2.5.D Extremities Flashcards

(53 cards)

1
Q

For an AP projection of the knee on a patient whose measurement from ASIS to tabletop is 21 cm, which CR direction will best demonstrate the knee joint?

A - 5 degrees caudad
B - 10 degrees caudad
C - 5 degrees cephalad
D - 0 degrees (perpendicular)

A

D - 0 degrees (perpendicular)

The knee is formed by the proximal tibia, the patella, and the distal femur, which articulate to form the femorotibial and femoropatellar joints. Body habitus will change the relationship of the knee-joint space with the tabletop/IR considerably. The CR should be directed to ½ inch below patellar apex (knee joint). The direction of CR depends on distance between the ASIS and tabletop/IR. When this distance is up to 19 cm (thin pelvis), the CR should be directed 3 to 5 degrees caudad; when the distance is between 19 to 24 cm, the CR is directed vertically/perpendicular (0 degrees); when the distance is greater than 24 cm (thick pelvis), the CR is directed 3 to 5 degrees cephalad.

How well did you know this?
1
Not at all
2
3
4
5
Perfectly
2
Q

Which of the following projections will best demonstrate the carpal scaphoid?

A - Lateral wrist
B - Ulnar deviation
C - Radial deviation
D - Carpal tunnel

A

B - Ulnar deviation

The carpal scaphoid is somewhat curved and consequently foreshortened radiographically in the PA projection/position. To better separate it from the adjacent carpals, the ulnar deviation maneuver is frequently employed. In addition to correcting foreshortening of the scaphoid, ulnar deviation opens the interspaces between adjacent lateral carpals. Radial deviation is used to better demonstrate medial carpals.

How well did you know this?
1
Not at all
2
3
4
5
Perfectly
3
Q

Proper positioning for the lateral calcaneus will result in:

1) Open joint space between calcaneus and cuboid
2) Superimposed talar domes
3) Lateral malleolus free of superimposition

A - 1 and 2 only
B - 1 and 3 only
C - 2 and 3 only
D - 1, 2, and 3

A

A - 1 and 2 only

Proper positioning for the lateral calcaneus will result in open joint spaces between the calcaneus and cuboid (1), talus and calcaneus, and talus and navicular. The talar domes should be superimposed (2). The lateral malleolus will partially superimpose the distal tibia and talus (3).

How well did you know this?
1
Not at all
2
3
4
5
Perfectly
4
Q

Examples of synovial pivot articulations include the

  1. atlantoaxial joint
  2. radioulnar joint
  3. temporomandibular joint

A - 1 only
B - 1 and 2 only
C - 2 and 3 only
D - 1, 2, and 3 only

A

B - 1 and 2 only

Synovial pivot joints are diarthrotic, that is, freely movable. Pivot joints permit rotation motion. Examples include the proximal radioulnar joint that permits supination and pronation of the hand and the atlantoaxial joint, the articulation between C1 and C2. The atlantoaxial joint permits rotation of the head. The temporomandibular joint is diarthrotic, having both hinge and planar movements.

How well did you know this?
1
Not at all
2
3
4
5
Perfectly
5
Q

Which of the following statements regarding Figure 2–10 is (are) true?

  1. Correct degree of rotation is present.
  2. Midphalanges are foreshortened.
  3. Fingers are parallel to the IR.

A - 1 only
B - 1 and 2 only
C - 2 and 3 only
D - 1, 2, and 3

Get Image……

A

B - 1 and 2 only

A PA oblique projection of the hand is shown. The correct degree of obliquity (45 degrees) is evidenced by no overlap of midshaft third, fourth, and fifth metacarpals and minimal overlap of their heads. The interphalangeal joint spaces are not visualized because the fingers are not elevated to be parallel to the IR, hence, they are foreshortened.

How well did you know this?
1
Not at all
2
3
4
5
Perfectly
6
Q

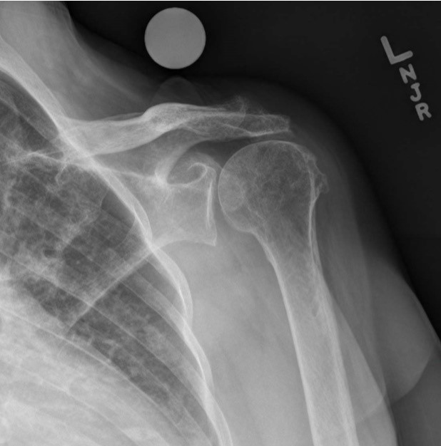
The Grashey method of the oblique shoulder is used to demonstrate which of the following?

