2.2.B Spine Flashcards

(43 cards)

1
Q
A
How well did you know this?
1
Not at all
2
3
4
5
Perfectly
2
Q

To demonstrate the first two cervical vertebrae in the AP recumbent projection, the patient is positioned so that

A - the glabellomeatal line is vertical.
B - the acanthiomeatal line is vertical.
C - a line between the mentum and the mastoid tip is vertical.
D - a line between the maxillary occlusal plane and the mastoid tip is vertical.

A

D - a line between the maxillary occlusal plane and the mastoid tip is vertical.

To clearly demonstrate the atlas and axis without superimposition of the teeth or the base of the skull, a line between the maxillary occlusal plane (edge of upper teeth) and mastoid tip must be vertical in the recumbent AP position. If the head is flexed too much, the teeth will be superimposed. If the head is extended too much, the cranial base will be superimposed on the area of interest. A line between the mentum and the mastoid tip is used to demonstrate the odontoid process only through the foramen magnum (Fuchs metho

How well did you know this?
1
Not at all
2
3
4
5
Perfectly
3
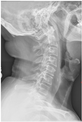
Q

When imaging the cervical spine in extension, as shown in the image below, patients should be instructed with which breathing instructions:

  1. Full exhalation
  2. Suspended respiration
  3. Full inspiration

A - 1 only
B - 3 only
C - 1 and 2 only
D - 2 and 3 only

A

C - 1 and 2 only

When imaging the cervical spine flexion/extension series, the images should be taken with suspended respiration and full exhalation. Suspended respiration indicates that the patient is holding their breath, while full expiration ensures that the patient’s shoulders remain depressed to avoid obstruction of anatomy. If the image is taken on full inspiration, the shoulders can raise into the levels of C6–C7 and block essential anatomy.

How well did you know this?
1
Not at all
2
3
4
5
Perfectly
4
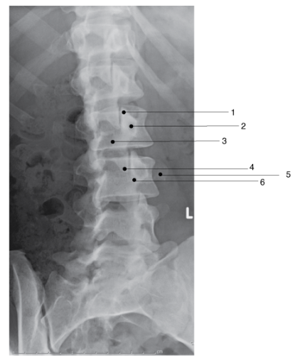
Q

What is the anatomic structure indicated by number 1 in the radiograph shown below?

A - Superior articular process
B - Inferior articular process
C - Transverse process
D - Lamina

A

A - Superior articular process

An LPO projection of the lumbar spine is shown. The patient is positioned so that the lumbar spine forms a 45-degree angle with the IR. The zygapophyseal joints (those closest to the IR) are well demonstrated in this position. The typical “Scottie dog” image is depicted. The “ear” of the Scottie is the superior articular process (number 1), and the front foot is the inferior articular process (number 4). The Scottie’s eye is the pedicle, its body is the lamina (number 3), and its nose is the transverse process (number 2).

How well did you know this?
1
Not at all
2
3
4
5
Perfectly
5
Q

In the RPO position of the cervical spine, which anatomy is demonstrated:

  1. Left intervertebral foramina
  2. Right pedicles
  3. Right intervertebral foramina
  4. Left pedicles

A - 1 and 2 only
B - 1 and 4 only
C - 2 and 3 only
D - 2 and 4 only

A

B - 1 and 4 only

For the posterior oblique positions of the cervical spine, the anatomy of interest is that furthest from the IR. For the RPO position, the anatomy of interest would be the left intervertebral foramina and the left pedicles. For a right anterior oblique position, or an RAO, the anatomy of interest would be the right intervertebral foramina and the right pedicles.

How well did you know this?
1
Not at all
2
3
4
5
Perfectly
6
Q

In Figure 2–27, the structure indicated as number 7 is which of the following?

A - Neck of rib
B - Tubercle of rib
C - Transverse process
D - Head of rib

A

D - Head of rib

The typical vertebra is divided into two portions—the anterior body and the posterior vertebral arch. The vertebral arch supports seven processes: two transverse, one spinous, two superior articular processes, and two inferior articular processes. A thoracic vertebra is shown. The thoracic vertebrae are unique in that they have downward-angling spinous processes and articulations for ribs. Numbers 5 and 10 illustrate the facets where the heads of ribs articulate to form the costovertebral articulations. Number 7 identifies the head of the rib. Number 2 illustrates the rib tubercle, which articulates with the transverse process facet to form the costotransverse articulation.

