2020 Flashcards

(171 cards)

1
Q

problems that can occur when instrumenting a tooth with curved roots using only stainless stell ISO hand files
and reasons for each of the problems

6

A
  • perforation - due to root curvature and pressure of instrumentation
  • fracture of instrument - due to cyclic fatigue and torsional stress
  • failure of reach CWL - due to curved canal
  • blockage of canal - due to not being able to flush/irrgate effectively due to curvature of apex
  • instrument can be locked in canal if use too large an instrument for canal to be shaped
  • zipping - over preparation of the outer curvature and under preparation of the inner curvature of the canal
How well did you know this?
1
Not at all
2
3
4
5
Perfectly
2
Q

Describe the process of canal shaping and cleansing (not obturation) using ProTaper Universal instrumentation of root canals.
Your apical finishing size should be 0.25mm.

straight line access achieved; WL determined with size10 StSteel file

A

ISO file 15 to 2/3rd estimated working length using balanced force technique (90 degrees clockwise with apical pressure, Continue apical pressure and turn file 180 degrees counter clockwise)
* Irrigation with NaOCL in leur lock syringe (with rubber stop and use index finger), recapitulation with ISO10 file re-irrigate

Protaper S1 to 2/3 estimated working length – shapes coronal 1/3rd of the canal
* You can take a radiograph +/- apex locator to get the correct working length then -1mm from it (size 10 for locater and size 15 radiograph)

ISO 10 and then ISO 15 to Correct working length

Protaper S1 to correct working length – shapes coronal 1/3rd of the canal
Protaper S2 to CWL – shapes mid 1/3rd of the canal
Protaper F1 to CWL – shapes apical 1/3rd of the canal (to ISO20)
Protaper F2 to CWL– shapes apical 1/3rd of the canal (to ISO 25)
* Ensure F2 is passive until it reaches apical 1/3 (tug back) and ISO25 binds coronally and mid root (tug back)

Irrigation protocol (30ml or 10mins NaOCl, then dry thoroughly penultimate 1min rinse EDTA then dry again and then final rinse NaOCl – cannot make them mix as brown precipitate)

Dry the canals with paper points moving onto master GP cone selection.

Between each stage:
* Clean files 🡪 Irrigation with NaOCL in leur lock syringe (with rubber stop) 🡪 recapitulation 🡪 re-irrigate

How well did you know this?
1
Not at all
2
3
4
5
Perfectly
3
Q

adv of non-γ2 amalgam

4

A

more corrosion resistant
less creep
higher mechanical strength earlier
inc durability of margins

How well did you know this?
1
Not at all
2
3
4
5
Perfectly
4
Q

how does manufacturers reduce γ2 from the structure of amalgam

A

high copper content - more than 6%

How well did you know this?
1
Not at all
2
3
4
5
Perfectly
5
Q

originally, why was it necessary to add zinc to amalgam alloy

A

scavenger - so it preferentially oxidises rather than its constituents

How well did you know this?
1
Not at all
2
3
4
5
Perfectly
6
Q

what effect could occur in a freshly placed amalgam restoration due to presence of zinc in amalgam alloy

A

expansion

How well did you know this?
1
Not at all
2
3
4
5
Perfectly
7
Q

explain the mechanism of expanion in fresh placed zinc containing amalgam alloy

A

interaction of unreacted zinc with saliva/blood -
Zn + H2O -> ZnO + H2

bubbles of H2 formed within amalgam
pressure build up causes expansion
* downward pressure cause pulpal pain
* upward - restoration sitting proud of surface

How well did you know this?
1
Not at all
2
3
4
5
Perfectly
8
Q

main symptom experienced in zinc expansion of amalgam

A

pulpal pain

How well did you know this?
1
Not at all
2
3
4
5
Perfectly
9
Q

33-year-old patient presents with a discoloured upper left central incisor tooth
no caries or restorations of any kind in any teeth and is fit and healthy.

The discolouration, first noticed two years ago, has been getting steadily worse.
no symptoms, and the patient is concerned with the appearance.

He recalls a blow to the tooth when playing sport a few years previously

how to determine aetiology of discolouration

A

thorough pt histroy - medical, dental, social, trauma
radiographic assessment (Periapical)
sensibility tests

How well did you know this?
1
Not at all
2
3
4
5
Perfectly
10
Q

3 sequelae of dental trauma that may influence you tx planning for this tooth

A
  • pulpal status of tooth - nonvital or necrotic possibility
  • periapical pathology present
  • mobility of tooth - excessive or ankylosis
How well did you know this?
1
Not at all
2
3
4
5
Perfectly
11
Q

2 restorative procedures that can be carried out to improve aesthetics of discoloured tooth post trauma
describe them

A

external vital bleaching
* bleaching trayma with well for the affected tooth to place hydrogen peroxide or carbamide peroxide in to be used overnight for 2 weeks (initial shade taken prior to compare with at review)

indirect/direct composite veneer
* composite layer on top of minimally prep tooth to mask discolouration

How well did you know this?
1
Not at all
2
3
4
5
Perfectly
12
Q

2 patterns of bone loss in this PA

A

horizontal and vertical

How well did you know this?
1
Not at all
2
3
4
5
Perfectly
13
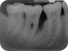
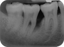
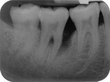
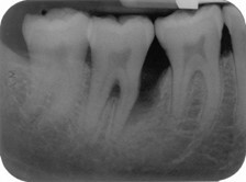
Q

explain the development of the bone loss on the mesial aspect of the lower right second molar

A
  • plaque present in deep pocket mesial to 47, which generates inflammation and zone of destruction causing bone loss but due to distance and thick bone between 47m and 46D a vertical bony defect created as the zone of destruction is narrower than the width of bone/space
  • exacerbated due to the morphology of the mesial root – sharp curve/dilaceration and horizontal bone loss

*Thick bone between teeth more likely vertical bony defect (teeth further apart); central bone survives
Thin bone/close teeth more likely horizontal *

How well did you know this?
1
Not at all
2
3
4
5
Perfectly
14
Q

how can inter-proximal bone defects be classified in general?

