A 55-year-old man with post-prostatectomy incontinence underwent placement of an artificial urinary sphincter with good results for three years. He now complains of recurrent incontinence. Examination of the device and cystoscopy suggests normal cycling and no cuff erosion. The next step is:
4
Urethral atrophy results from chronic compression of the corpus spongiosum by the cuff and is the leading cause of urinary incontinence in this setting. However, urodynamic evaluation may reveal involuntary detrusor contractions or decreased bladder compliance. Deactivation will not permit improved sphincter function. Surgical exploration is not indicated if the cause of the incontinence is unrelated to the device (e.g., detrusor overactivity or impaired compliance). Alpha-blockers would not be expected to have any effect on urinary incontinence in this case regardless of the underlying cause. Antimuscarinics would not treat causes of incontinence related to device malfunction. Treatment options for this patient would include downsizing the cuff movement to a more proximal or distal location or the addition of a second cuff placed in tandem.
The recommended method to prevent postoperative DVT in an otherwise healthy man undergoing TURP under spinal anesthesia is:
4
The AUA Best Practices Policy on DVT prophylaxis stated that early ambulation is recommended for the vast majority of men undergoing TURP. Those men who are at increased risk for DVT (such as previous DVTs, malignancy, immobility, paresis, etc.) may benefit from pneumatic compressive stockings, subcutaneous low dose unfractionated heparin, or low molecular weight heparin (LMWH). However, the use of LMWH is contraindicated in a patient who receives spinal or epidural anesthesia as this is a FDA black box warning due to risk of spinal hematoma. Aspirin and other antiplatelet drugs, while highly effective at reducing vascular events associated with atherosclerotic disease, are not recommended for DVT prophylaxis in surgical patients. There is no indication for obtaining preoperative LE-duplex studies in an otherwise healthy male.
A 66-year-old woman has a polypoid mass at her urethral meatus. Office biopsy demonstrates a non-invasive high-grade squamous cell carcinoma. Radiologic staging reveals no evidence of regional or distant disease. The next step is:
3
In female urethral cancers, treatment recommendations are primarily dependent on tumor location and clinical stage. Local excision may be sufficient for the relatively uncommon small, superficial, distal urethral tumors, and can result in excellent functional results. For more proximal and advanced urethral tumors, a more aggressive approach is warranted. Small, exophytic, superficial tumors arising from the urethral meatus or anterior urethra (as in this case) may be surgically treated with circumferential excision of the distal urethra including a portion of the anterior vaginal wall. The distal third of the urethra may be excised while still maintaining urinary continence. Tumors in the distal urethra tend to be low stage, and cure rates of 70% to 90% have been achieved with local excision alone. 5-FU cream has been utilized in the treatment of carcinoma-in situ of the penis, but does not have a defined role in female urethral cancers. Although XRT has been effectively used for female urethral cancers, the addition of prophylactic lymphadenectomy in this choice makes it incorrect. Recommendations for performing groin dissection have been made only for patients who present with positive inguinal or pelvic lymphadenopathy without distant metastasis, or patients who develop adenopathy during surveillance. Anterior pelvic exenteration is employed for patients with proximal urethral cancers often as part of a multimodal approach including chemotherapy and XRT.
The nephrotoxic effect of cisplatin is due to:
4
Cisplatin nephrotoxicity is due to a direct toxic effect of the drug on renal tubular cells. Azotemia and dehydration are predisposing conditions which increase the risk of this complication. Cisplatin is not precipitated in the renal tubules nor does it affect glomerular hemodynamics.