A - Glenohumeral joint
B - Anterior dislocation of the humerus
C - Lesser tubercle abnormalities
D - Posterior dislocation of the humerus

A

A - Glenohumeral joint

The Grashey method of the oblique shoulder is used to demonstrate the glenohumeral joint space, fractures of the glenoid and proximal humerus, and degenerative changes of the shoulder girdle (A). This projection should not be utilized for evaluation of anterior or posterior dislocations; the scapular Y or axial projections provide more useful information (B and D). The lesser tubercle is best seen on the AP projection of the shoulder with internal rotation, which brings the lesser tubercle in profile (C).

How well did you know this?
1
Not at all
2
3
4
5
Perfectly
7
Q

Which of the following is (are) located on the proximal aspect of the humerus?

  1. Intertubercular groove
  2. Capitulum
  3. Coronoid fossa

A - 1 only
B - 1 and 2 only
C - 1 and 3 only
D - 1, 2, and 3

A

A - 1 only

The intertubercular (bicipital) groove is located on the proximal humerus, distal to the head, between the greater and lesser tubercles. The distal humerus articulates with the radius and ulna to form the elbow joint. The lateral aspect of the distal humerus presents a raised, smooth, rounded surface, the capitulum, which articulates with the superior surface of the radial head. The trochlea is on the medial aspect of the distal humerus and articulates with the semilunar notch of the ulna. Just proximal to the capitulum and the trochlea are the

How well did you know this?
1
Not at all
2
3
4
5
Perfectly
8
Q

A modified axiolateral inferosuperior projection of the femoral neck is particularly useful

1 - when the “cross-table” axiolateral is contraindicated.
2 - for patients with bilateral hip fractures.
3 - for patients with limited movement of the unaffected leg.

A - 1 only
B - 1 and 2 only
C - 1 and 3 only
D - 1, 2, and 3

A

D - 1, 2, and 3

The correct answer is: (D)

Typically, traumatic injury to the hip requires a cross-table (axiolateral) lateral projection. Occasionally, this projection may be contraindicated, for example, a patient with suspected bilateral hip fractures, or one who is unable to move the unaffected hip out of the way as required by the axiolateral. In these instances, the axiolateral inferosuperior trauma projection (Clements–Nakayama method) can be employed. The patient is recumbent with lateral surface of affected side close to table/stretcher edge. The CR is directed almost horizontally to the affected femoral neck (inferosuperior), with a 15° posterior angulation. Correct placement and angulation of the grid cassette is essential to avoid grid cutoff.

How well did you know this?
1
Not at all
2
3
4
5
Perfectly
9
Q

In the mediolateral projection of the knee, which of the following structures are visualized?

A - Superimposed medial and lateral femoral condyles
B - Intercondylar eminence
C - Medial malleolus
D - Fibular head
E - Patellofemoral joint space
F - Intercondylar fossa
G - Lateral malleolus
H - Infrapatellar fat pad region

A

A - Superimposed medial and lateral femoral condyles
D - Fibular head
E - Patellofemoral joint space
H - Infrapatellar fat pad region

The answers are A, D, E, and H.

In the mediolateral projection of the knee, the femoral condyles should be superimposed (A). Proper CR angulation and elimination of tilt can demonstrate the intercondylar eminence, seen here superimposed on the femoral condyles (B), and lack of rotation will be evident by visualization of the patellofemoral joint space (E). The fibular head (D) is located on the proximal fibula and will be projected partially superimposed by the tibia. Lastly, soft tissue detail, such as the fat pad anterior to the knee joint (infrapatellar fat pad), will be seen

How well did you know this?
1
Not at all
2
3
4
5
Perfectly
10
Q

Which of the following projections of the ankle would best demonstrate the mortise?

A - Medial oblique 15 to 20 degrees
B - Lateral oblique 15 to 20 degrees
C - Medial oblique 45 degrees
D - Lateral oblique 45 degrees

A

A - Medial oblique 15 to 20 degrees

The Correct Answer is: A

The 15-degree medial oblique projection is used to demonstrate the ankle mortise (joint). Although the joint is well demonstrated in the 15-degree medial oblique projection, there is some superimposition of the distal tibia and fibula, and greater obliquity is required to separate the bones. To best demonstrate the distal tibiofibular articulation, a 45-degree medial oblique projection of the ankle is required.

How well did you know this?
1
Not at all
2
3
4
5
Perfectly
11
Q

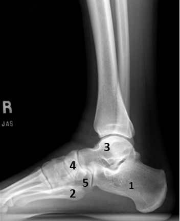
Which of the numbered tarsal bones is the cuboid?

A - 1
B - 4
C - 2
D - 5
E - 3

A

D - 5

The Correct Answer is: D

The cuboid (5) is located proximal to the base of the fifth metatarsal (2) and articulates with the calcaneus (1) (A, C, and D). The talus is located directly above the calcaneus (3) and distal to the tibia (E). The navicular (

How well did you know this?
1
Not at all
2
3
4
5
Perfectly
12
Q

The relationship between the ends of fractured long bones is referred to as

A - angulation
B - apposition
C - luxation
D - sprain

A

B - apposition

The Correct Answer is: B

Various terms are used to describe the position of fractured ends of long bones. The term apposition is used to describe the alignment, or misalignment

How well did you know this?
1
Not at all
2
3
4
5
Perfectly
13
Q

Which structure is labeled 7?