A

1, 2 or 3 wall defects

How well did you know this?
1
Not at all
2
3
4
5
Perfectly
15
Q

Following hygiene phase therapy this patient’s oral hygiene was excellent but pockets of >6mm persisted in the lower right quadrant. Open flap debridement was performed

feature of this patient’s disease, observable on the radiograph, is most likely to limit the success of this treatment and why?

A

involvement/bone loss to furcation
which is hard to clean and lowers prognosis/longevity of tooth

How well did you know this?
1
Not at all
2
3
4
5
Perfectly
16
Q

best possible clinical and radiographic outcomes for open flap debridgement in terms of the healed situation

A

Plaque = <15%, BOP = <10% and pockets <4mm

How well did you know this?
1
Not at all
2
3
4
5
Perfectly
17
Q

2 alternative options for management of 27 other than open flap debridement

A
  • Guided Tissue regeneration
  • Furcation - Tunnelling
How well did you know this?
1
Not at all
2
3
4
5
Perfectly
18
Q

middle-aged gentleman attended your surgery with the metal ceramic crown from his upper right central incisor in his hand. He has no pain.
The dentine core has fractured off inside the crown.
no history of previous root canal therapy.

4 features of the remaining tooth tissue of the central incisor might indicate whether it can be successfully restored or not

A
  • tissue remaining - ferrule (2mm circumferential dentine)
  • quality of remaining tissue (caries)
  • fracture extension - if pulpal involvement or root fracture
  • mobility
How well did you know this?
1
Not at all
2
3
4
5
Perfectly
19
Q

middle-aged gentleman attended your surgery with the metal ceramic crown from his upper right central incisor in his hand. He has no pain.
The dentine core has fractured off inside the crown.
no history of previous root canal therapy.

tooth is restorable - list and briefly describe 3 ways the space can be resotred in the short term

A
  • Splint MCC onto adj teeth – composite and SS passive wire
  • Vacuum formed retainer with pontic in place of tooth
  • Use of prefabricated temporary crown cemented on
How well did you know this?
1
Not at all
2
3
4
5
Perfectly
20
Q

patient has the following missing teeth: 38, 37, 36, 35, 45 and 46.

You decide to provide a definitive removable partial denture. The patient has a well maintained mouth with no active disease and you can assume has suitable survey lines.

supporting components would you use? List the type, tooth (FDI) and surface

A

34 – RPI – mesial rest seat
43 – cingulum rest
47 - distal rest

How well did you know this?
1
Not at all
2
3
4
5
Perfectly
21
Q

patient has the following missing teeth: 38, 37, 36, 35, 45 and 46.

You decide to provide a definitive removable partial denture. The patient has a well maintained mouth with no active disease and you can assume has suitable survey lines.

retentive components that you would use. Indicate component name, what tooth (FDI) and position if appropriate

A

34 – RPI – gingival I bar clasp
44 – gingival clasp
47 – circumferential ring clasp ( or occlusally approaching self reciprocating)

How well did you know this?
1
Not at all
2
3
4
5
Perfectly
22
Q

patient has the following missing teeth: 38, 37, 36, 35, 45 and 46.

You decide to provide a definitive removable partial denture. The patient has a well maintained mouth with no active disease and you can assume has suitable survey lines.

major connector(s) and state the reasons for your choice including the choice of material.

A

Lingual bar – need 5mm from margin to bar, 2mm for bar, 1mm to FOM

able to clean gingival margin so maintain OH better

Cobalt chrome CoCr

How well did you know this?
1
Not at all
2
3
4
5
Perfectly
23
Q

patient has the following missing teeth: 38, 37, 36, 35, 45 and 46.

You decide to provide a definitive removable partial denture. The patient has a well maintained mouth with no active disease and you can assume has suitable survey lines.