A 45-year-old woman with prior pelvic radiation for cervical cancer develops severe hemorrhage from the right ureteral orifice during routine exchange of a chronic indwelling 6 Fr ureteral stent. Over the next six hours, she continues to bleed but remains stable. The next step is:
1 replace stent with 8 Fr stent
4
Most cases of ureteroarterial fistulas are reported in patients with a prior history of vascular disease, radiation therapy, or pelvic surgery, especially in the setting of indwelling ureteral stents. In fact, ureteroarterial fistulas are highly associated with indwelling stents. The routine urologic and radiologic evaluation of hematuria will not generally provide evidence of ureterovascular fistula. Even in suspected or proven cases, preoperative radiologic investigations including nonselective arteriography and pyelography are often nondiagnostic. This is especially true in patients with intermittent hematuria in whom there is no active bleeding at the time of the radiographic investigation, presumably because of thrombus over the site of the fistula. Selective or subselective arteriography of the iliac vessels may be more revealing in suspected cases, and provocative maneuvers such as stent removal or mechanical friction of the ureteral lumen by manipulation of the stent may be necessary to demonstrate the fistulous connection in patients without active bleeding undergoing angiography. These adjuvant maneuvers should be performed only with extreme caution in an appropriate setting where immediate angiographic or surgical intervention is possible. In a review, retrograde pyelography was diagnostic in only 6 of 10 patients in whom it was performed, and arteriography diagnosed a ureterovascular fistula in only 4 of 14 cases. Indirect evidence of a ureteroarterial fistula can be found on CT, but findings are usually nonspecific and suggestive only in retrospect after a confirmed diagnosis by other means. Nevertheless, in a stable patient with a suspected ureterovascular fistula, a full radiographic evaluation may be pursued, not only for diagnostic purposes but also to evaluate potential reconstructive options and in select cases to perform therapeutic angiographic embolization procedures. As these patients may present in extremis with hypotension and severe hemorrhage, surgical intervention must be considered early, especially since radiographic evaluation may be nondiagnostic. In this stable patient, an attempt at angiography and placement of an endovascular graft is warranted. Open exploration may be needed if hematuria persists. Replacement of the ureteral stent or percutaneous nephrostomy will not stop the hemorrhage. Ureteroscopy with fulguration will be unsuccessful with an arterial-ureteral fistula.
With a pneumoperitoneum of 15 mmHg, how does the HR, MAP, SVR, and GFR respond?

1
The pneumoperitoneum used in laparoscopy will have an effect on the cardiovascular, renal and respiratory systems. With pressures = 20 mmHg (most commonly used pressure for laparoscopy is 15 mmHg), heart rate, mean arterial pressures and systemic vascular resistance are all increased. Alterations in venous return and cardiac output are variable and are dependent on the hydration of the patient. In the hypovolemic or euvolemic state both venous return and cardiac output are decreased due to compression of the vena cava, however if the patient is hypervolemic, (fluid overloaded) the vena cave will resist the increase in the intraabdominal pressure and both venous return and cardiac output increased. The GFR is decreased due to compression of the renal vein and renal parenchyma by the elevated intraabdominal pressure.
A 22-year-old sexually active woman complains of vulvovaginal itching and flu-like symptoms. On physical exam, she is afebrile and the only finding is a fissure in the left labia majora with no vaginal discharge. Urinalysis is negative. The treatment that can prevent recurrence of her symptoms is:
5
This patient has genital herpes (herpes simplex virus, HSV), of which 85-90% are caused by HSV-2 and 10-15% are caused by HSV-1. Initial genital herpes infection is often associated with constitutional flu-like symptoms. While vesicular eruptions can be found on physical exam, women especially may present with atypical lesions such as abrasions, fissures or itching. Empiric treatment may be initiated. Diagnosis can be helped by serology tests for antibodies to HSV-2 and HSV-1. Antiviral creams are not helpful for genital herpes. Oral acyclovir has been shown to prevent recurrence of genital herpes and associated symptoms. Hydrocortisone cream is not recommended for the treatment of genital herpes, however, recent studies suggest that a combination of topical acyclovir and hydrocortisone cream may reduce the recurrence of herpes labialis. Ceftriaxone is an appropriate treatment for chancroid but not genital herpes. Topical imiquimod is not recommended for treatment of routine genital herpes but is being used to treat recalcitrant cases of acyclovir-resistant herpes in immunocompromised hosts.
Sodium reabsorption in the proximal tubule:
4
About two-thirds of the glomerular ultrafiltrate is reabsorbed in the proximal tubule with little change in the osmolality or sodium concentration of the unreabsorbed fraction. In other words, fluid reabsorption in the proximal tubule is nearly isosmotic and is coupled to the active transport of sodium. Since chloride and bicarbonate are the primary anions in the extracellular fluid, most of the filtered sodium is reabsorbed with these anions. Because of the high water permeability of the proximal tubule, sodium transport occurs against a minimal concentration gradient. Aldosterone regulates sodium-potassium exchange in the collecting duct.