A - Coracoid process
B - Coronoid process
C - Trochlear notch
D - Radial notch

A

D - Radial notch

The Correct Answer is: D

An anterior view of the forearm is shown. The proximal anterior surface of the ulna (number 8) presents a rather large pointed process at the anterior margin of the semilunar (trochlear) notch (number 5) called the coronoid process (number 6). The olecranon process is identified as number 4, and the radial notch of the ulna is number 7. Distally, the ulnar head is number 9, and the styloid process is labeled 10. The radius (number 12) is the lateral bone of the forearm. The radial head is number 3, the radial neck is number 2, and the radial tuberosity is number 1. Distally, the radial styloid process is labeled 11.

How well did you know this?
1
Not at all
2
3
4
5
Perfectly
14
Q

Angulation of the central ray may be required

1 - to avoid superimposition of overlying structures.
2 - to avoid foreshortening or self-superimposition.
3 - to project through certain articulations.

A - 1 only
B - 2 only
C - 1 and 3 only
D - 1, 2, and 3

A

D - 1, 2, and 3

The Correct Answer is: D

If structures are overlying or underlying the area to be demonstrated (eg, the medial femoral condyle obscuring the joint space in the lateral knee projection), central ray angulation is employed (eg, 5° cephalad angulation to see the joint space in the lateral knee). If structures would be foreshortened or self-superimposed (eg, the scaphoid in a PA wrist), central ray angulation may be employed to place the structure more closely parallel with the IR. Another example is the oblique cervical spine, where cephalad or caudad angulation is required to “open”

How well did you know this?
1
Not at all
2
3
4
5
Perfectly
15
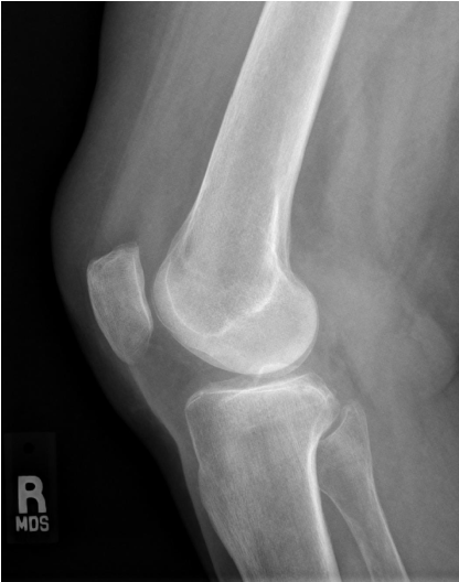
Q

Which of the following would correct the positioning error demonstrated?

1 - Direct the CR more medially
2 - Rotate knee 5-10° externally
3 - Angle CR 5-10° caudad to level tibia plateaus

A - 2 only
B - 1 and 2 only
C - 2 and 3 only
D - 1 and 3 only

A

B - 1 and 2 only

The correct answer is B.

The AP knee above has part rotation and has slightly askew centering. To correct for these positioning errors, the patient’s knee should be centered more medially (1) in order to reduce medial soft tissue cutoff. The knee should also be rotated 5-10° externally. The knee is currently rotated internally, thus visualizing the proximal tibiofibular articulation. If angulation were to be used, a cephalic angulation of 5-7° could be applied to level the tibial plateaus (3).

How well did you know this?
1
Not at all
2
3
4
5
Perfectly
16
Q

Which type of articulation is evaluated in arthrography?

A - Synarthrodial
B - Diarthrodial
C - Amphiarthrodial
D - Cartilaginous

A

B - Diarthrodial

The Correct Answer is: B

Arthrography is the study of diarthrodial/synovial joints and related soft tissue structures using contrast media. Diarthrodial joints are freely movable joints that distinctively contain a joint capsule. Contrast medium is injected into the joint capsule to demonstrate the menisci, articular cartilage, bursae, and ligaments of the joint under investigation. Synarthrodial (fibrous) joints are immovable joints composed of either cartilage or fibrous connective tissue. Amphiarthrodial (cartilaginous) joints allow only slight movement.

How well did you know this?
1
Not at all
2
3
4
5
Perfectly
17
Q

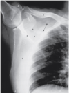
Which of the following statements are correct regarding the radiograph shown?

1 - It demonstrates a scapular Y projection.
2 - The axillary and vertebral borders are superimposed.
3 - It is performed to demonstrate shoulder dislocation.