feature of design that would provide indirect retention

A

43 cingulum rest

How well did you know this?
1
Not at all
2
3
4
5
Perfectly
24
Q

identify anatomical landmarks

A
  • A = incisive papilla
  • B = maxillary tuberosity
  • C = palatine fovea
How well did you know this?
1
Not at all
2
3
4
5
Perfectly
25
identify anatomical landmarks
- A = incisive papilla - B = maxillary tuberosity - C = palatine fovea
26
complete dentures stability
- resistance to vertical forces towards the mucosa
27
complete dentures retention
resistence to verical displaced forces (away from gum)
28
how to achieve adequate retention in conventional complete upper denture
peripheral border seal post dam extentsion into depth of sulcus and posterioly hamular notch
29
terms of biometric principles where are denture teeth located on upper denture
buccal to ridge
30
terms of biometric principles where are denture teeth located on lower denture
on the ridge
31
fit and healthy 32 year-old patient requires surgical removal of his LL8 very anxious and has opted to have the tx under IV sedation Why is written consent required in advance of the treatment day in sedation?
To give them time to review their decision and IV sedation drug has amnesia as a side effect so will not remember the consent on the day
32
drug would a UK-trained dentist select to sedate the patient via an intravenous route (1 mark)? What preparation of this drug should be used (1 mark)?
Midazolam 5mg/5ml - 2mg bolus titrated in 1mg increments every minute after that
33
vital signs to record before/during/after IV sedation
heart rate blood pressure oxygen saturation
34
in the event of over seadtion what drug to use to reverse this
flumanzenil
35
instructions to pt post IV sedation for min 12hours after discharged from care
- Do not make any important decisions – signing legal documents, buying things, etc - Do not drive/operate any heavy machinery - Rest
36
patient has sustained a displaced fracture of the right body of the mandible. other than pain, bruising and swelling name other clinical signs/symptoms commonly seen in this injury
occlusal step deformity bleeding AOB mobile teeth altered occlusion trismus/limited opening/function numbness to lower lip facial asymmetry
37
two most appropriate standard radiographic views that may help in establishing the diagnosis of a mandibular fracture
**- OPT - PA manidble** other options - a. Occlusal b. Lateral oblique c. Town’s view (subcondylar) d. SMV e. CT scans – mainly now or CBCT (3D images best)
38
3 factors that can cause displacement of fracture
opposing muscle attachments direction of fracture line and force of impact opposing occlusion
39
3 tx options for a fractured mandible
leave and monitor Open reduction and internal fixation ORIF intermaxillary fixation
40
35-year-old male presents with pain, swelling and pus discharge around a partially erupted lower right wisdom tooth. feels slightly unwell and has some mild facial swelling. six features you would specifically consider, relating to the patient’s history, extraoral examination or investigations
Full medical history ( DIABETIC/IMMUNOSUPPRESED, Medications - anticoag or platelet, allergy - antibiotics pain history - SOCRATES * Have they had this pain before? If so when and how many times * When did it start? * Has the swelling increased since then? * Pain severity during this period * When did you start to feel unwell – coincide or later/early * Pain relief – do they help E/O * asymmetry, * assess structures nearby – is it a airway risk and swelling across midline or FOM involved Investigations * right side OPT
41
two main nerve branches at risk of damage during removal of lower wisdom teeth and which structures would be affected in the event of such damage?
lingual nerve inferior alveolar nerve
42
appropriate immediate management of 35-year-old male presents with pain, swelling and pus discharge around a partially erupted lower right wisdom tooth. feels slightly unwell and has some mild facial swelling.
LA Incise and drain abscess Antibiotics – as systemic involvement * Phenoxymethylpenicillin 250mg tablets 2 tablets 4xday for 5days Post op instructions and follow up – review in 1 week with discussion to extract * If swelling crosses midline or eye involvement or airway obstructed advise to go to A&E
43
patient presents with an exophytic, slow growing lesion on the right labial commissure. differential dx (2)
verrucous carcinoma squamous cell carcinoma
44
suspected that the lesion is malignant, name three histological features that need to be identified in the biopsy
pleomorphism hyperchromatism cellular atypia/atopic mitotic bodies
45
different clinical presentations of oral squamous cell carcinoma. | 6
raised rolled border indurated ulceration non-homogenous bleeding/erythematous
46
pathology report comes back stating that the lesion is benign. What do you think may have caused this growth to appear?
Herpes papilloma virus Infection / Immunocompromised
47
How would you confirm the presence of the aetiological agent
Biopsy – send to lab for histology and definitive diagnosis | ??
48
From which part of the orofacial structures is it most common to take a salivary gland biopsy as part of the investigation of suspected Sjögren’s syndrome?
labial gland
49
two features on the histological examination of this sample that would be compatible with Sjögren’s syndrome as a clinical diagnosis
- Lymphocyte concentration – 50+ per mm2 - Acini atrophy
50
Focal swelling in the major salivary glands is usually associated with salivary malignancy. What feature in relation to a parotid gland lump may suggest a malignant rather than a benign tumour?
Numbness in part of your face, lymphandenopathy and fixed persistent hard lump
51
most common salivary gland tumour in parotid gland
pleomorphic adenoma
52
most comon salivary gland tumour of upper lip
- Acinic cell adenocarcinoma - adenoid cystic carcinomas | pleomorphic adenoma
53
most comon salivary gland tumour of upper lip
- Acinic cell adenocarcinoma - adenoid cystic carcinomas | pleomorphic adenoma
54
most common salivary gland tumour of soft palate
mucoepidermoid carcinoma pleomorphic adenoma
55
two ways that the skeletal base relationship may be assessed clinically in the anteroposterior plane
- Visually - Clinically Palpate skeletal bases
56
describe class 1 skeletal base.
mandible is 2-3mm posterior to maxilla
57
Cephalometric analysis reveals that a patient has an ANB angle of 8 degrees. What does this suggest about their skeletal pattern?
Class 2 – maxillary incisors are anterior to mandibular incisors 2-4 class I >4 class 2 Below 2 is class 3 - Below 0 severe class 3 120/80 for max inc Ui/Li
58
two ways that the skeletal pattern can be assessed clinically in the vertical plane.
- Use Frankfort Mandibular Plane Angle - Upper Anterior Face Height :Lower Anterior Face Height
59
describe class III incisor relationship
mandibular incisors lie anterior to the cingulum plateau of the maxillary incisors
60
What is a balancing extraction and why might you consider a balancing extraction?
hen the same tooth on the opposite side of the arch (contralateral) is also extracted Used to prevent a shift in the midline e.g. primary canines
61
child presents with the upper left permanent central incisor in crossbite. ideal time to tx this malocclusion
as soon as problem has been detected
