A 65-year-old man with LUTS and an AUA Symptom Score of 18 is treated with terazosin. Six months later, he develops hypertension. Which antihypertensive drug is contraindicated:
2
A thorough medical history, including an assessment of current medications is imperative when starting patients on alpha-blocker therapy. While several studies have demonstrated the safety of terazosin, and that typically blood pressure is only lowered in hypertensive patients, the concomitant use of terazosin and calcium channel blockers, especially verapamil is dangerous and can precipitate severe hypotension. The use of an alpha-blocker and a diuretic, beta-blocker, or ACE-inhibitor has not been associated with the same risk of hypotension.
A very tall 24-year-old man with primary infertility has slight gynecomastia and disproportionately long arms. He has a normal male pattern of hair distribution in his pubic area and axillae. His testes are 3 ml and firm bilaterally. His sperm concentration is 0.5 million/ml. Genetic analysis will most likely show:
4
Genetic abnormalities commonly associated with severely abnormal sperm production include microdeletions of the Y chromosome, classic Klinefelter’s syndrome, or mosaic Klinefelter’s syndrome. A 45,XO karyotype is associated with Turner’s syndrome (gonadal dysgenesis) in phenotypic women. Men with microdeletions of the Y chromosome typically have a normal appearance. The phenotypic appearance of this patient is most consistent with Klinefelter’s syndrome. Men with classic Klinefelter’s syndrome are almost always azoospermic, suggesting that this patient most likely has a mosaic form of this syndrome.
A 64-year-old man with clinical T1c Gleason 6 prostate cancer and PSA of 5.0 ng/ml desires active surveillance. He has a microscopic focus of cancer in one of 12 biopsy cores. His prostate gland size is estimated to be 50 ml. The next step is:
2
In patients desiring active surveillance, it is important to determine if the patient is truly low risk in as accurate a fashion as possible. This patient has low PSA, low stage, favorable Gleason score, and small volume disease. By most established clinical criteria, he meets the guidelines for minimal disease appropriate for surveillance. Immediate repeat biopsy is considered advisable because it will confirm the favorable pathologic factors of the first biopsy, and it has been shown to predict the likelihood of progression in the series by Patel, et al. In this series, actuarial progression free survival with 83% in men without abnormal findings on repeat biopsy compared to 43% in those with abnormal findings on repeat biopsy. In individuals with small volume disease, serum PSA measurements alone are not adequate to follow disease progression on active surveillance. As such, using antibiotics to drive the PSA down will not improve the performance characteristics of PSA in assessing risk. Annual biopsy will be required after immediate repeat biopsy.
The most frequent long-term complication of CIC in men with spinal cord injury is:
5
CIC is the preferred bladder management in most spinal cord injury patients and is associated with a low incidence of VUR, squamous metaplasia of the bladder lining, bladder calculi, and pyelonephritis. However, local trauma to the urethral wall induced by repeated introduction of the catheter has been reported. Strictures and false passages seem to appear after several years in some male patients.
A 47-year-old man underwent a vasectomy 16 years ago at the time of a hernia repair and recently married a 33-year-old woman who has never attempted to become pregnant. He has two grown children and now desires more children. Antisperm antibody titers are positive. The factor that portends a poor outcome after vasectomy reversal is:
5
A gradual decline in success rates is seen with increasing intervals of obstruction, with pregnancy rates dropping below 50% after nine years. Delivery rates also decline significantly when the age of the partner is over 35 years. One study suggested that vasectomy at a younger age correlates with higher success rates, but this finding has yet to be validated by others. The significance of a positive antisperm antibody (ASA) status is controversial, but the high rate of successful vasectomy reversals despite the high incidence of ASA after vasectomy suggests that ASA status may not be a reliable prognostic factor.
