A 16-year-old girl with known inflammatory bowel disease develops disabling frequency, urgency, and nocturia. She has recurrent E. coli UTIs. Ultrasound shows mildly dilated upper tracts bilaterally. A CT scan shows a thickened bladder wall. Cystoscopy reveals an inflamed trigone without discrete evidence of a fistula. The most important form of therapy for her is:
4
The most common urologic complication of inflammatory bowel disease is cystitis. This can happen with or without an enteric-urinary fistula. Management should be directed at the inflammatory bowel disease and should be non-surgical if at all possible. Surgical procedures such as diverting colostomy, suprapubic tube or bowel resection are inappropriate as initial management. Intravenous antibiotics will not be any more effective than oral antibiotics.
Following a nephrectomy for calculous disease, a patient with a normal contralateral kidney has a urine output of 800 ml/day despite receiving 2000 ml I.V. fluids daily. Blood loss at nephrectomy was replaced. The serum sodium is 125 mEq/l, the serum potassium is 3.5 mEq/l, and the serum osmolality is 270 mOsm/l. The urinary sodium is 20 mEq/l and the urine osmolality is 480 mOsm/l. The most likely cause of these findings is:
1
The syndrome of inappropriate ADH secretion (SIADH) may be associated with malignancy, pulmonary and CNS disorders, and certain drugs. Hyponatremia, decreased serum osmolarity (< 285 mOsm/l) with inappropriately increased urine osmolarity (> 300 mOsm/l), normal adrenal and thyroid function and urine sodium in excess of 20 mEq/l characterize the process. A diagnosis of SIADH can only be made if a patient is euvolemic (as in the present case), as increased ADH secretion is physiologic in hypovolemic states. Adrenal insufficiency would result in increased serum potassium. Dehydration would result in mild hypernatremia and a higher urine osmolarity. There is no reason, in the present case, to consider water intoxication given the administration of only 2000 ml of I.V. fluid daily.
Among patients with metastatic renal cell carcinoma, sorafenib:
4
Sorafenib is an FDA approved oral medication for use in patients with metastatic renal cell carcinoma. The effects of sorafenib (BAY 43-9006), an oral multikinase inhibitor targeting the tumor and vasculature, on tumor growth in patients with metastatic renal cell carcinoma was evaluated in a randomized Phase II trial. Patients with brain metastases were excluded from the study, however patients with prior immunotherapy were included. Patients initially received oral sorafenib 400 mg twice daily during the initial run-in period. After 12 weeks, patients with changes in bi-dimensional tumor measurements that were less than 25% from baseline were randomly assigned to sorafenib or placebo for an additional 12 weeks; patients with >/= 25% tumor shrinkage continued open-label sorafenib; patients with >/= 25% tumor growth discontinued treatment. The primary end point was the percentage of randomly assigned patients remaining progression free at 24 weeks after the initiation of sorafenib. Of 202 patients treated during the run-in period, 73 patients had tumor shrinkage of >/= 25%. Sixty-five patients with stable disease at 12 weeks were randomly assigned to sorafenib (n = 32) or placebo (n = 33). At 24 weeks, 50% of the sorafenib-treated patients were progression free versus 18% of the placebo-treated patients (P = .0077). Median progression-free survival (PFS) from randomization was significantly longer with sorafenib (24 weeks) than placebo (6 weeks; P = .0087). Median overall PFS was 29 weeks for the entire renal cell carcinoma population (n = 202). Thus, sorafenib has significant disease-stabilizing activity in metastatic renal cell carcinoma. There has been no data to suggest a survival advantage with sorafenib and it has not been used in the neoadjuvant setting. A recently published phase II randomized trial has shown similar results.
A 72-year-old woman undergoes an abdominal hysterectomy for uterine fibroids. In the recovery room, she is anuric for four hours despite several boluses of intravenous fluids. Her indwelling catheter is patent. Her blood pressure is 100/50 mmHg, pulse is 100. Estimated blood loss during the procedure was 1000 ml. The best explanation for her condition is:
2
Anuria always implies complete ureteral obstruction until proven otherwise. The two most likely areas where the ureter can be occluded during hysterectomy are at the level of the broad ligaments and at the vaginal cuff and bladder trigone. Consequently, the most likely finding in this patient would be a ureteral obstruction at the level of the vaginal cuff. While hypovolemic shock and low urine outputs are commonly seen after all types of abdominal operations, the anuria in this case suggests an obstructive etiology. Acute tubular necrosis does not normally occur in a precipitous fashion as in this case. A vesicovaginal fistula should be obvious clinically.
