2.5.C Extremities Flashcards

(55 cards)

1
Q

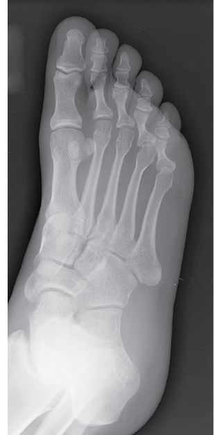
The radiograph shown in Figure 2–15 demonstrates the articulation between the
1. talus and the calcaneus
2. calcaneus and the cuboid
3. talus and the navicular

A - 1 only
B - 1 and 2 only
C - 2 and 3 only
D - 1, 2, and 3

A

C - 2 and 3 only

The radiograph shown is that of a medial oblique foot. With the foot rotated medially so that the plantar surface forms a 30-degree oblique with the IR, the sinus tarsi, the tuberosity of the fifth metatarsal, and several articulations should be demonstrated—the articulations between the talus and the navicular, between the calcaneus and the cuboid, between the cuboid and the bases of the fourth and fifth metarsals, and between the cuboid and the lateral (third) cuneiform.

How well did you know this?
1
Not at all
2
3
4
5
Perfectly
2
Q

The secondary center of ossification in long bones is the

A - diaphysis
B - epiphysis
C - metaphysis
D - apophysis

A

B - epiphysis

Long bones are composed of a shaft, or diaphysis, and two extremities. The diaphysis is referred to as the primary ossification center. In the growing bone, the cartilaginous epiphyseal plate (located at the extremities of long bones) is gradually replaced by bone. For this reason, the epiphyses are referred to as the secondary ossification centers. The ossified growth area of long bones is the metaphysis. An apophysis is a normal bony outgrowth arising from a separate ossification center which fuses in time. An apophysis is the site of ligament or tendon attachment (whereas an epiphysis contributes

How well did you know this?
1
Not at all
2
3
4
5
Perfectly
3
Q

The distal end of the non-weight bearing bone of the lower leg is called which of the following?

A - Apex of the fibula
B - Medial malleolus
C - Lateral malleolus
D - Fovea capitus

A

C - Lateral malleolus

The two bones of the lower leg are the tibia and fibula. Distal is a medical term meaning furthest from the point of attachment—in this case, furthest from the hip. The distal end of the tibia is the medial malleolus, the distal end of the fibula is the lateral malleolus (B and C). The apex of the fibula lies at the proximal end (A). For a student to better intuitively understand proximal versus distal, it’s important to understand that they have the same roots as proximity and distance, respectively. The fovea capitus is a lig

How well did you know this?
1
Not at all
2
3
4
5
Perfectly
4
Q

The term varus refers to

A - turned outward
B - turned inward
C - rotated medially
D - rotated laterally

A

B - turned inward

Varus describes an abnormal position in which a part or limb is forced inward toward the midline of the body. The term varus stress sometimes refers to inversion (inward stress movement) applied to the ankle joint. The term varus refers to bent or turned inward. In genu varus, the tibia or femur turns inward causing bowlegged deformity; in talipes varus, the foot turns inward (clubfoot deformity). The term valgus refers to a part turned/deformed outward—as in hallux valgus and talipes valgus. Hallux valgu

How well did you know this?
1
Not at all
2
3
4
5
Perfectly
5
Q

Each of the digits 2 through 5 of the hand contain how many interphalangeal joints?

A - 3
B - 1
C - 2
D - 4

A

C - 2

If the question had asked about the number of phalanges in fingers 2 through 5, the right answer would be 3 phalanges (A). Just by logical deduction, knowing that a joint is where two bones meet, and that interphalangeal means between phalanges, the number of interphalangeal joints between 3 phalangeal bones arranged linearly must be 2 (C). The thumb has just 1 interphalangeal joint, and no digit has 4 phalanges in normal anatomy (B and D).

How well did you know this?
1
Not at all
2
3
4
5
Perfectly
6
Q

The primary center of ossification in long bones is the

A - diaphysis.
B - epiphysis.
C - metaphysis.
D - apophysis.

A

A - diaphysis.

Long bones are composed of a shaft, or diaphysis, and two extremities. The diaphysis is referred to as the primary ossification center. In the growing bone, the cartilaginous epiphyseal plate (located at the extremities of long bones) is gradually replaced by bone. For this reason, the epiphyses are referred to as the secondary ossification centers. The ossified growth area of long bones is the metaphysis. Apophysis refers to vertebral joints formed by articulation of superjacent articular facets.