A 35-year-old woman with T8 paraplegia underwent augmentation ileocystoplasty for urinary incontinence unresponsive to CIC and antimuscarinics. Post-operatively, she has persistent incontinence unresponsive to antimuscarinics. Her urodynamic evaluation is demonstrated in the exhibit. The next step is:

3
This patient suffers from post-augmentation cystoplasty incontinence because of intermittent overactive contractions of the augmented bladder as seen in the urodynamic study. This can occur despite adequate detubularization of the bowel or from inadequate bivalving of the bladder. When antimuscarinics fail, the best treatment is inserting an additional patch of bowel into the cystoplasty. There is no evidence of urethral insufficiency on the urodynamic study as there is no leakage with Valsalva maneuvers. Therefore, procedures to either augment urethral resistance or close the urethra are not indicated. There is no indication to perform a supravesical urinary diversion since the lower urinary tract is still useful and can be further rehabilitated.
A 67-year-old man has an AUA Symptom Score of 25 and a bother score of 5. He has no history of urinary retention, infections or stones, and has normal renal function. DRE reveals a 25 g benign prostate. The next step is:
2
This patient has a high symptom problem index with a significant bother score, therefore watchful waiting is not appropriate, and he should be offered intervention. A VA study of 1229 patients randomized to placebo, alpha-blocker therapy, finasteride, or combination therapy with alpha-blockers plus finasteride showed the superiority of alpha-blocker therapy alone in improvement of symptoms and peak flow rate. Other than an additional reduction in prostate volume, combination therapy with finasteride did not provide significantly more symptom relief. Combination therapy may be beneficial in a man with an enlarged prostate, however, there is no indication that the prostate is enlarged in this individual and, therefore, the initial cost and potential adverse effects of combination therapy are not justified in this untreated patient. This patient has no absolute indication for prostatectomy and should be initially offered medical therapy with alpha-blockers. Medical therapy of prostatic symptoms has shown a reduction in BPH progression with combination therapy, though this question focuses on symptomatic relief in a patient without significant prostatic enlargement, which would be best achieved by alpha-blockade alone.
A 32-year-old man has azoospermia and semen volume of 3.1 ml. Both testes are 5.0 cm in longitudinal axis, and FSH is 3.8 mIU/ml (normal 2 - 12 mIU/ml). The next step is:
4
When testis longitudinal axis is > 4.5 cm and FSH is < 7.6 mIU/ml, 96% of azoospermic men will have obstructive azoospermia. Scrotal exploration for reconstruction may be directly undertaken without the need for a testis biopsy. Because the likelihood of epididymal obstruction requiring epididymovasostomy is high, percutaneous epididymal sperm aspiration should not be performed in these patients, as the epididymis may be permanently damaged preventing subsequent epididymovasostomy. Scrotal ultrasound is not sensitive enough to identify vasoepididymal obstruction, and clomiphene citrate would not be helpful in a patient with obstructive azoospermia.
A 29-year-old G2P2 woman with episodic hypertension is 28 weeks pregnant. She is now found to have a 4 cm left adrenal pheochromocytoma. The next step is alpha-blockade with phenoxybenzamine and:
4
It is clear that prompt surgical resection is the only effective treatment of pheochromocytoma. The one accepted exception is a pheochromocytoma in a late term pregnancy. In this setting, the patient should be treated with alpha-adrenergic blockade with phenoxybenzamine until the fetus has reached maturity to manage the HTN. At this point, she should undergo caesarean section and tumor resection in one operation. The patient should not undergo the stress of vaginal delivery.
A 54-year-old man with a rising PSA after radiation therapy elects androgen deprivation therapy. His PSA is 8.4 ng/ml, and his bone scan is negative. Bone mineral density will be best preserved with:
5
Osteopenia and osteoporosis are recognized as major long-term complications of hormonal deprivation therapy. As men age, they have a pre-existing risk of osteopenia. This is increased upon hormonal deprivation due to the loss of circulating estrogens. In men, the sole source of estrogen is peripheral conversion of testosterone by aromatase. In men who receive pharmacologic or surgical castration, loss of testosterone results in loss of estrogen. Use of estradiol in men results in loss of endogenous testosterone through suppression of the hypothalamic-pituitary axis. As such, men receiving estradiol will have suppression of endogenous estrogen production, but the exogenously administered estrogen preserves bone density.