A 61-year-old man with a serum creatinine of 1.7 mg/dl has a 5 cm upper pole left renal mass. He undergoes left partial nephrectomy. After complete gross resection of the mass frozen section reveals lymphoma with diffuse infiltration of normal renal parenchyma by lymphoma at the margins. His cold ischemic time was 18 minutes. The next step is:
1
The unexpected finding of renal lymphoma at the time of renal cortical tumor surgery is rare. Ninety percent of these cases are not primary renal lymphoma but rather systemic lymphoma with renal manifestation. Non-Hodgkin’s lymphomas are the most common subtype. Multifocal masses, bilaterality and regional lymphadenopathy are all more common in renal lymphoma than in renal cortical tumors. In this patient the presence of diffuse renal infiltration by lymphoma will make post-operative systemic therapy necessary. In the setting of compromised renal function every attempt should be made to spare the remaining nephron mass in preparation for systemic chemotherapy. Therefore further surgical intervention is not warranted and completion of the operation and subsequent postoperative discussion regarding systemic therapy is the most logical next step.
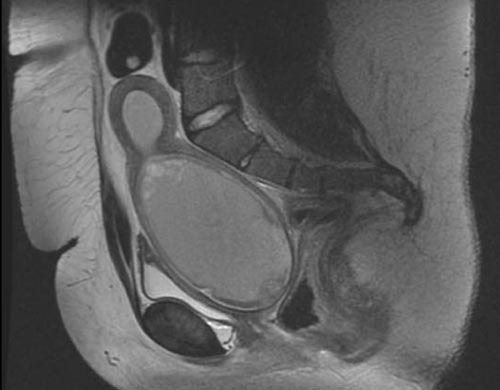
A healthy one-month-old girl has lower abdominal distention. An ultrasound demonstrates a cystic mass behind the bladder. Follow up MRI scan is shown. Physical exam reveals normal appearing genitalia with a single opening in the urethral position with no evidence of a vaginal opening. These findings are most consistent with:

3
The MRI scan shows evidence of a distended upper vagina and presence of a uterus which is most consistent with either a transverse vaginal septum or distal vaginal agenesis. Transverse vaginal septa are believed to arise from a failure in fusion or canalization (or both) of the urogenital sinus and Müllerian ducts. Many of the patients present at puberty with primary amenorrhea and a distended upper vagina. A complete transverse vaginal septum may be located at various levels in the vagina, but there is a higher frequency in the middle and upper third of the vagina. Transperineal, transrectal, and abdominal ultrasonography and MRI scan may be beneficial in establishing the diagnosis and determining the location and thickness of a transverse vaginal septum. Vaginal atresia occurs when the urogenital sinus fails to contribute to formation of the lower (distal) portion of the vagina. Mayer-Rokitansky syndrome is characterized by either partial or complete absence of the vagina and coexisting uterine abnormalities, with the uterus either partially or completely absent. In Mayer-Rokitansky syndrome, the fallopian tubes and ovaries are present but may be either normal or hypoplastic. Two types exist, type I that involves only the Müllerian structures (vagina and uterus) and type II that will involve concurrent abnormalities of either the cardiac, renal or otologic systems. Androgen insensitivity syndrome is characterized by the absence of a uterus, salpinx, and upper 2/3 of the vagina, these structures regress under the active influence of MIF secreted from the testes. CAH infant will manifest an enlarged clitoris and genital ambiguity, with variable lengths of a urogenital sinus present dependent upon the degree of androgen secretion from the adrenal glands. An imperforate hymen should demonstrate a visible bulging membrane at the vaginal introitus.