A - 1 only
B - 2 only
C - 1 and 2 only
D - 2 and 3 only

A

B - 2 only

The Correct Answer is: B

The radiograph in the Figure illustrates a lateral projection of the scapula. The axillary and vertebral borders are superimposed. The acromion and coracoid process are visualized; the coracoid process is partially superimposed on the axillary portion of the third rib. A scapular Y projection is often performed to demonstrate shoulder dislocation, but the affected arm is left to rest at the patient’s side; the arm in this radiograph is abducted somewhat to better view the body of the scapula.

How well did you know this?
1
Not at all
2
3
4
5
Perfectly
18
Q

In the typical AP projection of the ankle, the

1 - plantar surface of the foot is vertical.
2 - fibula projects more distally than the tibia.
3 - calcaneus is well visualized.

A - 1 only
B - 1 and 2 only
C - 2 and 3 only
D - 1, 2, and 3

A

B - 1 and 2 only

The Correct Answer is: B

To demonstrate the ankle joint space to best advantage, the plantar surface of the foot should be vertical in the AP projection of the ankle. Note that the fibula is the more distal of the two long bones of the lower leg and forms the lateral malleolus. The calcaneus is not well visualized in this projection because of superimposition with other tarsals.

How well did you know this?
1
Not at all
2
3
4
5
Perfectly
19
Q

A spontaneous fracture most likely would be associated with

A - pathology.
B - crepitus.
C - trauma.
D - metabolism.

A

A - pathology.

The Correct Answer is: A

Spontaneous fractures most often affect bone weakened by a pathologic condition, for example, metastatic bone disease. The spontaneous fracture occurs suddenly, without trauma. One measure of a good radiographer is his or her ability to be cautious and resourceful when examining injured or debilitated patients having pathologic or traumatic conditions such as metastatic bone disease, arthritis, or bone fractures. Crepitus refers to a crackling sound made by a body part—such as the sound of fractured ends of bones rubbing together. Metabolism refers to the numerous energy and material transformations that take place in the body and is not associated with spontaneous fractures.

How well did you know this?
1
Not at all
2
3
4
5
Perfectly
20
Q

All of the following bones are associated with condyles except the

A - femur.
B - tibia.
C - fibula.
D - mandible.

A

C - fibula.

The Correct Answer is: C

The distal femur is associated with two large condyles; the deep depression separating them is the intercondyloid fossa (Fig. A). The proximal tibia has two condyles; their superior surfaces are smooth, forming the tibial plateau. The mandible has a condyle that articulates with the mandibular fossa of the temporal bone, forming the temporomandibular joint. The fibula has a proximal styloid process and a distal malleolus, but no condyle.

How well did you know this?
1
Not at all
2
3
4
5
Perfectly
21
Q

All elbow fat pads are best demonstrated in which position?

A - AP
B - Lateral
C - Acute flexion
D - AP partial flexion

A

B - Lateral

The Correct Answer is: B

There are three important fat pads associated with the elbow. The anterior fat pad is located just anterior to the distal humerus. The posterior fat pad is located within the olecranon fossa at the distal posterior humerus. The supinator fat pad/stripe is located at the proximal radius just anterior to the head, neck, and tuberosity. The posterior fat pad is not visible radiographically in the normal elbow. All three fat pads can be demonstrated only in the lateral projection of the elbow.

How well did you know this?
1
Not at all
2
3
4
5
Perfectly
22
Q

Which of the following positions can be used to demonstrate a vertical patellar fracture and the patellofemoral articulation?

A - AP knee
B - Lateral knee
C - Tangential patella
D - Tunnel view

A

C - Tangential patella

The Correct Answer is: C

In the tangential (sunrise) projection of the patella, the CR is directed parallel to the longitudinal plane of the patella, thereby demonstrating a vertical fracture and providing the best view of the patellofemoral articulation. The AP knee projection could demonstrate a vertical fracture through the superimposed femur, but it does not demonstrate the patellofemoral articulation. The tunnel view of the knee is used to demonstrate the intercondyloid fossa.

23
Q

With the patient and the x-ray tube positioned as illustrated in the figure below, which of the following will be visualized?
1. Intercondyloid fossa
2. Patellofemoral articulation
3. Tangential patella

A - 1 only
B - 1 and 2 only
C - 2 and 3 only
D - 1, 2, and 3

A

C - 2 and 3 only

Note the relationship between the thigh, lower leg, patella, and CR. The CR is directed parallel to the plane of the patella, thereby providing a tangential projection of the patella (i.e., patella in profile) and an unobstructed view of the patellofemoral articulation. A tunnel view is required to demonstrate the intercondyloid fossa and the articulating surfaces of the tibia and femur.

24
Q

What projection would demonstrate number 6?