62
3 features of upper left permanent central incisor in crossbite that make it favouravke for tx with removable appliance
* Single tooth so anchorage ok * adjusted via tipping movement alone (so no bodily movement require) * due to anterior cross bite, can use posterior bite plane needed to create AOB to tip tooth forward which can be done by URA
63
design URA for upper left permanent central incisor in crossbite.
Aim - please construct URA to correct 21 crossbite Active component * Z-spring 0.5mm H.S.S.W (Hard stainless steel wire) palatal on 21 Retentive components Adams clasps in: * 0.7mm H.S.S.W on 16, 26 * 0.6mm H.S.S.W on 54, 64 (URD, ULD) Anchorage considerations * Present Baseplate modifications * Self-cured PMMA with Flat Posterior Bite Plane
64
alt active component for ant crossbite | z spring
T spring
65
13-year-old female patient with discoloured upper incisors is very upset by the appearance of these teeth - affecting her at school and she won’t smile. Apart from the discolouration she is clinically symptom free and the teeth are vital. What baseline information and/or special tests would you undertake pre-treatment? | 4
- SHADE assessment –draw out the teeth and areas of discolouration on them and shade of different areas of the teeth and lesions. - Take photographs - sensibility scores - Record in notes and get patient/parent/guardian (legally) to sign this off saying they agree with the current shade the teeth are. Assuming this has been done: - Full history (C/O, HPC, M/H with medications and allergies, D/H, S/H, F/H, E/O and I/O) - PGI, BPE (if necessary 6PPC), charting - Radiographs – Periapicals of upper incisors
66
stages of microabrasion
- PPE for operators and patient - Clean with plain pumice teeth - Vaseline applied to the gingiva - Dental dam – wedjets ensure whole tooth is visible - Sodium bicarbonate guard placed around the margin of the area the dam and tooth meet - Mix pumice with hydrogen chloride acid (18%) and Place on slow speed (special rubber cup slowly rotating) Apply to tooth rubbing in for 5seconds, Wash off, dry and assess colour - reapply sodium bicarbonate guard (1cycle) and Repeat for max of 10 cycles - Once finished, remove dental dam and apply fluoride toothpaste. - Use the finest soft flex disc to remove the prism free the layer at top
67
% of hydrochloric acid for microabrasion
18%
68
pt information for after microabrasion
- Post op instructions – warn patient not to eat or drink highly coloured substances as they can stain the teeth for first 24hrs as teeth are dehydrated (poss up to 1 week) - Warn re sensitivity – Sensodyne toothpaste - Review appointment roughly 6-8 weeks to assess difference
69
bleaching agent and strength for vital bleaching
Carbamide peroxide 10% This is broken down into hydrogen peroxide (3.3%) and urea (6.6%)
70
12-year-old girl presents to you with developmentally absent upper lateral incisors, second premolars and third molars. clinical term for this condition
hypodontia
71
12-year-old girl presents to you with developmentally absent upper lateral incisors, second premolars and third molars. girl concerned about appearnce of upper anterior teeth - tx options | 4
bridge (resin bonded / adhesive) RPD implants orthodontics to close the space
72
2 syndromes associated with missing teeth
ectodermal dysplasia downs syndrome cleft lip and palate
73
MDT specialities represented on hydontia team
restorative dentist paediatric dentist orthodontist oral surgeon | speech and language, psychologist
74
MDT specialities represented on hydontia team
restorative dentist paediatric dentist orthodontist oral surgeon | speech and language, psychologist
75
% missing primary teeth
less than 1
76
% missing permanent teeth
less than 6
77
3-year-old child is brought to your surgery following trauma to his upper left central incisor. aspects of presentation/history that suspect non-accidental injurry
- Injury in triangle of safety - Injury is bilateral (rare if you fall or hit into something accidentally) - Injuries healing at different rates – some fresh and some old which also indicate delay in seeking help from point of injury - Injuries that do not match the explanation that has been given
78
two possible common sequelae to the primary dentition following the trauma
discolouration delayed exfoliation - e.g. ankylosis
79
four possible sequelae to the permanent dentition following primary tooth trauma.
- Delayed eruption - Resorption of the tooth - Ectopic position of the tooth - Change in crown/root morphology
80
steps in RCT to minimise bias and how these do that
- Inclusion and exclusion criteria - Random allocation Limits as much as possible outside bias from the researchers or participants which could favour the results of the intervention (shiny sheen toothpaste)
81
communicate risk ratio to a colleague
If the values overlaps the risk ratio (1) then the results are not significant as 1 is the value of no difference. In this case the result range contains the value of 1 therefore not significant
82
6 chain of infection steps
- Infectious agent - reservoir - portal of exit - mode of transmission - portal of entry - susceptible host
83
What chemicals (specify name and concentration of active ingredient) are commonly used to clean a blood spill?
- Sodium hypochlorite 10,000ppm
84
usual recommended time period for application of chemicals to a body fluid spillage?
3-5mins
85
waste stream should be used to dispose of extracted amalgam filled teeth?
red (hazardous) - specialised for amalgam
86
safety features of amalgam waste containers
- Powder to absorb mercury vapour - Leakproof/airtight Red locked lid – colour indicated lessens chance getting confused and contents leaking - Robust container – protects against it accidentally falling and breaking
87
documentation is required by the practice as proof of legitimate disposal of waste and state the minimum period of time that the document should be retained by the practice for
consignment note - 3 years
88
A 27-year-old male with congenitally absent maxillary lateral incisors attends your practice. He has been wearing an upper acrylic denture to replace his missing teeth for the past 10-years and now wishes to discuss alternative treatment options. After discussion with the patient, you decide to restore the spaces with bridgework Which type of bridgework design would be most suitable for this case
resin retained bonded cantilever bridge
89
A 27-year-old male with congenitally absent maxillary lateral incisors attends your practice. He has been wearing an upper acrylic denture to replace his missing teeth for the past 10-years and now wishes to discuss alternative treatment options. After discussion with the patient, you decide to restore the spaces with bridgework teeth to choose as abutment
13 and 23 * avoid shine through on the centreal as they have less thickness of tooth tissue * stronger root
90
A 27-year-old male with congenitally absent maxillary lateral incisors attends your practice. He has been wearing an upper acrylic denture to replace his missing teeth for the past 10-years and now wishes to discuss alternative treatment options. After discussion with the patient, you decide to restore the spaces with bridgework clinical records you would obtain from the pt to allow the dental technician to accurately manufacture the bridgework