How well did you know this?
1
Not at all
2
3
4
5
Perfectly
7
Q

The first carpometacarpal joint is formed by the articulation of the base of the first metacarpal and the

A - distal radius.
B - distal ulna.
C - scaphoid.
D - trapezium.

A

D - trapezium.

The bases of the proximal row of phalanges articulate with the heads of the metacarpals to form the (condyloid) metacarpophalangeal joints, which permit flexion and extension, abduction and adduction, and circumduction. The bases of the metacarpals articulate with each other and the distal row of carpals at the carpometacarpal joints. The first carpometacarpal joint (thumb) is a saddle joint, permitting flexion and extension, abduction and adduction, and circumduction; it is formed by the articulation of the base of the first metacarpal and the trapezium.

How well did you know this?
1
Not at all
2
3
4
5
Perfectly
8
Q

What projection of the calcaneus is obtained with the leg extended, the plantar surface of the foot vertical and perpendicular to the IR, and the CR directed 40 degrees cephalad?

A - Axial plantodorsal projection
B - Axial dorsoplantar projection
C - Lateral projection
D - Weight-bearing lateral projection

A

A - Axial plantodorsal projection

The plantodorsal projection of the os calcis/calcaneus is described. It is performed supine and requires cephalad angulation. The CR enters the plantar surface and exits the dorsal surface. The axial dorsoplantar projection requires that the CR enter the dorsal surface of the foot and exit the plantar surface.

How well did you know this?
1
Not at all
2
3
4
5
Perfectly
9
Q

What process is best seen using a perpendicular CR with the elbow in acute flexion and with the posterior aspect of the humerus adjacent to the image receptor?

A - Coracoid
B - Coronoid
C - Olecranon
D - Glenoid

A

C - Olecranon

When the elbow is placed in acute flexion with the posterior aspect of the humerus adjacent to the image receptor and a perpendicular CR is used, the olecranon process of the ulna is seen in profile. The coronoid process is best visualized in the medial oblique position. The coracoid and glenoid are associated with the scapula.

How well did you know this?
1
Not at all
2
3
4
5
Perfectly
10
Q

Shoulder arthrography is performed to
1. evaluate humeral luxation
2. demonstrate complete or partial rotator cuff tear
3. evaluate the glenoid labrum

A - 1 only
B - 1 and 2 only
C - 2 and 3 only
D - 1, 2, and 3

A

C - 2 and 3 only

Shoulder arthrograms (Figure 2–64) are used to evaluate rotator cuff tear, glenoid labrum (a ring of fibrocartilaginous tissue around the glenoid fossa), and frozen shoulder. Routine radiographs demonstrate arthritis, and the addition of a transthoracic humerus or scapular Y projection would be used to demonstrate luxation (dislocation).

How well did you know this?
1
Not at all
2
3
4
5
Perfectly
11
Q

Which of the following projection(s) require(s) that the shoulder be placed in internal rotation?

  1. AP humerus
  2. AP thumb
  3. Lateral humerus

A - 1 only
B - 1 and 2 only
C - 2 and 3 only
D - 1, 2, and 3

A

C - 2 and 3 only

When the arm is placed in the AP position, the epicondyles are parallel to the plane of the IR and the shoulder is placed in external rotation. In this position, an AP projection of the humerus, elbow, and forearm can be obtained; it places the greater tubercle of the humerus in profile. For the lateral projection of the humerus, the arm is internally rotated, elbow somewhat flexed, with the back of the hand against the thigh and the epicondyles superimposed and perpendicular to the IR. The AP projection of the thumb requires that the arm extended and internally rotated, placing the posterior surface of the thumb on the IR. The lateral projections of the humerus, elbow, and forearm all require that the epicondyles be perpendicular to the plane of the IR.

How well did you know this?
1
Not at all
2
3
4
5
Perfectly
12
Q

Which of the following may be used to evaluate the scapulohumeral/glenohumeral relationship ?

  1. Scapular Y projection
  2. Inferosuperior axial
  3. Transthoracic lateral

A - 1 only
B - 1 and 2 only
C - 2 and 3 only
D - 1, 2, and 3

A

D - 1, 2, and 3

The scapular Y projection is an oblique projection of the shoulder and is used to demonstrate anterior or posterior shoulder dislocation. The inferosuperior axial projection may be used to evaluate the scapulohumeral/glenohumeral joint when the patient is able to abduct the arm. The transthoracic lateral projection is used to evaluate the scapulohumeral/glenohumeral joint and upper humerus when the patient is unable to abduct the arm.