A 43-year-old potent man is diagnosed with a 4 cm micropapillary TCC that extensively invades the lamina propria. Muscularis propria is present and uninvolved. Lymphovascular invasion is identified. The next step is:
4
T1 tumors with aggressive features (tumor size > 3 cm, micropapillary histology, and lymphovascular invasion) have an increased risk of progression and should undergo definitive cystectomy that is highly effective for early stage tumors. While intravesical BCG is an option for the treatment of T1 bladder cancer, the high risk features of this tumor leave the patient at a very high risk of relapse and progression. This is inappropriate given his young age and excellent health. Partial cystectomy is not the best choice for tumor control given the high risk of multifocal recurrences within the remaining bladder. Prophylactic radiotherapy and systemic chemotherapy have not been shown to reduce the risk of recurrence in individuals with T1 disease.
A 36-year-old obese paraplegic man undergoes evaluation for an ileal conduit diversion. The preferred site for urostomy placement is:
2
Careful selection of the optimal site for a stoma is a critically important part of the preoperative evaluation of the patient. The stomal site should avoid the umbilicus, bony prominences, scars, and folds. It should be placed in a region where the flat abdominal skin measures 5-7 cm in both directions. The stoma for an ileal conduit is usually located in the right lower quadrant. Paraplegics, often with abdominal prolapse and wheel-chair existence pose a special problem for stomal site selection. A right lower quadrant site often results in a stoma that is difficult for the patient to see and the stoma and appliance are squeezed between the abdomen and thigh. For this reason, in the paraplegic patient the stoma should always if possible be placed in the upper abdomen. In addition, in all patients the stoma should be brought through the rectus muscle to minimize the risk of peristomal herniation.
The coagulation of human semen is dependent on:
1
The major clotting protein in semen has been termed semenogelin, which has been shown to be the seminal vesicle-specific antigen. These clotted proteins serve as the substrate for PSA which liquefies the semen. Calcium-binding substances, such as sodium citrate, and heparin do not inhibit the coagulation. Blood clotting proteins such as prothrombin, fibrinogen, and factor XII are not present in semen.
Headache, facial flushing and hypertension during cystoscopy is most commonly seen in patients with:
1
Autonomic dysreflexia is associated with spinal cord injuries at T6 and higher. Symptoms commonly include palpitations, headache, facial flushing and HTN. It is caused by stimuli below the level of the spinal cord injury precipitating an exaggerated sympathetic response. Treatment should include immediate removal of the stimulus if possible. Calcium channel blockers, alpha adrenergic antagonists and chlorpromazine can be used to treat this condition. The other injuries do not typically cause autonomic dysreflexia.
A distal urethral perforation occurs during insertion of a malleable penile prosthesis. The contralateral cylinder has not been placed. The next step is:
5
If urethral perforation occurs during dilation, it is best to abandon the procedure, divert the urine with a urethral catheter, and return at a later date. If the contralateral prosthesis has already been placed and there is no septal perforation, then it may be left in place. The urine should be diverted. Urethral repair would be difficult and is unnecessary.
A 45-year-old woman has chronic indwelling ureteral stents for bilateral ureteral strictures from radiation therapy for cervical carcinoma. During stent exchange, brisk, bloody efflux occurs upon right ureteral stent removal. After replacing the stent, the next step is:
2
Ureteroarterial fistulas are rare with a reported mortality of nearly 40%. Thus, observation is not appropriate. Risk factors associated with the development of ureteroarterial fistulas include pelvic surgery, pelvic malignancy, pelvic irradiation, pelvic vascular disease and chronic ureteral intubation. Diagnosis is difficult in the absence of active bleeding. Despite the hemorrhage that accompanies these lesions, standard arteriography is frequently falsely negative. Still, arteriography may establish the diagnosis and then the fistula can be occluded with common iliac artery embolization followed by arterial bypass grafting. Provocative arteriography has been reported to demonstrate the fistula in almost all of cases. When clinical suspicion remains strong despite a negative arteriogram, exploratory laparotomy may be necessary to confirm the diagnosis and treat the condition. Immediate exploration is ill advised without a clear etiology of the bleeding, which will be poorly assessed with CT imaging. Nephrectomy is not indicated as the kidney is not the source of bleeding.