How well did you know this?
1
Not at all
2
3
4
5
Perfectly
7
Q

Which of the following is (are) demonstrated in the lateral projection of the thoracic spine?

  1. Intervertebral spaces
  2. Zygapophyseal joints
  3. Intervertebral foramina

A - 1 only
B - 2 only
C - 1 and 3 only
D - 1, 2, and 3

A

C - 1 and 3 only

The thoracic intervertebral (disk) spaces are demonstrated in the AP and lateral projections, although they are probably best demonstrated in the lateral projection. The thoracic zygapophyseal joints are 70 degrees to the MSP and are demonstrated in a steep (70-degree) oblique position. The thoracic intervertebral foramina, formed by the vertebral notches of the pedicles, are 90 deg

How well did you know this?
1
Not at all
2
3
4
5
Perfectly
8
Q

The pedicle is represented by what part of the “Scottie dog” seen in a correctly positioned oblique lumbar spine?

A - Eye
B - Front foot
C - Body
D - Neck

A

A - Eye

The 45° oblique position of the lumbar spine is generally performed for demonstration of the zygapophyseal joints. In a correctly positioned oblique lumbar spine, “Scottie dog” images are demonstrated. The Scottie’s ear corresponds to the superior articular process, his nose to the transverse process, his eye to the pedicle, his neck to the pars interarticularis, his body to the lamina, and his front foot to the inferior articular process.

How well did you know this?
1
Not at all
2
3
4
5
Perfectly
9
Q

What is the anatomic structure indicated by number 4 in the radiograph below?

A - Superior articular process
B - Inferior articular process
C - Pedicle
D - Lamina

A

B - Inferior articular process

An LPO position of the lumbar spine is shown. The patient is positioned so that the lumbar spine forms a 45-degree angle with the IR. The zygapophyseal joints (those closest to the IR) are well demonstrated in this position. The typical “Scottie dog” image is depicted. The “ear” of the Scottie is the superior articular process (number 1), and the front foot is the inferior articular process (number 4). The Scottie’s eye is the pedicle (number 2), its body is the lamina (number 3), its nose is the transverse process (number 5), and its neck is the pars interarticularis (number 6).

How well did you know this?
1
Not at all
2
3
4
5
Perfectly
10
Q

What is the anatomic structure indicated by the number 3 in the radiograph in Figure 6–12?

A - Spinous process
B - Transverse process
C - Pedicle
D - Intervertebral foramen

A

B - Transverse process

An oblique projection of the cervical spine is shown. The patient has been accurately positioned RAO with the MSP 45 degrees to the IR and the CR angled 15 to 20 degrees caudad, but the chin should be elevated to avoid superimposition on the first two cervical vertebrae. This position offers excellent delineation of the intervertebral foramina (number 1) formed by the adjacent vertebral notches of pedicles (number 2). This projection gives an “end-on” view of the transverse processes (number 3). A portion of the spinous processes (number 4) may be seen, especially in the lower cervical vertebrae.

How well did you know this?
1
Not at all
2
3
4
5
Perfectly
11
Q

An AP axial projection of the cervical spine is performed with a central ray angle directed 15 to 20 degrees cephalad. This will result in:

A - Visualization of intervertebral foramina on the resulting radiograph.
B - Visualization of intervertebral disk spaces on the resulting radiograph.
C - A non-diagnostic image, as the central ray should be directed caudal for the AP axial projection.
D - Visualization of the zygapophyseal joint spaces on the resulting radiograph.

A

B - Visualization of intervertebral disk spaces on the resulting radiograph.

The AP axial projection is performed with a 15–20 degree cephalad angle, which aligns the direction of the central ray with the plane of the intervertebral disk spaces. The intervertebral foramina appear on oblique projections, while zygapophyseal joints of the cervical spine can be seen on a lateral projection. It is strongly recommended that a student preparing for the credentialing exam construct a table of which anatomy appears on which projections for the entire spine, as this is common material from which comprehensive assessmen

How well did you know this?
1
Not at all
2
3
4
5
Perfectly
12
Q

The right anterior oblique position of the cervical spine requires which of the following combinations of tube angle and direction?

