2.5.A Extremities Flashcards

(55 cards)

1
Q

Tangential axial projections of the patella can be obtained in which of the following positions?

  1. supine flexion 45° (Merchant)
  2. prone flexion 90° (Settegast)
  3. prone flexion 55° (Hughston)

A - 1 only
B - 1 and 2 only
C - 2 and 3 only
D - 1, 2, and 3 only

A

D - 1, 2, and 3 only

The tangential axial projections of the patella are also often referred to as “sunrise” or “skyline” views. The supine flexion 45° (Merchant) position requires a special apparatus, and the patellae can be examined bilaterally. This position also requires patient comfort without muscle tension—muscle tension can cause a subluxed patella to be pulled into the intercondyler sulcus, giving the appearance of a normal patella. The two prone positions differ according to the degree of flexion employed. The 90° flexion (Settegast) position must not be employed with suspected patellar fracture.

How well did you know this?
1
Not at all
2
3
4
5
Perfectly
2
Q

Which structure is identified by 5 in the image shown?

A - Cuboid
B - Navicular
C - Posterior talar process
D - Medial cuneiform

A

A - Cuboid

1) Subtalar joint
2) Tibiotalar joint
3) Navicular
4) Medial cuneiform
5) Cuboid

How well did you know this?
1
Not at all
2
3
4
5
Perfectly
3
Q

For the scapular Y lateral shoulder view, which adjustment should be made?

A - Adjust patient rotation to bring the humeral head further away from the ribs
B - Adjust patient rotation to bring the humeral head closer to the ribs
C - Abduct and internally rotate the humerus
D - Adduct and externally rotate the humerus

A

B - Adjust patient rotation to bring the humeral head closer to the ribs

For the scapular Y lateral shoulder view, an ideal radiograph demonstrates the true lateral of the scapula with the humeral head superimposed over the “Y” junction. In the image demonstrated, the patient is underrotated; this requires increased patient rotation to bring the humeral head closer to the ribs so that it sits within the “Y” of the acromion and coracoid. Decreasing patient rotation would bring the humeral head further away from the scapula.

How well did you know this?
1
Not at all
2
3
4
5
Perfectly
4
Q

The structures of the proximal radius, including the radial head and tuberosity, are either partially or completely superimposed on all projections of the elbow, EXCEPT:

A - Coyle method, with flexion of 80 degrees at the elbow joint, and the tube angled 45 degrees away from the shoulder.
B - AP projection of the elbow.
C - AP oblique with medial rotation.
D - AP oblique with lateral rotation.

A

D - AP oblique with lateral rotation.

While the Coyle method is useful to substitute for oblique projections when the patient is unable to extend the forearm, the Coyle method described in choice A is used to isolate the coronoid process free of superimposition. Likewise, the AP oblique with medial rotation also reveals the coronoid process. The AP projection will reveal the radial tuberosity superimposed on the diaphysis of the ulna. Only an AP oblique with lateral rotation will present the proximal radius free of superimposition with the ulna.

How well did you know this?
1
Not at all
2
3
4
5
Perfectly
5
Q

The structures of the proximal radius, including the radial head and tuberosity, are either partially or completely superimposed on all projections of the elbow, EXCEPT:

A - Coyle method, with flexion of 80 degrees at the elbow joint, and the tube angled 45 degrees away from the shoulder.
B - AP projection of the elbow.
C - AP oblique with medial rotation.
D - AP oblique with lateral rotation.

A

D - AP oblique with lateral rotation.

While the Coyle method is useful to substitute for oblique projections when the patient is unable to extend the forearm, the Coyle method described in choice A is used to isolate the coronoid process free of superimposition. Likewise, the AP oblique with medial rotation also reveals the coronoid process. The AP projection will reveal the radial tuberosity superimposed on the diaphysis of the ulna. Only an AP oblique with lateral rotation will present the proximal radius free of superimposition with the ulna.

How well did you know this?
1
Not at all
2
3
4
5
Perfectly
6
Q

Ulnar deviation will best demonstrate which carpal(s)?

  1. Medial carpals
  2. Lateral carpals
  3. Scaphoid

A - 1 only
B - 1 and 2 only
C - 2 and 3 only
D - 1, 2, and 3

A

C - 2 and 3 only

The carpal scaphoid is somewhat curved and consequently foreshortened radiographically in the PA position. To better separate it from the adjacent carpals, the ulnar deviation maneuver is employed frequently. In addition to correcting foreshortening of the scaphoid, ulnar deviation opens the interspaces between adjacent lateral carpals. Radial deviation is used to better demonstrate medial carpals.

How well did you know this?
1
Not at all
2
3
4
5
Perfectly
7
Q

The medical term for congenital clubfoot is

A - coxa plana.
B - osteochondritis.
C - talipes.
D - muscular dystrophy.

A

C - talipes.

Talipes is the term used to describe congenital clubfoot. There are several types of talipes, generally characterized by a deformed talus and a shortened Achilles tendon, giving the foot a clubfoot appearance. Osteochondritis (Osgood–Schlatter disease) is a painful incomplete separation of the tibial tuberosity from the tibial shaft. It is often seen in active adolescent boys. Coxa plana (Legg–Calvé–Perthes disease) is ischemic necrosis leading to flattening of the femoral head. Muscular dystrophy is a congenital disorder characterized by wasting of skeletal muscles.

