Oliguria associated with acute tubular necrosis is characterized by which urinary findings:
A. High sodium, low urea, low osmolality.
B. Low sodium, low urea, low osmolality .
C. Low sodium, high urea, low osmolality.
D. high sodium, high urea, high osmolality.
E. low sodium, low urea, high and what is up osmolality.
A
Most major causes of acute renal failure can be differentiated by UA and urinary chemistries. With tubular cell injury, the kidney is no longer able to reabsorb filtered salt and water (under normal conditions, approximately 99% of filtered NaCl and water are reabsorbed and .50-80% of all filtered urea is excreted). In acute tubular necrosis, renal tubular function is injured resulting in loss of filtered water which causes a decrease in urinary osmolality. In addition, failure to resorb filtered sodium and failure to excrete urea (other functions of the renal tubular cell) will result in an increased urinary sodium and decreased urinary urea.
The most important factor responsible for the frequent recurrence of UTls in an otherwise healthy, young woman is:
A. adhesive fimbriae of uropathogens.
B. specific receptors on urothelial cells.
C. presence of pathogenic coliforms in stool.
D. feminine hygiene practices.
E. method of contraception.
B
Properties of uropathogens, sexual activity, feminine hygiene practices, and the use of an IUD and/or spermicide may increase the frequency of UTls in predisposed women; however,they are not the most important etiologic factors. Many women who have uropathogenic bacteria present in their bowel, use various contraceptive and hygiene methods, and are sexually active without developing infections. E. coli must colonize the peri-urethral area before an uncomplicated infection can occur. Coliform organisms are recovered only rarely from the region of the vaginal vestibule, and external urethra in otherwise healthy women who do not have recurrent UTls. It is postulated by most researchers that host factors, rather than specific pathogenicity of the micro-organisms, are the prime determinants of colonization. E. coli tend to adhere more to vaginal and buccal epithelial cells obtained from women with recurrent infection than to controls. This explains why certain women are prone to frequent recurrent infections. It would also explain why women with asymptomatic bacteruria are more prone to recurrent infection with marriage and pregnancy, and would account for UTls associated with intercourse, various contraceptive methods, etc., in highly susceptible women.
The antimicrobial agent that ,can be used at the usual dosage in an azotemic patient is:
A. nitrofurantoin.
B. sulfamethoxazole.
C. doxycycline.
D. trimethoprim.
E. fluconazole.
C
All the antibiotics listed including most tetracyclines, except doxycycline, are excreted primarily in the urine and their blood levels increase in the presence of renal insufficiency. Doxycycline is excreted mainly in the feces and does not require consideration for a dosage reduction in an azotemic patient.
23-year-old woman suffers a complex pelvic fracture in an MVC. A cystogram reveals limited extraperitoneal extravasation of contrast at the bladder neck. The bladder is compressed by a pelvic hematoma and an anterior vaginal laceration is also present. No other injuries are noted, and she is hemodynamically stable. Treatment should be:
A. urethral catheter drainage.
B. suprapubic cystostomy.
C. urethral catheter placement and repair of vaginal lacerations.
D. bladder repair and vaginal packing.
E. repair of vaginal and bladder lacerations.
E
Urethral and bladder neck injuries in women are rare but potentially devastating in their effects on long-term continence and bladder function. The urethra is short, mobile, and protected by the pubis in women. Female urethra l and bladder neck injuries occur in 4.6% to 6% of women suffering pelvic fractures. The typica l presentation includes gross hematuria or blood at the introitus. Despite blood in the vaginal vault, over 40% of fema le bladder neck and urethral injuries are missed in the emergency department a nd only half will be detected on CT cystogram. As a result, one must have a high index of suspicion a nd low threshold for performing a vagina l examination in fema les with pelvic fractures. Female bladder neck injuries should undergo immediate repair with primary closure of any vaginal lacerations to prevent f istula formation. Longitudinal tears of the female bladder neck have been associated with higher rates of incontinence. Such injuries should be repaired immediately to preserve the functional integrity of the bladder neck. In one recent series, despite operative repair, 16% of women developed vesicovaginal f istulas, 43% had moderate or severe lower urinary tract systems, and 38% had sexual dysfunction.