A - 15° to 20° caudad
B - 15° to 20° cephalad
C - 25° to 30° caudad
D - 25° to 30° cephalad

A

A - 15° to 20° caudad

The oblique position/projection is used to demonstrate the cervical intervertebral foramina. The cervical intervertebral foramina lie 45° to the midsagittal plane and 15° to 20° to the transverse plane. When the posterior oblique position (LPO, RPO) is used, the central ray is directed 15° to 20° cephalad and the cervical intervertebral foramina demonstrated are those farther from the image receptor, resulting in some magnification of the foramina because of the increased OID. In the anterior oblique position (LAO, RAO), the central r

How well did you know this?
1
Not at all
2
3
4
5
Perfectly
13
Q

A lateral projection of the larynx and upper/proximal trachea is occasionally required to rule out foreign body or pathology. The CR should be directed

A - just below the EAM
B - to the level of the mandibular angles
C - to the level of C4
D - midway between laryngeal prominence and jugular notch

A

D - midway between laryngeal prominence and jugular notch

For the lateral projection of the upper airway, larynx, and upper trachea, the central ray is directed to the level of C6 or C7, midway between the laryngeal prominence and the jugular notch. The central ray is directed to C4 for a lateral projection of the cervical spine.

How well did you know this?
1
Not at all
2
3
4
5
Perfectly
14
Q

The thoracic zygapophyseal joints are demonstrated with the

A - coronal plane 90 degrees to the IR
B - midsagittal plane 90 degrees to the IR
C - coronal plane 20 degrees to the IR
D - midsagittal plane 20 degrees to the IR

A

D - midsagittal plane 20 degrees to the IR

The thoracic zygapophyseal joints are demonstrated in an oblique position with the coronal plane 70 degrees to the IR, which is equivalent to placing the midsagittal plane 20 degrees to the IR. This may be accomplished by first placing the patient lateral and then obliquing the patient 20 degrees off lateral. The zygapophyseal joints closest to the IR are demonstrated in the PA oblique projection, and those farthest from the IR are demonstrated in the AP oblique projection. The thoracic intervertebral foramina are demonstrated in the lateral projection, which places the midsagittal plane parallel to the IR and the coronal plane perpendicular to

How well did you know this?
1
Not at all
2
3
4
5
Perfectly
15
Q

Which of the following positions would demonstrate the right lumbar zygapophyseal articulations closest to the IR?

A - LAO
B - RAO
C - LPO
D - RPO

A

D - RPO

The posterior oblique positions (LPO and RPO) of the lumbar vertebrae demonstrate the zygapophyseal joints closer to the IR. The left zygapophyseal joints are demonstrated in the LPO position, whereas the right zygapophyseal joints are demonstrated in the RPO position. The lateral position is useful to demonstrate the intervertebral disk spaces, intervertebral foramina, and spinous processes.

How well did you know this?
1
Not at all
2
3
4
5
Perfectly
16
Q

When performing the lateral hyperflexion and hyperextension lumbar series, which of the following is true:

A - The SID is increased to 72 inches to account for air gap
B - The pelvis should act as a fulcrum during the series
C - Images are taken on suspended inspiration for consistent density
D - The bottom of the IR should reach the coccyx

A

B - The pelvis should act as a fulcrum during the series

During this series, the pelvis should act as a fulcrum, or pivot point, for the spine. When performing the series standing, it is imperative that the flexion and extension come from the spine rather than the hips; the pivot should not extend to the hip joints. The SID will remain at 48 inches; no significant air gap is present. All images in this series are taken at suspended expiration; inspiration would cause the lung fields to expand and create differences in receptor exposure. The bottom of

How well did you know this?
1
Not at all
2
3
4
5
Perfectly
17
Q

Which of the following positions will best demonstrate the lumbosacral zygapophyseal articulation?

A - AP
B - Lateral
C - 15–35-degree RPO
D - 45–60-degree LPO

A

D - 45–60-degree LPO

The articular facets (zygapophyseal joints) of the lumbar spine are oriented 30 to 60 degrees to the midsagittal plane. This angle increases from superior to inferior levels, with the upper lumbar spine at approximately 15 degrees, the mid lumbar spine at approximately 30 degrees, and the lower lumba

How well did you know this?
1
Not at all
2
3
4
5
Perfectly
18
Q

Which of the following is (are) demonstrated in the AP projection of the thoracic spine?