How well did you know this?
1
Not at all
2
3
4
5
Perfectly
8
Q

When positioning for the PA projection of the wrist, arching the hand by slightly curling the fingers works to

  1. Reduce OID
  2. Demonstrate the carpal tunnel
  3. Better visualize intercarpal joint spaces
  4. Project the scaphoid free of superimposition

A - 1 and 2
B - 2 and 3
C - 1 and 3
D - 2 and 4

A

C - 1 and 3

A slight arch of the hand helps bring the anterior surface of the wrist closer to the IR, achieving reduced OID (1) and better visualization of the intercarpal joint spaces (3) due to alignment with diverging rays. The carpal tunnel is best demonstrated through the Gaynor-Hart method of tangential wrist projection (2). In order to free the scaphoid from superimposition, the wrist must be placed in ulnar deviation (4).

How well did you know this?
1
Not at all
2
3
4
5
Perfectly
9
Q

The structure indicated by 2 is the

A - Base of the 2nd metacarpal
B - Pisiform
C - Trapezium
D - Trapezoid

A

C - Trapezium

The image illustrates a semipronation oblique of the wrist. This projection best demonstrates the lateral carpals. An oblique of the proximal metacarpals and distal radius and ulna are also visualized. The base of the second metacarpal is number 1. Just lateral is seen the first carpometacarpal joint—the trapezium (lateral carpal, distal row) is labeled number 2. The scaphoid (lateral carpal, proximal row) is number 3. The pisiform is labeled number 4. The radial styloid process is number 5 and the ulnar styloid process is number 6.

How well did you know this?
1
Not at all
2
3
4
5
Perfectly
10
Q

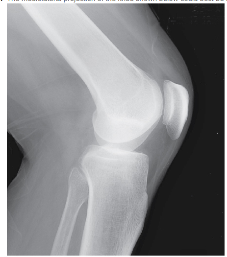
To improve this view of the mediolateral knee, how could it be improved?

A - rotating the patient forward

B - rotating the patient backward

C - angling the central ray (CR) about 5 degrees caudad

D - angling the CR about 5 degrees cephalad

A

D - angling the CR about 5 degrees cephalad

The knee is formed by the proximal tibia, the patella, and the distal femur, which articulate to form the femorotibial and femoropatellar joints. The distal posterior femur presents two large medial and lateral condyles separated by the deep intercondyloid fossa. Because the medial femoral condyle is further from the IR, it is magnified and will obscure the femorotibial joint space, as seen in the figure. If the CR is angled about 5 degrees cephalad, the medial femoral condyle will be projected superiorly and superimposed on the lateral femoral condyle, thus opening the joint space. The patient should lie on the affected side with the patella perpendicular to the tabletop and the knee flexed 20 to 30 degrees. Rotating the part forward or backward will affect visualization of the femoropatellar joint.

How well did you know this?
1
Not at all
2
3
4
5
Perfectly
11
Q

Valid evaluation criteria for a lateral projection of the forearm requires that
1. the epicondyles be parallel to the IR.
2. the radius and ulna be superimposed distally.
3. the radial tuberosity should face anteriorly.

A - 1 only

B - 1 and 2 only

C - 2 and 3 only

D - 1, 2, and 3

A

C - 2 and 3 only

To accurately position a lateral forearm, the elbow must form a 90-degree angle with the humeral epicondyles perpendicular to the IR and superimposed. The radius and ulna are superimposed distally. Proximally, the coronoid process and radial head are superimposed, and the radial head faces anteriorly. Failure of the elbow to form a 90-degree angle or the hand to be lateral results in a less than satisfactory lateral projection of the forearm.

How well did you know this?
1
Not at all
2
3
4
5
Perfectly
12
Q

Which of the following are visible on the mortise view of the ankle?
1. Talotibial joint
2. Talofibular joint
3. Talocalcaneal joint

A - 1 only

B - 1 and 2 only

C - 1 and 3 only

D - 2 and 3 only

A

B - 1 and 2 only

The mortise view of the ankle is a 15-20-degree medial oblique position utilized to demonstrate the mortise joint. The mortise joint is comprised of the 3 articular surfaces between the fibula, tibia, and talus. The joint spaces visualized with the mortise position include the talotibial (1) and talofibular (2). The talocalcaneal joint is not well visualized from the mortise position as it is superimposed by the tarsals.

How well did you know this?
1
Not at all
2
3
4
5
Perfectly
13
Q

In the lateral projection of the scapula, the
1. vertebral and axillary borders are superimposed.
2. acromion and coracoid processes are superimposed.
3. inferior angle is superimposed on the ribs.

A - 1 only

B - 1 and 2 only

C - 1 and 3 only

D - 1, 2, and 3

A

A - 1 only

A lateral projection of the scapula superimposes its medial and lateral borders (vertebral and axillary, respectively). The coracoid and acromion processes should be readily identified separately (not superimposed) in the lateral projection. The entire scapula should be free of superimposition with the ribs. The erect position is probably the most comfortable position for a patient with scapular pain.

How well did you know this?
1
Not at all
2
3
4
5
Perfectly
14
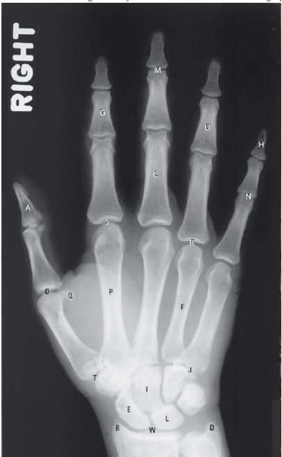
Q

L Identifies:

A - Hamate

B - Lunate

C - Scaphoid

D - Trapezium

A

B - Lunate

The eight carpal bones are well visualized in this PA projection of the hand and wrist. The letters E (scaphoid) and L (lunate) are in the proximal carpal row. The capitate (I) is seen in the distal carpal row; just lateral to the capitate is the carpal trapezium, seen articulating with the base of the first metacarpal. The PA projection of the hand provides an oblique projection of the first finger (thumb).