A two-year-old boy with normal penile development is explored for non-palpable testes through bilateral groin incisions. On each side, the vas deferens and spermatic vessels end blindly at the internal ring. The next step is:
A. observation.
B. CT scan of abdomen.
C. serum inhibin B and abdominal ultrasound.
D. FSH, LH, testosterone level, and stimulate with hCG.
E. diagnostic laparoscopy.
A
In a young patient with absent testes and normal penile development, testosterone stimulation was present at 16 weeks gestation. Loss of testicular function before this time leads to inadequate virilization. The finding of a blind-ending vas deferens and vessels is adequate to define the pathology and further exploration in this case is unnecessary. Chromosomal study of such cases is usually unnecessary as they carry none of the stigmata of intersexuality and will have a normal (46 XY) karyotype. At age of puberty, such anorchid patients will have elevated gonadotropin and require testosterone therapy.
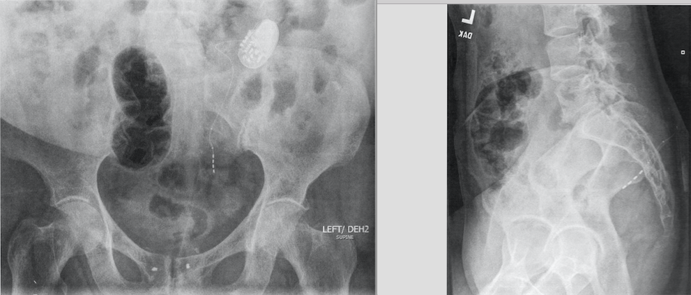
55-year-old woman, who had a sacral neuromodulation implant placed four years ago, has declining efficacy despite several reprogramming sessions. A plain film X ray is shown. The next step is:
A. revise lead, place electrodes deeper.
B. revise lead, place lead more laterally in S3.
C. revise lead, place lead inS4.
D. revise lead, place lead with curved stylet.
E. remove IPG and lead, initiate 200 units onabotulinumtoxinA injections.

D
This plain f ilm AP view shows the lead lateral in the 53 foramen. The lateral view shows it too deeply placed, and this puts her at risk for deep stimulation of S2 roots causing leg and other lower extremity untowa rd stimulation. The use of the curved stylet would allow placement of the lead into S3 in a more media l to lateral conf iguration, thereby, allowing maxima l contact of electrodes to the nerve. This is due to the nerve following a medial to latera l course. Revising leads to place deeper may create stimulation of leg and other untoward effects as mentioned a bove. S4 stimulation has not been shown to create better efficacy than S3. Lateral lead placement would not a llow best contact with the nerve. It would be premature to remove the system and start ona botulinumtoxinA injections. If ultimately utilized, the dose onabotulinumtoxinA used for OAB is 100 units.
5-day-old boy has vomiting and dehydration. His serum C02 is 12 mEq/L, K+ 5.5 mEq/L, and creatinine 2.2 mg/dl. A VCUG demonstrates PUV and bilateral grade 4 VUR. The next step is:
A. percutaneous cystostomy.
B. percutaneous nephrostomies.
C. valve ablation.
D. urethral catheter drainage.
E. cutaneous vesicostomy.
D
The management of the infant with a PUV depends on the severity of the obstruction and the degree of any rena l dysplasia present. The main problems a rise in management of the infant with severe obstruction and compromised rena l function with dehydration, acidosis, and sepsis. Initially, a sma ll infant feeding tube, placed transurethra lly, can provide bladder drainage. Once stabilized, valve ablation can be undertaken. Vesicostomy is reserved for infants who cannot undergo primary va lve ablation because of the inadequate size of their urethra or for very small, unstable infants. If initial bladder level drainage does not result in satisfactory clinical improvement, temporary supravesical diversion may be considered; however, the vast majority of these patients will be found to have rena l dysplasia, not ureterovesica l obstr uction, as the etiology of the persistently elevated creatinine.
A. femoral nerve.
B. ilioinguinal nerve.
C. genitofemoral nerve.
D. lateral femoral cutaneous nerve.
E. obturator nerve.
A
The femoral nerve arises from the second, third, and fourth lumba r spinal segments. It appears at the latera l edge of the psoas muscle and descends into the thigh. It supplies a number of muscles including the quadriceps femor is complex, a rticularis genu, sa rtorius, pectineus, and iliopsoas. llioinguinal, genitofemoral, and lateral femoral cutaneous nerves a re sensory nerves. The obturator nerve would be responsible for adduction of his leg.
