TEP Flashcards

(38 cards)

1
Q

Diagnóstico de TEP

A

Tríade de virchow
estase ( gestação, cirurgia, obesidade )

lesão endotelial ( trauma, cx ) e

hipercoagulabilidade ( pp é deficiência do fator 5 de leiden, puerpério)

How well did you know this?
1
Not at all
2
3
4
5
Perfectly
2
Q

Quando pensar ?

A

Pacientes que se apresentam:

  • Dispnéicos
  • Dor pleuritica
  • Tosse
  • Dor retroesternal
  • Vertigem

Muita atenção a DPOC, 25 % das causas de exacerbação, pensar em TEP

How well did you know this?
1
Not at all
2
3
4
5
Perfectly
3
Q

Começando a investigação
Primeiro passo: estratificação de probabilidade pré teste

A

Escore de WELLS OU GENEBRA, são equivalentes ente si
Dr prefere Genebra

How well did you know this?
1
Not at all
2
3
4
5
Perfectly
4
Q

Continuação

A

D dímero e produto da degradação da fibrina
Utiliza mais pra triagem

Alto risco já começa a anticoagular agora antes da angiotc

How well did you know this?
1
Not at all
2
3
4
5
Perfectly
5
Q

Obs
Existe um score específico para pacientes de baixo risco pra nem sequer fazer o d dímero

A

Devemos responder não pra todas as perguntas, se a gente responder sim pra alguma, esse paciente merece o d dímero

How well did you know this?
1
Not at all
2
3
4
5
Perfectly
6
Q

Interpretando o d dímero

A

Deve ser dosado pelo método Elisa, o látex não tem confiabilidade
Positivo se maior de 500
Pacientes com mais de 50 anos = idade x 10

How well did you know this?
1
Not at all
2
3
4
5
Perfectly
7
Q

Diagnóstico

A
How well did you know this?
1
Not at all
2
3
4
5
Perfectly
8
Q

Cuidados com a angiotc

Acesso calibroso jelco 18

A

CI
- gestante
- IR ( clearance < 45)
- mieloma múltiplo
- alergia ao contraste

Ser investigado por outros exames

How well did you know this?
1
Not at all
2
3
4
5
Perfectly
9
Q

Outros exames

A

ECG
- taquicardia sinusal ( 40%)
- sobrecarga de VD e BRD ( critérios de mal px)
- padrão S1Q3T3 (< 10% dos casos, não é específico de TEP)
Onda S D1
Onda Q em D3
Inversão de onda T em D3

How well did you know this?
1
Not at all
2
3
4
5
Perfectly
10
Q

ECG

A
How well did you know this?
1
Not at all
2
3
4
5
Perfectly
11
Q

Outros exames

A

Rx de Tórax

How well did you know this?
1
Not at all
2
3
4
5
Perfectly
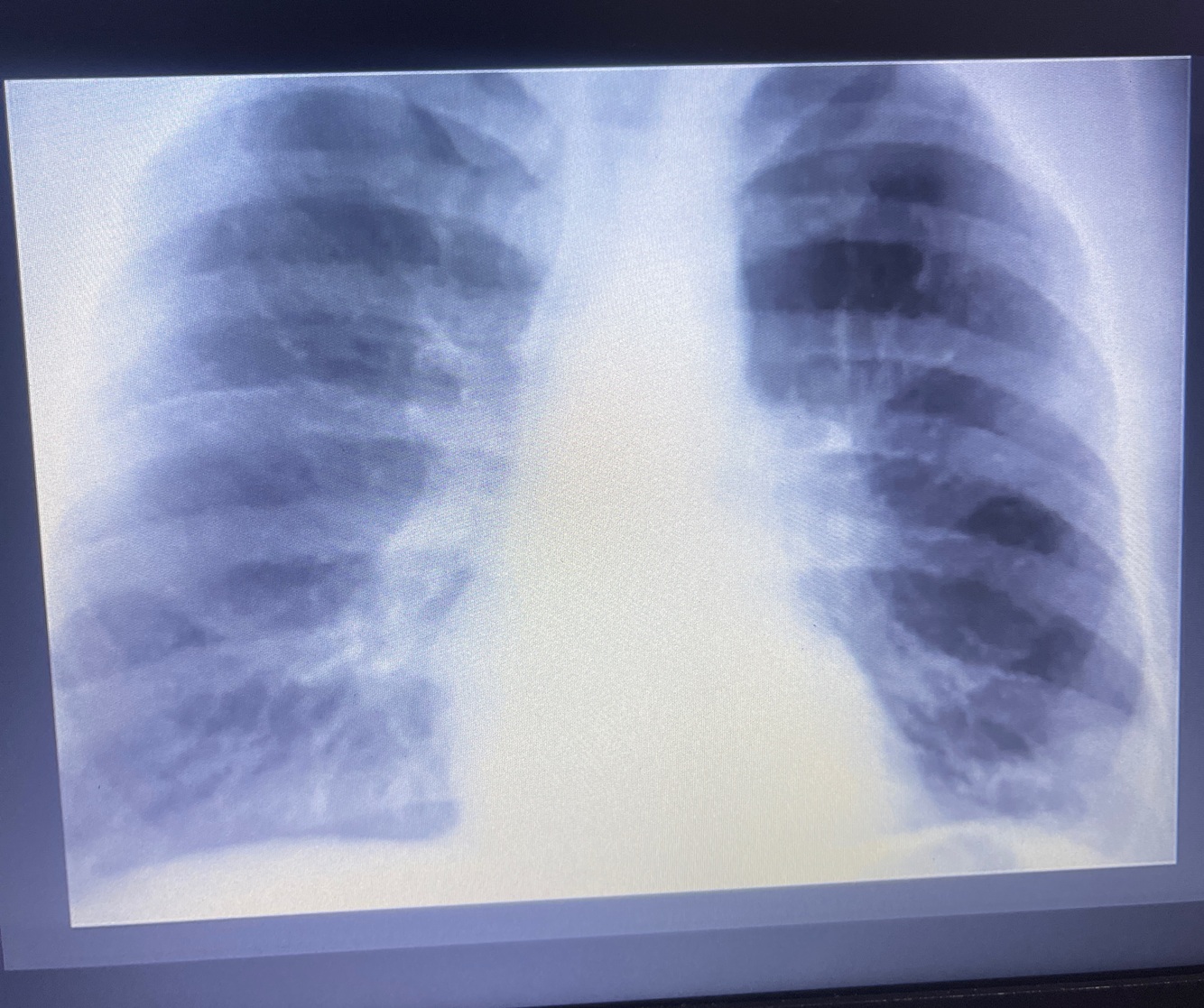
12
Q