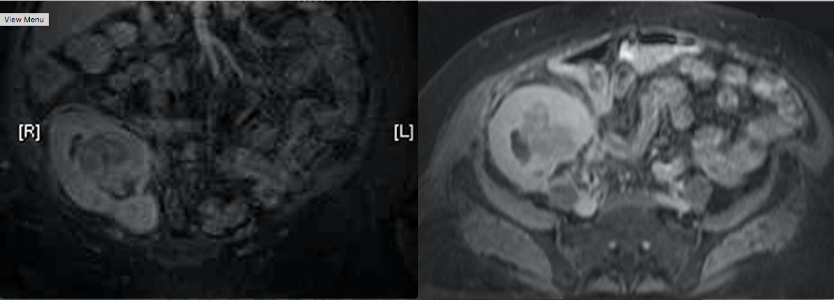
A 71-year-old woman develops a mass in the allograft two years after renal transplant. Needle biopsy of the mass reveals a large B cell lymphoma. Representative images from the MRI scan are shown in exhibits 1 and 2. The next step is:
1 reduce immunosuppression

1
Post transplant lymphomas are most commonly non-Hodgkin and associated with Epstein-Barr virus infection. The reported incidence ranges from 0.8 to 15, and varies with the type of immunosuppression utilized. These tumors may respond to drastic reduction or withdrawal of immunosuppression. Standard chemotherapy and irradiation are not generally effective and may exaggerate the degree of immune compromise. Treatment with anti-viral medications such as gancyclovir may be beneficial. Nephrectomy may be necessary, but is not the initial treatment.
The spread of urinary extravasation secondary to urethral injury below the urogenital diaphragm, when associated with a tear in Buck’s fascia, is limited by the following fascial layers:
2
When infradiaphragmatic urinary extravasation extends through Buck’s fascia, it is limited only by Colles’ fascia which attaches posteriorly at the triangular ligament and laterally at the fascia lata of the thigh. Colles’ fascia is continuous anteriorly with Scarpa’s fascia which extends superiorly to the coracoclavicular fascia. Therefore, both Colles’ and Scarpa’s fascia limit such an extravasation. Such an extravasation, particularly when associated with infection (periurethral phlegmon), can result in edema and necrosis of the skin of the penis, scrotum, and anterior body wall.
A 32-year-old infertile man with hyperthyroidism has two semen analyses with volumes of 2.2 and 2.5 ml, densities of 5.3 and 7.8 million/ml, and motilities of 48%25 and 56%25, respectively. Serum testosterone is 280 ng/dl (normal 300-1000 ng/dl). Estradiol, LH, FSH, and prolactin are normal. The next step is:
2
Conditions that increase sex hormone binding globulin levels include anorexia, hyperthyroidism, and cirrhosis. Men with these diseases may have normal bioavailable testosterone with decreased total testosterone. Common clinically available assays for free testosterone are inaccurate, and in the absence of an equilibrium dialysis assay for free testosterone, bioavailable testosterone is best calculated from serum albumin. The semen analyses reveal normal volumes, near normal motilities and low sperm densities. With normal volumes, retrograde ejaculation and ejaculatory ductal obstruction are unlikely, and post-ejaculatory UA and TRUS are not indicated. While both clomiphene citrate and hCG will increase serum testosterone levels, clomiphene citrate is the best initial therapy due to the cost of hCG administration. Prior to therapy, accurate assessment of bioavailable testosterone is necessary in a patient with comorbidities that may alter sex horomone binding globulin.