  1. Intervertebral spaces
  2. Zygapophyseal joints
  3. Intervertebral foramina

A - 1 only
B - 2 only
C - 1 and 3
D - 1, 2, and 3

A

A - 1 only

The thoracic intervertebral (disk) spaces are demonstrated in the AP and lateral projections, although they are probably best demonstrated in the lateral projection. The thoracic zygapophyseal joints are 70° to the MSP and are demonstrated in a steep (70°) oblique position. The thoracic intervertebral foramina, formed by the vertebral notches of the pedicles, are 90° to the MSP and are therefore well demonstrated in the lateral position.
``

19
Q

Which of the following is (are) well demonstrated in the lumbar spine shown in Figure 2–35?

  1. Zygapophyseal articulations
  2. Intervertebral foramina
  3. Inferior articular processes

A - 1 only
B - 1 and 2 only
C - 1 and 3 only
D - 1, 2, and 3

A

C - 1 and 3 only

An oblique projection of the lumbar spine is shown. This is a 45-degree LPO projection demonstrating the zygapophyseal joints closest to the IR. The zygapophyseal joints are formed by the articulation of the inferior articular facets of one vertebra with the superior articular facets of the vertebra below. Note the “Scottie dog” images that appear in the oblique lumbar spine. Intervertebral foramina are best visualized in the lateral lumbar position

20
Q

To visualize or “open” the right sacroiliac joint, the patient is positioned

A - 30 to 40 degrees LPO
B - 30 to 40 degrees RPO
C - 25 to 30 degrees LPO
D - 25 to 30 degrees RPO

A

C - 25 to 30 degrees LPO

Sacroiliac joints lie obliquely within the pelvis and open anteriorly at an angle of 25 to 30 degrees to the midsagittal plane. A 25– to 30–degree oblique position places the joints perpendicular to the IR. The right sacroiliac joint may be demonstrated in the LPO and RAO positions with little magnification variation.

21
Q

Which of the following statements is (are) correct with respect to the images shown in Figure 2–23?

  1. Image A was made with cephalad angulation.
  2. Image B was made with cephalad angulation.
  3. Images A and B were made with CR directed 15 degrees cephalad.

A - 1 only
B - 2 only
C - 2 and 3 only
D - 1, 2, and 3

A

A - 1 only

There are five fused sacral vertebrae; the fused transverse processes form the alae. The anterior and posterior sacral foramina transmit spinal nerves. The sacrum articulates superiorly with the fifth lumbar vertebra, forming the L5–S1 articulation, and inferiorly with the coccyx, forming the sacrococcygeal joint. The sacrum curves posteriorly and inferiorly, whereas the coccyx curves anteriorly; thus, they require different tube angles to “open them up.” Image A demonstrates an AP axial projection of the sacrum with a central ray angulation of 15 degrees cephalad. Image B is an AP axial projection of the coccyx using the required 10-degree caudal central ray angle.
`

22
Q

Which of the following statements regarding myelography is (are) correct?

  1. Spinal puncture may be performed in the prone or flexed lateral position.
  2. Contrast medium distribution is regulated through x-ray tube angulation.
  3. The patient’s neck must be in extension during Trendelenburg positions.

A - 1 only
B - 1 and 2 only
C - 1 and 3 only
D - 1, 2, and 3

A

C - 1 and 3 only

Myelography is a radiologic examination of the structures within the spinal canal. Opaque contrast medium is usually used. Following injection, the contrast medium is distributed to the vertebral region of interest by gravity; the table is angled Trendelenburg for visualization of the cervical region and in the Fowler position for visualization of the thoracic and lumbar regions. Although the table is Trendelenburg, care must be taken that the patient’s neck is kept in acute extension to compress the cisterna magna and keep contrast medium from traveling into the ventricles of the brain.