Rx de tórax

A

Sinal de WESTERMAK

Diminuição da trama vascular, oligoemia ou seja hipodensidade focal, geralmente é triangular

How well did you know this?
1
Not at all
2
3
4
5
Perfectly
13
Q

Corcova de Hampton

A

Ela geralmente é hiperdensa, sugestiva de infarto pulmonar

How well did you know this?
1
Not at all
2
3
4
5
Perfectly
14
Q

E se o paciente se apresente instavel hemodinâmicamente

Nesses casos a gente considera que o paciente tenha um TEP de alto risco

A

Nesses casos aplicar o SCORE PESI
Divide meu paciente em 4 grupos

CRITÉRIOS SÃO:
- pressão sistólica < 90 mmhg por mais de 15 minuto
- pressão sistólica < 100 em hipertensos
- redução > 40% na pressão sistólica basal
( sinal que o trombo está aumentando)

How well did you know this?
1
Not at all
2
3
4
5
Perfectly
15
Q

Pacientes instáveis

A

1 - ECOCARDIOGRAMA
- disfunção de VD ??
Se sim : trombolise
Se não: investigação de outras causas para instabilidade ou, caso tenha suspeita forte de TEP, seguir com outros exames

How well did you know this?
1
Not at all
2
3
4
5
Perfectly
16
Q

Paciente instáveis

A
  • recomendação off label
    Aplicar Score se alto risco trombólise, se indisponibilidade do ECO
  • Prescrição da trombólise
    rtPA 50 mg, dois frascos ( 100mg) EV em 1 hora PARALELO a isso devo fazer a anticoagulação que se o paciente estiver instavel não devo utilizar a heparina sc ou via oral
    Devo fazer tudo EV

Tem um líquido e tem o pó
Misturar e colocar em um frasco de soro vazio de 100 ml, essa solução tem 1mg/1ml
Colocar pra correr em 1 h

17
Q

Continuação

A

Score de PESI a gente realiza nos casos já confirmados
Ou seja, aquele paciente que chegou, eu apliquei os critérios de Wells ou Genebra
Dependendo do resultado levei o paciente para a angiotc e o resultado foi confirmatório

Nos casos dos paciente chocados, quem são os pacientes com pas < 90 ou pas < 100 nos pacientes já hipertensos ou redução de mais de 40 % nas pas devo fazer a trombólise

Aquele que não está chocado, aplicar Score PESI

18
Q

PESI

Estável hemodinamicamente com dx de TEP

A

Classifica o paciente em 5 grupos

Classe 1 e 2 - baixa mortalidade- tto ambulatorial

Classe 3,4 e 5 a gente precisa internar

Na classificação de PESI tem a forma normal e a simplificada

19
Q

Escore PESI

A

PESI 1 ou 2- baixo risco- paciente que não está hipotenso ou chocado, fazer de cara a anticoagulacao, sem precisar de maiores exames, não precisa de ECO e troponina

PESI 3, 4 ou 5- intermediário, apenas um deles ou todos alterados

Eu diferencio intermediário baixo e do intermediário alto pelo ECO e troponina, se um deles positivo intermediário baixo, se ambos positivos intermediário alto

20
Q

Tto

A

Baixo risco- PESI 1 e 2 aplicar os critérios de HESTIA pra vê se o paciente realmente tem condições de tratamento ambulatorial

Risco intermediário- paciente precisa ficar internado, aplicar os critérios de BOVA pra saber se o paciente vai ficar internado em enfermaria ou UTI

Alto risco- trombólise, paciente em choque obstrutivo

21
Q

Critérios de HESTIA

A

Depois de aplicar o PESI, devo fazer o HESTIA pois talvez meu paciente se beneficia de tratamento ambulatorial

Só libero se todas as resposta forem negativas

22
Q

Continuação dos critérios de HESTIA

A

Quais são os pacientes com alto risco de sangramento ?

