List three reasons why rx not accurate for cardiac evaluation
1) Variations in normal
2) Effect of positioning on appearance
3) Poor correlation between morphological and physiological abnormalities
Which radiographic projections comparatively influence the appearance of the cardiac silhouette most profoundly? How / why?
DV vs VD
DV: Diaphragm billows forward, displacing heart cranially and to the left to a varying degree -> more pronounced in medium / large breeds
VD: Magnification of the heart in LARGE BREEDS due to distance from plate
Describe the vertebral heart scoring system. Why is it used?
Technique:
Normal: 8.7-10.7 (Too variable!)
**Up to 1.0 may vary with cardiac / resp cycle**
=> Best used for serial images in same patient
DOES NOT PERFORM BETTER THAN QUALITATIVE
What is the most common chamber dilation in the dog? Why?
LA -> Prevalence of MMVD
Why does LA dilation result from L->R shunting?
Pulmonary overcirculation and VOLUME OVERLOAD
In the DV projection, what structures are identified at the 12-1; 1-2; and 2-3 positions on the clock face? Where is the RA identified?

Why do dogs with LAE cough?
Possibly some inpingment from LA BUT USUALLY DUE TO CHONDROMALACIA
-> NO association between canine CHF and coughing
How can LAE and TB LN+ be distinguished?
BOTH cause divergence of prinipal bronchi
LAE: Ventral to bifurcation
TB LN: Dorsal to bifurcation (typically)
List radiographic features of LAE in the dog
Lateral:
Dorsocaudal bulge
Flattening / concavity of caudal margin
Loss of cardiac waste
DV:
Divergence of principal bronchi
“Double wall” - appearance of enlarged LA superimposed on heart
L Auricular enlargement / displacement
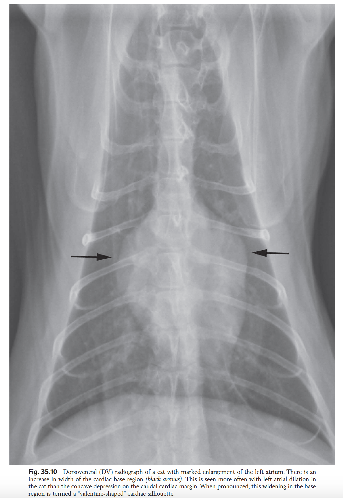
List radiographic features of LAE in the cat
**MAY APPEAR NORMAL**
Lateral:
DV:
- Valentine shape heart -> Due to increased diameter of heart base. DOES NOT REFLECT BIATRIAL DILATION!!!!

List features of LV enlargement (dog and cat same)
Lat:
=> Narrowing of angle between trachea and thoracic vertebrae
VD/DV:
Provide examples that cause LV eccentric vs concentric hypertrophy
Eccentric => INC PRELOAD
Concentric => INC AFTERLOAD
Cause of isolated RA enlargement?
RARE
Tricuspid dysplasia
Rx features of RAE
Lateral:
DV/VD

Hypertrophy of which chamber may be identifiable radiographically?
RV -> More so than LV
Possibly due to thinner wall -> more obvious changes
Define the amount of sternal contact described in normal dogs of different breeds
Deep chested (Dobi, wolfhound): 1.5-2 ICS
Average dog: 2.5-3 ICS
Barrel chested (bulldog): 3-3.5 ICS
>3 often described to support RV enlargement
Rx features of RV Enlargement
Lat:
DV/VD

What 2 measures are used to determine CaVC enlargement?
=> NOTE: Variability with cardiac and resp cycle. Should be consistent finding
Rx features of Ao enlargement
Lat:
- Inc. mass at craniodorsal aspect
VD/DV:

Causes of RV hypertrophy
INC AFTERLOAD:
Which projection is best used to evaluate the size of the cranial pulmonary arteries and veins?
LEFT LATERAL
=> in right lateral, often superimposed vessels interfere

Which measures are used to evaluate peripheral pulm art and vvs?

BOX: Enlarged pulm a and v

What is the most common cause of pulm art distension without vein?
Pulmonary hypertension 2ry to HEARTWORM