A 68-year-old man with bothersome voiding dysfunction completes a voiding diary revealing 12 voids in 24 hours with volumes ranging from 30 ml to 150 ml, nocturia x 3, and one episode of incontinence. PVR is 50 ml. PSA is 1.8 ng/ml. Non-invasive uroflowmetry reveals a flattened pattern with a peak flow of 6 ml/sec. His condition is best described as:
5
BPH is a histological diagnosis. This patient has not had a biopsy. Bladder outlet obstruction is a urodynamic diagnosis made on the basis of the relationship between pressure and flow. The poor flow rate in this case may be due to either detrusor underactivity or bladder outlet obstruction and is not diagnostic of either entity. Detrusor overactivity and detrusor underactivity are a urodynamic diagnosis that cannot be made in the absence of a pressure-flow urodynamic study. LUTS is a generic term describing LUTS and does not imply an underlying pathology or pathophysiology.
A 32-week-gestation neonate is found to have candiduria on two successive urine cultures. He is voiding spontaneously, and his renal/bladder ultrasound is normal. The most appropriate therapy is:
4
The incidence of nosocomial fungal urinary tract infections is increasing. Candida is the most common offending organism. Aggressive treatment is required due to a high incidence of subsequent candidemia that has been reported to occur in 25-85% of neonates with candiduria. Isolating treatment to the bladder with topical irrigation will not effectively treat the upper tract. Parenteral treatment is required. Fluconazole is the treatment of choice in a premature infant when compared to amphotericin because of significantly diminished side effects.
A 48-year-old woman complains of stress incontinence. She denies any symptoms of urge incontinence. On exam she has urethral hypermobility. Videourodynamics confirms the diagnosis of stress incontinence with mobility. Detrusor overactivity is demonstrated at 400 ml with a detrusor contraction of 25 cm H2O. The best next step is:
5
The patient’s complaint is stress incontinence. Detrusor overactivity may be asymptomatic and occurs in up to 69% of normal volunteers with ambulatory monitoring. In patients with mixed symptoms when stress symptoms predominate and stress incontinence is objectively demonstrated, surgical repair will alleviate all the symptoms 50-70% of the time. Antimuscarinic therapy may treat her detrusor overactivity but this is not her complaint. Imipramine and pseudoephedrine will improve her stress incontinence but they are not definitive therapy. Transurethral collagen injections are not approved for women with urethral hypermobility. A sling procedure will treat her stress incontinence from her hypermobility and has a 70% chance of alleviating her detrusor overactivity. Transvaginal needle suspensions are inferior to sling procedure for the treatment of stress urinary incontinence.
A 68-year-old man with end-stage renal failure due to chronic glomerulonephritis has been on peritoneal dialysis for three years. He is anuric and asymptomatic. An ultrasound reveals several non-echogenic cysts involving the left kidney. The next step is:
4
Acquired renal cystic disease (ARCD) occurs in up to 45% of patients with chronic renal failure. Retrospective studies have indicated that renal cell carcinoma may develop in a small percentage (< 10%) of patients with ARCD. For this reason, periodic ultrasound is recommended for patients on chronic dialysis. It is appropriate to consider CT scan, arteriography, or surgical intervention only when the ultrasound suggests a complex cyst or tumor. Both hemodialysis and peritoneal dialysis have been associated with an equivalent incidence of ARCD, and there is no evidence that conversion from one form of dialysis to another influences this disease. Simple cysts in the nondialysis population do not require surveillance.
A 74-year-old man with metastatic prostate cancer is treated with leuprolide and bicalutamide. After an initial response, his PSA rises to 34.5 ng/ml and the anti-androgen is stopped. Over the next six weeks, the PSA rises to 64 ng/ml, and he develops a left leg DVT as well as mild lower back pain. The next step is anticoagulation and:
2
Patients with a rise in PSA while under the influence of combined androgen blockade may respond to further hormonal manipulations. The removal of anti-androgens, especially flutamide, may result in decreased PSA in up to 1/3 of patients. The addition of nilutamide, but not flutamide, has been reported to have some secondary activity. Since the patient has just been diagnosed with a DVT, one would want to avoid estramustine in the immediate time period and thus the patient should be treated with ketoconazole and hydrocortisone, a combination that is active in about 50% of patients.