Seja muito criterioso com isso

23
Q

Tratamento

A

Pacientes baixo risco, vejo se tem condição de tto ambulatorial pelos critérios de HESTIA

24
Q

Risco intermediário
PESI 3,4 ou 5

A

Aplicar os critérios de BOVA

Nesses pacientes eu sou obrigada a solicitar ecocardiograma e troponina

Lembrando se ele tiver elevação de troponina e disfunção de VD e intermediário alto risco, se só uma, intermediário baixo risco.

25
Iniciando tratamento
26
Anticoagulação Não tem a característica de causar fibrinolise e desfazer o trombo o que eu quero e evitar que o trombo aumente
O grande problema da Rivaroxabana e da apixabana e que são contra-indicadas em pacientes com IR com clearance menor que 30 Apixabana até 25 a gente consegue iniciar Já o xarelto tem que ser maior que 30 Quando você inicia a heparina e varfarina tem que pedir o inr todos os dias até ele ficar entre 2 e 3 por 48 horas ou seja por 2 dias consecutivos, quando ficar no alvo tirar a heparina e manter a varfarina Pq inicialmente a varfarina é protrombotica O heparina não altera inr ela altera o TTPA Quem altera inr é a varfarina Se você iniciar heparina + dabigatrana ou edoxabana , esses não são acompanhados pelo inr, faz eles juntos por 5 dias depois suspende heparina Tem duas heparinas, a Heparina de baixo peso molecular e a heparina não fracionada HBPM que é o Clexane também tem CI, que são pacientes extremos de peso <40 ou > 150 kg, pacientes com IR
27
Opções do coagulação
28
Opções de coagulação
HNF é indicada nos casos de CI relativa a HBPM Ela não usa HBPM, não pelo fato de ser CI absoluta e sim devido à impossibilidade de acompanhar, existe um exame que a gente consegue acompanhar o efeito do clexane, que é o anti fator Xa, se tiver no hospital a gente faz
29
HBPM+ Varfarina
Depois o paciente vai embora com a varfarina com indicação de dosar inr uma vez ao mês Varfarina é bem difícil de virar, as vezes temos que aumentar para 10 mg daí ele pode passar demais As vezes o paciente tem que fazer 10 mg segunda terça e quarta e nos outros dias 5 mg
30
No paciente que não puder fazer o clexane Que geralmente são os extremos de peso ou com alteração de função renal
Tem que acompanhar inr todo dia devido o início da Varfarina até chegar 2 e 3 Como vamos utilizar a HNF ?? O frasco da heparina vem 5000 UI por ml o frasco tem 5 ml temos 25000 em 5 ml Logo pegamos 1 frasco em 245 ml SF Logo a concentração fica 100 ui por ml O que a gente usava muito era fazer 80 UI por kg depois manter 18 ui por kg/h a gente não usar tanto por que tem que acompanhar TTPA Agora a gente faz um bolus de 5000 Ui ou 50 ml e iniciar infusão de 1000 ui por hora ou 10 ml hora E dosar TTPA de 6/6 h O ideal é manter TTPA de 1,5 -2,3 O que é muito complicado
31
Formas alternativas de usar HNF Fazer SC
Bolus 333 mg/kg -80 kg - 26,000 Utilizar outra apresentação da heparina que mais rara, que é 5000 UI por 0,25 ml Em 1 ml teria 25,000, logo faríamos 1,25 ml Se no meu serviço só tiver a HNF na dose 5000ui por ml, eu devo fracionar os locais de aplicação pra não injetar um volume alto e formar um hematoma Depois manter 250 mg/kg de 12/12 h Não é necessário acompanhamento com TTPA
32
Resumindo
Melhor opção Rivaroxabana Se não tiver utilizar heparina com varfarina De preferência com clexane Se não tiver o clexane ou tiver contraindicação eu vou utilizar HNF Se eu tiver bombar de infusão e capacidade no meu serviço de dosar TTPA de 6/6 horas Se não tiver no meu serviço eu uso a dose subcutânea de preferência dose concentrada
33
Exemplos
Aplicar antes o PESI ( tem que ser 1 e 2) e o HESTIA
34
Exemplos
PESI (3,4 e 5) solicitar troponina e ECO pra saber se é intermediário alto ou baixo
35
Exemplo
As vezes nesse paciente a gente vai ficar preso na HNF devido o volume pra fazer subcutâneo ser muito alto
36
Tempo de anticoagulação
Fator causador transitório, 3 meses de tto ( exemplo paciente que fraturou a perna e evoluiu com TEP) Com fator causador, depende da causa
37
Diferença radiológica entre TEP crônico e agudo
TEP crônico - trombo vai está na parede do vaso TEP agudo- trombo vai está no meio do vaso
38
Abaulamento de VD sob VE no ecocardiograma
Sinal de mcconeel