How well did you know this?
1
Not at all
2
3
4
5
Perfectly
13
Q

In which position of the shoulder is the lesser tubercle demonstrated in profile on the medial aspect of the humeral head?

A - AP
B - External rotation
C - Internal rotation
D - Neutral position

A

C - Internal rotation

The external rotation position is the true AP position. It places the greater tubercle in profile laterally and places the lesser tubercle anteriorly between humeral head and greater tubercle. The internal rotation position demonstrates the lesser tubercle in profile medially and places the humerus in a true lateral position. The epicondyles should be superimposed and perpendicular to the IR. The neutral position places the epicondyles about 45 degrees to the IR and the greater tubercle is partially superimposed on the humeral head.

How well did you know this?
1
Not at all
2
3
4
5
Perfectly
14
Q

Which of the following articulates with the base of the first metatarsal?

A - First cuneiform
B - Third cuneiform
C - Navicular
D - Cuboid

A

A - First cuneiform

The base of the first metatarsal articulates with the first (medial) cuneiform. The base of the second metatarsal articulates with the second (intermediate) cuneiform; the third base of the metatarsal articulates with the third (lateral) cuneiform. The bases of the fourth and fifth metatarsals articulate with the cuboid. The navicular articulates with the first and second cuneiforms anteriorly and the talus posteriorly.

How well did you know this?
1
Not at all
2
3
4
5
Perfectly
15
Q

Which of the following projections is most likely to demonstrate the carpal pisiform free of superimposition?

A - Radial flexion/deviation
B - Ulnar flexion/deviation
C - AP (medial) oblique
D - AP (lateral) oblique

A

C - AP (medial) oblique

In the direct PA projection of the wrist, the carpal pisiform is superimposed on the carpal triquetrum. The AP oblique projection, medial rotation, separates the pisiform and triquetrum and projects the pisiform as a separate structure. The pisiform is the smallest and most palpable carpal. The PA oblique projection, lateral rotation, demonstrate the carpals on the lateral side of the wrist. Both AP and PA projections require the medial surface of the wrist to be adjacent to the IR.

How well did you know this?
1
Not at all
2
3
4
5
Perfectly
16
Q

The tarsals and metatarsals are arranged to form the
1. transverse arch.
2. longitudinal arch.
3. oblique arch.

A - 1 only
B - 1 and 2 only
C - 2 and 3 only
D - 1, 2, and 3

A

B - 1 and 2 only

The tarsals and metatarsals of the foot are arranged so as to form two arches: the transverse and the longitudinal (which has two parts—lateral and medial). The arches function to support and distribute the body’s weight over the body. The ball of the foot usually accommodates about 40 percent of the body’s weight, and the heel about 60 percent.

How well did you know this?
1
Not at all
2
3
4
5
Perfectly
17
Q

When examining a patient whose elbow is in partial flexion,

A - the AP projection requires two separate positions and exposures.
B - the AP projection is made through the partially flexed elbow, resting on the olecranon process, CR perpendicular to IR.
C - the AP projection is made through the partially flexed elbow, resting on the olecranon process, CR parallel to the humerus.
D - the AP projection is eliminated from the routine.

A

A - the AP projection requires two separate positions and exposures.

When a patient’s elbow needs to be examined in partial flexion, the lateral projection offers little difficulty, but the AP projection requires special attention. If the AP projection is made with a perpendicular CR and the olecranon process resting on the table-top, the articulating surfaces are obscured. With the elbow in partial flexion, two positions/exposures are necessary to achieve an AP projection of the elbow joint articular surfaces. One is made with the forearm parallel to the IR (humerus elevated), which demonstrates the proximal forearm. The other is made with the humerus parallel to the IR (forearm elevated), which demonstrates the distal humerus. In both cases, the CR is perpendicular if the degree of flexion is not too great or angled slightly into the joint space with greater degrees of flexion.

How well did you know this?
1
Not at all
2
3
4
5
Perfectly
18
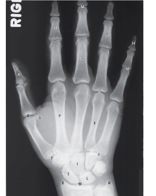
Q

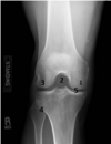
What type of joint is T?

A - Gliding joint
B - Pivot joint
C - Diarthrotic joint
D - Amphiarthrotic joint

A

C - Diarthrotic joint

The radiograph is a PA projection of the hand and wrist; an oblique projection of the thumb is obtained. The letter T is pointing out the first carpometacarpal joint, formed by the base of the first metacarpal and the trapezium. This is classified as a saddle type diarthrotic joint. Diarthrotic joints are freely movable joints and the most plentiful type of joint in the human body. Amphiarthrotic joints are partially movable; synarthrotic joints are immovable.