A - PA projection
B - Lateral projection
C - AP external oblique
D - AP internal oblique

A

B - Lateral projection

The figure shows a posterior view of the elbow. The distal posterior humerus (number 1) is seen, as well as the proximal posterior radius (number 4) and ulna (number 3). Additional structures identified are the medial epicondyle (number 2), the olecranon fossa (number 5), olecranon process (number 6), lateral epicondyle (number 7), and radial head (number 8) The olecranon process (number 6) can best be demonstrated in the lateral projection; it can also be demonstrated in the acute flexion position. The AP internal oblique will demonstrate the coronoid process; the AP external oblique will demonstrate the radial head free of superimposition.

25
Conditions in which there is a lack of normal bone calcification include 1. rickets. 2. osteomalacia. 3. osteoarthritis. A - 1 only B - 1 and 2 only C - 2 and 3 only D - 1, 2, and 3
B - 1 and 2 only Rickets and osteomalacia are disorders in which there is softening of bone. Rickets results from a deficiency of vitamin D and usually is found affecting the growing bones of young children. The body's weight on the soft bones of the legs results in bowed and misshapen legs. Osteomalacia is an adult condition in which new bone fails to calcify. It is a painful condition and can result in easily fractured bones, especially in the lower extremities. Osteoarthritis is seen often in the elderly and is characterized by degeneration of articular cartilage in adjacent bones. The resulting rubbing of bone against bone results in pain and deterioration.
26
Which surface must be adjacent to the IR to obtain a lateral projection of the fourth digit/finger with optimal recorded detail? A - Anterior B - Posterior C - Medial D - Lateral
C - Medial A lateral projection of the fourth digit/finger is best obtained if the finger is positioned so that there is as little OID as possible. Therefore, with only the fourth digit extended in the lateral position, the arm is positioned on the ulnar (medial) surface. This places the digit closer to the IR than if it were positioned radial side down. Excessive magnification distortion is avoided, and better spatial resolution is obtained.
27
Posterior displacement of a tibial fracture would be best demonstrated in the A - AP projection. B - lateral projection. C - medial oblique projection. D - lateral oblique projection.
B - lateral projection. A frontal projection (AP or PA) demonstrates the medial and lateral relationship of structures. A lateral projection demonstrates the anterior and posterior relationship of structures. Two views, at right angles to each other, are generally taken of most structures.
28
Which of the following views would best demonstrate arthritic changes in the knees? A - AP recumbent B - Lateral recumbent C - AP erect D - Medial oblique
C - AP erect Arthritic changes in the knee result in changes in the joint bony relationships. These bony relationships are best evaluated in the AP position. Narrowing of the joint spaces is readily detected more on AP weight-bearing projections than on recumbent projections.
29
A patient unable to extend his or her arm is seated at the end of the x-ray table, elbow flexed 90 degrees, with epicondyles perpendicular to IR. The CR is directed 45 degrees medially. Which of the following structures is/are well demonstrated? 1. Radial head 2. Capitulum 3. Coronoid process A - 1 only B - 1 and 2 only C - 2 and 3 only D - 1, 2, and 3
B - 1 and 2 only The axial trauma lateral (Coyle) position is described. If routine elbow projections in extension are not possible because of limited part movement, this position can be used to demonstrate the coronoid process and/or radial head. With the elbow flexed 90 degrees, the epicondyles perpendicular to the IR, and the CR directed to the elbow joint at an angle of 45 degrees medially (i.e., toward the shoulder), the joint space between the radial head and capitulum should be revealed. With the elbow flexed 80 degrees and the CR directed to the elbow joint at an angle of 45 degrees laterally (i.e., from the shoulder toward the elbow), the elongated coronoid process will be visualized.
30
The sternoclavicular joint is classified as which type of joint: A - Spheroidal B - Ginglyumus C - Plane D - Trochoid
C - Plane The sternoclavicular joint is a plane or gliding joint marked by a sliding/gliding motion between the sternum and clavicle (C). This type of joint does not allow for much movement. Spherical or ball-and-socket joints are freely movable and are found in the hip and shoulder joints (A). Ginglymus or hinge joints are found in the interphalangeal and elbow joints (B). Trochoid or pivot joints are found between C1 and C2 and between the radius and ulna (proximal and distal) (D).
31
Which of the following is used to obtain a lateral projection of the upper humerus on patients who are unable to abduct their arm? A - Bicipital groove projection B - Superoinferior lateral C - Inferosuperior axial D - Transthoracic lateral
D - Transthoracic lateral The transthoracic (Lawrence) method is used when trauma exists, and the arm cannot be rotated or abducted because of an injury. This method results in a projection 90 degrees from the AP projection and shows the relationship between the proximal humerus and the scapula.
32