A two-month-old, uncircumcised boy with a sacral dimple undergoes evaluation of a febrile UTI. Ultrasound shows bilateral hydroureteronephrosis and a conus medullaris at the mid-aspect of L4. VCUG shows bilatera l grade 4 reflux and a normal urethra. The next step is:
A. CMG.
B. cystoscopy.
C. MAG-3 renal scan.
D. circumcision.
E. vesicostomy.
A
This infant has a compromised urinary tract and a neurogenic cause must be considered. The conus normally ends above L3 and spinal ultrasound is a convenient and accurate method of screening in the neonatal period. Given his low conus, a CMG would be important to see if filling curve and storage pressure are abnormal with abnormal urodynamic findings substantiating the presence of a clinically significant tethered cord. Circumcision is not mandatory . Vesicostomy at this point is premature and cystoscopy is not necessary. The hydronephrosis, in this case, is related to the bladder dysfunction and a MAG-3 scan is unnecessary.
42-year-old man with azoospermia and primary infertility has a FSH of 15 mlU/L, small volume testes, and an otherwise normal physical examination. The factor that most reliability predicts his ability to have a biologic child is:
A. vasography.
B. serum FSH.
C. wife’s fertility.
D. testicular volume.
E. testicular biopsy.
C
The presence of small volume testes with an elevated FSH suggests the presence of non obstructive azoospermia. Most men with non-obstructive azoospermia will have sperm retrievable from the testes that can be used in conjunction with in vitro fertilization for the wife. The most important characteristic to determine eligibility for treatment will be the wife’s age and fertility. Screening for obstruction with vasography is not of value. Testicular biopsy may be useful as an indicator for success with intracytoplasmic sperm injection (ICSI) and sperm harvest. With an elevated FSH, diagnostic biopsy is not indicated.
34-year-old woman is hypertensive. Laboratory studies reveal a serum sodium of149 mEq/L, potassium 2.9 mEq/L, and C02 28 mEq/L. Plasma renin activity is suppressed. A CT scan reveals an enlarged left adrenal gland but no distinct mass. The next step is:
A. spironolactone.
B. nifedipine.
C. MRI scan of adrenal.
D. serum aldosterone :renin ratio.
E. adrenal vein aldosterone sampling.
E
This woman has HTN due to primary hyperaldosteronism. The CT scan suggests hyperplasia of the left adrenal gland. In order to differentiate hyperplasia from an adenoma, adrenal vein sampling for aldosterone will show elevated levels on the left and suppressed levels on the right if an adenoma is present. MRI scan will not differentiate between an adenoma and hyperplasia. A serum aldosterone:renin ratio will not lateralize the lesion. If adrenal vein sampling does not lateralize, then medical therapy with spironolactone is indicated, rather than nifedipine, which is not potassium sparing. If an adenoma is present, surgical removal is the best treatment.
67-year-old man has bothersome LUTS six months after hip surgery despite tamsulosin treatment. His urinalysis shows 0-2 RBC/hpf, and his PVR is 90 ml. DRE demonstrates 35 gm prostate. He undergoes urodynamics as shown. The next step is:
A. creatinine.
B. antimuscarinics.
C. cystoscopy.
D. prostatic onabotulinumtoxinA.
E. TURP.
E
This patient has urodynamically demonstrable bladder outlet obstruction. While antimuscarinics may help his irritative symptoms (e.g.,frequency, urgency, urge incontinence), it will not address his primary obstructive problem, and indeed, may worsen his symptoms. Obtaining a serum creatinine is not useful or recommended in the BPH guidelines for work-up of LUTS. Cystoscopy may help assess prostatic size, but would be unlikely to change management as his DRE shows a 35 gm prostate on exam. OnabotulinumtoxinA injections are not approved for, nor do they have documented efficacy for the treatment of LUTS related to bladder outlet obstruction. In this patient, TURP is the next step for the treatment of bladder outlet obstruction.