How well did you know this?
1
Not at all
2
3
4
5
Perfectly
19
Q

Which letter identifies the costal surface of the scapula?

A - D
B - H
C - K
D - M

A

C - K

The radiograph illustrates an AP projection of the scapula; abduction of the arm moves the scapula away from the rib cage, revealing a greater portion of the scapula than would be visualized with the arm at the side. A number of bony structures are identified: the acromion process (A), the humeral head (B), glenoid fossa (C), scapular spine (D), clavicle (E), supraspinatus fossa (F), acromioclavicular joint (G), scapular notch (H), coracoid process (I), inferior angle/apex (J), body/distal surface (K), lateral/axillary border (L), axillary part upper rib (M

How well did you know this?
1
Not at all
2
3
4
5
Perfectly
20
Q

In which of the following projections is the talofibular joint best demonstrated?

A - AP
B - Lateral oblique
C - Medial oblique
D - Lateral

A

C - Medial oblique

The AP projection demonstrates superimposition of the distal fibula on the talus; the joint space is not well seen. The 15- to 20-degree medial oblique position shows the entire mortise joint; the talofibular joint is well visualized, as well as the talotibial joint. There is considerable superimposition of the talus and fibula in the lateral and lateral oblique projections.
``

How well did you know this?
1
Not at all
2
3
4
5
Perfectly
21
Q

Place the following carpal bones in order from lateral to medial

  1. Capitate
  2. Trapezium
  3. Hamate
  4. Trapezoid

A - 3, 1, 2, 4
B - 2, 4, 1, 3
C - 3, 1, 4, 2
D - 4, 2, 3, 1

A

B - 2, 4, 1, 3

In true AP position, the palmar surface of the hand is the anterior side, thus placing the radial end of the carpals laterally. The order of the distal carpals is as follows: trapezium, trapezoid, capitate, and hamate (B). This would eliminate choices that list the hamate as the lateral most carpal (A and C), as well as choice (D), which switches the order of the trapezium and trapezoid.

How well did you know this?
1
Not at all
2
3
4
5
Perfectly
22
Q

Which of the following is (are) typically associated with a Colles’ fracture?

  1. Transverse fracture of the radial head
  2. Chip fracture of the ulnar styloid
  3. Posterior or backward displacement

A - 1 only
B - 1 and 3 only
C - 2 and 3 only
D - 1, 2, and 3

A

C - 2 and 3 only

A Colles fracture usually is caused by a fall onto an outstretched (extended) hand to “brace” a fall. The wrist then suffers an impacted transverse fracture of the distal inch of the radius, most often with an accompanying chip fracture of the ulnar styloid process. Because of the hand position at the time of the fall, the fracture usually is displaced backward approximately 30 degrees. The proximal radius, the radial head, is not involved in this type fracture.

How well did you know this?
1
Not at all
2
3
4
5
Perfectly
23
Q

Cells concerned with the formation and repair of bone are

A - osteoblasts.
B - osteoclasts.
C - osteomas.
D - osteons.

A

A - osteoblasts.

Osteoblasts are cells of mesodermal origin that are concerned with formation and repair of bone. Osteoclasts are cells concerned with the breakdown and resorption of old or dead bone. An osteoma is a benign bony tumor. An osteon is the microscopic unit of compact bone, consisting of a haversian canal and its surrounding lamellae.

24
Q

An AP oblique (lateral rotation) of the elbow demonstrates which of the following?

  1. Radial head free of superimposition
  2. Capitulum of the humerus
  3. Olecranon process within the olecranon fossa

A - 1 only
B - 1 and 2 only
C - 2 and 3 only
D - 1, 2, and 3

A

B - 1 and 2 only

The radial head and neck are projected free of superimposition in the AP oblique projection (lateral /external rotation) of the elbow. The humeral capitulum is also well demonstrated in this external oblique position. The AP oblique projection (medial /internal rotation) of the elbow superimposes the radial head and neck on the proximal ulna. The medial rotation demonstrates the olecranon process within the olecranon fossa, and it projects the coronoid process free of superimposition.