A 34-year-old man amputates his penis during a psychotic episode. He is brought to the emergency department in stable condition with cold ischemia time of the amputated penis of six hours. Microvascular reconstruction or macroscopic replantation of the penile shaft provides an equivalent outcome for:
3
Microvascular reconstruction involves reanastomosis of the dorsal arteries, dorsal vein, and nerves. Macroscopic replantation is the simple anastomosis of the corpora cavernosum and urethra. Erectile function after either microvascular reconstruction or macroscopic replantation of the penile shaft is roughly 50%. Penile skin loss, urethral stricture formation, and loss of penile sensation are all greater with macroscopic replantation as compared to microvascular reconstruction of the penile shaft. Infection of the penile shaft after either technique has not been studied to date.
A 71-year-old healthy, uncircumcised man has a 4 cm penile tumor and undergoes partial penectomy. Pathology reveals high grade squamous cell carcinoma invading the corpora cavernosum with negative surgical margins. After four weeks of antibiotic therapy, staging evaluation reveals bilateral bulky fixed, inguinal adenopathy and bilateral pelvic adenopathy. The next step is:
5
This patient has a T2 (invasion into the corpus spongiosum or cavernosum) N3 (palpable fixed inguinal lymph nodes or nodal mas, either bilateral or unilateral) disease. In patients with unresectable primary tumors or bulky regional lymph node metastases, neoadjuvant treatment with a cisplatin-containing regimen is the most effective treatment modality and may allow curative resection. A phase 2 study using four courses of neoadjuvant paclitaxel, ifosfamide and cisplatin chemotherapy for TxN2-3 disease followed by bilateral inguinal lymph node dissections, and unilateral or bilateral pelvic lymph node dissections revealed excellent response with an objective response rate of 55% and complete pathologic response rate of 10%, toxicity was acceptable with no treatment-related deaths. This treatment is superior to single agent chemotherapy and has less toxicity than the previous multi-agent chemotherapeutic regimen of cisplatinum, bleomycin, and methotrexate. The optimal chemotherapy regimen however has yet to be determined. In this patient with bilateral bulky fixed nodes not responding to antibiotics, a needle biopsy of the lymph nodes could be considered for pathologic diagnosis. However, neither pelvic lymph node biopsy, sentinel inguinal lymph node biopsy, nor bilateral pelvic inguinal and inguinal lymph node dissection would be curative and would predispose the patient to non-healing surgical incision sites. Similarly, XRT to the inguinal nodes would not be curative for this extensive disease.
A 40-year-old man with spina bifida undergoes ileovesicostomy and bladder neck closure with omental flap interposition for severe incontinence. Three months later he develops recurrent incontinence from a vesicourethral fistula. The next step is:
4
Persistent vesicourethral fistula occurs frequently with bladder neck closure where vascularized tissue is not interposed between the bladder neck and urethra. Omentum is the most commonly used tissue for interposition but occasionally is not available or cannot be brought down to the level of the bladder neck closure. When this is not possible, or in high risk cases (radiated patients, persistent vesicourethral fistulae, etc.) a rectus abdominus pedicle flap can be used for interposition. Tube vesicostomy will not help this patient as he will continue to be incontinent and it has been a lengthy interval since his surgery. Permanent nephrostomy tubes are undesirable and the patient may well continue to be incontinent. An ileal conduit can be considered but would be significantly more extensive than repeating the bladder neck closure.
Radiation exposure from a single abdominal CT scan is:
1
There are an estimated 60-70 million CT scans performed in the USA, perhaps with 33% being unnecessarily performed. CT scans generate ionizing radiation with resulting DNA damage that could result in the induction of cancer. The cancer risk of CT scans is higher in the pediatric population. Furthermore, the digestive organs are more sensitive to radiation injury than the brain. Newer CT scans have automatic exposure-control option which will decrease the radiation exposure. An abdominal x-ray results in a dose of 0.25 mSv to the stomach whereas a single CT scan of the abdomen can result in a radiation dose 50 times or greater to the stomach.
