bespreek de epidemiologie van Chronisch Myeloïde Leukemie - CML
14% van alle leukemieën [Kumar & Clark’s]
gekenmerkt door het Philadelphia-chromosoom: t(9; 22)
Vooral volwassenen tussen 40 en 60 jaar
1,7 per 100.000 nieuwe gevallen vorig jaar [SEER fact sheet]
0,2% van de mensen krijgt de ziekte in zijn leven
1,7x zoveel mannen als vrouwen
http://seer.cancer.gov/statfacts/html/cmyl.html

Bespreek de symptomen van CML
symptomen van CML zijn:
[Kumar & Klark’s]
Hoe wordt CML behandeld?
Sinds de komst van Imatinib, een TKI (tyrosine kinase inhibitor) is overleving drastisch verbeterd. Het remt de BCR-ABL activiteit (het abnormale fusie-eiwit) en is hierdoor eerstekeuzemiddel.
Complete hematologische respons in 95% v. d. gevallen
complete cytogenetische remissie in 70-80% waarvan een deel compleet moleculair.
bij resistente nieuwe mutaties in BCR-ABL zijn er 2e generatie TKI’s Dasatinib, Nilotinib
in de acute fase (Blastencrisis) treedt snel resistentie op tegen TKI’s
Chemotherapie en allogene stamceltransplantatie zijn dan geïndiceerd.
Allogene hematopoietische stamceltransplantatie kan 70% in de chronische fase genezen -> bij onvoldoende respons bij TKI en/ of ziekteprogressie
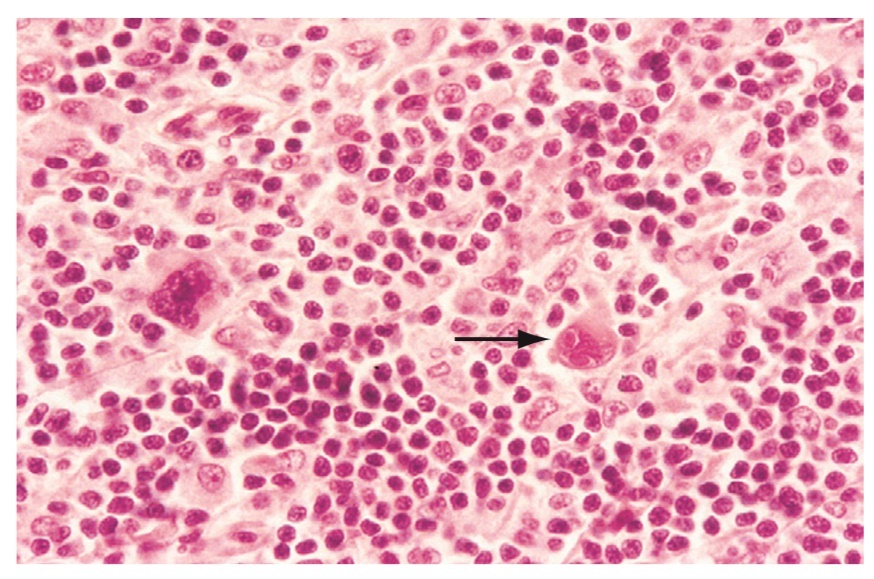
Hoe wordt deze cel genoemd en waar wijst deze op?

Dit is een maligne binucleare Reed-Sternberg cel die wijst op een Hodgkin lymfoom.
De andere cellen zijn normale benigne lymfocyten en histiocyten