Name the layers of the urinary bladder wall
Mucosa, submucosa and muscular. Serosal layer formed by reflection of peritoneum?
On US, can see Muc, Musc, and serosa. (hyper, hypo, hyper)
In what % of dogs with perineal hernia has urinary bladder retroflexion been reported?
24%
What feature of the urinary bladder has been associated with other urogenital congenital abnormalities?
Intrapelvic location
What radiographic features may be observed with persistent urachal ligament?
Pointed apex, elongated UB
Which pathology has been associated with emphysematous cystitis?
Diabetes mellitus -> glucose fermenting organisms
Which tests (x3) should be used to evaluate dynamic urinary bladder disease (e.g. urethral incompetence, urinary incontinence)?
Voiding cystography, cystometry and urethral pressure profiles
List 5 complications of cystography
Trauma
Bacterial contamination
Knotting catheter
Air embolus
Submucosal / serosal contrast accumulation (cats typically, usually fine, can lead to ulceration, inflammation and granulomatous reaction)
Which gases should be used to avoid air embolus?
Nitrous oxide, carbon dioxide
What is the recommended range of volume for contrast in cystography?
3.5-13.1ml per kg (10ml/kg average)
List 6 urinary stones and the associated radiographic characteristics reported

What volume of undiluted contrast should be administered in a double contrast study in the cat and dog?
What is double better for?
Cat: 0.5-1ml
Dog: 1-6ml
Urinary bladder wall lesions, and filling defects

What is the normal thickness of urinary bladder wall regardless of distension?
Approx. 1mm.
LEARN table of radiographic characteristics of urinary bladder pathologies…


What creates the “cobra-head” sign?
Ureterocoele which communicates with bladder lumen, and takes up contrast

List 3 different urachal abnormalities
Diverticulum (acquired, congenital),
Cyst,
Peristent urachus / urachal ligament
LEARN 5 types of urinary bladder defects….


List 2 pitfalls of cystographic interpretation
1) Air bubbles
- small -> calculi
- Large -> bladder wall thickening
- Multiple -> honeycombing
2) Pseudofilling defect
- Incomplete filling and external compression
What is the US thickness of the normal urinary bladder wall in cats and dogs?
Cats: <1.7mm
Dogs 1.4-2.3mm (depending on distension and BW)
Name 3 physics based artefacts in the urinary bladder!
Reverberation in near filed
Side / grating lobes ( echogenic appearance near bladder wall, due to e.g. colon interference)
Name 3 causes of lacy echoes within the urinary bladder than are not significantly effected by ballotement
Acute haemorrhage
Lipid
Severe proteinuria
Acoustic shadowing is related to two features when observing calculi. What are they, and how do they effect shadowing?
Which artefact may be used to help identify calculi?
Calculus height (taller, more shadowing)
Freq (higher freq., more shadowing)
**Shadowing and echogenicity independent of chemical composition**
Twinkling artefact -> distal to calculus using colour doppler

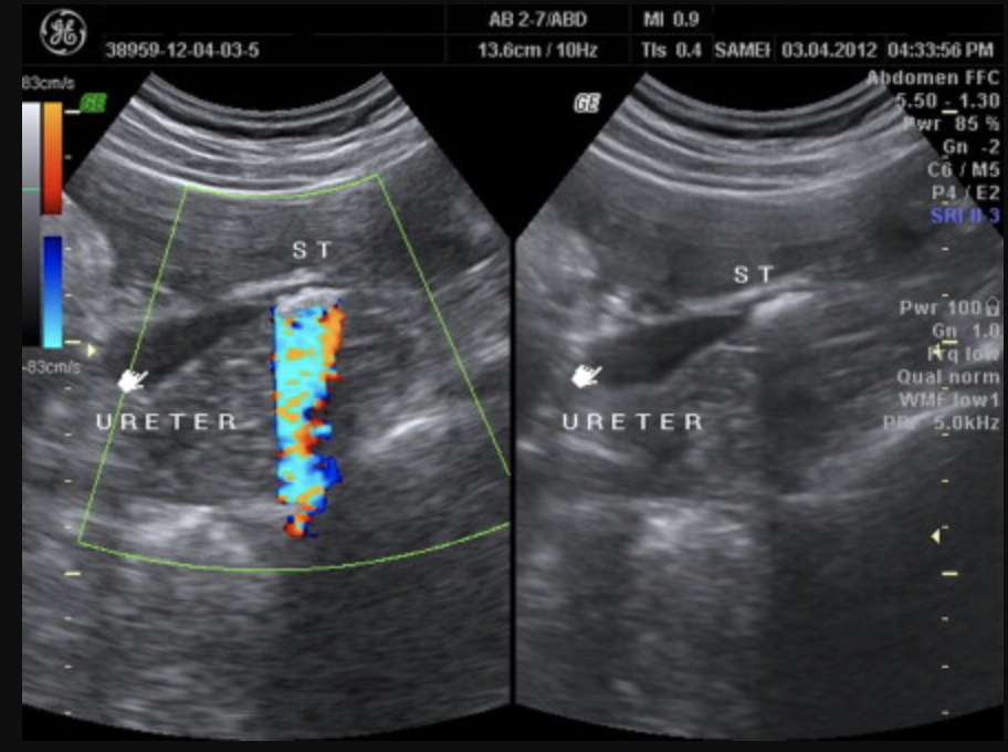
What ultrasonographic technique may help identiify bladder rupture?
Infusion of microbubbled saline
Describe features of US features of polypoid cystitis
Cranioventral OR craniodorsal location
Pedunculated, ovoid or nodular wall changes

Describe US features of emphysematous cystitis
Linear hyperechogenicities within the bladder wall / lumen +- reverberation