49-year-old man had a lesion of the glans penis and undergoes excisional biopsy. Pathology reveals squamous cell CIS with a positive margin. Physical examination reveals a well-healed scar and no inguinal adenopathy. The next step is: A. podophyllin. B. brachytherapy. C. excision of previous scar. D. partial penectomy. E. total penectomy.
Given the positive margin, this patient requires further therapy around the scar. This can include the excision of the scar, laser therapy, or topical therapy with either 5-FU or imiquimod. Podophyllin is used to treat genital warts and has no role in the treatment of carcinoma. Partial or complete penile amputation and radiation therapy are too aggressive for this patient with CIS.
A ten-day-old infant boy is hospitalized for failure to thrive. After his umbilical stump fell off, fluid has intermittently drained from the umbilicus. The umbilical fluid has a creatinine of 10 mg/dl and grows > 105 CFU/ml of E. coli. The next step should be antibiotics and:
A. observation.
B. urethral catheter drainage.
C. VCUG.
D. cauterization of tract.
E. closure of fistula.
C
The differential diagnosis of a wet umbilicus in the infant, includes patent urachus, omphalitis, simple granulation of the healing stump, patent vitelline or omphalomesenteric duct, infected umbilical vessel, and external urachal sinus. The finding of a urinary creatinine level in the fluid draining from the umbilical stump suggests a patent urachus. While probing the urachal tract may aid in diagnosis, a VCUG should confirm the diagnosis and fully evaluate the lesion and any associated bladder outlet obstruction. Cauterization of the tract and closure of the fistula are not indicated until VCUG is performed to rule-out bladder outlet obstruction. Urethral catheter drainage will not definitively treat the patent urachus if obstruction is present.
76-year-old man with diabetes has hematuria. CT urogram shows a 5 mm filling defect in the distal right ureter. Ureteroscopic biopsy reveals a low grade urothelial carcinoma. The next step is:
A. nephroureterectomy.
B. ureteral stent and intravesical BCG.
C. segmental resection and ureteroureterostomy.
D. ureteroscopic tumor ablation.
E. distal ureterectomy and reimplantation.
D
In an older patient with medical problems, ureteroscopic biopsy, electro-resection, and laser destruction have been utilized to successfully manage small, low grade, non-invasive ureteral tumors. This approach may avoid nephroureterectomy or partial ureteral resection. Although historica lly, dista l ureterectomy and reimplantation has been considered, endoscopic management of solitary low-grade tumors has become the preferred treatment. Upper tract BCG may be effective for high-grade disease, but delivery of the agent is least consistent when relying on reflux around a ureteral stent.
A 72-year-old woman undergoes an abdominal hysterectomy. In the recovery room, she is anuric for four hours despite several boluses of l.V. fluids. Her indwelling catheter is patent, blood pressure is 100/50 mmHg, and pulse is 100 BPM. Her estimated blood loss during the procedure was 1000 ml. The best explanation for her condition is
A. acute tubular necrosis.
B. bilateral ureteral obstruction.
C. prerenal azotemia.
D. hypovolemic shock.
E. bladder perforation.
B
Hysterectomy accounts for over 50% of iatrogenic ureteral injuries and a high index of suspicion must be kept in this scenario. Anuria always implies complete uretera l obstruction until proven otherwise. The two most likely areas where the ureter can be occluded dur ing hysterectomy are at the level of the broad ligaments and at the vaginal cuff and bladder trigone. Consequently, the most likely f inding in this patient would be a ureteral obstruction at the level of the vagina l cuff. While hypovolemic shock and low urine output are commonly seen after all types of abdominal operations, the presence of anuria in this case suggests an obstructive etiology. Acute tubular necrosis does not normally occur in a precipitous fashion as in this case. Bladder perforation is unlikely if the catheter has been irrigated with good return.
The boundaries of a standard inguinal lymph node dissection for the treatment of penile cancer should include:
A. inguinal ligament, sartorius, adductor longus.
B. inguinal ligament, sartorius, fascia lata.
C. inguinal ligament, gracilis, adductor longus.
D. Cooper’s ligament, sartorius, adductor longus.
E. Cooper’s ligament, gracilis, adductor brevis.
A
The limits of dissection for a standard inguinal lymph node dissection are the tr iangular area bounded by the inguinal ligament superior ly, the sartorius muscle latera lly, and the adductor longus medially. Modif ied templates are frequently used for inguinal lymph node dissections.
