What are features of benign bone neoplasias?
What are features of malignant bone neoplasias?
osteogenesis imperfecta is a defect in what?
Collagen Type I maturation
What is the most common inherited bone disease?
osteogenesis imperfecta
How does osteogenesis imperfecta present clinically?
What is this feature called?

Wormian bones of the skull (mosaic pattern)
What disease is this feature associated with?

Osteogenesis Imperfecta
What type of Osteogenesis imperfecta is the mildest and most common, and which is the most severe?
Type I is mildest
Type III is most severe
What is also known as the “marble bone disease”?
osteopetrosis
What is adult-type osteopetrosis also called?
Benign osteopetrosis
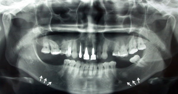
What is unique about this patient’s radiograph?

Bone is more radiopaque than normal. Probably has osteopetrosis.
What are these lesions caused by?

Osteopetrosis caused his bone to necrose, leading to these fistulous tracts.
Why are this child’s eyes blue?

osteogenesis imperfecta
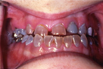
Pt sits down in chair and presents with these teeth. Eyes are blue and legs are bowed. What are you thinking they might have?

osteogenesis imperfecta
What are characteristics of infantile osteopetrosis?
This is clearly not natural. What could they have if their teeth are also involved?

cleidocranial dysplasia
This pano looks good right? No. What does this patient have?

cleidocranial dysplasia
What are some features of Cleidocranial dysplasia?
What is an increased radiolucency of the bone marrow called?

Focal Osteoporotic Marrow Defect
Features of Focal Osteoporotic Marrow Defect?
Define Idiopathic Osteosclerosis.
A focal area of increased radiodensity that is of unknown cause but cannot be attributed to anything else
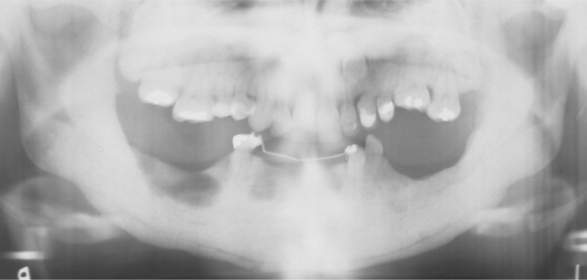
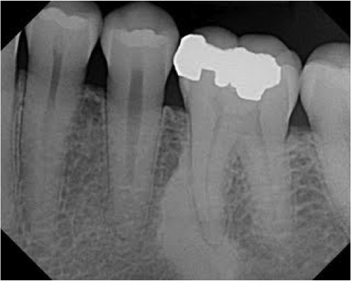
What is this? (hint: no hx of infection)

Idiopathic osteosclerosis
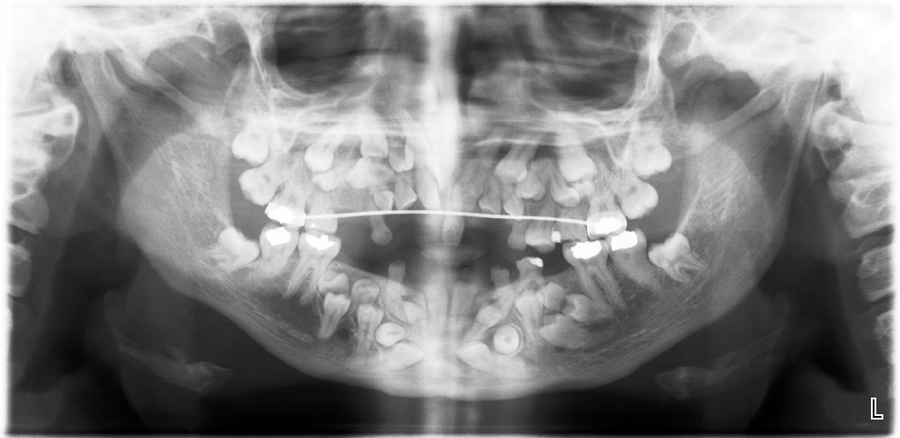
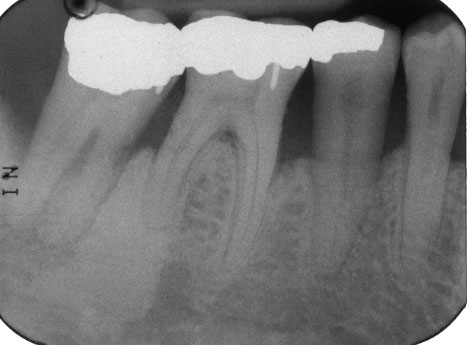
What is this?

idiopathic osteosclerosis
What are radiographic features of idiopathic osteosclerosis?