CEREBRAL?

A

Lesão por DESACELERAÇÃO

Perda SÚBITA da consciência → duração menor que 6 horas

Conduta é OBSERVAÇÃO

How well did you know this?
1
Not at all
2
3
4
5
Perfectly
8
Q

Conduta na concussão cerebral

A

Observação
Não deixar acontecer novamente

How well did you know this?
1
Not at all
2
3
4
5
Perfectly
9
Q

Qual a característica clínica da lesão axonal difusa?

A

Lesão por DESACELERAÇÃO e ROTAÇÃO
(exemplo capotamento)

Perda súbita de consciência

Duração MAIOR QUE 6H

Glasgow baixo com TC NORMAL!

How well did you know this?
1
Not at all
2
3
4
5
Perfectly
10
Q

Conduta na LAD

A

Suporte
Evitar lesão secundária

How well did you know this?
1
Not at all
2
3
4
5
Perfectly
11
Q

Tipos de Lesões cerebrais focais

A

Hematoma extra (epi) dural.
Hematoma subdural.

How well did you know this?
1
Not at all
2
3
4
5
Perfectly
12
Q

Local em que ocorre o hematoma extradural

A

Espaço epidural

How well did you know this?
1
Not at all
2
3
4
5
Perfectly
13
Q

Local em que ocorre o hematoma subdural

A

Espaço subdural

How well did you know this?
1
Not at all
2
3
4
5
Perfectly
14
Q

Vaso lesado no hematoma subdural

A

Veias ponte

How well did you know this?
1
Not at all
2
3
4
5
Perfectly
15
Q

Vaso lesado no hematoma extradural

A

Artéria meníngea média

How well did you know this?
1
Not at all
2
3
4
5
Perfectly
16
Q

Hematoma mais comum

17
Q

Fator de risco do hematoma subdural

A

Atrofia cortical (idoso, alcoólatra)

18
Q

Fator de risco do hematoma extradural

A

Pancada no osso temporal

19
Q

Clínica do hematoma subdural

20
Q

Clínica do hematoma extradural

A

Intervalo lúcido

21
Q

Imagem do hematoma subdural

A

Acontece entre a dura e a aracnoide, entre elas não tem ponto de fixação, então preenche o espaço com sangue. Tem uma imagem crescente

22
Q

Imagem do hematoma extradural

A

Entre a dura e a própria calota.
Tem alguns pontos de fixação e o vaso começa a sangrar, formando uma lesão biconvexa.

23
Q

Conduta se hipotenso com TCE grave

A

solução salina 3% 250 mL bolus depois 50-100 mL

24
Q

monitorização da PIC

A

Glasgow <8
PIC alvo: <22 mmHg
PPC alvo (PAM-PIC): 60-70 mmHg

25
Tríade de Cushing
Hipertensão arterial Bradicardia Irregularidade do ritmo respiratório
26
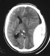
Qual o nome deste achado? * Vaso cometido * Fator de risco * Clínica
**HEMATOMA SUBDURAL** * **V**eias ponte * Atrofia cortical (idoso / etilista) * Rebaixamento progressivo da consciência
27
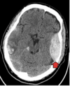
Qual o nome deste achado? * Vaso cometido * Fator de risco * Clínica
**HEMATOMA EPIDURAL** * **A**rtéria meníngea média * Trauma em região temporal * INTERVALO LÚCIDO
28
Indicação cirúrgica nas lesões cerebrais focais traumáticas
## Footnote **DESVIO DA LINHA MÉDIA ≥ 5mm**
29
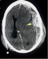
Qual o diagnóstico?
HEMATOMA EPIDURAL
30
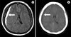
Qual o diagnóstico?
HEMATOMA SUBDURAL
31
Qual hematoma cerebral apresenta INTERVALO LÚCIDO?
Hematoma EPIDURAL Apaga pea concussão → acorda → apaga com a expansão do hematoma
32
Qual pontuação na Escala de coma de Glasgow classifica um TCE como LEVE?
GLASGOW 13 - 15
33
Qual pontuação na Escala de coma de Glasgow classifica um TCE como MODERADO?
GLASGOW 9 - 12
34
Que pontuação na escala de coma de Glasgow define um TCE como grave?
GLASGOW ≤ 8
35
Qual pontuação na Escala de coma de Glasgow classifica um TCE como LEVE?
GLASGOW 13 - 15
36
Fatores preditivos (pior prognóstico) de sobrevida nas primeiras 24 horas após TCE grave
* Glasgow ≤8 * Idade >60 anos * LAD ou inchaço cerebral * Pupilas com relfexo fotomotor abolido * Hipotensão na admissão hospitalar * Febre * Sexo masculino * Idade