Measles
General Characteristics

Rubeola Virus
Structural Proteins
Rubeola Virus
Transmission/Epidemiology

Rubeola Virus
Pathogenesis

Measles
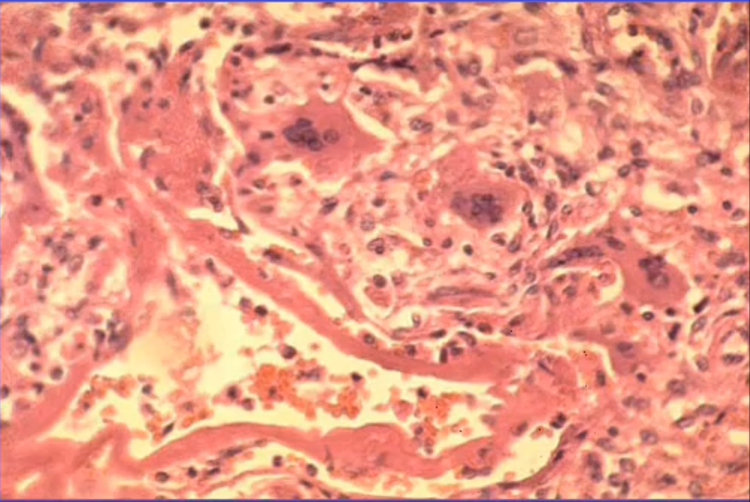
Histology
Virus induces syncytia formation and multinucleate giant cells.

Measles
Clinical Manifestations

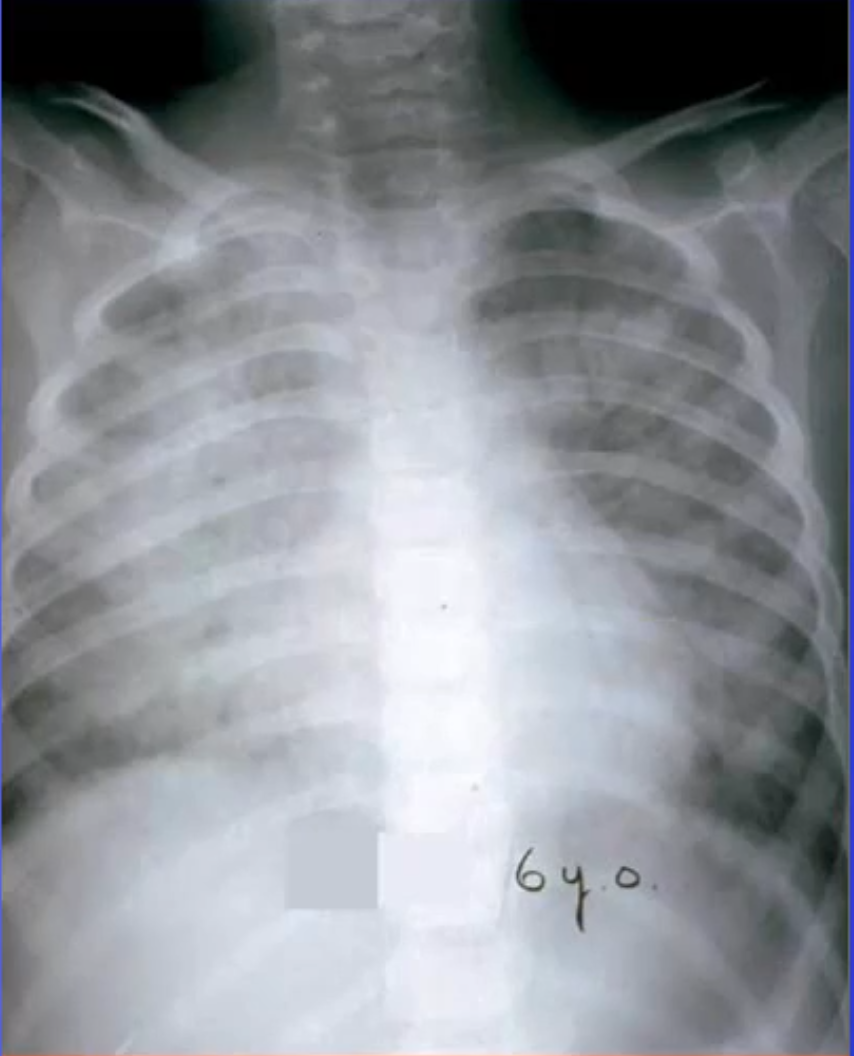
Measles
Complications

Measles
Immunity, Treatment, and Prevention
Roseola
Overview
“Exanthum subitem”
Roseola
Transmission/Epidemiology
Roseola
Pathogenesis/Clinical
Roseola
Management
Dx: clinical
Treatment/Prevention: none
Erythema Infectiosum
Overview
“Fifth Disease”
Erythema Infectiosum
Transmission/Epidemiology
Erythema Infectiosum
Pathogenesis/Clinical
Erythema Infectiosum
Management