master imps with facebow registration tooth mould and shade bridge design instructions
91
A 27-year-old male with congenitally absent maxillary lateral incisors attends your practice. He has been wearing an upper acrylic denture to replace his missing teeth for the past 10-years and now wishes to discuss alternative treatment options. After discussion with the patient, you decide to restore the spaces with bridgework other than bridgework what definitive alt tooth replacement options could be available to this pt
implants implant retained denture
92
Your VT trainer uses a conventional Glass Ionomer as his lining material. It is dispensed as a powder and liquid and hand mixed by his nurse. You want to use the Resin Modified Glass Ionomer Cement (RMGIC) lining material you have used previously in the dental hospital (Vitrebond). You wish to persuade him to change to your preferred material. advantages of the material you want to use?
* higher mechanical strength * command set via light cure * less resistance to moisture during initial setting time * lower modulus of elasticity due to resin particles added | 4
93
trainer is unconvinced. He uses his present material as a universal glass ionomer for lining, filling and luting because it is cheaper. Why is he wrong to use a glass ionomer filling material as a luting agent?
weak mechanical strength - so can be prone to bacterial ingression and caries development thicker material can absorb moisture
94
which luting agent would you use to cement a metal post and core
GIC
95
which luting agent would you use to cement a porcelain veneer
light cure composite resin cement (with silane coupling agent) and dentine bonding agent
96
which luting agent would you use to cement a fibre post
dual cure composite resin cement and dentine bonding agent
97
A 25-year-old patient presents with pocketing and attachment loss in the upper arch as illustrated. The patient is fit and well. She smokes 10 cigarettes per day. She describes her diet as ‘healthy.’ Radiographs were taken by the previous dentist 8 weeks ago, and you do not have them available today. The previous dentist will send them soon. From the information above what would be your diagnostic statement for this patient?
generalised periodontitis stage 4 (12mm LOA - no radiographs) Grade C currently unstable risk factors - smokes 10cigarettes/day
98
A 25-year-old patient presents with pocketing and attachment loss in the upper arch as illustrated above. The patient is fit and well. She smokes 10 cigarettes per day. She describes her diet as ‘healthy.’ Radiographs were taken by the previous dentist 8 weeks ago, and you do not have them available today. The previous dentist will send them soon. tooth with poorest prognosis
16
99
16 poorest prognosis - why? | 3
grade 3 mobility (>2mm vertical and horizontal movement) occlusal trauma on tooth will increase bone loss, more likely to fall out or have failed restorative work and less likely to respond to perio tx furcation involvement (3 - through and through lesions) - means there is already a great degree of bone loss meaning chance of regeneration is less and harder to keep clean deep pocketing and loss of attachement is severe - harder to keep clean deep pockets, easier for bacterial ingress to be in pocket for long time and lead to perio-endo lesion
100
why is ther green line drawing potentially misleading (regards to prognosis)
on standardised pocket chat - showing standardise teeth, may not be reflective of the individual pt anatomy and root length
101
A 25-year-old patient presents with pocketing and attachment loss in the upper arch as illustrated above. The patient is fit and well. She smokes 10 cigarettes per day. She describes her diet as ‘healthy.’ Radiographs were taken by the previous dentist 8 weeks ago, and you do not have them available today. The previous dentist will send them soon. further investigations would wish to perform for this pt
MPBS (engagement) radiographs review 6PPC in 3months post intial tx (step 1) diet diary
102
A 25-year-old patient presents with pocketing and attachment loss in the upper arch as illustrated above. The patient is fit and well. She smokes 10 cigarettes per day. She describes her diet as ‘healthy.’ Radiographs were taken by the previous dentist 8 weeks ago, and you do not have them available today. The previous dentist will send them soon. information from the pt that be help offer an opinion on prognosis for the tooth | 3
Social history * Smoking - how long as she smoked for? (calculate pack years) Attempts to quit/cut down in the past? Interested in quitting? * Alcohol consumption * Lifestyle – occupation, living situation, stress levels Family history * Any history of periodontal disease in family? Loosing teeth at young age Dental history * Anxiety * Regular attender? * Oral hygiene habits? * motivation
103
43-year-old man attends your surgery with severe toothache. He admits that he is not a regular attender and knows he has neglected his teeth. Clinical examination reveals many broken restorations and carious cavities. The pain is associated with his lower left second molar (37) which is tender to percussion. 3 q to ask pt to get dx of pain from 37
* onsent of pain - when did it start * character of pain - dull ache, sharp shooting * severity of pain - keeping him up at night; on scale of 1-10 SOCRATES
104
43-year-old man attends your surgery with severe toothache. He admits that he is not a regular attender and knows he has neglected his teeth. Clinical examination reveals many broken restorations and carious cavities. The pain is associated with his lower left second molar (37) which is tender to percussion. from the photo and radiograph list 3 findings that relevant from pt symptoms of 37
* fracutres DB cusp * amalgam restoration encroaching on pulp space * secondary cares (radiolucency) under distal amalgam * slight PDL widening (mesial) and PA radiolucency on mesial root * furcation bone loss (radiolucency)
105
43-year-old man attends your surgery with severe toothache. He admits that he is not a regular attender and knows he has neglected his teeth. Clinical examination reveals many broken restorations and carious cavities. The pain is associated with his lower left second molar (37) which is tender to percussion. periapical dx
acute apical abscess inflammatory reaction to pulpal infection and necrosis, characterised by rapid onset, spontaneous pain, TTP, pus and swelling of associated tissues
106
43-year-old man attends your surgery with severe toothache. He admits that he is not a regular attender and knows he has neglected his teeth. Clinical examination reveals many broken restorations and carious cavities. The pain is associated with his lower left second molar (37) which is tender to percussion. immediate pain relief tx options
IDB LA injection then XLA tooth or drain and incise, remove caries and pulp extirpate to later try RCT tooth and restore
107
4 reasons why NS PMPR may fail to eliminate bacteria from perio pockets
operator expertise is inadequate pockets too deep and instrumentation falls short of pocket depth pt compliance poor - OH is inadequate, smoking etc failure to flush out the biofilm after instrumenting deep pockets meaning bacteria can adhere again as still present - gingival cuffing - bacteria not cleaered as trapped in pocket, leads to worsening of pocket depth and periodontal abscess