A 24-year-old man with a gunshot wound shattering the L-4 vertebral body achieves stable neurogenic bladder dysfunction nine months later. Pressure flow urodynamic studies will likely show:
5
An injury to the vertebral column at L-4 injures the cauda equina and, depending on the extent of neural damage, will produce a loss of motor and sensory fibers to the bladder, pelvic floor, and external sphincter. Detrusor sphincter dyssynergia is produced by suprasacral spinal cord lesions that interrupt the ascending and descending pathways between the sacral spinal cord and the center for reflex detrusor and urethral function in the brain stem. Reflex detrusor function requires sacral root and sacral cord integrity. While an areflexic bladder faces fixed internal sphincter activity, that activity is normal and not truly dyssynergic. Since within the sacral and lumbar canal the nerve roots are intermingled, a lesion that produces detrusor areflexia would be expected to have a similar effect on the external sphincter; hence, the denervation potentials.
A 34-year-old woman with recurrent, uncomplicated bacterial cystitis has a past history of multiple episodes of fungal vaginitis. The optimal agent for low-dose, long-term antimicrobial prophylaxis is:
5
Premenopausal women with recurrent cystitis (> 3 infections/year) can be managed with continuous antimicrobial prophylaxis, post-coital prophylaxis or patient-administered self-treatment. Many antibiotics are used for continuous prophylaxis. Trimethoprim, trimethoprim-sulfamethoxazole and fluoroquinolones work by reducing vaginal colonization with uropathogens while other antibiotics, e.g., nitrofurantoin, cephalexin, sulfa, work by intermittently sterilizing the urine. Drugs in the former category increase the risk of fungal vaginitis because of their effect on the commensal bacterial (uropathogens, lactobacilli) in the vagina.
During exploration of a retroperitoneal hematoma from blunt renal trauma, the best anatomic landmark for the left renal artery is the:
2
The left renal artery originates from the aorta just lateral and superior to the left renal vein. Identifying the left renal vein as it crosses the aorta provides the best anatomic landmark for the left renal artery. The right renal artery is retrocaval and not a good landmark. The inferior mesenteric artery is caudad to the renal artery. The inferior mesenteric vein is a good landmark for the location of the aorta during emergent exploration. An incision is made medial to the inferior mesenteric vein. This is extended cephalad to the ligament of Treitz. The aortic dissection is carried cephalad to the left renal vein allowing identification of the renal arteries.
A 52-year-old man develops abrupt and severe hypertension. He is poorly controlled with an ACE inhibitor, calcium channel blocker, diuretic, and minoxidil. None of these medications can be safely withheld. Serum creatinine is 1.3 mg/dl. The best way to evaluate for renovascular hypertension is:
4
This 52-year-old man is at risk for renovascular HTN. Of the captopril modulated testing (PRA and captopril renogram) the renogram is a better test than peripheral PRA. Critical to the performance of these tests is appropriate patient preparation. Ideally, patients should be off all medications for two weeks. This is usually not possible clinically. It is apparent that ACE inhibitors will reduce the sensitivity of testing. Other antihypertensives can be used up to the morning of testing. In this setting, duplex ultrasound will give anatomic information on the renal arteries sufficient to determine the need for angiography.
During transabdominal placement of an artificial urinary sphincter reservoir for post-radical prostatectomy urinary incontinence, the peritoneal cavity is entered. There is no bowel injury. The next step is:
3
Inadvertent entry into the abdominal cavity may occur during placement of an artificial urinary sphincter. In the absence of bowel injury, this is of no consequence and the procedure can be completed as planned. Placement of the reservoir above the rectus abdominis may result in postoperative herniation of this component.
A 21-year-old man who underwent inguinal orchiectomy for a pure seminoma of the right testis has an 11 cm retroperitoneal mass. Serum beta-hCG and AFP are normal. Following three cycles of bleomycin, etoposide, cisplatin chemotherapy (BEP), repeat CT scan demonstrates a residual 2 cm mass in the inter-aortocaval region. A chest CT scan is negative, and tumor markers remain normal. The next step is:
3
Small (< 3 cm) residual masses after chemotherapy for advanced seminoma rarely (< 10%) contain residual viable tumor. Moreover, surgical resection is technically difficult due to severe fibrosis, and often incomplete. The recommended management for this situation is observation with serial physical exam, serum markers, and CT scans. Recently, it has been suggested the PET scanning can aid in determining if surgical resection of a post-chemotherapy retroperitoneal mass is indicated in seminoma patients. This management should be distinguished from individuals with mixed germ cell tumors or non-seminomatous germ cell tumors in whom RPLND is indicated for the vast majority of residual masses within the retroperitoneum.