Trombectomia Flashcards

(10 cards)

1
Q

Fale sobre os primeiros estudos promissores de trombectomia e suas respectivas janelas validadas.

A

Meados de 2015:
* MR CLEAN, SWIFT PRIME e EXTEND-IA validaram até 6h
* REVASCAT: 8h
* ESCAPE: 12h

Apenas imagem simples: MR CLEAN e REVASCAT
How well did you know this?
1
Not at all
2
3
4
5
Perfectly
2
Q

Fale sobre o DAWN

A

Publicado em 2018
* 6-24h
* ASPECTS ≥ 6
* Neuroimagem avançada

 Mismatch clínicorradiológico
A. ≥ 80a + NIHSS ≥ 10 + isq < 21mL
B. < 80a + NIHSS ≥ 10 + isq < 31mL
C. < 80a + NIHSS ≥ 20 + isq < 31-51mL
How well did you know this?
1
Not at all
2
3
4
5
Perfectly
3
Q

Fale sobre o DEFUSE-3

A

Publicado em 2018
* 6-16h
* ASPECTS ≥ 6
* Neuroimagem avançada

Mismatch radiológico
Infartos < 70 ml
Razão do volume de hipoperfusão pelo volume do infarto ≥ 1,8 (80% de área salvável)
How well did you know this?
1
Not at all
2
3
4
5
Perfectly
4
Q

Fale sobre o RESILIENT

A

Publicado em 2020
* ≤ 8h
* ASPECTS ≥ 6
* Validou trombectomia para o SUS (primeiro estudo em país de baixa renda)
* Neuroimagem simples

Estudo teve de ser interrompido antes por causa da alta eficácia.

How well did you know this?
1
Not at all
2
3
4
5
Perfectly
5
Q

Fale sobre o AURORA

A

Metanálise publicada em 2020
* Avaliou: DAWN, DEFUSE-3, ESCAPE, RESILIENT, POSITIVE, REVASCAT
* Janela de 6-24h
* ASPECTS ≥ 6

How well did you know this?
1
Not at all
2
3
4
5
Perfectly
6
Q

Fale sobre o TENSION

A

Publicado em 2023
* Janela ≤ 12h
* ASPECTS 3-5
* Neuroimagem simples

How well did you know this?
1
Not at all
2
3
4
5
Perfectly
7
Q

Fale sobre o LASTE

A

Publicado em 2023
* Janela ≤ 12h
* ASPECTS 0-2
* Neuroimagem simples

Maior risco de complicações, resultados promissores em grupos selecionados

How well did you know this?
1
Not at all
2
3
4
5
Perfectly
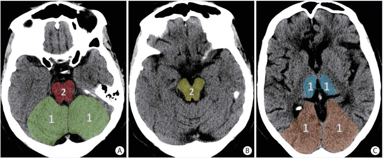
8
Q

Explique o PC-ASPECTS

A

Total de 10 pontos, avalia circulação posterior
* Tálamos bilaterais (2 pontos: um para cada lado).
* Mesencéfalo (2 pontos).
* Ponte (2 pontos).
* Cerebelo (2 pontos: 2 pontos por hemisfério cerebelar).
* Lobo occipital (2 pontos: 1 ponto para cada lobo)

How well did you know this?
1
Not at all
2
3
4
5
Perfectly
9
Q

Fale sobre o ATTENTION

A
  • Janela ≤ 12h
  • Oclusão de A. Basilar confirmada
  • NIHSS ≥ 10
  • PC-ASPECTS ≥ 6
  • Neuroimagem simples
  • Melhor mRS (0-3) e tendência à redução de mortalidade em 90 dias
How well did you know this?
1
Not at all
2
3
4
5
Perfectly
10
Q

Fale sobre o estudo BAOCHE

A
  • Janela 6-24h
  • Oclusão de A. Basilar confirmada
  • NIHSS ≥ 10
  • PC-ASPECTS ≥ 6
  • Neuroimagem simples
  • Melhor mRS (0-3) e tendência à redução de mortalidade em 90 dias
How well did you know this?
1
Not at all
2
3
4
5
Perfectly