TCE Flashcards

(47 cards)

1
Q

Definición de TCE

A

Lesión cerebral de causa trumática de cualquier indole (penetrante o no penetrante)

How well did you know this?
1
Not at all
2
3
4
5
Perfectly
2
Q

En Mex es la _ causa de muertes violentas y por accidente

A

4ta

Gran parte estan relacionados con accidentes de tránsito

How well did you know this?
1
Not at all
2
3
4
5
Perfectly
3
Q

Edad y sexo más común de presentación

A

Hombres relación 3:1
Entre los 21 y 40 años

How well did you know this?
1
Not at all
2
3
4
5
Perfectly
4
Q

Desenlaces de complicaciones

A
How well did you know this?
1
Not at all
2
3
4
5
Perfectly
5
Q

Clasificación por gravedad y cual es más común

A

Leve, moderado y grave
Leve es lo más común

How well did you know this?
1
Not at all
2
3
4
5
Perfectly
6
Q

Par craneal afectado si hay pupilas anisocoricas

A

EL III

How well did you know this?
1
Not at all
2
3
4
5
Perfectly
7
Q

Cómo es que el tejido genera isquemia por el TCE

A

La inflamación colapsa los vasos

How well did you know this?
1
Not at all
2
3
4
5
Perfectly
8
Q

Que nos dice la teoria de monro-kellie

A

Plantea que el volumen total dentro del cráneo es constante y está compuesto por tres elementos principales y si uno aumenta, los otros disminuyen:

  • Parénquima cerebral (aproximadamente 80%)
  • Líquido cefalorraquídeo (LCR) (aproximadamente 10%)
  • Sangre intracraneal (aproximadamente 10%)
How well did you know this?
1
Not at all
2
3
4
5
Perfectly
9
Q

Cual es el flujo sanguineo cerebral

A

40 a 60 ml por 100 gramos de tejido

How well did you know this?
1
Not at all
2
3
4
5
Perfectly
10
Q

Cual es la presion de perfusion cerebral

A

50 a 70 mmHg

How well did you know this?
1
Not at all
2
3
4
5
Perfectly
11
Q

Presión intracraneal normal

A

<15 mmHg

How well did you know this?
1
Not at all
2
3
4
5
Perfectly
12
Q

Como se calcula la PPC

Presión de perfusión cerebral

A

PAM-PIC

How well did you know this?
1
Not at all
2
3
4
5
Perfectly
13
Q

Cómo sacar la PAM

A

Presión sistólica+ presión diastólica(2)/3

How well did you know this?
1
Not at all
2
3
4
5
Perfectly
14
Q

Presion de perfusion cerebral para exista silencio electrico (con viabilidad neuronal)

A

15-18mL/100gr

How well did you know this?
1
Not at all
2
3
4
5
Perfectly
15
Q

Presion de perfusion cerebral para que exista la zona de penumbra isquémica

A

10-15ml/100 gr de tejido

How well did you know this?
1
Not at all
2
3
4
5
Perfectly
16
Q

Presion de perfusion para que exista muerte neuronal

A

Menos de 10 ml

How well did you know this?
1
Not at all
2
3
4
5
Perfectly
17
Q

Presion de perfusion para que exista una disminución en el estado de despierto

A

25-40 mL/100 gramos

caida de puntuaje en Glasgow

How well did you know this?
1
Not at all
2
3
4
5
Perfectly
18
Q

Clasificación del TCE

A

Arriba de 80 km/h ya es alta velocidad

How well did you know this?
1
Not at all
2
3
4
5
Perfectly
19
Q

Estudio que corabora el TCE

20
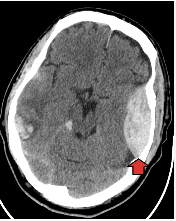
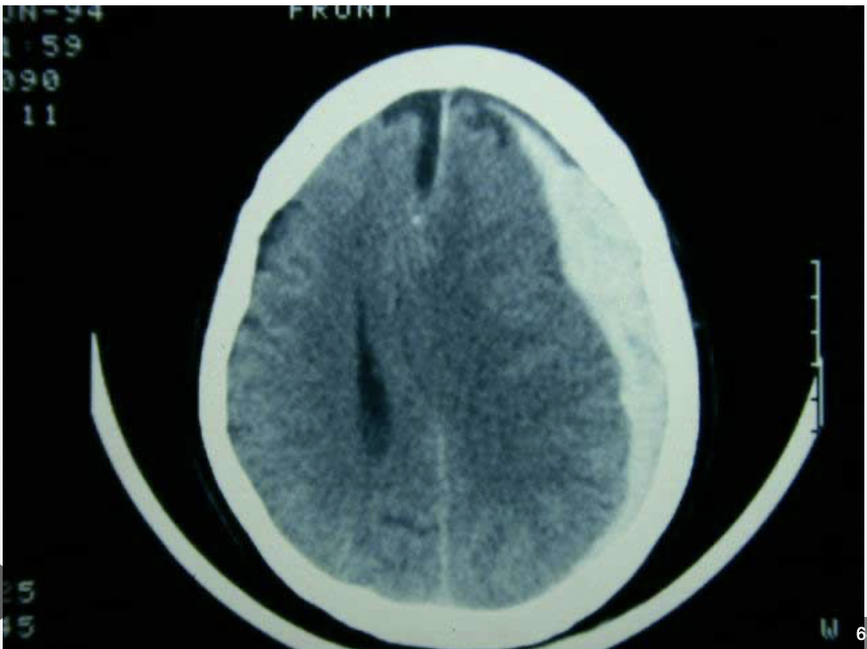
Q