A 30-year-old man is diagnosed with stage 3 NSGCT. He undergoes radical orchiectomy and four cycles of BEP chemotherapy. His tumor markers have normalized. However, he has a 10 cm retroperitoneal mass and three 1 cm pulmonary masses (50%25 size reduction after chemotherapy). After his RPLND, the next step is:
3
There is about 75% concordance between retroperitoneal pathology and pulmonary mass pathology, however, approximately 25% of cases will have discordant pathology (i.e., retroperitoneal fibrosis and active tumor or teratoma in the lung field). Therefore, post-chemotherapy thoracotomy yields important prognostic information and is curative in patients with resected teratoma and a subset of patents with viable tumor. PET scanning is a valuable decision making tool for retroperitoneal post-chemotherapy seminoma for residual masses greater than or equal to 3 cm. In this patient population, provided the PET scans are performed six weeks after the last chemotherapy cycle (decreased false positives), PET scans have a negative predictive value of 96% and a positive predictive value of 78% for active seminoma. This helps identify patients who merit additional treatment for post-chemotherapy seminoma retroperitoneal masses. PET scans usefulness, however, for the evaluation of supra-diaphragmatic, residual pulmonary nodules or mediastinal masses has not been extensively studied and recommendations for its use in this clinical situation have yet to be determined.
A 53-year-old diabetic man sustains a minor proximal crural perforation during primary implantation of a three-piece inflatable penile prosthesis via a penoscrotal approach. The best management is:
2
A common intraoperative complication with penile prosthesis surgery is crural perforation. If this occurs with insertion of an inflatable device with attached tubing, placing a tunica albuginea closure suture on either side of the exit tubing to keep the cylinder in place has worked sufficiently without requiring a more extensive repair. A more significant perforation injury, including damage to the urethra, would require termination of the procedure. Placement of a malleable prosthesis is not advised as it cannot be secured and will be more likely to erode.
A 43-year-old man desires a biological child with his 38-year-old wife. Both testes are 5 cm in longitudinal axis and firm on physical examination. Two semen analyses show azoospermia with volumes of 2.1 and 2.3 ml. FSH is 2.8 IU/l. The next step is:
3
The likelihood of obstructive azoospermia is 96% with testis longitudinal axis greater than 4.6 cm and FSH less than 7.6 IU/l. However, the most significant predictor of any form of reproductive intervention is maternal age, with female fecundity declining precipitously after age 37. The decision to perform microsurgical scrotal ductal reconstruction or to obtain sperm from the testis for IVF and intracytoplasmic sperm injection rests on evaluation of the female partner, especially after age 37. Transrectal ultrasound is not necessary if semen volumes are normal (> 1.5 ml) as ejaculatory ductal obstruction is unlikely.
A 66-year-old man undergoes a radical nephrectomy with adrenalectomy for an 8 cm upper pole RCC within the kidney. There is a focus of non-contiguous, metastatic RCC in the adrenal gland. No lymph nodes were removed. According to the 2010 TNM AJCC classification, pathologic stage is:
4
According to the 2010 TNM AJCC staging, renal cancers greater than 7 cm and less than or equal to 10 cm are now categorized as pT2a. Lesions greater than 10 cm are pT2b. Adrenal gland involvement depends on whether there is contiguous involvement (T4) or non-contiguous involvement (M1). The M1 designation is true even if the adrenal gland is on the ipsilateral side as the nephrectomy. When there are no pathologic lymph nodes available, the pathologic staging is designated as NX.
The finding most suggestive of renal artery stenosis on duplex ultrasonography is:
3
Duplex ultrasound of the renal arteries is a useful noninvasive anatomic study for the diagnosis of renal artery stenosis (RAS). Although an altered flow pattern distal to the stenosis, including decreased diastolic flow and a turbulent systolic jet, can be suggestive of RAS, the most important single indicator is a peak systolic velocity (PSV) > 180 cm/sec. The renal aortic ratio (RAR) is the ratio of renal PSV to the aortic PSV. A RAR > 3.5 indicates > 60% stenosis. The renal resistive index does not directly assess renal artery flow.
