Tejidos Flashcards

(38 cards)

1
Q

Tipos de cartílago

A

Hialino
Elástico
Fibroso

How well did you know this?
1
Not at all
2
3
4
5
Perfectly
2
Q

¿De qué esta conformado el cartílago?

A

Colágeno

How well did you know this?
1
Not at all
2
3
4
5
Perfectly
3
Q

Principal componente del cartílago hialino

A

Colágeno tipo II
Proteogluc

How well did you know this?
1
Not at all
2
3
4
5
Perfectly
4
Q

Componentes de la MEC cartilaginosa

A

Glucosaminoglucanos
Proteoglucanos
Colágeno
Fib. elásticas

How well did you know this?
1
Not at all
2
3
4
5
Perfectly
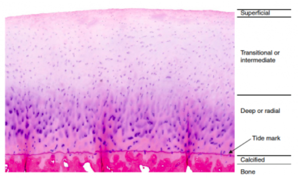
5
Q

Cápas del cartílago

A

Superficial
Transcición
Profunda
- Línea de marea
Calcificada
Hueso

How well did you know this?
1
Not at all
2
3
4
5
Perfectly
6
Q

Proceso de daño cartilaginoso

A

1 Limitada capacidad de reparación
2 Acumulación de daño
3 Pérdida de cartílago art.
4 Exposición de hueso subcondral

How well did you know this?
1
Not at all
2
3
4
5
Perfectly
7
Q

Clasificación general de lesiones cartilaginosas

A

Agudas
Crónicas

How well did you know this?
1
Not at all
2
3
4
5
Perfectly
8
Q

Causa de lesiones cartilaginosas agudas

A

Traumatismos

How well did you know this?
1
Not at all
2
3
4
5
Perfectly
9
Q

Causa de lesiones cartilaginosas crónicas

A

Por cargas repetitivas

How well did you know this?
1
Not at all
2
3
4
5
Perfectly
10
Q

Tx de reparación de cartílago

A

Busca estimular c. del px para formar fibrocartilago
- Microfx
- Injerto autólogo de condrocitos

How well did you know this?
1
Not at all
2
3
4
5
Perfectly
11
Q

Tx de reconstrucción

A

Involucra transplante de auto o alo injertos de cartílago hialino con hueso subcondral
- Mosaicoplastía
- Transplante de aloinjerto

How well did you know this?
1
Not at all
2
3
4
5
Perfectly
12
Q

Enf. articular degenerativa que consite en la pérdida progresiva de cartílago articular, con intentos de reparación, remodelado y esclerosis del hueso subcondral

A

Osteoartrosis

How well did you know this?
1
Not at all
2
3
4
5
Perfectly
13
Q

Sx de osteoartrosis

A

Dolor
Restricción de mov

How well did you know this?
1
Not at all
2
3
4
5
Perfectly
14
Q

Signos de osteoatrosis

A

Crepitación
Edema
Deformidad

How well did you know this?
1
Not at all
2
3
4
5
Perfectly
15
Q

Etiología de osteoartrosis primaria

A

Envejecimiento y uso

How well did you know this?
1
Not at all
2
3
4
5
Perfectly
16
Q

Etiología de osteoartrosis secundaria

A

Lesiones
Obesidad
Tabaquismo
Herencia

17
Q

¿Qué es esclerosis subcondral?

A

Endurecimiento y engrosamiento de hueso debajo del cart art

18
Q

Cambios degenerativos de osteoartrosis

A

Fibrosis de cartílago articular
Engrosamiento cap y sinovial
Esclerosis oseas
Osteofitos
Geodas (quistes)

19
Q

Engrosamiento cap y sinovial en osteoartrosis

A

Limita rango de mov.
Hipervascularización y hemorrag
Dolor

20
Q

Remodelación ósea en osteoartrosis

A

Engrosamiento de corticales
Cambio de patrón trabecular
Esclerosis

21
Q

¿Qué son osteofitos?

A

Mecanismo compensatorio a incongruencia articular

22
Q

¿Qué son la geodas?

A

Infartos por carga que generan necrosis focal y quistes

23
Q

% de las lesiones musculoesqueléticas que se asocian a ligamentos y tendones

24
Q

Tendones conectan…

A

Musc con hueso (incerción)

25
Ligamentos conectan...
Hueso con hueso (estabilidad)
26
Zona donde generalmente se dan las lesiones tendinosas
Unión miotendinosa Unión tendon-osea
27
Tiempo de etapa de inflamación de lesión T. y L.
0 - 48 hrs
28
Tiempo de etapa de reparación de lesión T. y L.
48 hrs - 21 d.
29
Tiempo de etapa de remodelado de lesión T. y L.
>21 d.
30
Características de la etapa de reparación T. y L.
Prolif. de fibroblastos Prod. de MEC Síntesis de colágeno tipo I
31
Características de la etapa de remodelado T. y L.
Tejido cicatrizal Reorganización de fib de colágeno (III → I) Remodelado MEC
32
Nemotecnia de tx de lesioes de tejido blando
PEACE & LOVE
33
PEACE & LOVE
P rotection E levation A avoid anti-infla C ompression E ducation & L oad O optimism V ascularisation E xercise
34
Matriz ósea componentes
65% inorgánico (hidroxiapatita) 35% orgánico (c.)
35
Funciones del Ca
Transmisión de impulsos n. Contracción musc Coag
36
PTH y Ca
Aumenta Ca en sangre - Estimul de osteoclastos - Disminuye excreción renal de Ca - Aumenta excreción renal de P - Aumenta absorción de Ca intestinal
37
Calcitonina y Ca
Disminuye Ca en sangre - Aumenta excreción renal de Ca - Disminuye excreción renal de P - Disminuye absorción de Ca intestinal
38
Reguladores del Ca
PTH Calcitonina Vit D