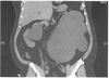
A 17-year-old boy with spina bifida has a two-week history of fever and vague abdominal pain. He has a prior bladder augmentation, appendicovesicostomy, bladder neck sling, and bilateral cross-trigonal ureteral reimplantation. Renal ultrasound is shown. The next step is antibiotics and:
A. observation.
B. tamsulosin.
C. cystoscopy and ureteral stent.
D. percutaneous nephrostomy tube.
E. CT cystogram.
D
This boy has a large proximal uretera l stone with acoustic shadowing and debris in the collecting system on ultrasound. With the size of the stone and duration of symptoms, the stone is unlikely to pass spontaneously and will require surgical intervention. The previous reconstructive procedure (bladder neck sling, cross trigonal reimplant, and Mitrofanoff) makes bladder/uretera l access difficult, and the small ureteral stent may become occluded from mucus in bladder from the bladder augmentation. The best way to remove the stone will likely be through the percutaneous approach, and in the face of fever, an initial drainage procedure with a nephrostomy tube will allow a period of antibiotic therapy and access for percutaneous removal. The patient is unlikely to have a secondary bladder perforation, making CT cystogram not helpful.
5-alpha-reductase deficiency is associated with:
A. poorly differentiated Wolffian structures.
B. presence of developed Mullerian structures.
C. gynecomastia.
D. elevated concentration of testosterone at puberty.
E. elevated dihydrotestosterone:testosterone ratio.
D
The defective conversion of testosterone to dihydrotestosterone, due to 5-a lpha-reductase def iciency, produces a unique form of male disorder of sexua l differentiation. At birth, the Mullerian structures a re a bsent (as Mullerian-inhibited substance is made appropriately by the testes) and testosterone-dependent Wolffian structures are well-differentiated. The genitalia are ambiguous to a va riable degree. Gynecomastia can be seen in adults on 5-a lpha-reductase inhibitors, but is not seen in congenital 5-alpha-reductase deficiency. The 5-alpha-reductase enzyme defect is genera lly incomplete, and at puberty, the plasma concentration of dihydrotestosterone, while low, is detectable. Plasma testosterone and LH a re elevated while the dihydrotestosterone:testosterone ratio is abnormally low. This is due to dihydrotestosterone being a major inhibitor of LH production via the gonada l-pituitary negative feedback loop. 5- alpha-reductase def iciency is inherited as an autosomal recessive trait, and the enzymatic defect exhibits genetic heterogeneity.
A 32-year-old woman with a solitary kidney underwent urinary diversion with an ileal conduit as a child. She has stable, moderate hydronephrosis, but her serum creatinine has risen to 2.8 mg/dl. A loopogram shows no reflux and no residual urine. A diuretic renogram reveals delay in uptake of the radiopharmaceutical and poor response to diuretic with a T1/2 of 22 minutes. The next step is:
A. hydrate and repeat the renogram.
B. contrast CT scan.
C. percutaneous nephrostomy tube.
D. renal biopsy.
E. revision of the ileaI conduit.
C
This woman most likely has chronic renal insufficiency, and the renogram reflects this condition. Diseased kidneys may respond poorly to diuretic in the absence of obstruction. The only way to establish, conclusively, if an obstruction exists, would be to place a nephrostomy tube. A pressure-f low study can then be performed and the serum creatinine observed. A renal biopsy, if performed, is likely to show foca l segmenta l sclerosis and/or chronic pyelonephritis, but this is not helpf ul in management. Non-contrast CT scan would be helpful to rule-out an obstructing stone; however, a contrast CT scan is contraindicated due to poor renal f unction. It is unlikely that hydration would reverse any renal dysfunction, unless the patient were very dehydrated and pre-renal, which does not f it this scenario. Revision of the ilea I conduit is not indicated until an obstruction has clear ly been demonstrated.