23
Q

The anterior and posterior portions of the first cervical vertebra are separated by:

A - Achilles tendon
B - transverse axial ligament
C - transverse atlantal ligament
D - longitudinal axial ligament

A

C - transverse atlantal ligament

There are seven cervical vertebrae. The atlas (C1) is a ring-shaped bone having no body and no spinous process; it is composed of an anterior arch and a posterior arch, two lateral masses, and two transverse processes. The anterior arch has a tubercle at its midpoint and a facet on its posterior surface for articulation with the anterior portion of the odontoid process (dens). The posterior arch also has a tubercle. The anterior and posterior arches are separated by the transverse atlantal ligament. The lateral masses have superior articular processes that articulate with the skull at the atlanto-occipital joint, where flexion and extension occur, and articulate inferiorly with the axis (C2

24
Q

In the anterior oblique position of the cervical spine, the structures best seen are the

A - intervertebral foramina nearest the IR
B - intervertebral foramina furthest from the IR
C - interarticular joints
D - intervertebral joints

A

A - intervertebral foramina nearest the IR

The cervical intervertebral foramina lie 45 degrees to the midsagittal plane and 15 to 20 degrees to a transverse plane. When the anterior oblique position (LAO or RAO) is used, the cervical intervertebral foramina demonstrated are those closer to the IR. In the posterior oblique position (LPO or RPO), the foramina disclosed are those farther from the IR; therefore, some magnification of the foramina occurs in posterior oblique positions. The interarticular (zygapophyseal) joints and intervertebral joints are best visualized