A 35-year-old man is a heterozygous carrier of the delta-F508 mutation. Prior to testing his wife, his chance of having a child with cystic fibrosis is:
4
Cystic fibrosis is an autosomal recessive disease with a carrier frequency of 1 in 25. Cystic fibrosis mutations may be severe or mild. Accounting for approximately 70% of cystic fibrosis alleles, the delta-F508 genotype is the most common severe mutation, and results from a three base pair deletion in exon 10 of the cystic fibrosis gene. If both alleles carry the severe mutation, offspring will be affected with the systemic and pulmonary form of cystic fibrosis. Without a priori knowledge of his partner’s genotype, the probability of offspring with cystic fibrosis born to a heterozygous carrier is 1:25 x 1:4 = 1:100.
A CT scan demonstrates a new 4 cm nodule in the left adrenal gland of a 58-year-old man who underwent a right radical nephrectomy for RCC eight years previously. He has mild hypertension that is well-controlled medically and is otherwise healthy. An MRI scan demonstrates the adrenal nodule to be isointense with the liver on T2-weighted images. The next step is:
4
Many patients with RCC manifest asynchronous metastases which when solitary and resectable are best managed surgically, hence adrenalectomy is the best choice. This approach has been associated with prolonged disease-free survival, especially when the interval between the initial diagnosis and metastasis is greater than one year. Neither the clinical nor radiographic data in this case are suggestive of pheochromocytoma, which would be expected if the nodule was hyperintense compared to the liver on T2-weighted images. A benign adrenal adenoma is possible, but in view of the history of RCC it is a diagnosis of exclusion. Waiting six months to determine if the lesion has change radiographically places the patient at risk for progressive metastatic disease. The malignant potential of adrenal tumors is notoriously difficult to determine on a needle biopsy.
A 65-year-old man on warfarin develops urinary retention secondary to BPH. He has failed treatment with tamsulosin. His cardiologist recommends that warfarin not be discontinued. The next step is:
3
This patient requires a procedure that can eliminate the prostatic obstruction yet allow him to continue his anticoagulation therapy. Of the options provided, non-contact laser prostatectomy, either non-contact or holmium laser enucleation, is able to accomplish these goals. TUNA and TUMT are generally indicated for men with moderate to severe symptoms of BPH who desire minimally invasive treatment. TUIP and transurethral electrovaporization of the prostate are contraindicated in men who are being treated with systemic anticoagulation.
A 27-year-old woman with irritable bowel syndrome passes a 4 mm calcium phosphate calculus. 24-hour urine collection reveals low urinary citrate. She refuses pharmacologic therapy. Treatment includes oral hydration and:
3
Hypocitraturia is often associated with chronic diarrheal states. While the threshold for normal urinary citrate is controversial, a 24-hour urinary citrate level less than 320 mg generally identifies hypocitraturia. For a patient who refuses pharmacologic therapy, citrus beverages such as lemonade and orange juice increase urinary volume and citrate excretion. Carbonated water may also increase urinary citrate levels. Milk products may be useful in hyperoxaluria associated with chronic diarrhea. Tea is high in oxalate, and may be involved in calcium oxalate lithiasis. Protein intake increases urinary calcium, oxalate and uric acid excretion, and is not specifically involved in citrate excretion.
A 62-year-old man with Gleason 6, T1c adenocarcinoma of the prostate opts for radical prostatectomy. PSA is 15 ng/ml, and bone scan reveals two areas of intense abnormality in the right hemi-pelvis. Plain films are normal. The next step is:
3
The clinical scenario is unlikely to be associated with bone metastasis, but the abnormal bone scan in this area should be evaluated. Plain films carry a low sensitivity for the detection of bone metastasis, and as such, their main purpose is for the detection of other explanations for the bone scan findings such as fracture or degenerative disease. In the event the plain films are normal, the bone scan findings remain unexplained, and further evaluation is warranted. Bone biopsy is too invasive of a test given the low likelihood of metastasis. MRI scan is the most sensitive radiologic test to screen for bone metastasis after radionucleotide imaging. Lesions on plain radiography must involve at least 50% bone loss to be visible.