A 60-year-old man has a high grade, T1 urothelial carcinoma of the bladder. He receives the fifth of six weekly instillations of intravesical BCG. Twelve hours later, he has a temperature of 39.5° C, difficulty breathing, and hypotension. The most likely cause of this complication is:
A. reflux of BCG into the upper tracts.
B. acute UTI.
C. traumatic catheterization.
D. more virulent strain of BCG.
E. impaired immunological state.
C
The majority of patients tolerate BCG instillation well. In 2,602 patients treated with different strains of BCG, high fever (> 39 degrees C) was noted in 2.9% of patients. Life-threatening BCG sepsis was noted in 0.4%. Fever > 39.5 degrees C that does not resolve within 12 hours despite antipyretic therapy is potentia lly dangerous. Since most cases of BCG sepsis are associated withl.V. absorption of BCG, it is recommended that BCG not be given until at least one week after tumor resection. In the patients who died from BCG sepsis, almost all cases had traumatic catheterization before instillation therapy, or they were treated too early after TURBT or biopsy. Treatment should include isoniazid 300 mg, rifampin 600 mg, and ethambutol 1200 mg daily. After antituberculosis drugs are started, corticosteroids may be given if the patient is toxic. Given the timing of the signs and symptoms in relation to the BCG instillation, acute UTI is much less likely to be a cause of this patient’s symptoms.
A 45-year-old man with a history of hypertension and significant tobacco use has erectile dysfunction one year following a crush injury to the pelvis. An arteriogram at the time of his injury revealed unilateral focal occlusion of the internal pudenda! artery. Treatment should be:
A. intracavernous vasoactive injections.
B. dorsal venous ligation.
C. percutaneous angioplasty
D. arterial revascularization.
E. penile prosthesis.
A
Percutaneous or surgical revascularization of the interna l pudenda! arteries is not indicated owing to the patient’s age and associated risk factors for atherosclerotic vascula r disease, (e.g., HTN and smoking). There is no indication for venous ligation. Owing to the vascular disease, penile injections may not be successf ul, but should be implemented prior to insertion of a penile prosthesis.
A 39-year-old man with a large, left varicocele requests vasectomy reversal four years after vasectomy. At scrotal exploration, he has rare non-motile sperm in the right vas deferens and an absence of sperm in clear fluid from the left vas deferens. The next step is:
A. bilateral vasovasostomy.
B. left varicocelectomy and bilateral vasovasostomy.
C. right vasovasostomy and left vasoepididymostomy.
D. left testis biopsy and intra-operative wet prep evaluation.
E. testicular sperm extraction.
A
With sperm in the vas and a patent abdominal vas deferens, right vasovasostomy is indicated. For men with clea r fluid in the vas deferens, the prognosis for return of sperm to the ejaculate is excellent after vasovasostomy a lone; therefore, left vasovasostomy is a lso indicated. Epididyma l exploration and intra-operative testis biopsy will not provide materia l information to affect treatment decisions. Varicocelectomy and vasovasostomy should not be performed simultaneously as venous outflow from the testis after va ricocele repair is dependent primarily on the vasal vessels that are divided during vasectomy or vasovasostomy, and testicular atrophy may result.
A 21-year-old man develops a large dorsal hematoma after a seemingly superficial stiletto knife wound to his penis at the dorsal penoscrotal junction. He is able to void normally after the injury and has no urethral bleeding or gross hematuria. The next step is:
A. pelvic MRI scan.
B. retrograde urethrography.
C. urethroscopy.
D. antibiotics and wound closure.
E. exploration.
E
Patients with tangential or superficial wounds clear ly away from the urethra and that can void without urethra l bleeding or hematuria, do not require a retrograde urethrogram. However, these patients should be explored except those with clearly superficial injuries. Patients with stab wounds usually can be expected to have preservation of potency. While most surgeons recommend retrograde urethrography in all patients with penetrating penile trauma, experience in the literature suggests that f ew truly occult urethral injuries occur in these patients. In patients with low velocity injuries, only those with blood at the meatus, hematuria, diff iculty voiding, or injury near the urethra may require retrograde urethrography. Most patients will require retrograde urethrography to rule-out urethral injury and many will need surgical exploration to rule-out and repair any corporal injury or other cause of bleeding. However, select patients, such as the one in this patient scenario, do not require retrograde urethrography. Some patients with minimal wounds can be treated non-operatively. Pelvic MRI scan is not indicated for penetrating genital injuries but may be helpf ul in blunt genita l trauma.