25
All the following can be associated with the distal ulna except A - head. B - radioulnar joint. C - styloid process. D - trochlear notch.
D - trochlear notch. The distal ulna presents a head and styloid process and articulates with the distal radius to form the distal radioulnar joint. The ulna is slender distally but enlarges proximally and becomes the larger of the two bones of the forearm. At its proximal end, the ulna presents the olecranon process (posteriorly) and coronoid process (anteriorly) that are joined by a large articular cavity, the semilunar, or trochlear notch. The coronoid process fits into the humeral coronoid fossa during flexion, and the olecranon process fits
26
In the lateral projection of the knee, the central ray is angled 5° cephalad to prevent superimposition of which of the following structures on the joint space? A - Lateral femoral condyle B - Medial femoral condyle C - Patella D - Tibial eminence
B - Medial femoral condyle For the lateral projection of the knee, the patient is turned onto the affected side. This places the lateral femoral condyle closest to the IR and the medial femoral condyle remote from the IR. Consequently, there is significant magnification of the medial femoral condyle and, unless the central ray is angled slightly cephalad, subsequent obliteration of the joint space.
27
Which shoulder position is displayed? A - AP projection—external rotation B - AP oblique projection—glenoid cavity C - AP projection—internal rotation D - Apical AP axial projection
C - AP projection—internal rotation In this projection of the shoulder, you can see that the lesser tubercle is visualized in profile; this indicates that the projection is the AP with internal rotation (C). The AP oblique projection for the glenoid cavity (B), also known as the Grashey method, would demonstrate an open joint space between the humeral head and the glenoid of the scapula. The AP projection with external rotation (A) would show the greater tubercle in profile rather than the lesser tubercle. The apical AP axial projection (D) is used to open the acromiohumeral space.
28
Identify structure 3: A - Humeral head B - Scapular body C - Humeral epicondyles D - Acromion
D - Acromion In the image of the lateral humerus, the numbers correspond as follows: 1. Coracoid 2. Humeral head (A) 3. Acromion (D) 4. Humeral shaft 5. Humeral epicondyles (C) 6. Olecranon
29
Which of the following is (are) valid evaluation criteria for a lateral projection of the forearm? 1. The radius and the ulna should be superimposed distally. 2. The coronoid process and the radial head should be partially superimposed. 3. The humeral epicondyles should be superimposed. A - 1 only B - 1 and 2 only C - 2 and 3 only D - 1, 2, and 3
D - 1, 2, and 3 To accurately position a lateral forearm, the elbow must form a 90-degree angle with the humeral epicondyles superimposed. The radius and ulna are superimposed distally. Proximally, the coronoid process and radial head are partially superimposed. Failure of the elbow to form a 90-degree angle or the hand to be lateral results in a less than satisfactory lateral projection of the forearm.
30
Which of the following fracture classifications describes a small bony fragment pulled from a bony process? A - Avulsion fracture B - Torus fracture C - Comminuted fracture D - Compound fracture
A - Avulsion fracture An avulsion fracture is a small bony fragment pulled from a bony process as a result of a forceful pull of the attached ligament or tendon. A comminuted fracture is one in which the bone is broken or splintered into pieces. A torus fracture is a greenstick fracture with one cortex buckled and the other intact. A compound fracture is an open fracture in which the fractured ends have perforated the skin.
31
Turning of the hand or body so that the palm faces downward or backward, describes A - adduction B - abduction C - pronation D - supination
C - pronation Pronation describes the body as “face down” or the arm “palm down”. Supination is the opposite (i.e., turning of the body or arm so that the palm faces forward, with the thumb away from the midline of the body). Adduction is movement of a part toward the body's MSP. Abduction is movement of a part away from the body's MSP.
32
Which of the following is most likely to be the correct routine for a radiographic examination of the forearm? A - PA and medial oblique B - AP and lateral oblique C - PA and lateral D - AP and lateral
D - AP and lateral To demonstrate the radius and ulna free of superimposition, the forearm must be radiographed in the AP position, with the hand supinated. Pronation of the hand causes overlapping of the proximal radius and ulna. Two views, at right angles to each other, are generally required for each examination. Therefore, AP and lateral is the usual routine for an examination of the forearm.
33