108
3 potential problems that limit the usefullness of oral antibiotics in tx of periodontitis
* not able to penetrate the biofilm (need mechanical disruption first) * antibiotic resistance * systemic oral antibiotics may not act on oral sites effectively enough and have other side effects for pt (reducing compliance)
109
patient with a lateral periodontal abscess in tooth 22, they have accompanying systemic symptoms. The patient is keen to keep the tooth, describe how you should manage it.
Give an lidocaine infiltration to 22 area Incise and drain the abscess * Give analgesic advice for post op pain Perio tx * Give OHI advice and interdental cleaning instruction using TIPPS * Supra and subgingival PMPR to just short of the pocket depth Systemic symptoms – can provide antibiotics * Phenoxymethylpencillin 250mg tablets, 2 tablets 4xdaily for 5days (40 tablets) * If allergic to pencillin: Metronidazole 200mg tablets, 1 tablet 3xdaily for 5days (15 tablets)
110
fit and healthy 75-year-old male presented to his dentist requesting new dentures. His current 20 year old set, which had been tolerated well, had become progressively loose and were showing signs of wear over the previous 18 months. He was made replacement complete dentures which he is unable to tolerate. The 20 year old dentures are pictured on the left of each picture and the new dentures on the right of each picture. 3 features that are grossly different in the new dentures
flange depth flange width appearcne (colour of flange and teeth, layout of teeth)
111
fit and healthy 75-year-old male presented to his dentist requesting new dentures. His current 20 year old set, which had been tolerated well, had become progressively loose and were showing signs of wear over the previous 18 months. He was made replacement complete dentures which he is unable to tolerate. The 20 year old dentures are pictured on the left of each picture and the new dentures on the right of each picture. denture construction technqie more appropriate to give pt replacement denture he can tolerate
replica technqiue
112
what is the feature A in the complet upper denture
window/relief for palatine torus
113
Other than replacement dentures, state two other treatment methods which can be used by a dentist to improve retention and stability in a loose complete denture in an edentulous patient.
reline of denture rebase of denture?
114
Describe, briefly, 5 important features of complete dentures that you would check during the try-in stage of complete dentures
SOARE * Stability of denture – rocking – place fingers on occlusal surface * Occlusion of denture teeth – contacts on working and non working sides - even, OVD * Aesthetics of teeth – midline, incisal level (interpupillary line), occlusal plane (ala tragal line), colour, shape, buccal corridor * Retention – try and pull off * Extension – to vibrating line, retromolar pad, shape and depth of sulcus and not imping on labial frenum Pt view - Aesthetics - Speech – whistling  may need to inc OVD
115
53 year old female patient requests new complete dentures. She has worn the present set for 15 years and they are now becoming loose. Her medical history is clear. The photograph shows her upper arch with the dentures removed. The palatal denture-bearing mucosa is red. organism most likely to have proliferated in the denture bearing area
candida albicans
116
53 year old female patient requests new complete dentures. She has worn the present set for 15 years and they are now becoming loose. Her medical history is clear. The photograph shows her upper arch with the dentures removed. The palatal denture-bearing mucosa is red. 3 contributing local factors to this infection
Denture hygiene * Not taking dentures out at night * Not cleaning denture with brush and soap after meals * Not cleaning gingiva – after meals Smoking Age of dentures * Fungi have impregnated the acrylic
117
53 year old female patient requests new complete dentures. She has worn the present set for 15 years and they are now becoming loose. Her medical history is clear. The photograph shows her upper arch with the dentures removed. The palatal denture-bearing mucosa is red. interventions which would form an appropriate treatment pln
Denture hygiene instructions * Clean dentures after meal with soft brush * Brush palate and gingivae * Keep out of mouth as much as possible/only wear when needed * Clean dentures with sodium hypochlorite/CHX for 15mins x2 daily then rinse. Antifungal medication * Fluconazole 50mg capsules, 1xdaily for 7 days (7 capsules) * No more than 14 days * Miconazole oromucosal gel (20mg/g), pea sized amount to fitting surface of upper denture after food 4xdaily for 7 days (80g tube) * If pt on warafarin or statin * Nystatin oral suspension (100,000units/ml), 1ml after food 4x daily for 7 days (30 ml) * Remove denture, rinse around mouth and hold near lesion for 5mins then swallow * Continue use for 2 days after lesions healed review to assess if resolving reline denture or Construct a new denture
118
What might have happened to the occluding surfaces of the denture teeth after 15 years (1 mark) and can anything be done to the existing dentures to rectify this in the short term (1 mark)?
worn down (attrition) built back up with autopolyermising resin added to teeth
119
have just completed surgical removal of tooth 37 which fractured during an attempted forceps extraction. Your patient is a 21-year-old male with poorly controlled asthma. You intend to prescribe analgesia for the patient. suitable analgesc able to prescribe on NHS
paracetamol
120
have just completed surgical removal of tooth 37 which fractured during an attempted forceps extraction. Your patient is a 21-year-old male with poorly controlled asthma. You intend to prescribe analgesia for the patient. group of analgesics to avoid
NSAIDs
121
all essential information to inc when writing an NHS prescrition
Pt details * DOB * Name * Address * CHI number Drug details * Name, concentration, form (tablet, capsule, gel etc) * Instruction how to take – dosage, how many per day and when * Duration of medication course * Total number/volume of drug to be dispensed Your details * Name * Practice name * Practice address * GDP number * Contact number * Signature Date of prescription Cross out any free space
122
where to refer to for the dose and possible interctions of the drug
BNF
123
how long is NHS prescription of non controlled drug valid for
6 months
124
48-year-old female presents complaining of fluid escape from her nose when she drinks. She had tooth 27 extracted 6 months ago. This was a difficult extraction and she says she has been aware of a ‘hole in her gum’ ever since. You examine her and find a communication between the oral cavity and maxillary sinus term for this problem
oro antral fistula
125
48-year-old female presents complaining of fluid escape from her nose when she drinks. She had tooth 27 extracted 6 months ago. This was a difficult extraction and she says she has been aware of a ‘hole in her gum’ ever since. You examine her and find a communication between the oral cavity and maxillary sinus other than fluid escape from nose when drinking - 5 other possible pt symptoms that may be elicited on Hx