How well did you know this?
1
Not at all
2
3
4
5
Perfectly
15
Q

Which of the following is proximal to the carpal bones?

A - Distal interphalangeal joints

B - Proximal interphalangeal joints

C - Metacarpals

D - Radial styloid process

A

D - Radial styloid process

The term proximal refers to structures closer to the point of attachment. For example, the elbow is described as being proximal to the wrist; that is, the elbow is closer to the point of attachment (the shoulder) than is the wrist. Referring to the question, then, the interphalangeal joints (both proximal and distal) and the metacarpals are both distal to the carpal bones. The radial styloid process is proximal to the carpals.

How well did you know this?
1
Not at all
2
3
4
5
Perfectly
16
Q

Which of the following projections require(s) that the shoulder be placed in external rotation?
1. AP humerus
2. Lateral forearm
3. Lateral humerus

A - 1 only

B - 1 and 2 only

C - 2 and 3 only

D - 1, 2, and 3

A

A - 1 only

When the arm is placed in the AP position, the epicondyles are parallel to the plane of the cassette, and the shoulder is placed in external rotation. In this position, an AP projection of the humerus, elbow, and forearm can be obtained. For the lateral projection of the humerus, elbow, or forearm, the epicondyles must be perpendicular to the plane of the cassette.

How well did you know this?
1
Not at all
2
3
4
5
Perfectly
17
Q

Which of the following projections of the elbow should demonstrate the radial head free of ulnar superimposition?

A - AP

B - Lateral

C - Medial oblique

D - Lateral oblique

A

D - Lateral oblique

On the AP projection of the elbow, the radial head and ulna normally are somewhat superimposed. The lateral oblique projection demonstrates the radial head free of ulnar superimposition. The lateral projection demonstrates the olecranon process in profile. The medial oblique projection demonstrates considerable overlap of the proximal radius and ulna but should clearly demonstrate the coronoid process free of superimposition and the olecranon process within the olecranon fossa.

How well did you know this?
1
Not at all
2
3
4
5
Perfectly
18
Q

What does 5 identify?

A - Trapezium

B - Scaphoid

C - Ulnar styloid

D - Radial styloid

A

D - Radial styloid

The image illustrates a semipronation oblique of the wrist. This projection best demonstrates the lateral carpals. An oblique of the proximal metacarpals and distal radius and ulna are also visualized. The base of the second metacarpal is number 1. Just lateral, is seen the first carpometacarpal joint—the trapezium (lateral carpal, distal row) is labeled number 2. The scaphoid (lateral carpal, proximal row) is number 3. The pisiform is labeled number 4. The radial styloid process is number 5 and the ulnar styloid process is number 6.

How well did you know this?
1
Not at all
2
3
4
5
Perfectly
19
Q

During knee arthrography, into what space is the contrast medium injected?

A - Synovial capsule

B - Meniscus

C - Medial collateral ligament

D - Patellofemoral space

A

A - Synovial capsule

Knee injuries are common in the population, especially in athletes. To evaluate the extent of injury to either the thin fibrous cartilage pads (called lateral and medial menisci) cushioning the knee joint or the anterior and posterior cruciate ligaments that attach the femur to the tibia, a knee arthrogram may be performed. Freely movable joints such as the knee are enclosed in a synovial capsule that produces synovial fluid for lubrication. To visualize the structures within the capsule, an iodinated contrast medium and air (in a dual-contrast arthrography study) is injected within the capsule. Stress views of the knee are often obtained to further radiographically demonstrate the menisci or cruciate ligaments (A). Injection of contrast media directly within the meniscus would prevent infusion of the contrast media into the joint space, which is required to enhance visualization of the structures within the joint capsule (B). Injection of contrast media into the medial collateral ligament (located medial to the joint capsule) connecting the medial femoral condyle with the medial tibial tuberosity would mean the needle was not inserted far enough to penetrate the synovial capsule (C). Although the patellofemoral joint is lined with synovial fluid and is a proximal extension of the knee synovial capsule, there exists a bursa (small fluid-filled sac) providing a cushion between the patella and femur. Injection into the bursae would not allow adequate infusion of the contrast media into the knee joint proper (D).

How well did you know this?
1
Not at all
2
3
4
5
Perfectly
20
Q

Impingement on the wrist’s median nerve causing pain and disability of the affected hand and wrist is known as

A - carpal boss syndrome

B - carpal tunnel syndrome

C - carpopedal syndrome

D - radioulnar syndrome

A

B - carpal tunnel syndrome

Carpal tunnel syndrome involves pain and numbness to some parts of the median nerve distribution (i.e., palmar surface of the thumb, index finger, and radial half of the fourth finger and palm). Carpal tunnel syndrome occurs frequently in those who continually use vibrating tools or machinery. Carpopedal spasm is spasm of the hands and feet, commonly encountered during hyperventilation. Carpal boss is a bony growth on the dorsal surface of the third metacarpophalangeal joint.