Which of the following articulations participate in the formation of the elbow joint? 1. Between the humeral trochlea and the semilunar/trochlear notch 2. Between the capitulum and the radial head 3. The proximal radioulnar joint A - 1 only B - 1 and 2 only C - 2 and 3 only D - 1, 2, and 3
D - 1, 2, and 3 The distal humerus articulates with the radius and ulna to form a part of the elbow joint. The lateral aspect of the distal humerus presents a raised, smooth, rounded surface, the capitulum, that articulates with the superior surface of the radial head. The trochlea is on the medial aspect of the distal humerus and articulates with the semilunar notch of the ulna. All three articulations are enclosed in a common capsule to form the elbow joint proper.
34
Which of the following statements are true regarding the fracture in the following clavicle? 1. It is superior to the level of the 5th rib 2. It is medial to the sternal extremity 3. It is inferior to the level of the 2nd rib 4. It is lateral to the acromion A - 1 and 2 only B - 1 and 3 only C - 2 and 4 only D - 2, 3, and 4 only
B - 1 and 3 only The height of the fracture in the image rests at the arch of the 3rd rib, placing it both superior to the 5th rib (1) and inferior to the 2nd rib (3). The fracture is located on the acromial extremity of the clavicle. This would place the fracture external to the sternal extremity (2), and medial to the acromion (4).
35
Which of the following projections will best demonstrate acromioclavicular separation? A - AP recumbent, affected shoulder B - AP recumbent, both shoulders C - AP erect, affected shoulder D - AP erect, both shoulders
D - AP erect, both shoulders Acromioclavicular (AC) joints usually are examined when separation or dislocation is suspected. They must be examined in the erect position because in the recumbent position a separation appears to reduce itself. Both AC joints are examined simultaneously for comparison because separations may be minimal.
36
Identify the head of the ulna: A - Number 3 B - Number 4 C - Number 5 D - Number 9
D - Number 9 An anterior view of the forearm is shown. The proximal anterior surface of the ulna (number 8) presents a rather large pointed process at the anterior margin of the semilunar (trochlear) notch (number 5) called the coronoid process (number 6). The olecranon process is identified as number 4, and the radial notch of the ulna is number 7. Distally, the ulnar head is number 9, and the styloid process is labeled 10. The radius (number 12) is the lateral bone of the forearm. The radial head is number 3, the radial neck is number 2, and the radial tuberosity is number 1. Distally, the radial styloid process is labeled 11.
37
Skeletal conditions characterized by faulty bone calcification include 1. osteoarthritis. 2. osteomalacia. 3. rickets. A - 1 only B - 1 and 2 only C - 2 and 3 only D - 1, 2, and 3
C - 2 and 3 only Rickets and osteomalacia are skeletal disorders characterized by abnormal calcification processes. In osteomalacia, bones become soft and are easily misshapen. Rickets affects the growing bones of children and is also characterized by soft, misshapen bones—as a result of calcium salts not being deposited in bone matrix. Osteoarthritis is a degeneration of articular cartilage; when these surfaces then attempt to articulate and move, bone friction and pain occur.
38
Which of the following conditions is limited specifically to the tibial tuberosity? A - Ewing sarcoma B - Osgood–Schlatter disease C - Gout D - Exostosis
B - Osgood–Schlatter disease Osgood-Schlatter disease is most common in adolescent boys, involving osteochondritis of the tibial tuberosity epiphysis. The large patellar tendon actually will pull the tibial tuberosity away from the tibia. Immobilization generally will resolve the issue. Ewing sarcoma is a malignant bone tumor most common in young children. It attacks long bones and presents a characteristic “onion peel” appearance. Gout is a type of arthritis that most commonly attacks the knee and first metatarsophalangeal joint, although other joints also can be involved. High levels of uric acid in the blood are deposited in the joint. Exostosis is a bony growth arising from the surface of a bone and growing away from the joint. It is a benign and some
39
Which of the following positions would best demonstrate the proximal tibiofibular articulation? A - AP B - 90 degrees mediolateral C - 45-degree internal rotation D - 45-degree external rotation
C - 45-degree internal rotation In the AP projection, the proximal fibula is at least partially superimposed on the lateral tibial condyle. Medial rotation of 45 degrees will “open” the proximal tibiofibular articulation. Lateral rotation will obscure the articulation even more.
40
A - 5–10° proximal B - 10–15° proximal C - 5–10° distal D - 10–15° distal
B - 10–15° proximal The PA axial scaphoid requires a proximal CR angulation of approximately 10–15° (B). More angulation may be required for proper visualization of the scaphoid to clear superimposed structures. A distal angulation would cause further foreshortening of the scaphoid (C, D).
41
