What is this?

acquired melanocytic nevus
What is this?

basal cell carcinoma
What results from UV radiation and is most common of all cancers?
Basal cell carcinoma
What is a common pathology in elderly that presents as flat tan to brown macules?
Seborrheic keratosis
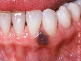
What is this?

Amalgam tattoo (ha! and you thought it was oral melanoacanthoma)
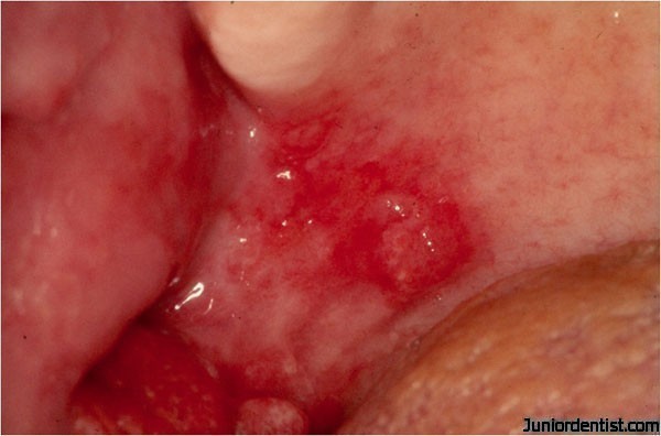
What is this?

erythroplakia
What is technical term for a birth mark?
congenital melanocytic nevus
A cousin of the ephilis, what is this?

oral melanotic macule
An ephilis on the vermillion border.
What is a Labial melanotic macule?
What are risk factors for melanoma?
What is this?

Seborrheic keratosis
What is this?

basal cell carcinoma
What could this be?

Heck’s disease (multifocal epithelial hyperplasia)
Which five types of HPV mostly cause condylomas?
HPV 6, 11, 16, 18, 31
What mostly causes oral melanoacanthoma and where is it typically found in the mouth?
trauma, found on buccal mucosa
What viruses causes Squamous papilloma?
HPV 6, 11
Give a differential diagnosis.

Define stage 2 SCCA.
tumor is more than 2cm but less than 4cm across, no infected nodes or mets
What is this? What features might give it away?

Basal cell carcinoma. Rolled borders and telangiectatic blood vessels.
What are six etiologies of leukoplakia?
Biopsy shows it’s caused by HPV 2, 4 & 40. What is this?

Verruca vulgaris
If there are scattered red patches that cannot be removed or identified, what is this termed?
erythroplakia
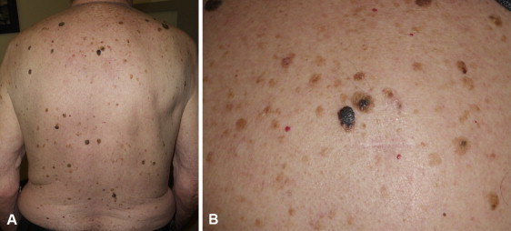
Sudden appearance of many seborrheic keratosis and pruritis is associated with what other finding?
internal malignancies (condition called Leser-Trélat sign)
What is this? What increases your risk for this in childhood?

Basal cell carcinoma. Frequent sunburns and freckles increases risk