25
Critique the lateral cervical spine seen in Figure 2–1 and select the most correct statement below. A - The chin has been depressed too much. B - The chin needs to be extended more. C - The head is tilted. D - The shoulders are not depressed enough.
D - The shoulders are not depressed enough. The lateral projection of the cervical spine requires that the MSP be parallel to the IR and the MCP be perpendicular to the IR. The chin must be elevated enough so as not to superimpose the mandibular angles on cervical structures—yet not so much that the base of the skull obscures cervical structures. The degree of flexion/extension is appropriate in this image; no cervical structures are obscured. The vertebrae are symmetrical—no rotation is present. However, C7 is not clearly delineated, and its all-important articulation with T1 is not visible. This indicates that the shoulders are not sufficiently depressed. ``
26
Which of the following positions will best demonstrate the right zygapophyseal articulations of the lumbar vertebrae? A - PA B - Left lateral C - RPO D - LPO
C - RPO The posterior oblique positions (LPO and RPO) of the lumbar vertebrae demonstrate the zygapophyseal joints closer to the IR. The left zygapophyseal joints are demonstrated in the LPO position, whereas the right zygapophyseal joints are demonstrated in the RPO position. The lateral position is useful to demonstrate the intervertebral disk spaces, intervertebral foramina, and spinous processes.
27
Which of the following vertebral groups form(s) lordotic curve(s)? 1. Cervical 2. Thoracic 3. Lumbar A - 1 only B - 2 only C - 1 and 2 only D - 1 and 3 only
D - 1 and 3 only The lordotic curves are secondary curves; that is, they develop sometime after birth. The cervical and lumbar vertebrae form lordotic curves. The thoracic and sacral vertebrae exhibit the primary kyphotic curves, those that are present at birth.
28
At approximately what level do the carotid arteries bifurcate? A - Foramen magnum B - Trachea C - Laryngopharynx D - Nasopharynx
C - Laryngopharynx The common carotid arteries function to supply oxygenated blood to the head and neck. Major branches of the common carotid arteries—the internal carotids—supply the anterior brain, whereas the posterior brain is supplied by the vertebral arteries (branches of the subclavian). The carotid arteries bifurcate into internal and external carotid arteries at approximately the level of C4, which corresponds to the laryngopharynx. The foramen magnum and nasopharynx are superior to the level of bifurcation, and the trachea is inferior to the level of bifurcation.
29
The articular facets of L5–S1 are best demonstrated in a(n) A - AP projection B - 30-degree LPO or RPO C - 75-degree LPO or RPO D - AP axial
B - 30-degree LPO or RPO Lumbar articular facets, forming the zygapophyseal joints, are demonstrated in the oblique position. L1 through L4 are best demonstrated in a 45-degree oblique position, while L5–S1 are best seen in a 30-degree oblique (up to a 60-degree oblique may be required). The AP axial projection is used to demonstrate an AP projection of L5–S1.
30
Which of the following projections can be used to supplement the traditional “open-mouth” projection when the upper portion of the odontoid process cannot be well demonstrated? A - AP or PA through the foramen magnum B - AP oblique with right and left head rotation C - Horizontal beam lateral D - AP axial
A - AP or PA through the foramen magnum A diagnostic image of C1–C2 depends on adjusting the flexion of the neck so that the maxillary occlusal plane and the base of the skull are superimposed. Accurate adjustment of these structures usually allows good visualization of the odontoid process and the atlantoaxial articulation. When patient anatomy occasionally prevents the usual visualization, the odontoid process can be visualized through the foramen magnum, either AP or PA. In the AP position (Fuchs method) or the PA position (Judd method), the patient’s chin is e
31
Which of the following is (are) demonstrated in the lateral projection of the cervical spine? 1. Intervertebral joints 2. Zygapophyseal joints 3. Intervertebral foramina A - 1 only B - 1 and 2 only C - 2 and 3 only D - 1, 2, and 3
B - 1 and 2 only Intervertebral joints are well visualized in the lateral projection of all the vertebral groups. Cervical articular facets, which form the zygapophyseal joints, are oriented 90 degrees to the midsagittal plane and therefore are well demonstrated in the lateral projection. The cervical intervertebral foramina lie 45 degrees to the midsagittal plane (and 15–20 degrees to a transverse plane) and therefore are demonstrated in the oblique positio
32
Which projection would best demonstrate the intervertebral foramina of the thoracic vertebrae? A - 70° oblique B - AP C - Lateral D - 45° oblique
C - Lateral Intervertebral foramina appear in lateral projections of the thoracic and lumbar spine, whereas they are demonstrated in oblique projections of the cervical spine. Zygapophyseal joints appear in oblique projections for the thoracic and lumbar regions and in the lateral projection for the cervical spine. Thoracic oblique projections are performed at 70° from the AP position (or 20° from lateral), but these are used to demonstrate the zygapophyseal joints rather than the intervertebral foramina. `
33
Which of the following is (are) demonstrated in a lateral projection of the cervical spine? 1. Intervertebral foramina 2. Zygapophyseal joints 3. Intervertebral joints A - 1 only B - 1 and 2 only C - 2 and 3 only D - 1, 2, and 3
C - 2 and 3 only Intervertebral joints, which are occupied by the intervertebral disks, are well visualized in the lateral projection of all the vertebral groups. Cervical articular facets, forming the zygapophyseal (interarticular) joints, are oriented 90 degrees to the midsagittal plane and therefore are well demonstrated in the lateral projection. The cervical intervertebral foramina lie 45 degrees to the midsagittal plane (and 15–20 degrees to a transverse plane) and therefore are demonstrated in the oblique position.
34