When performing the lateral humerus with the mediolateral projection, which of the following does not apply? A - Position patient with back toward IR B - Oblique the patient 20–30° to bring humerus in contact with IR C - Center CR to midpoint of humerus D - Flex elbow to position epicondyles perpendicular to IR
A - Position patient with back toward IR When performing the mediolateral projection of the lateral humerus, the patient will be positioned facing the IR and obliqued 20–30° from PA to bring the humerus in contact with the IR (B). The CR is centered to the midpoint of the humerus (C) with elbow flexed 90° to bring the epicondyles perpendicular to the IR. The lateromedial position is taken with the patient’s back toward the IR (A).
42
Medial displacement of a tibial fracture would be best demonstrated in the A - AP projection B - lateral projection C - medial oblique projection D - lateral oblique projection
A - AP projection A frontal projection (AP or PA) demonstrates the medial and lateral relationships of structures. A lateral projection demonstrates the anterior and posterior relationships of structures. Two views, at right angles to each other, generally are taken of most structures.
43
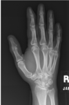
Which of the following statements are true regarding this projection? 1. The digits are parallel to the IR. 2. A proper 45-degree obliquity is demonstrated. 3. The centering is at the 3rd PIP joint. A - 2 only B - 1 and 2 only C - 2 and 3 only D - 1, 2, and 3
B - 1 and 2 only The image is an example of the PA oblique projection of the hand. In the image, the digits are parallel to the IR because the interphalangeal joints are open and the digits are not foreshortened (1). The proper 45-degree obliquity is used (2), demonstrated by slight overlapping of the 3rd through 5th metacarpal heads. The centering, however, is at the head of the 3rd metacarpal, not at the 3rd PIP joint (3).
44
How can OID be reduced for a PA projection of the wrist? A - Extend the fingers. B - Flex the metacarpophalangeal joints. C - Extend the forearm. D - Oblique the metacarpals 45 degrees.
B - Flex the metacarpophalangeal joints. When the hand is pronated and the fingers are extended for a PA projection of the wrist, the wrist arches, and an OID is introduced between the wrist and the cassette. To reduce this OID, the metacarpophalangeal joints should be flexed slightly. This maneuver will bring the anterior surface of the wrist into contact with the cassette.
45
How can the joint space be better visualized? A - flex the knee more acutely B - flex the knee less acutely C - angle the CR 5 to 7 degrees cephalad D - angle the CR 5 to 7 degrees caudad
C - angle the CR 5 to 7 degrees cephalad In the lateral projection of the knee, the joint space is obscured by the magnified medial femoral condyle unless the CR is angled 5 to 7 degrees cephalad. The knee normally should be flexed 20 to 30 degrees in the lateral position. The degree of flexion of the knee is important when evaluating the knee for possible transverse patellar fracture. In such a case, the knee should not be flexed more than 10 degrees.
46
Which of the following evaluation criteria are met in this image? (3) A - Includes proximal carpals B - Elbow is flexed 90° C - Radial tuberosity in profile D - Humeral epicondyles superimposed E - Superimposition of distal radius and ulna
A - Includes proximal carpals C - Radial tuberosity in profile E - Superimposition of distal radius and ulna The answer is A, C, and E. Evaluation criteria for the lateral forearm states that true lateral positioning will demonstrate superimposition of the distal radius and ulna and humeral epicondyles. While the distal radius and ulna are superimposed in this radiograph the humeral epicondyles are not superimposed, which suggests that the forearm and shoulder are not on the same plane. The elbow should be flexed 90°, and this example shows over-flexion. Correct rotation of the wrist will project the radial tuberosity in profile, which is well done in this example.
47
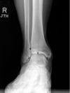
Which joint is represented by 4? A - Tibiotalar B - Medial mortise C - Lateral mortise D - Tibiofibular
D - Tibiofibular 1. Medial mortise joint: the joint space between the medial malleolus and the talus (B) 2. Lateral mortise: the space between the fibula and talus (C) 3. Tibiotalar: the joint space between the tibia and talus (A) 4. Tibiofibular: the joint space between the tibia and fibula; here the distal tibiofibular joint (D) is seen
48
Which number is the intercondyloid fossa? A - 5 B - 4 C - 2 D - 3 E - 1
C - 2 The intercondyloid fossa (2) is the cavity formed between the condyles of the femur (C). This is best demonstrated utilizing tunnel views of the knee. The medial and lateral condyles of the femur are represented by (1) and (3) respectively (D and E). The proximal tibiofibular joint is labeled (4), and the tibial plateau is labeled (5) (A and B).
49
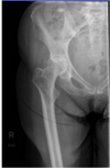
