What is this condition?

Fissured tongue
What is this radiolucency?

Stafne defect
*mandibular salivary gland surrounded by madnibular bone*
What is this small white papule?

Epstein’s pearls (of newborns)
What are these raises caused by?

Nasolabial cyst
*top is unilateral, bottom is bilateral*
What is in the left image?

Radicular cyst
(aka periapical cyst)
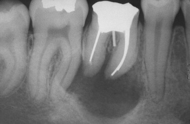
What is this type of globulomaxillary radiolucency?

Periapical granuloma
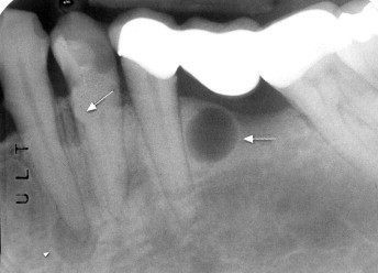
What is this radiolucency?
(hint: 2nd most common globulomaxillary radiolucency)

Periapical granuloma
What is this 3rd most common type of globulomaxillary radiolucency?

Lateral periodontal cyst
Is this a lateral periodontal cyst or radicular cyst?

lateral periodontal cyst
What is this?

Nasopalatine duct cyst
What is this radiolucency?

Nasopalatine duct cyst
What is the raised area on anterior palate?
(it also involves bone)

Nasopalatine duct cyst
What is this if not a nasopalatine duct cyst?

Median palatal cyst
What is this if teeth are vital and it doesn’t involve bone?

Cyst of the incisive papilla
This type of cyst occurs in hair follicles and usually on the scalp.

Pilar cyst
What might this be?

Pilar cyst
What is this fluctuant midline swelling on the floor of the mouth?

Dermoid cyst
What is this swelling on the neck in either image?

thyroglossal duct cyst
What are two names for this type of cyst?

Branchial cleft cyst
or
Cervical lymphoepithelial cyst
What condition does this person probably have?

Hemihyperplasia
What syndrome(s) is/are this associated with?

Beckwith-Weidemann syndrome, Proteus syndrome, or Neurofibromatosis