A 27-year-old woman has passed multiple calcium phosphate stones. The pH of an early morning urine is 6.5. Serum electrolytes reveal Na 140 mEq/l, K 3.4 mEq/l, Cl 112 mEq/l, and CO2 20 mEq/l. The next step is:
4
RTA can be caused by a variety of disorders that interfere with the ability of the renal tubule to secrete hydrogen ion. There are two major types; type 1, classic or distal; and type 2, proximal. Type 1, distal RTA, occurs due to a defect in the distal nephron. The normal kidney can respond to various stimuli by excreting sufficient free hydrogen to produce a minimum urine pH of 4.0 to 4.4. Inability of the kidney to acidify urine to a pH of less than 5.4 is a sign of distal RTA. Most patients with this disorder have a urine pH greater than 6. Patients with distal RTA have a hypokalemic, hyperchloremic metabolic acidosis. These patients are prone to urolithiasis and can develop nephrocalcinosis. Low urinary citrate in this setting is diagnostic.
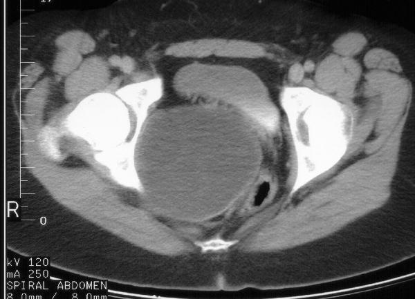
An 18-year-old girl has primary amenorrhea and recurrent UTIs. Her pelvic ultrasound shows a large cystic lesion. CT imaging is shown in exhibit 1. The most frequent associated condition is:

1
This patient has a hematocolpos due to vaginal obstruction, the Mayer-Rokatanski-Kuster-Hauser syndrome which occurs in 1:4000 female births. This syndrome is composed of vaginal agenesis or absence with a rudimentary uterus, normal ovaries, and normal external genitalia. Absence or agenesis of the vagina is a developmental error of the ureterovaginal canal or the vaginal plate with failure of mullerian duct fusion. Renal anomalies are common with over one third of patients noted to have renal agenesis, ectopia or fusion abnormalities. Skeletal anomalies have been reported in 12% of girls and usually involve the spine, limbs or ribs. Diagnosis of this condition is made most often at the time of puberty in association with amenorrhea. Occasionally, it is noted in the neonatal period when evaluating a pelvic mass.
A 56-year-old man with a palpable nodule on DRE and a PSA of 15.2 ng/ml has Gleason 8 prostate cancer. The administration of eight months of neoadjuvant hormone ablation therapy prior to radical retropubic prostatectomy has been shown to result in:
4
This patient’s tumor profile is most consistent with locally advanced disease. Locally advanced prostate cancer has been proven difficult to treat and is likely best managed with multi-modal therapy. Numerous authors have suggested that neoadjuvant hormone ablation therapy might improve outcomes in these patients. Unfortunately, all of the seven randomized clinical trials (consisting of over 1400 patients) that compared three months of neoadjuvant hormone therapy to placebo prior to prostatectomy failed to show any survival advantage in the neoadjuvant group. In fact, the only difference noted between the two groups was that neoadjuvant patients had a lower positive margin rate that did not translate into a biochemical-free, disease-specific or overall survival advantage with follow-up of up to six years. A recent randomized clinical trial from Canada compared 3 vs. 8 months of neoadjuvant therapy and found no difference between the arms.