What number identifies the radial styloid process? A - Number 1 B - Number 4 C - Number 10 D - Number 11
D - Number 11 An anterior view of the forearm is pictured. The proximal anterior surface of the ulna (number 8) presents a rather large pointed process at the anterior margin of the semilunar (trochlear) notch (5) called the coronoid process (6). The olecranon process is identified as number 4, and the radial notch of the ulna is number 7. Distally, the ulnar head is number 9, and the styloid process is labeled 10. The radius (number 12) is the lateral bone of the forearm. The radial head is number 3, the radial neck is number 2, and the radial tuberosity is number 1. Distally, the radial styloid process is labeled 11.
33
Which of the following criteria is (are) required for visualization of the greater tubercle in profile? 1. Epicondyles parallel to the IR 2. Arm in external rotation 3. Humerus in AP position A - 1 only B - 1 and 3 only C - 2 and 3 only D - 1, 2, and 3
D - 1, 2, and 3 The greater and lesser tubercles are prominences on the proximal humerus separated by the intertubercular (bicipital) groove. The AP projection of the humerus/shoulder places the epicondyles parallel to the IR and the shoulder in external rotation, and demonstrates the greater tubercle in profile. The lateral projection of the humerus places the shoulder in extreme internal rotation with the epicondyles perpendicular to the IR and demonstrates the lesser tubercle in profile.
34
To demonstrate the glenoid cavity in profile, the patient is positioned A - 45 degrees oblique, affected side away from IR. B - 45 degrees oblique, affected side adjacent to IR. C - 25 degrees oblique, affected side away from IR. D - 25 degrees oblique, affected side adjacent to IR.
B - 45 degrees oblique, affected side adjacent to IR. When viewing the glenoid cavity/fossa from the anterior, it is seen to angle posteriorly and laterally approximately 45 degrees. To view it in profile, then, it must be placed so that its surface is perpendicular to the IR. The patient is positioned in a 45-degree oblique, affected side adjacent to IR, which places the glenoid fossa approximately perpendicular to the IR. The arm is abducted slightly, the elbow is flexed, and the hand and forearm are placed over the abdomen. The CR is directed perpendicular to the glenohumeral joint.
35
The following procedure can be employed to better demonstrate the carpal scaphoid: 1. elevate hand and wrist 20°. 2. place wrist in ulnar deviation. 3. angle CR 20° distally (toward fingers). A - 1 only B - 1 and 2 only C - 1 and 3 only D - 1, 2, and 3
B - 1 and 2 only The carpal scaphoid is a curved, boat-shaped, bone, and is therefore superimposed on itself ("self-superimposition") in a routine PA projection. Since the scaphoid is the most frequently fractured carpal, special projections have been developed to help overcome self-superimposition. Stecher (in 1937) recommended elevating the hand and wrist 20° and using a perpendicular CR directed to the scaphoid. Effective variations of this position include employing ulnar deviation and angling the CR 20° proximally (toward the elbow). The 20° tube angulation would be used in place of the elevated hand/wrist.
36
The best projection to demonstrate the articular surfaces of the femoropatellar articulation is the A - AP knee. B - PA knee. C - tangential ("sunrise") projection. D - tunnel view.
C - tangential ("sunrise") projection. The tangential ("sunrise") projection is used to demonstrate the articular surfaces of the femur and patella. It is also used to demonstrate vertical fractures of the patella. The AP, PA, and oblique projections of the knee are used primarily to evaluate the joint space and articulating structures. The tunnel view is used to demonstrate the intercondyloid fossa.
37
Which of the following is (are) located on the anterior aspect of the femur? 1. Patellar surface 2. Intertrochanteric crest 3. Linea aspera A - 1 only B - 1 and 2 only C - 2 and 3 only D - 1, 2, and 3
A - 1 only The femur is the longest and strongest bone in the body. The femoral shaft is bowed slightly anteriorly and presents a long, narrow ridge posteriorly called the linea aspera. The proximal femur consists of a head that is received by the pelvic acetabulum. The femoral neck, which joins the head and shaft, normally angles upward about 120 degrees and forward (in anteversion) about 15 degrees. The greater and lesser trochanters are large processes on the posterior proximal femur. The intertrochanteric crest runs obliquely between the posterior trochanters; the intertrochanteric line parallels the intertrochanteric crest on the anterior femoral surface. The intercondyloid fossa, a deep notch, is found on the distal posteri
38
Which of the following is most useful for bone age evaluation? A - Lateral skull B - PA chest C - AP pelvis D - PA hand
D - PA hand A PA projection of the left hand and wrist is obtained most often to evaluate skeletal maturation. These images are compared with standard normal images for the age and sex of the child. Additional supplemental images may be requested.
39
Which of the following statements regarding knee x-ray arthrography is (are) true? 1. Ligament tears can be demonstrated. 2. Sterile technique is observed. 3. MRI can follow x-ray. A - 1 and 2 only B - 1 and 3 only C - 2 and 3 only D - 1, 2, and 3