How well did you know this?
1
Not at all
2
3
4
5
Perfectly
21
Q

Which of the following bones lies on the medial aspect of the foot?

A - Navicular

B - Cuboid

C - Intermediate cuneiform

D - Middle phalanx of the fifth digit

A

A - Navicular

The bony anatomy of the foot is similar to the hand at its most distal aspects, but varies significantly at the tarsals, as compared to the carpals in the wrist. The cuboid and the middle phalanx of the fifth digit appear on the lateral aspect of the foot, while intermediate cuneiform is closer to the medial side; only the navicular appears on the medial aspect, articulating with the medial, intermediate, and lateral cuneiforms distally and the talus bone proximally (A, B, C, and D).

How well did you know this?
1
Not at all
2
3
4
5
Perfectly
22
Q

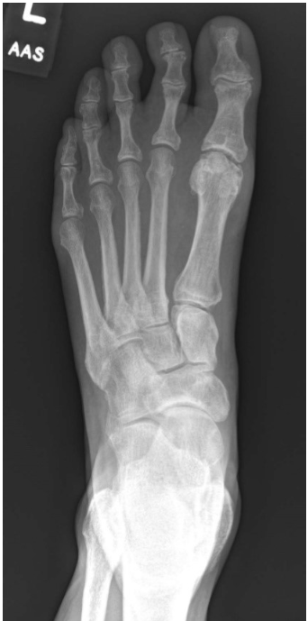
As seen in the following image, the base of the 3rd metatarsals articulates with:

  1. The lateral cuniform
  2. The base of the second metatarsal
  3. The medial cuniform
  4. The base of the fifth metatarsal

A - 1 only

B - 1 and 2 only

C - 2 and 3 only

D - 1, 2, and 4 only

A

B - 1 and 2 only

The centering point for the AP (dorsoplantar) projection of the foot is at the base of the 3rd metatarsal. This projection should adequately demonstrate the phalanges, metatarsals, and the articulations between the metatarsals and cuneiforms, navicular, and cuboid tarsals. The base of the 3rd metatarsal articulates with the bases of the 2nd and 4th metatarsals, and the lateral (3rd) cuneiform. The medial/first cuneiform articulates with the base of the first metatarsal and navicular. The base of the fifth metatarsal articulates with the cuboid and base of the 4th metatarsal.

How well did you know this?
1
Not at all
2
3
4
5
Perfectly
23
Q

In which projection of the foot are the interspaces between the first and second cuneiforms best demonstrated?

A - AP oblique foot, lateral rotation

B - AP oblique foot, medial rotation

C - Lateral foot

D - Weight-bearing foot

A

A - AP oblique foot, lateral rotation

The lateral rotation demonstrates the interspaces between the first and second metatarsals and between the first and second cuneiforms. To best demonstrate most of the tarsals and intertarsal spaces (including the cuboid, sinus tarsi, and tuberosity of the fifth metatarsal), a medial rotation projection is required (plantar surface and IR form a 30-degree angle). A weight-bearing lateral projection of the feet is used to demonstrate the longitudinal arches.

24
Q

What is indicated by 2?

A - medial epicondyle

B - trochlea

C - capitulum

D - olecranon process

A

D - olecranon process

The image illustrates a medial oblique (internal rotation) projection of the elbow with epicondyles 45 degrees to the IR. An oblique view of the proximal radius and ulna and the distal humerus is obtained. This projection is particularly useful to demonstrate the coronoid process in profile (number 4), the trochlea (number 3), and the medial epicondyle (number 1). The olecranon process (number 2) fits into the olecranon fossa during extension of the elbow. A small portion of the radial head (number 5) not superimposed on the ulna can be seen. The external oblique (lateral rotation) projection demonstrates the entire radial head free of superimposition as well as the radial neck and the humeral capitulum.