A 26-year-old with a spinal cord injury undergoes pressure flow urodynamics. During filling, he complains of severe headache, diaphoresis, and facial flushing. The spinal cord lesion most likely responsible for this phenomenon is:
5
Autonomic dysreflexia is characterized by acute HTN, bradycardia, severe headache, vasoconstriction below the lesion, and vasodilation above the lesion. It is due to exaggerated sympathetic discharge in response to stimuli below the level of the lesion. This most likely occurs in spinal cord injured patients with complete lesions above T6, the location of sympathetic ganglia. It is an emergency and must be treated immediately by removal or reversal of the stimulus. The most common stimulus is distension of a hollow viscus, such as during urodynamic testing.
Currently manufactured extracorporeal shock wave lithotriptors are associated with less patient discomfort due to increased aperture size of the shock wave generation/focusing system. This design change also produces a:
1
A reduction in the focal volume is a geometric result of enlarging the aperture of the shock wave generator. Newer generation lithotriptors cause little pain, but have a small focal volume and high focal pressure. The higher retreatment rates with newer lithotriptors may be due, in part, to the smaller focal volume. Accurate placement of the stone in the focus is critical with these lithotriptors.
The most frequent post-operative complication of partial nephrectomy is:
2
In a recently reported large series of partial nephrectomies, urinary fistula was reported as the most frequent complication (17%), followed by renal failure, infection, bleeding, and vascular thrombosis. Fistulas occurred more frequently in larger, centrally located tumors and those removed with an ex vivo approach. UTI and renal infarction are infrequent complications. In more contemporary series of laparoscopic partial nephrectomies, urinary fistula is still the most common complication.
A 38-year-old woman with a T6 spinal cord injury is treated with an indwelling catheter and oxybutynin for five years. She has severe urinary incontinence around the catheter and a patulous urethra at cystoscopy. Videourodynamics performed with a urethral catheter balloon occluding the urethra shows detrusor overactivity, a bladder capacity of 75 ml, and bilateral grade IV VUR. The next steps are:
4
A T6 spinal cord injury would be associated with severe detrusor overactivity and detrusor sphincter dyssynergia, in most instances. A suprapubic tube would not help with the stress incontinence that has developed due to sphincteric damage from the long-standing urethral catheter. The patient already has severe detrusor overactivity and reflux, despite antimuscarinic use. Therefore, a sling alone will still likely be associated with detrusor overactivity-induced leakage, and may intensify the risk of upper tract damage. Ileovesicostomy would likely be associated with ongoing urethral leakage, again due to the damaged sphincter. Collagen may help improve outlet resistance, but performing CIC repeatedly through the injected area will likely render any beneficial effect meaningless as the collagen gets molded due to chronic catheterization. An augment, coupled with a sling will take care of the detrusor overactivity, and the damaged sphincteric unit. The patient would need to perform CIC.
A 32-year-old man with inflammatory bowel disease has passed two calcium oxalate stones. 24-hour urine collection reveals elevated oxalate. The treatment is:
3
Enteric hyperoxaluria is commonly associated with inflammatory bowel disease or short-gut syndrome. Malabsorption increases the colonic permeability of oxalate by causing fat and bile to bind to intraluminal calcium, leaving oxalate unbound and free to traverse the colonic epithelium. Restricting oxalate is generally insufficient as the cause is not an overabundance of oxalate, and compliance is difficult for regimens intending to eliminate all oxalate sources. Oral calcium binds to the free oxalate and prevents its absorption.
A 64-year-old man undergoes 12 weekly bladder instillations of BCG after TURBT of a high-grade stage T1(A) TCC. Six weeks after receiving his last treatment, he undergoes a cystoscopy and CT urogram which are normal. However, a voided cytology shows highly atypical cells suspicious for malignancy. The next step is:
4
Almost all persistently positive cytologies in the first six months after BCG treatment for T1 or Tis disease are due to disease in the bladder, and in this setting an extensive search for extravesical disease is not indicated. In addition, cytology may continue to revert to normal for three months after the last BCG treatment. Repeat cystoscopy, upper tract evaluation, and bladder biopsy is the most effective way to detect a recurrence. Disease can also recur in the prostatic urethra; however, transurethral bladder biopsy is the most effective means by which to make the diagnosis.