D - 1, 2, and 3 X-ray arthrography requires the use of local anesthesia; sterile technique must be observed to avoid introducing infection into the joint. Fluoroscopy is used for proper placement of the needle and to obtain images immediately after the introduction of contrast medium. Arthrogram is frequently followed up with magnetic resonance (MR) arthrogram to visualize additional soft tissue structures. Arthrography is performed to detect compromised knee capsule structures, meniscal damage, ligament tears, and Baker cysts.
40
In which of the following positions/projections will the talocalcaneal joint be visualized? A - Dorsoplantar projection of the foot B - Plantodorsal projection of the calcaneus C - Medial oblique position of the foot D - Lateral foot
B - Plantodorsal projection of the calcaneus The talocalcaneal, or subtalar, joint is a three-faceted articulation formed by the talus and the os calcis (calcaneus). The plantodorsal and dorsoplantar projections of the os calcis should exhibit sufficient receptor exposure to visualize the talocalcaneal joint. This is the only "routine" projection that will demonstrate the articular surfaces of the talocalcaneal joint. The lateral projection demonstrates the calcaneocuboid joint but does not demonstrate the entirety of the talocalcaneal joint, demonstrating all its articular surfaces. If evaluation of the talocalcaneal joint is desired, special views (such as the Broden and Isherwood methods) are required.
41
The secondary center of ossification in long bones is the A - periosteum. B - endosteum. C - epiphysis. D - diaphysis.
C - epiphysis. Bones are classified as long, short, flat, and irregular. Many of the bones making up the extremities are long bones. Long bones have a shaft and two extremities (ends). The shaft (or diaphysis) of long bones is the primary ossification center during bone development. It is composed of compact tissue and covered with a membrane called periosteum. Within the shaft is the medullary cavity, which contains bone marrow and is lined by the membrane called endosteum. In the adult, yellow marrow occupies the shaft, and red marrow is found within the proximal and distal extremities of long bones. The secondary ossification center, the epiphysis, is separated from the diaphysis
42
Which projection of the foot will best demonstrate the longitudinal arch? A - Mediolateral B - Lateromedial C - Lateral weight-bearing D - 30-degree medial oblique
C - Lateral weight-bearing The bones of the foot are arranged to form a number of longitudinal and transverse arches. The longitudinal arch facilitates walking and is evaluated radiographically in lateral weight-bearing (erect) projections. Recumbent laterals would not demonstrate any structural change that occurs when the individual is weight-bearing erect.
43
Which of the following projections or positions will demonstrate the supraspinatus outlet for shoulder impingement? A - Tangential, Neer method B - AP axial C - Transthoracic lateral D - Inferosuperior, West Point method
A - Tangential, Neer method The Neer method is an LAO or RAO position used to demonstrate the coracoacromial arch/outlet for demonstration of shoulder impingement. The patient is rotated, with affected side toward IR, enough to place scapular body perpendicular to the IR. The central ray is directed 10 to 15° caudally to the anterior aspect of the humeral head. This position demonstrates the superior border of the coracoacromial arch/outlet formed by the posterior surface of the acromion process and the acromioclavicular joint. The iinferosuperior West Point method will demonstrate abnormalities of the glenoid rim and Hill-Sacks defects of the humeral head.
44
What structure is letter A A - greater tubercle B - coronoid process C - coracoid process D - acromion process
D - acromion process The radiograph illustrates an AP projection of the scapula; abduction of the arm moves the scapula away from the rib cage, revealing a greater portion of the scapula than would be visualized with the arm at the side. A number of bony structures are identified: the acromion process (A), the humeral head (B), glenoid fossa (C), scapular spine (D), clavicle (E), supraspinatus fossa (F), acromioclavicular joint (G), scapular notch (H), coracoid process (I), inferior angle/apex (J), body/costal surface (K), lateral/axillary border (L).
45
Which of the following is (are) located on the distal aspect of the humerus? 1. Capitulum 2. Intertubercular groove 3. Coronoid fossa A - 1 only B - 1 and 2 only C - 1 and 3 only D - 1, 2, and 3
C - 1 and 3 only The distal humerus articulates with the radius and ulna to form the elbow joint. The lateral aspect of the distal humerus presents a raised, smooth, rounded surface, the capitulum, that articulates with the superior surface of the radial head. The trochlea is on the medial aspect of the distal humerus and articulates with the semilunar notch of the ulna. Just proximal to the capitulum and the trochlea are the lateral and medial epicondyles; the medial is more prominent and palpable. The coronoid fossa is found on the anterior distal humerus and functions to accommodate the coronoid process with the elbow in flexion. The intertubercular (bicipital) groove is located on the proximal humerus.
46
Knee arthrography may be performed to demonstrate a 1. torn meniscus. 2. Baker's cyst. 3. torn rotator cuff. A - 1 and 2 only B - 1 and 3 only C - 2 and 3 only D - 1, 2, and 3