* change in tone of speech (nasal quality) * whilstling noise when breathing * difficulty forming oral seal - so difficulty plaing wind instruments or using straw * bad taste in mouth (pus discharge) * pain in sinus region/sinusistis symptoms
126
Briefly describe the operative procedure to treat OAF, assuming appropriate anaesthesia has been achieved.
Excise the sinus tract Raise a full thickness mucoperiosteum flap (likely buccal advancement flap) * Ensure margin on sound bone and flap tension free * Provide a antral wash out if necessary (chronic sinusitis symptoms) * Close the flap over the fistula and suture closed Post op instructions For at least 24hrs * No nose blowing, no drinking with straw * No smoking or alcohol * Use steam inhalation and nasal decongestants as necessary Antibiotics
127
30-year-old edentulous patient presented complaining of a dry, sore mouth. On examination there were creamy-white plaques on the oral mucosa, which could be easily removed to leave an erythematous base. most likely dx for the white plaques?
pseudomembranous erythematous oral candidiasis
128
30-year-old edentulous patient presented complaining of a dry, sore mouth. On examination there were creamy-white plaques on the oral mucosa, which could be easily removed to leave an erythematous base. medical conditions that can be assoc with development of this
diabetic asthma (taking inhaled corticosteroids) HIV - immunocompromised immunocompromised due to cancer tx
129
adv and disadv of mouth swab
adv - easy to do and cost effective disadv - smaller sample so maybe insufficient for dx needs, easier to be contaminated e.g. labial mucosa
130
oral rise adv and disadv
adv - sufficient quantity of organisms as it gets them from the whole oral cavity, risk pt swallows disadv - not sites specific so inc microbes which may not be relevant to dx | better for candida
130
oral rise adv and disadv
adv - sufficient quantity of organisms as it gets them from the whole oral cavity, risk pt swallows disadv - not sites specific so inc microbes which may not be relevant to dx | better for candida
131
what should clinician request lab to d with microbiology sample
culture and sensitivity test it
132
patient’s condition is sensitive to Fluconazole. Drug interactions may be important with this medication. Name two medicines with which fluconazole may interact and the consequence of the drug interaction.
warfarin - prevents binding to warfarin binding site so inc free warfarin therefore inc bleeding risk atrovastatin (statins) - inc blood levels of atrovastatin and risk complications such as liver damage | warfain is vit K anatagonist; caution with aspirin/NSAIDs
133
Patients may present with intra-oral manifestations of viral infections. Shown below is a lip lesion from Recurrent Herpes Simplex Why does Herpes Simplex become recurrent?
PRIMARY ACUTE INFECTION:Herpes simplex virus infects person at young age and travels along the trigeminal ganglion nerve and lies dormant LATENT PERIOD: This can stay there for many years REACTIVATION/RECURRENCE: Can be reactivated following triggers – stressed, immunocompromised, infection – causing a cold sore. Making it opportunistic secondary reactivation which is self limiting Cannot be cured, so this cycle can repeat
134
Patients may present with intra-oral manifestations of viral infections. Shown below is a lip lesion from Recurrent Herpes Simplex topical prep for this lesion
aciclovr cream 5%, 2g (total), 5xdaily every 4 hours for 5 days
135
Patients may present with intra-oral manifestations of viral infections. Shown below is a lip lesion from Recurrent Herpes Simplex if lesions where perisistent or extensive what other preps can you provide
systemic - aciclovir tablets 200mg, 5xdaily for 5days, total 25tablets
136
3 known triggers for herpes simplex
trauma (physcial to lip, UV rays) immunocompromised - cold/illness stress
137
fit, healthy 24-year-old female presents with recurrent oral ulceration affecting the buccal mucosa which arise in crops of 2 - 10 and last for 10 days before healing without scarring. She has always had the occasional mouth ulcer but for the past three months she is getting several ulcers at a time with only a short break between one episode and the next clinical dx
minor recurrent aphthous oral ulceration
138
fit, healthy 24-year-old female presents with recurrent oral ulceration affecting the buccal mucosa which arise in crops of 2 - 10 and last for 10 days before healing without scarring. She has always had the occasional mouth ulcer but for the past three months she is getting several ulcers at a time with only a short break between one episode and the next blood investigations appropriate for this pt
haematinics - folate, b12, ferritin coeliac disease - TTg antibody testing FBC
139
investigations show haemoglobin: 8.6 (normal 12-15g/dl) MCV: 76 (normal 78-98fl) WCC: 5.6 (normal 4-11x10^9/l) from this - dx
microcytic anaemia
140
possible causes of blood appearnce haemoglobin: 8.6 (normal 12-15g/dl) MCV: 76 (normal 78-98fl) WCC: 5.6 (normal 4-11x10^9/l) | 2
* low iron levels (due to lack of diet intake) * thalassemia (inherited anaemia means body has less haemoglobin)
141
Whilst awaiting the results of her investigations, give three topical therapies which could be offered for control of the symptoms.
Analgesics * Benzydamine mouthwash 0.15% 300 ml, Rinse or gargle using 15 ml every 1½ hours as required * Lignocaine spray10%;50 ml; Apply as necessary with a cotton bud Antimicrobials * Chlorhexidine Mouthwash, 0.2% Send: 300 ml Label: Rinse mouth for 1 minute with 10 ml twice daily * Hydrogen Peroxide Mouthwash, 6% Send: 300 ml Label: Rinse mouth for 2 minutes with 15 ml diluted in half a glass of warm water three times daily Steroid * beclometasone pressurised inhalation, CFC-free) Send: One 200-dose unit Label: 1-2 puffs directed onto ulcers twice daily * Betamethasone Soluble Tablets‡ , 500 micrograms Send: 100 tablets Label: 1 tablet dissolved in 10 ml water as a mouthwash four times daily
142
what is a supernumerary tooth
an additional tooth to the normal number in the dentition (odontoma)
143
where in the mouth do supernumereraries normally occur
between 11 and 21 (midline)
144
classification of supernumeraries | 4
Conical: * Peg/cone shaped teeth Tuberculate * Barrel shaped tooth and usually in a pair Supplemental * Morphology the same/identical to tooth Odontome * Complex: disorganised – enamel, dentine and pulp not distinct layers * Compound: organised – enamel, dentine and pulp separate layers | COST
145
effects of supernumeraries on permanent dentition | 5
* delayed/failed eruption of permanent * crowding/impaction/ectopic position of permanent teeth * diastemas * pathology – cysts * root resorption of permanent teeth
146
occlusal changes seen in persistent thumb sucking habit
proclined UI retroclined LI anterior open bite unilateral posterior cross bite narrow upper arch
147
British Standards Institure definition of class 2 dive 1 incisor relationship
lower incisors occlude posterior to cingulum plateau of upper incisors the UI are of av or slightly inc proclination
148
A patient wears a Twin-block appliance for 9 months and their overjet is reduced from 10mm to 2mm. List possible changes that functional appliances can produce to allow this. | 6