25
What is indicated by 1? A - Lateral condyle B - Lateral epicondyle C - Medial condyle D - Medial epicondyle
D - Medial epicondyle Figure 2-16 shows an AP projection of the knee. The distal femur and proximal tibia and fibula are seen. The femorotibial joint space is open, and the tibial articular facets of the tibial plateau (number 4) are demonstrated. The intercondylar eminence (number 3) is seen. Number 2 is the medial femoral condyle; number 1 is the medial femoral epicondyle; and number 5 is the medial tibial condyle.
26
Varus and Valgus deformities of the knee joint are best evaluated with: A - AP weight bearing projection B - Lateromedial cross-table lateral projection C - Holmblad method D - Medial oblique projection, patient recumbent
A - AP weight bearing projection A weight bearing AP projection is useful in evaluating chronic pathology such as arthritis, associated joint space narrowing, and varus and valgus deformities. Cross table projections should be utilized when the patient has suffered acute trauma. The Holmblad method, along with the Camp-Coventry and Beclere methods, are primarily used to visualize the intercondylar fossa. A medial oblique projection will reveal the lateral compartment of the knee joint and the proximal tibio-fibular joint on the posterolateral aspect of the knee.
27
In which of the following positions can the sesamoid bones of the foot be demonstrated to be free of superimposition with the metatarsals or phalanges? A - Dorsoplantar metatarsals/toes B - Tangential metatarsals/toes C - 30-degree medial oblique foot D - 30-degree lateral oblique foot
B - Tangential metatarsals/toes The tangential projection projects the sesamoid bones separate from adjacent structures. The patient is best examined in the prone position because this places the parts of interest closest to the IR. The affected foot is dorsiflexed so as to place its plantar surface 15 to 20 degrees with the vertical. The CR is directed perpendicular to the posterior surface of the foot (near the metatarsophalangeal joints). The dorsoplantar and oblique projections of the foot will demonstrate the sesamoid bones superimposed on adjacent bony structures.
28
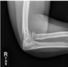
Trauma axial lateral - Coyle method of the elbow for radial head below requires: (choose 3) A - Hand pronated B - Flexion of 90° if possible C - CR angle of 30° toward shoulder D - Decreased exposure factors for soft-tissue detail E - Elbow and shoulder on same plane Get Image....
A - Hand pronated B - Flexion of 90° if possible E - Elbow and shoulder on same plane For the axial lateral – Coyle method projection with focus on the radial head, the hand should remain pronated to prevent rotation of the area due to trauma, for better visualization of fractures, and to prevent part tilt due to discomfort (A). The elbow should be flexed at 90° if possible (B) with the elbow and shoulder on the same plane for reduction of tilt (E). The CR should be angled 45° toward the shoulder (C) and may require increased exposure factors due to CR angulation (E).
29
Adult orthoroentgenography, or radiographic measurement of long bones of a lower extremity, requires which of the following accessories? 1. Metal ruler 2. Bucky tray 3. Cannula A - 1 only B - 1 and 2 only C - 1 and 3 only D - 1, 2, and 3
B - 1 and 2 only Adult orthoroentgenography is the radiographic measurement of long-bone length. It can be required on adults or children having extremity length (especially leg) discrepancies. This can be performed most easily with the use of the metallic ruler (Bell-Thompson scale) secured to the x-ray tabletop adjacent to the limb being examined (or between both limbs for simultaneous bilateral examination). A 14 × 17 inch IR is in the Bucky tray (to permit movement of the IR between exposures), and 3 well-collimated exposures are made—at the hip joint, the knee joint, and the ankle joint. Long bone measurement can also be evaluated using direct digital radiography, diagnostic sonography, magnetic resonance imaging, and computed tomography. A cannula is a tube placed in a cavity to introduce or withdraw material and is unrelated to orthoroentgenography.
30
To demonstrate the entire circumference of the radial head, the required exposure(s) must include 1. epicondyles perpendicular to the IP 2. hand pronated 3. hand externally rotated with thumb up A - 1 only B - 1 and 2 only C - 1 and 3 only D - 1, 2, and 3
D - 1, 2, and 3 Although routine elbow projections may be essentially negative, conditions may exist (such as an elevated fat pad) that seem to indicate the presence of a small fracture of the radial head. To demonstrate the entire circumference of the radial head, 4 individual exposures are required with the elbow flexed 90 degrees, humeral epicondyles superimposed and perpendicular to the IP: one projection with the hand externally rotated as much as possible with thumb up, the second projection with the hand lateral, the third projection with the hand pronated, and the fourth projection with the hand in internal rotation as much as possible, with thumb down. Each maneuver changes the position of the radial head, and a different surface is presented for inspection.
31
Place the following areas of the scapula in order from superior/uppermost margin to inferior: Lateral border Coracoid Glenoid Acromion Inferior angle
Acromion Coracoid Glenoid Lateral border Inferior angle The acromion process is the most superior aspect of the scapula, and the inferior angle is the most inferior aspect. The acromion process projects just superior to the humeral head, and the coracoid process is inferior and medial to the acromion. Directly medial to the coracoid process is the scapular notch. The glenoid cavity is the articulation point for the head of the humerus and is inferior to the coracoid process. The scapular neck is medial to the glenoid cavity and the lateral angle is inferior to the glenoid cavity and projects medially and inferiorly down to the inferior angle.
32
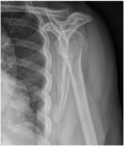
What should be done to better deomonstrate the caracoid process in this image? A - Use a perpendicular CR. B - Angle the CR about 30 degrees cephalad. C - Angle the CR about 30 degrees caudad. D - Angle the MSP 15 degrees toward the affected side.