A 28-year-old man with Kallmann syndrome is treated with exogenous testosterone. He desires a biological child. Semen analysis reveals a volume of 2.2 ml and azoospermia. The next step is:
4
Kallmann syndrome, anosmia or hyposmia associated with hypogonadotropic hypogonadism is commonly diagnosed due to a delayed onset of puberty. Most patients are treated with exogenous testosterone at the time of their diagnosis for virilization. Testosterone is easy and cost effective to administer compared to daily injections of alternative hormones. Azoospermia in these patients results from the combination of inadequate levels of intratesticular testosterone, and the patient’s natural absence of stimulatory pituitary hormones. When the patient desires to father children, spermatogenesis can be brought about by discontinuing parenteral testosterone and beginning daily IM or SQ injections of hCG and recombinant FSH. If the response is insufficient, GnRH administration may be considered but is expensive and requires I.V. administration. In patients with low ejaculate volume (< 1.5 ml), a post-ejaculate urine is useful to diagnose retrograde ejaculation, this patient’s ejaculate volume is normal. Assay of testosterone, LH and FSH is not needed in this patient in whom a diagnosis of Kallmann syndrome has already been made. It would be inappropriate to proceed with testicular sperm extraction without first giving the hormonal treatment necessary to stimulate spermatogenesis.
A healthy 66-year-old woman has a loopogram as shown seven years following cystectomy and ileal conduit for bladder cancer. CT scan demonstrates bilateral hydronephrosis and no evidence of recurrent disease. Chest x-ray and urine cytology are normal. Serum creatinine is 1.8 mg/dl. A renogram is also shown. The next step is:

5
This patient has developed upper tract deterioration following cystectomy and ileal conduit diversion. This has been reported in some series to occur in over 50% of patients with long-term followup. The renogram in this instance demonstrates no obstruction to the right renal unit with hydronephrosis likely the result of chronic reflux. The renogram also demonstrates no significant function of the left renal unit. Because there is no reflux into the left system it cannot be monitored as to the possible development of upper tract urothelial carcinoma. In this setting, nephroureterectomy is recommended. Looposcopy will not add to the evaluation as it will not provide access to the left system. Bilateral percutaneous nephrostomy is not indicated because there is no evidence of obstruction of the right side. Similarly, there is no evidence of stomal stenosis. Revision of left ureteroileal anastomosis should not be undertaken for a non-functioning kidney. Another option would be left nephrostomy tube placement, antegrade studies, and selective cytology to further risk stratify the patient prior to making a final decision.
A 64-year-old man had a TURP six months ago and has an AUA Symptom Score of 5. He has persistent gross hematuria requiring cystoscopy and clot evacuation. Friable prostatic tissue was noted during cystoscopy. He does not wish to undergo further surgical treatment. The next step is:
2
Finasteride is an effective option for the management of gross hematuria after TURP for BPH. None of the other listed treatments (e.g., tamsulosin and bicalutamide) have efficacy or have been evaluated in this setting. It is known that one of the early effects of finasteride is the intraprostatic suppression of vascular endothelial growth factor. Clinically, finasteride has been shown to effectively treat post-prostatectomy hematuria, especially in the presence of friable prostate tissue. If hematuria does not resolve with this therapy then evaluation of the upper urinary tract should be considered to rule it out as the source of bleeding. Prolonged antibiotics would only be indicated in the setting of UTI suspected to be of prostatic origin.
A 56-year-old man has low libido and a normal physical exam. Morning serum testosterone is 365 ng/dl and prolactin is 48 ng/ml (normal < 20 ng/ml). The next step is:
1
Elevated serum prolactin from a pituitary tumor that causes clinical symptoms such as low libido, infertility and gynecomastia is usually accompanied by a low serum testosterone. A mildly elevated prolactin, especially accompanying a serum testosterone in the normal range, is rarely clinically significant. Because prolactin has high interassay variability, an elevated prolactin should first be verified by repeat testing. With a normal testosterone, LH assay is unhelpful and exogenous testosterone is not indicated. Likewise, a man with mildly elevated prolactin and normal testosterone is unlikely to benefit from bromocriptine, and MRI is unlikely to reveal a clinically significant anatomic pituitary lesion. The most common cause of low libido in a man with a normal physical exam and adequate testosterone is psychological.
The neurovascular bundles on the prostate travel between the following two layers of fascia:
1
The prostate is covered with three distinct and separate fascial layers: Denonvilliers’ fascia, the prostatic fascia, and the levator fascia.
Denonvilliers’ fascia is a filmy, delicate layer of connective tissue located between the anterior walls of the rectum and prostate.
The neurovascular bundle on the prostate contain the cavernosal nerves and are located between the layers of the levator fascia and prostatic fascia (in the lateral pelvic fascia)