What causes this?

Tetracycline taken by the mother during pregnancy
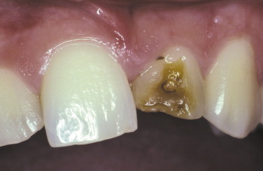
Diagnosis of this tooth?

Turner’s hypoplasia
What causes Turner’s hypoplasia?

A periapical inflammatory disease of the primary dentition causes hypoplasia of the underlying, developing deciduous tooth.
Too much of what causes this?

Fluoride (esp. in the first few years of life when these teeth are developing)
Hutchinson’s incisors are manifestations of what congenital disease?

Congenital syphilis
Seen as a manifestation of congenital syphilis, what would you call this unique tooth anatomy?

Mulberry Molars
*part of the Hutchinson’s triad seen w/ congenital syphilis*
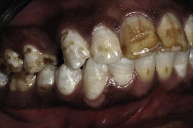
What’s happening here?

Fluorosis from too much fluoride exposure
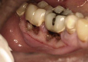
What kind of post-developmental loss of tooth structure is this?

Attrition *caused by bruxism*
What kind of post-developmental loss of tooth structure is this?

Abrasion
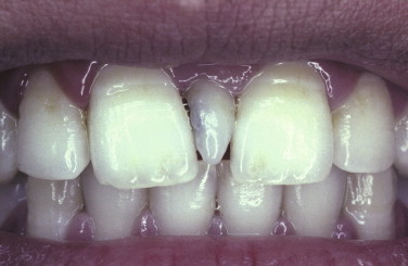
What kind of post-developmental loss of tooth structure is this?

Abfraction
*aka Noncarious cervical lesions*
What kind of post-developmental loss of tooth structure is this?

Erosion
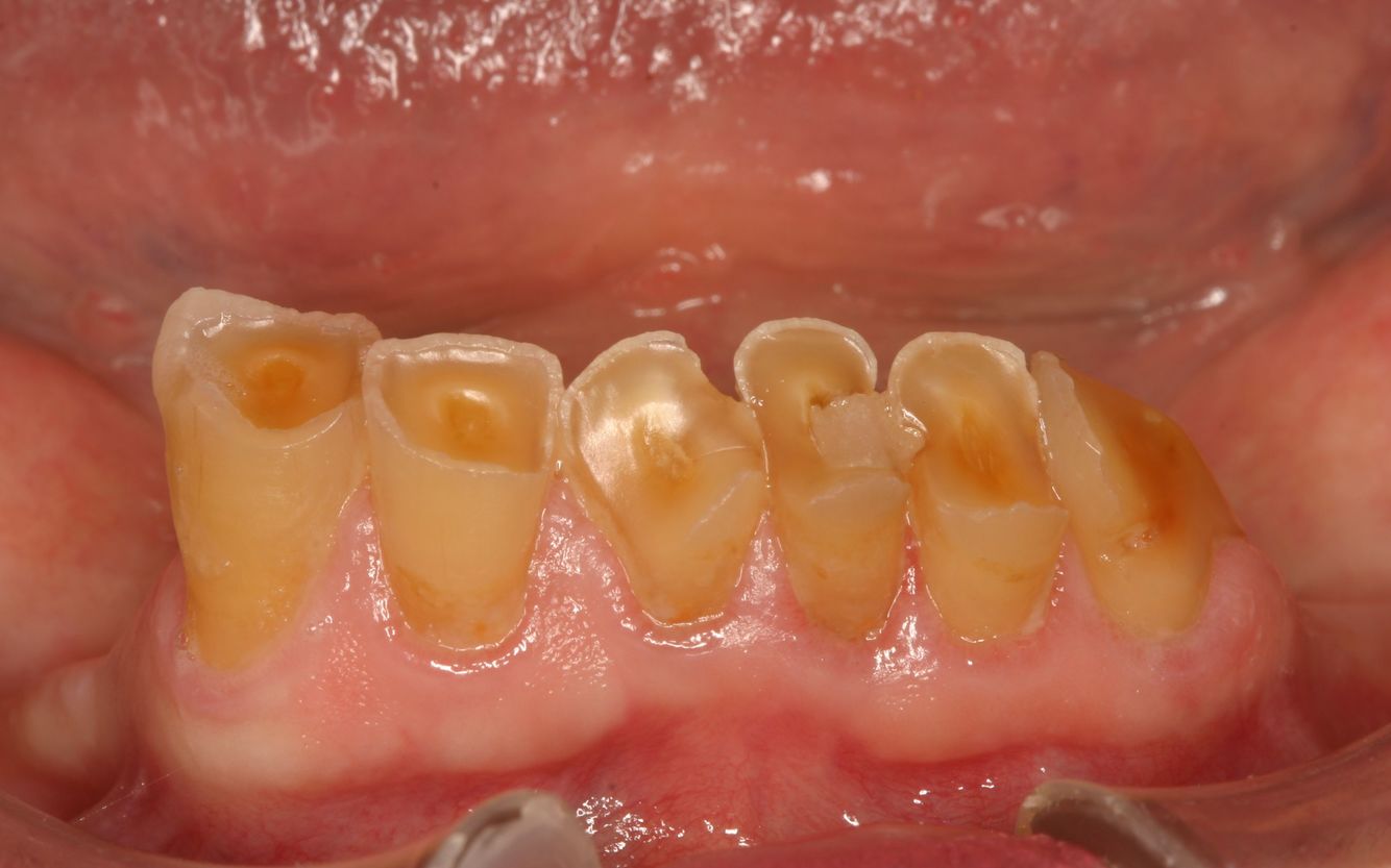
What kind of post-developmental loss of tooth structure is this?

Erosion
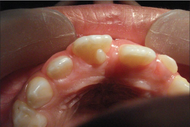
What is this kind of hyperdontia called?

Mesiodens
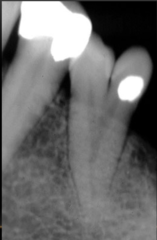
What would present with this kind of radiopaque spot within this tooth?

Dens-in-dente
What can we see on the tooth in figure A?

Dens evaginatus
What’s happening with the tooth in the marked area?

Dens invaginatus
Besides having conical teeth, what other manifestations would this child present with?

No sweat glands and fine hair (hypohydrotic ectodermal dysplasia)
What is this?

Dens invaginatus
What is this type of dens evaginatus called?

Talon cusp
What kind of developmental disturbance in tooth shape is happening here?

Fusion
What kind of developmental disturbance in shape is happening?

Gemination
If this patient has one tooth less than they “should” what could this condition be?

Fusion
What is this craziness?

Concrescence
What’s joining these teeth?

Cementum (condition = concrescence)