B - Angle the CR about 30 degrees cephalad. The figure shows an AP projection of the shoulder. A plane passing through the epicondyles is parallel to the IR (and perpendicular to the CR). To project the coracoid process with less self-superimposition, the CR must be angled cephalad 15 degrees. The amount of cephalad angulation depends on the degree of thoracic kyphosis; the greater the degree of kyphosis, the greater is the degree of cephalad angulation required. A 30-degree angle is used for the average patient.
33
A compression fracture of the posterolateral humeral head and associated with an anterior dislocation of the glenohumeral joint is called a(an) A - Hill-Sachs defect. B - Bankart lesion. C - rotator cuff tear. D - adhesive capsulitis.
A - Hill-Sachs defect. A Hill-Sachs defect is a compression fracture of the posterolateral humeral head, usually associated with anterior dislocation of the shoulder joint. It can involve the cartilage of the humeral head, causing instability and predisposing the shoulder to subsequent dislocations. A Bankart lesion is a fracture of the anteroinferior portion of the rim of the glenoid fossa. A rotator cuff tear involves injury to one or more of the muscles participating in formation of that muscular structure. The supraspinatus, infraspinatus, subscapularis, and teres minor are the major muscles of the rotator cuff. Adhesive capsulitis, or "frozen shoulder," causes very diminished shoulder movement as a result of chronic joint inflammation.
34
Muscles that contribute to the formation of the rotator cuff include the 1. subscapularis. 2. infraspinatus. 3. teres minor. A - 1 only B - 1 and 2 only C - 2 and 3 only D - 1, 2, and 3
D - 1, 2, and 3 The rotator cuff is a musculotendinous structure that includes the supraspinatus, infraspinatus subscapularis, and teres minor muscles. The muscles function to stabilize the humeral head in all arm motions and, together with the deltoid, function to abduct and rotate the arm. Weakness of the rotator cuff can lead to impingement syndrome and/or tendonitis. A tear of the cuff can result in subluxation; calcification can lead to shoulder immobilization.
35
What can be done to correct this scap y? A - Increasing the patient's rotation to bring the humeral head further into the ribs B - Decreasing the patient's rotation to bring the humeral head away from the ribs C - Bringing the patient's elbow back to project the humeral shaft onto the scapular body D - Use breathing technique and longer exposure time to blur out ribs
B - Decreasing the patient's rotation to bring the humeral head away from the ribs In the image of the PA lateral scapula, the patient is over rotated, which is causing the scapular body to be in an oblique position rather than true lateral. To fix this positioning error, the patient's rotation must be decreased, which would move the humeral head out of the ribs (B). Increasing the rotation would worsen the rotation (A). Bringing the elbow posterior would be useful in a scapular Y view of the shoulder but obstructs the body of the scapula for this study's purpose (C). Lastly, a breathing technique would not help with the rotation of the scapula (D).
36
The fifth metacarpal is located on which aspect of the hand? A - Medial B - Lateral C - Radial D - Volar
A - Medial The fifth metacarpal is located on the medial aspect of the hand. Remember to always view a part in its anatomic position. With the arm in the anatomic position, the fifth metacarpal and the ulna lie medially.
37
What can be done to improve this mediolateral projection? A - Rotate the pelvis slightly forward/anteriorly. B - Rotate the pelvis slightly backward/posteriorly. C - Angle the x-ray tube 5 degrees cephalad. D - Angle the x-ray tube 5 degrees caudad.
B - Rotate the pelvis slightly backward/posteriorly. The figure illustrates a mediolateral projection of the knee. The femoral condyles are not superimposed posteriorly, indicating incorrect degree of forward (anterior)/backward (posterior) rotation. Because the magnified medial femoral condyle is obscuring the femoropatellar articulation, the radiographer should rotation the pelvis backward, i.e. posteriorly, a bit. This will superimpose the femoral condyles, place the patella perpendicular to the tabletop, and open the femoropatellar joint space.
38
In the lateral projection of the knee, which of the following part and CR positions are needed to demonstrate superimposition of the femoral condyles? 1. 7–10-degree cephalic angulation for a short patient with a narrow pelvis 2. Position plane of patella perpendicular to IR 3. 5-degree cephalic angulation for a tall patient with a narrow pelvis A - 1 only B - 1 and 2 only C - 2 and 3 only D - 1 and 3 only
C - 2 and 3 only When performing the lateral projection of the knee, superimposition of the femoral condyles requires adequate positioning, free of rotation. To prevent over- or under-rotation and accomplish anterior/posterior superimposition of the condyles, align the plane of the patella perpendicular with the plane of the IR. For superimposition of the distal borders of the condyles, the proper CR angulation must be utilized. For the average patient, a 5–7 degree cephalic angulation will be required. For patients with wide hips, a 7–10-degree cephalic angulation should be used. For patients with a narrow pelvis, a 5-degree cephalic angulation should be used.
39
The bone that lies anterior to the calcaneus and which articulates anteriorly with the bases of the 4th and 5th metatarsals is the: A - Navicular B - Third cuneiform C - Intermediate cuneiform D - Cuboid
D - Cuboid The calcaneus is the largest tarsal, serves as attachment for the Achilles tendon posteriorly, and articulates anteriorly with the cuboid (see figure below). The metatarsals and phalanges of the foot are similar to the metacarpals and phalanges of the hand. The bases of the fourth and fifth metatarsals articulate with the cuboid.
40
What is the structure labeled 5? A - sternoclavicular joint B - acromioclavicular joint C - glenohumeral joint D - acromiohumeral joint
C - glenohumeral joint An AP, external rotation, projection of the shoulder is pictured. The hand is supinated, and the arm is in the anatomical position. Therefore, the greater tubercle (number 3) is well visualized. The greater portion of the clavicle is seen, the acromioclavicular joint (number 1), the acromion process (number 2), the coracoid process (number 4), and the glenohumeral joint (number 5). The coronoid process is located on the ulna.
41
Which of the following articulate with the tibia to form the ankle joint? 1. Fibula 2. Talus 3. Calcaneus A - 1 and 2 only B - 1 and 3 only C - 2 and 3 only D - 1, 2 and 3
