Quais os fatores de risco para uma TEP?
Tríade de Virchow
Cite exemplos de situações que se encaixam como fatores de risco para TEP dentro da tríade de Virchow
Qual a clínica de uma TVP?
Qual a relação deste trombo com uma TEP?
SÃO SINTOMAS SÚBITOS
Como diagnosticar uma TVP?
Quais as manifestações clínicas de uma TEP?
Basicamente é DD com qualquer evento CV súbito!
Quais as características clínicas de suspeição de um TEP Maciço?
Quais exames complementares e o que esperar deles em uma TEP?
Quais os principais marcadores de mau prognóstico na TEP?
Quais alterações são visíveis neste ECG?
Qual a principal hipótese diagnóstica?
Quais as alterações mais comum e específica, respectivamente, desta hipótese?

HD: Tromboembolismo pulmonar

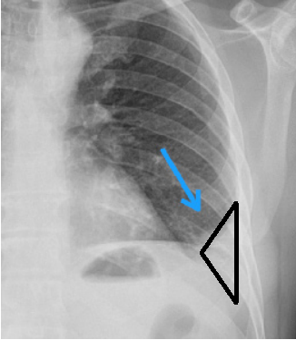
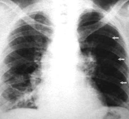
Qual alteração radiológica é possível ser vista neste RX de tórax?
É sinal sugestivo de quê?


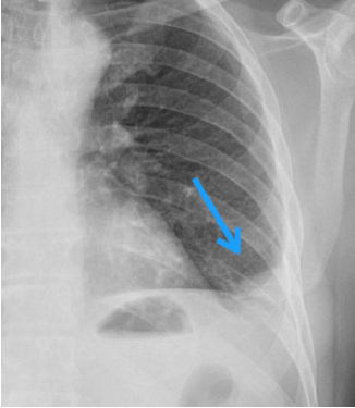
Qual alteração radiológica é possível ser vista neste RX de tórax?
É sinal sugestivo de quê?

Cite os critérios do escore de Wells, suas pontuações e para que ele serve
Indicam a probabilidade de ser uma TEP
Como conduzir um paciente com baixa suspeita de TEP?
Cite o algoritmo diagnóstico
Wells ≤ 4
Como conduzir um paciente com alta suspeita de TEP?
Cite o algoritmo diagnóstico
Wells > 4
Qual o exame de imagem considerado padrão-ouro para diagnóstico de TEP?
ARTERIOGRAFIA PULMONAR
OBS: Ele fica para o final do algoritmo pelo fato de ser bastante invasivo
Quando deve-se iniciar o tratamento para TEP?
Como tratar um paciente de TEP?
Como conduzir um TEP maciço?
Deve ser trombolizado até o 14ºDIA
Como indicar uma profilaxia para TVP?
Qual a contraindicação de realizar uma Angio-TC de tórax e qual a opção para substituir?