Origen de un hematoma subdural

A

Es de origen venoso y sigue las suturas del cerebro, tiene forma de media luna o de platano o semiluna.

  • Evolución lenta

No hay barrera, si pasa las suturas

21
Q

origen de un hematoma epidural

A

Es de origen arterial, no puede atravesar las suturas
en forma de balón de americano, limón, biconvexo, bolillo
-Es de evolución rápida, se deterioran rápido

22
Q

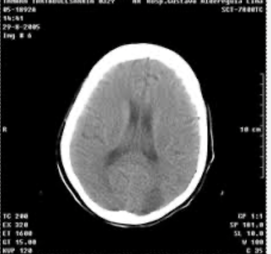
Como se ve el edema cerebral

A

Se ve borramiento de circunvoluciones y cisternas, no se puede diferencia S.gris de blanca, ventrículos, etc

El liquido pasa al intesrticio

23
Q

Clasificación de Marshall

A

Predice el desenlace y mortalidad

24
Q

Clasificación Tomográfica de TCE
National Traumatic Coma Data Bank (TCDB)

25
Escala de coma de glasgow APRENDER!!!
menos de 8 intubación
26
Que es una lesion cerebral primaria
Es una lesion directa del trauma (contusion cortical, laceraciones, desgarro dural o venoso)
27
Que es una lesion secundaria
Consecuencia de la lesion primaria (hematoma intracraneal, edema cerebral, hipoxia, hipoperfusion, neuroinfeccion)
28
Que es una lesion terciaria
Expresion tardia de los daños progresivos o no ocasionada por la lesiones primaria o secundaria con necrosis y apoptosis (neurodegeneracion)
29
Medidas de neuroproteccion - paCO2 - paO2 - Hb - Sodio - Glicemia - PAM - Temperatura - Vol corporal
30
Objetivos principales de tx
- Evitar el desarrollo de lesiones sec del encéfalo, el aumento de la PIC - Acortar la estancia de UCI - Disminuir incidencia de secuelas y complicaciones
31
Manejo de la vía aérea
32
Antes de realizar una intubación que necesitas hacer
Sedación Analgesia Bloqueo neuromuscular | Primero el sedante
33
Qué evitar en el monitoreo de TA y O2
PAS < 90 mmHg Hipoxia -> objetivos pO2 >60 y SO2 >90
34
EN que pacientes se lleva a cabo el monitoreo de la PIC
35
TX para el aumento de PIC
Manitol no lo ideal pq es muy osmótico y puede generar choque 2 o 3
36
Precauciones que debemos de tener si usamos terapia hiperosmolar
Debe vigilarse el estado electrolitico y ph, se debe evitar reponer el sodio muy rapido para reducir el riesgo de mielinosis pontina
37
Que nivel de sodio indica qe tienes que bajarlo
145
38
Qué es la saturación venosa yugular
Porcentaje de oxígeno en la sangre que sale del cerebro a través de la vena yugular interna, y **refleja el equilibrio entre el oxígeno que el cerebro recibe** (flujo sanguíneo y oxígeno arterial) **y el que consume.**
39
Monitoreo de oxigenación cerebral
La saturación venosa yugular (<50%) es una meta de tratamiento ya que es un indicador de la perfusion cerebral -> mantenerla arriba de esto
40
Recomendaciones en cuanto a los anticonvulsivos
Tx en las crisis postraumaticas. En los primeros 7 días despues del TCE | SOLO SI HUBO CONVULSION
41
Recomendaciones en la hiperventilación
42
De cuanto se tiene que elevar la cabecera del paciente
30-45 Grados para ayudar a un mejor retorno venoso
43
Utilizacion de la hiperventilación
44
Metas de presion y Hb en un TCE no complicado y complicado
45
Cuando sospechamos de lesiones intracraneales
46
Medidas ante una sospecha de herniacion intracraneal - Cabecera - Hipertermia - PAM - PPC - NA - Glucosa
47
Tipos de Hernias, cual es la mas grave y la más frec
La más comun es la del uncus, la más grave la de amigdalas