A - 1 and 2 only Knee arthrography may be performed to demonstrate torn meniscus (cartilage), Baker's cyst, loose bodies, and ligament damage. A torn rotator cuff would be demonstrated on a shoulder, not a knee arthrogram.
47
All of the following statements regarding the inferosuperior axial (nontrauma, Lawrence method) projection of the shoulder are true, except A - the coracoid process and lesser tubercle are seen in profile. B - the arm is abducted about 90° from the body. C - the arm should be in internal rotation. D - the CR is directed medially 25° to 30° through the axilla.
C - the arm should be in internal rotation. The inferosuperior axial (nontrauma, Lawrence method) projection of the shoulder demonstrates the glenohumeral joint and adjacent structures. The patient is supine with arm abducted 90°, and in external rotation. The (horizontal) CR is directed medially 25° to 30° through the axilla. The coracoid process and lesser tubercle are seen in profile.
48
All the following can be associated with the distal radius except A - head. B - styloid process. C - ulnar notch. D - radioulnar joint.
A - head. The distal radius presents a styloid process laterally; its ulnar notch is located medially, helping to form the distal radioulnar articulation. The distal surface of the radius (carpal articular surface) is smooth for accommodating the scaphoid and lunate to form the radiocarpal (wrist) joint. The proximal radius has a cylindrical head with a medial surface that participates in the proximal radioulnar joint; its superior surface articulates with the capitulum of the humerus. Fracture of the distal radius is one of the most common skeletal fractures. Fractures of the radial head and neck frequently result from a fall onto an outstretched hand with the elbow partially flexed. Severe fractures often are accompanied by posterior dislocation of the elbow joint. Colles' fractures of the distal radius usually result from a fall onto an outstretched hand with the arm extended.
49
What portion of the humerus articulates with the ulna to help form the elbow joint? A - Semilunar/trochlear notch B - Radial head C - Capitulum D - Trochlea
D - Trochlea The distal humerus articulates with the proximal radius and ulna to form the elbow joint. Specifically, the semilunar/trochlear notch of the proximal ulna articulates with the trochlea of the distal medial humerus. The capitulum is lateral to the trochlea and articulates with the radial head (see figures below).
50
What is represented by number 7? A - Medial border B - Lateral border C - Inferior angle D - Superior angle
B - Lateral border Figure 2–29 depicts a posterior view of the right scapula and its articulation with the humerus (number 4). The scapula presents two borders—the lateral or axillary border (number 7) and the medial or vertebral border (number 9). It also presents three angles—the inferior angle (number 8), the superior angle (number 12), and the lateral angle (number 6). The processes of the scapula are the coracoid (number 2), the acromion (number 3), and the scapular spine (number 13). The scapula has a (supra) scapular notch (number 1), a supraspinatus fossa (number 11), and an infraspinatus fossa (number 10). Number 5 identifies the glenoid fossa—the articular surface for the humeral head, forming the glenohumeral articulation.
51
Which of the following is (are) accurate positioning or evaluation criteria for an AP projection of the normal knee? 1. Femorotibial interspaces equal bilaterally. 2. Patella superimposed on distal tibia. 3. CR enters ½ in. distal to base of patella. A - 1 only B - 1 and 2 only C - 1 and 3 only D - 1, 2, and 3
A - 1 only In the AP projection of the normal knee, the space between the tibial plateau and the femoral condyles is equal bilaterally. It is, therefore, important that there be no pelvic rotation that could change the appearance of an otherwise normal relationship. The AP projection of the knee superimposes the patella and femur. The CR should enter at the knee joint, located ½ in. distal to the patellar apex.
52
Which of the following articulates with the base of the fifth metatarsal? A - First cuneiform B - Third cuneiform C - Navicular D - Cuboid
D - Cuboid The bones of the foot include the seven tarsal bones, five metatarsal bones, and 14 phalanges. The calcaneus (os calcis) serves as the attachment for the Achilles tendon and articulates anteriorly with the cuboid bone. Articulating anteriorly with the navicular are the three cuneiform bones: medial/first, intermediate/second, and lateral/third. The navicular articulates laterally with the cuboid. The bases of the fourth and fifth metatarsals articulate with the cuboid. The fifth (most lateral) metatarsal projects laterally and presents a large tuberosity at its base making it very susceptible to fracture.
53
1. The tibial eminences are well visualized. 2. The intercondyloid fossa is demonstrated between the femoral condyles. 3. The femorotibial articulation is well demonstrated. A - 1 only B - 1 and 2 only C - 1 and 3 only D - 2 and 3 only
C - 1 and 3 only The pictured radiograph is an AP projection of the knee with the knee extended. The tibial intercondylar eminences are well demonstrated on the tibial plateau, and the femorotibial joint is well visualized. The intercondyloid fossa is not demonstrated here. A "tunnel" view of the knee is required to demonstrate the intercondyloid fossa.