A - 1 and 2 only The ankle joint (mortise) is formed by the articulation of the talus and distal portions of the tibia and fibula. The medial and lateral malleoli are the most frequently fractured components of the ankle joint; severe fractures can disrupt the integrity of the joint and lead to permanent instability and/or arthritis. Foot and/or ankle fractures can occur in falls, twisting injuries, or direct impact.
42
Which of the following is an important consideration to avoid excessive metacarpal joint overlap in the oblique projection of the hand? A - Oblique the hand no more than 45 degrees. B - Use a support sponge for the phalanges. C - Clench the fist to bring the carpals closer to the IR. D - Use ulnar flexion.
A - Oblique the hand no more than 45 degrees. The oblique projection of the hand should demonstrate minimal overlap of the third, fourth, and fifth metacarpals. Excessive overlap of these metacarpals is caused by obliquing the hand more than 45 degrees. The use of a 45-degree foam wedge ensures that the fingers will be extended and parallel to the IR, thus permitting visualization of the interphalangeal joints and avoiding foreshortening of the phalanges. Clenching of the fist and ulnar flexion are maneuvers used to better demonstrate the carpal scaphoid.
43
Which of the following is (are) true regarding radiographic examination of the acromioclavicular joints? 1. The procedure is performed in the erect position. 2. Use of weights can improve demonstration of the joints. 3. The procedure should be avoided if dislocation or separation is suspected. A - 1 only B - 1 and 2 only C - 1 and 3 only D - 2 and 3 only
B - 1 and 2 only Evaluation of the acromioclavicular joints requires bilateral AP or PA erect projections with and without the use of weights. Weights are used to emphasize the minute changes within a joint caused by separation or dislocation. Weights should be anchored from the patient's wrists rather than held in the patient's hands because this encourages tightening of the shoulder muscles and obliteration of any small separation.
44
Which of the following articulations is/are well visualized in the extension lateral position of the hand? 1. Radiocarpal 2. 1st carpometacarpal 3. Proximal interphalangeal A - 1 only B - 2 only C - 2 and 3 only D - 1, 2, and 3
A - 1 only The extension lateral position of the hand is most commonly utilized for visualization of fractures and foreign objects. In this view, the only joint that will be well-visualized is the radiocarpal (1), because the wrist will be in the true lateral position. Both the carpometacarpal joints (2) and all interphalangeal joints (3) will either be closed due to positioning (1st digit) or superimposed on each other (2nd–5th).
45
To better demonstrate the interphalangeal joints of the toes, which of the following procedures may be employed? 1. Angle the CR 15 degrees caudad. 2. Angle the CR 15 degrees cephalad. 3. Place a sponge wedge under the foot with the toes elevated 15 degrees. A - 1 only B - 1 and 2 only C - 1 and 3 only D - 2 and 3 only
D - 2 and 3 only Because the toes curve naturally downward, the interphalangeal joints are not well demonstrated in the AP (dorsoplantar) projection. To "open" the interphalangeal joints, the CR should be directed 15 degrees cephalad. Another method is to place a 15-degree foam sponge wedge under the foot, elevating the toes 15 degrees from the IR; the CR then would be directed perpendicularly.
46
Which of the following may be used to evaluate the glenohumeral joint? 1. Scapular Y projection 2. Inferosuperior axial 3. Transthoracic lateral A - 1 only B - 1 and 2 only C - 2 and 3 only D - 1, 2, and 3
D - 1, 2, and 3 The scapular Y projection is an oblique projection of the shoulder that is used to demonstrate anterior or posterior shoulder/glenohumeral joint dislocation. The inferosuperior axial projection may be used to evaluate the glenohumeral joint when the patient is able to abduct the arm. The transthoracic lateral projection is used to evaluate the glenohumeral joint and upper humerus when the patient is unable to abduct the arm.
47
Which of the following is (are) distal to the tibial plateau? 1. Intercondyloid fossa 2. Tibial condyles 3. Tibial tuberosity A - 1 only B - 1 and 2 only C - 2 and 3 only D - 1, 2 and 3 only
C - 2 and 3 only The knee joint is formed by the femur and tibia. The most superior aspect of the tibia is the tibial plateau—formed by the tibial condyles just distal to it. The proximal tibia also presents the tibial tuberosity on its anterior surface, just distal to the condyles. Proximal to the tibial plateau, and articulating with it, are the femoral condyles—the deep notch separating them is the intercondyloid fossa. The term proximal refers to a part located closer to the point of attachment; the term distal refers to a part located farther away from the point of attachment.
48
Consider an upright right lateral humerus projection of a patient who has been injured and insists on supporting their affected side with their contralateral hand to alleviate the pain. Which of the following methods would be best for the radiographer to use? A - Patient standing with the posterior surface of the shoulder of the affected side against the wall Bucky and rotating the affected arm medially to place the humeral epicondyles perpendicular to the IR B - Patient standing with the lateral surface of the shoulder of the affected side against the wall Bucky and rotating the body so as to place the affected humeral epicondyles perpendicular to the IR C - Patient standing with the anterior surface of the shoulder of the unaffected arm against the wall Bucky and rotating the body laterally so as to place the affected humeral epicondyles perpendicular to the IR D - Patient standing with their body in the lateral position against the wall Bucky with the affected humerus closest to the IR but with no manipulation of the arm