By wearing the appliance all the time the following occur: Dentoalveolar compensation/ Tipping of teeth * Retroclined upper incisors * Proclined lower incisors Bodily movement of teeth * Maxillary incisors move posteriorly towards palate * Mandibular incisors move anteriorly towards lip Growth modification (small degree) * Restricts maxillary growth * Promotes mandibular growth
149
You have conducted a clinical and radiographical examination of a 6 year old child. You have decided to provide a primary molar pulpotomy on tooth 55. indications of pulpotomy in primary molar | 6
* MHx preculdes extraction - bleeding disroders * pt co-operation allows * space maintainer - no permanent successor * primary molar with an advanced carious lesion with no clear band of dentine visible radiographically that separates lesion and pulp, no evidence of radiocular pathology * pulp exposure more than 1mm * pulpitis with irreversible symptoms (vital pulp)
150
describe stages involved in primary molar pulpotomy procedure
LA, Dam, remove caries, remove roof of pulp chamber and access pulp chamber Remove pulp tissue at 2-3mm radius around exposed area using bur Assess bleeding * if not bleeding remove more tissue * Gain haemorrhage control using a saline soaked cotton wool ball * Hyperaemia – remove more tissue Once normal bleeding has stopped (bright red not gushing and clots as normal3mins) apply nsCaOH Seal with GI Restore tooth with acid etched composite tip or SSC (or composite bandage if not enough time – need to cover all exposed dentine) remove dam and give POIG
151
during pulpotomy decide to perform pulpectomy factors influenced this decision | 2
* root canals is necrotic/non-vital * haemostasis could not be achieved thus pulp in the root canal system needed to be removed as well
152
review of pulpotomy tooth on radiograph look for | 2
Cont root development Cont thickening of dentine root wall *Apical development and no pathology *
153
assoc medical conditions with down syndrome | 6
* epilepsy * vision cateracts * hearing loss/deafness * leukaemia * congenital heart defects e.g. ventral septal defects * hypothyroidism * hypodontia
154
extra oral features of down's syndrome | 4
Bigger forehead Widely spaced eyes Short neck hypoplasia of midface – flat nose Class 3 profile
155
intra oral manifestations of down's syndrome | 6
Class 3 incisors/canines/molars Microdontia and hypodontia Macroglossia with fissures appearance Anterior open bite Immunocompromised - periodontal disease risk Reduce buffering capacity - due to different saliva components * Increase in caries Wear facets
156
preventative care tx for down's syndrome
High caries risk: preventative regime so: **High fluoride toothpaste and varnish – 28000ppm** **OHI** – teach modified bass, spit don’t rinse. Modify any brushes handles, see if they get assistance due to dexterity issues to help patient or legal individual in charge to brush patients’ teeth. **Fissure sealants applied using GIC **due to saliva (not an excess but swallowing issues) **Diet diary **– advice on decreasing sugars or keeping to meals or having water/high fluoride mouthwash after to help reduce the effects of sugar **M/H** – check medicines if high in sugar – ask GP if alternative is available **Take radiographs 6 monthly ** Increase number of appts to monitor and assist hygiene and reinforcement of OHI. Use of chlorohexidine mouth wash Atlanto-axial instability be careful and support head and neck when transferring and in chair Consent – see if they have consent of if the person with them legally has
157
6 points to trauma stamp
* colour * mobility * TTP (tender to percussion) * percussion note/sound * sinus (visible or tender in sulcus) * sensibility tests - EPT, ethyl chloride radiograph | and displacment intially
158
11 year old patient attends for a check-up. In her notes you see that she sustained a lateral luxation injury to tooth 11 around 18 months ago. type of resorption is affecting tooth 11, and what makes this form of resorption progress
External inflammatory related root resorption Trauma causes damage to the cementum and periodontal ligament and causing pulp necrosis
159
tx for 11
remove infected pulp by pulp extirpation and dress with nsCaOH RCTx and crown
160
patient and parent that the long term prognosis for the tooth is poor if the resorption fails to stop. What would you tell them about immediate, intermediate and long-term treatment options should the resorption continue?
patient and parent that the long term prognosis for the tooth is poor if the resorption fails to stop. What would you tell them about immediate, intermediate and long-term treatment options should the resorption continue?
161
patient and parent that the long term prognosis for the tooth is poor if the resorption fails to stop. What would you tell them about immediate, intermediate and long-term treatment options should the resorption continue?
Immediate: remove the source of infection by pulp extirpation with RCTx later Intermediate: need to monitor the tooth with radiographs to monitor if there is progression Long term: if progression (14mm difference) decoronate the tooth to retain bone for possible implant in the future
162
side effects of chronic use of cocaine on head and neck structures
erosion of floor of nasal cavity - creating OAC/OAF ulceration of ginigvae wear due to bruxism orofacial pain caries
163
complications of LA with adrenaline to pt recently abused cocoaine
systemic inc in BP - dizziness/nausea inc HR - heart papitations/leading to loss of consciousness Mood swings – may get aggressive | delay tx
164
side effects of opiate abuse
Addiction Vomiting, nausea Drowsiness Tachycardia Palpitations Uretic or biliary spasm
165
methadone chemical class
opiods - schedule II
166
two environmental or lifestyle factors which increase the risk of dental caries for an individual who is prescribed methadone.
Environmental: SIMD – employment status (unemployed), Crime rates (high), income (low), non-fluoridated water Lifestyle: high dietary sugar, poor OH
167
Name one negative aspect associated with the prescribing of sugar free methadone which may lead to harm
Sugar free methadone lacks chloroform therefore patient could inject this increasing the risk of adverse effects, e.g. HIV transmission through reusing needles
168
Cleaning of re-useable surgical instruments is an essential pre-requisite to ensure effective disinfection and/or sterilization. Give four reasons.
Functionality of instrument – biological debris may clot hinges in forceps and impair function of cutting tools Biological contamination – can cause misdx in biopsy if contaminated by other material debris Restorative materials – cements adhere making cleaning hard Legal requirement – Medical Devices Directive; Consumers Protective Act, Health and Safety at Work Act
169
importance of testing washer disinfector
medical legal requirement ensures it is working as it should - effectively and efficiently (Important to protect pt by making sure machine has carried out all parameters as set up during installation and validation )
170
5 stages of washer disinfector
Cold water flush – remove easy to remove contamination Wash – remove difficult to remove contamination, wash instruments and inside the machine (mechanical and chemical) Cold water rinse – remove detergents from previous stage Thermal disinfection – disinfect the instruments and inside the machine Drying – drain and dry the instruments ready for next stage