Which of the following is (are) well demonstrated in the lumbar spine pictured in Figure 2–8? 1. Zygapophyseal articulations 2. Intervertebral foramina 3. Pedicles A - 1 only B - 1 and 2 only C - 2 and 3 only D - 1, 2, and 3
C - 2 and 3 only A lateral projection of the lumbar spine is illustrated. The intervertebral articulations (disk spaces) are well demonstrated. Because the intervertebral foramina, which are formed by the pedicles, are 90 degrees to the midsagittal plane, they are also well demonstrated in the lateral projection. The articular facets, forming the zygapophyseal joints, lie 30 to 50 degrees to the midsagittal plane and are visualized in the oblique position. ``
35
Which of the following radiographic procedures requires an intrathecal injection? A - IV pyelogram B - Myelogram C - Lymphangiogram D - Computed tomography (CT)
B - Myelogram A myelogram, or radiographic examination of the spinal canal, requires an intrathecal (intraspinal) injection. Intrathecal administration of contrast medium is usually at the level of L2–L3 or L3–L4. An intravenous pyelogram is performed with an injection of contrast medium into the venous system. A lymphangiogram requires that contrast medium be delivered into the lymphatic vessels. A CT scan may or may not require the use of an IV injection.
36
The natural curve of the lumbar spine is similar to the curve found in the: 1. cervical spine 2. thoracic spine 3. sacrum A - 1 only B - 1 and 2 only C - 1 and 3 only D - 2 and 3 only
A - 1 only The cervical and lumbar regions form lordotic (convex anteriorly) curves. The thoracic and sacral regions form kyphotic (convex posteriorly) curves. An exaggerated thoracic curve is called kyphosis (hunchback), and an exaggerated lumbar curve is called lordosis (sway-back). Lateral curvature of the vertebral column is called scoliosis.
37
The lumbar lamina is represented by what part of the “Scottie dog” seen in a correctly positioned oblique lumbar spine view? A - Eye B - Nose C - Body D - Neck
C - Body The 45-degree oblique projection of the lumbar spine generally is performed for demonstration of the apophyseal (zygapophyseal) joints. In a correctly positioned oblique lumbar spine, “Scottie dog” images are demonstrated. The Scottie’s ear corresponds to the superior articular process, his nose to the transverse process, his eye to the pedicle, his neck to the pars interarticularis (the small portion of the lamina between the superior and inferior articular processes), his body to the largest portion of the lamina, and his front foot to the inferio
38
An accurately positioned oblique projection of the first through fourth lumbar vertebrae will demonstrate the classic “Scottie dog.” What bony structure does the Scottie dog’s neck represent? A - Superior articular process B - Pedicle C - Transverse process D - Pars interarticularis
D - Pars interarticularis The 45-degree oblique position of the lumbar spine is generally performed for demonstration of the zygapophyseal joints. In a correctly positioned oblique lumbar spine, “Scottie dog” images are demonstrated. The Scottie’s ear corresponds to the superior articular process, his nose to the transverse process, his eye to the pedicle, his neck to the pars interarticularis, his body to the lamina, and his front foot to the inferior articular process. `
39
Intervertebral foramina will be demonstrated in which of the following projections? 1. Lateral cervical spine 2. Lateral thoracic spine 3. Lateral lumbar spine A - 1 only B - 1 and 2 only C - 2 and 3 only D - 1, 2, and 3
C - 2 and 3 only The intervertebral foramina of the thoracic and lumbar vertebrae are best demonstrated in the lateral projection. The cervical intervertebral foramina are well demonstrated when placed 45 degrees to the image receptor and central ray, which corresponds to oblique cervical spine projections rather than the lateral projection.
40
In the example radiograph below of the cross-table hip projection, which number represents the lesser trochanter? A - 2 B - 5 C - 4 D - 1
C - 4 In the labeled cross-table hip radiograph, the anatomic structures correspond as follows: number 1 identifies the femoral neck, number 2 the greater trochanter, number 3 the ischial tuberosity, number 4 the lesser trochanter, and number 5 the acetabulum. Therefore, the lesser trochanter is represented by number 4. ``
41
Which of the following are required for the AP axial projection of L5–S1: 1. CR 25° cephalic for females 2. Centering at the ASIS 3. Support under the knees for comfort and reduction of pelvic tilt A - 2 only B - 1 and 2 only C - 2 and 3 only D - 1, 2, and 3
C - 2 and 3 only For the AP axial projection of the lumbar spine, the goal is to open the joint space between L5 and S1. The central ray is centered at the level of the ASIS, with the patient’s knees flexed to provide comfort. Alternatively, a support cushion may be placed under the knees to reduce pelvic tilt. A cephalic angulation of approximately 30° for males and 35° for females is required for adequate joint space opening; therefore, a 25° cephalic angle for females is incorrect.
42
Which of the following refers to parts nearer the point of attachment, point of reference, origin, or beginning? A - Distal B - Lateral C - Medial D - Proximal
D - Proximal The term proximal refers to anatomical parts nearer the point of attachment, point of reference, origin, or beginning. Distal refers to anatomical parts farthest from the point of attachment, point of origin, or beginning. Lateral refers to anatomical parts away from the midsagittal plane of the body or away from the midline of another body part to the right or left. Medial refers to anatomical parts toward the midsagittal plane of the body or toward the middle of another body part.
43
For the lateral thoracic spine breathing technique, how long of an exposure is needed to adequately blur out overlying ribs and lung markings? A - 2–3 seconds B - 4–5 seconds C - 6–8 seconds D - 9–10 seconds
A - 2–3 seconds The breathing technique for the lateral thoracic spine is useful for demonstrating vertebral pathology by blurring out lung markings and overlying ribs. This technique, when the patient can cooperate, typically requires a 2–3 second exposure time. A low mA setting is used because of the longer exposure.