B - Patient standing with the lateral surface of the shoulder of the affected side against the wall Bucky and rotating the body so as to place the affected humeral epicondyles perpendicular to the IR A minimum of two projections 90 degrees from each other must be performed during extremity radiography to detect a possible fracture and any associated displacement. In the lateral projection of the humerus, the humeral epicondyles must be superimposed to place the coronal plane perpendicular to the IR. Either the anterior or posterior approach may be used. However, the radiographer must consider all aspects of how to best conduct a procedure so as to minimize patient pain, prevent potential displacement of a fracture, and minimize OID. In this scenario, it is best to allow the patient to continue supporting their arm in front of them and place the lateral surface of the humerus against the wall Bucky. This minimizes any further patient discomfort and places the humerus closest to the IR. Reducing the OID whenever possible is important to reduce magnification distortion and provide optimal spatial resolution (B). Since the patient in this scenario must support their arm to alleviate pain, the anterior approach would place the lateral humerus at an unacceptable OID (A). With the patient standing with the anterior surface of the shoulder of the unaffected arm against the wall Bucky and rotating the affected arm laterally to place the humeral epicondyles perpendicular to the IR and using a lateromedial projection, there would be a risk of fracture displacement, and patient discomfort and OID would be unacceptable (C). As mentioned previously, a minimum of two projections 90 degrees from each other must be performed during extremity radiography to detect a possible fracture and any associated displacement. If the patient is standing with their body in the lateral position against the wall Bucky and with the affected humerus closest to the IR but with no manipulation of the arm or body, the humeral epicondyles would not be superimposed and a true 90-degree projection from the AP projection would not be achieved (D).
49
For a true AP of the clavicle, the midclavicle is superimposed over which portion of the scapula? A - Scapular notch B - Superior angle C - Acromion D - Coracoid process
B - Superior angle For a true AP of the clavicle, the CR is perpendicular to the IR, and the patient is positioned without rotation and their back in contact with the IR/Bucky. The perpendicular CR projects the midclavicle over the superior angle of the scapula (B), or the uppermost portion of the scapula. The scapular notch (A) is distal and lateral to the midclavicle. Both the acromion (C) and coracoid (D) are toward the lateral end and are not superimposed by the clavicle.
50
Which of the following projections of the ankle would best demonstrate the distal tibiofibular joint? A - Medial oblique 15° to 20° B - Lateral oblique 15° to 20° C - Medial oblique 45° D - Lateral oblique 45°
C - Medial oblique 45° To best demonstrate the distal tibiofibular articulation, a 45° medial oblique projection of the ankle is required. The 15° medial oblique is used to demonstrate the ankle mortise (joint). Although the joint is well demonstrated in the 15° medial oblique, there is some superimposition of the distal tibia and fibula, and greater obliquity is required to separate the bones.
51
In which of the following tangential axial projections of the patella is complete relaxation of the quadriceps femoris required for an accurate diagnosis? 1. Supine flexion 40 degrees (Merchant) 2. Prone flexion 90 degrees (Settegast) 3. Prone flexion 55 degrees (Hughston) A - 1 only B - 1 and 2 only C - 2 and 3 only D - 1, 2, and 3 only
A - 1 only The tangential axial projections of the patella are also often referred to as sunrise or skyline views. The supine flexion 40- degree (Merchant) position requires a special apparatus, and the patellae can be examined bilaterally. This position also requires patient comfort without muscle tension—muscle tension can cause a subluxed patella to be pulled into the intercondylar sulcus, giving the appearance of a normal patella. The two prone positions differ according to the degree of flexion employed. The 90-degree flexion (Settegast) position must not be employed with suspected patellar fracture.
52
Which of the following positions would be the best choice for a right shoulder examination to rule out fracture? A - Internal and external rotation B - AP and tangential C - AP and AP axial D - AP and scapular Y
D - AP and scapular Y The AP projection will give a general survey and show mediolateral and inferosuperior joint relationships. The scapular Y position (LAO or RAO) is employed to demonstrate anterior (subcoracoid) or posterior (subacromial) humeral dislocation. The humerus normally is superimposed on the scapula in this position; any deviation from this may indicate dislocation. Rotational views must be avoided in cases of suspected fracture. Axial views require abduction of the arm, which is contraindicated in suspected fracture. The AP and scapular Y combination is the closest to two views at right angles to each other.
53
An axial projection of the clavicle is often helpful in demonstrating a fracture that is not visualized using a perpendicular CR. When examining the clavicle in the PA axial projection, how should the Central Ray directed? A - Cephalad B - Caudad C - Medially D - Laterally
B - Caudad With the patient positioned AP erect or supine, the CR is directed cephalad 15 to 30° to midclavicle. This serves to project the clavicle away from the pulmonary apices and ribs, projecting most of the clavicle above the thorax. The reverse is true when the patient is examined for the PA axial projection – the CR is directed 15 to 30° caudally. The PA and PA axial projections can be useful for better resolution because of the reduced OID.
54
Synovial fluid is associated with the A - brain. B - spinal canal. C - peritoneal cavity. D - bony articulations.
D - bony articulations. Synovial fluid is associated with diarthrotic (freely movable) bony articulations. Other types of bony articulations are fibrous (synarthrotic/immovable) and cartilaginous (amphiarthrotic/partially movable). Fluid associated with the brain and spinal canal is cerebrospinal fluid (CSF). The peritoneal and pleural cavities are associated with a lubricating serous fluid.
55
Which of the following can be used to demonstrate the intercondyloid fossa? 1. Prone, knee flexed 40 degrees, CR directed caudad 40 degrees to the popliteal fossa 2. Supine, IR under flexed knee, CR directed cephalad to knee, perpendicular to tibia 3. Prone, patella parallel to IR, heel rotated 5 to 10 degrees lateral, CR perpendicular to knee joint A - 1 only B - 1 and 2 only C - 2 and 3 only D - 1, 2, and 3
B - 1 and 2 only Statement number 1 describes the PA axial projection (Camp-Coventry method) for demonstration of the intercondyloid fossa. Statement number 2 describes the AP axial projection (Béclère method) for demonstration of the intercondyloid fossa. The positions are actually the reverse of each other. Statement number 3 describes the method of obtaining a PA projection of the patella.