For this proximal AP femur what corrections should be made? A - Bring centering proximal 2 inches and internally rotate leg B - Externally rotate the leg to visualize the lesser trochanter in profile C - Bring centering distal 2 inches and internally rotate leg D - Internally rotate the leg to visualize the lesser trochanter in profile
C - Bring centering distal 2 inches and internally rotate leg In the AP proximal femur sample provided, the centering is too high. When imaging the femur, it is important to have precise centering to avoid anatomy cutoff. The top of the IR should be placed at the ASIS, and there should be 1-2 inches of overlap between the proximal and distal AP images taken. Centering 2 inches distal would be ideal. Internal rotation of 15-25° is needed for the AP femur, to place the femoral neck parallel to the IR and to visualize the greater trochanter in profile.
50
What projections was used? A - AP, internal rotation B - AP, external rotation C - AP, neutral position D - AP axial
B - AP, external rotation An AP, external rotation, projection of the shoulder is pictured. The hand is supinated, and the arm is in the anatomical position. Therefore, the greater tubercle (number 3) is well visualized. The greater portion of the clavicle is seen, the acromioclavicular joint (number 1), the acromion process (number 2), the coracoid process (number 4), and the glenohumeral joint (number 5). The coronoid process is located on the ulna.
51
What bone is 3? A - talus B - cuboid C - navicular D - lateral cuneiform
B - cuboid The bones of the foot include the 7 tarsal bones, 5 metatarsal bones, and 14 phalanges. The calcaneus (os calcis), or heel bone, is the largest tarsal (numbers 6 and 7). It serves as attachment for the Achilles tendon posteriorly, articulates anteriorly with the cuboid bone (number 3), presents three articular surfaces superiorly for its articulation with the talus (number 1), and has a prominent shelf on its anteromedial edge called the sustentaculum tali. The inferior surface of the talus (astragalus) articulates with the superior calcaneus to form the three-f
52
Which of the following is (are) valid criteria for a lateral projection of the forearm? 1. The radius and ulna should be superimposed proximally and distally. 2. The coronoid process and radial head should be superimposed. 3. The radial tuberosity should face anteriorly. A - 1 only B - 1 and 2 only C - 2 and 3 only D - 1, 2, and 3
C - 2 and 3 only To accurately position a lateral forearm, the elbow must form a 90° angle with the humeral epicondyles superimposed. The radius and ulna are superimposed only distally. Proximally, the ulnar coronoid process and radial head are superimposed, and the radial head faces anteriorly. Failure of the elbow to form a 90° angle or the hand to be lateral results in a less than satisfactory lateral projection of the forearm.
53
The greater tubercle should be visualized in profile in which of the following? A - AP shoulder, external rotation B - AP shoulder, internal rotation C - AP elbow D - Lateral elbow
A - AP shoulder, external rotation The greater and lesser tubercles are prominences on the proximal humerus, separated by the bicipital groove. The AP projection of the humerus in external rotation demonstrates the greater tubercle in profile. With the arm placed in internal rotation, the humerus is placed in a true lateral position and the lesser tubercle is demonstrated.
54
Which of the following articulate(s) with the bases of the metatarsals? 1. The heads of the first row of phalanges 2. The cuboid 3. The cuneiforms A - 1 only B - 1 and 2 only C - 2 and 3 only D - 1, 2, and 3
C - 2 and 3 only The foot is composed of the 7 tarsal bones, 5 metatarsals, and 14 phalanges. The metatarsals and phalanges are miniature long bones; each has a shaft, base (proximal), and head (distal). The bases of the first to third metatarsals articulate with the three cuneiforms. The bases of the fourth and fifth metatarsals articulate with the cuboid. The heads of the metatarsals articulate with the bases of the first row of phalanges.
55
Which of the following statements regarding the PA oblique scapular Y projection of the shoulder joint is (are) true? 1. The midsagittal plane should be about 60 degrees to the IR. 2. The scapular borders should be superimposed on the humeral shaft. 3. An oblique projection of the shoulder is obtained. A - 1 only B - 1 and 2 only C - 2 and 3 only D - 1, 2, and 3
C - 2 and 3 only The scapular Y projection of the shoulder joint, used to demonstrate dislocations, requires that the midcoronal plane be about 45-60 degrees to the IR (MSP is about 30 degrees), thus resulting in an oblique projection of the shoulder. The vertebral and axillary borders of the scapula are superimposed on the humeral shaft, and the resulting relationship between the glenoid fossa and humeral head will demonstrate anterior or posterior dislocation. Lateral or medial dislocation is evaluated on the AP projection. `