What is the presentation of multiple sclerosis
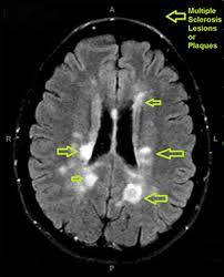
MRI findings in multiple sclerosis
Periventricular plaques (areas of oligodendrocyte loss and reactive gliosis)

Describe the mechanism behind glucagon as a treatment for beta blocker toxicity
Glucagon acts on G-protein coupled receptors, increasing intracellular cAMP, and thus increasing release of intracellular calcium during muscle contraction
This increases heart rate and cardiac contractility
What are the 2 types of epithelium in Meckel diverticulum
Gastric and pancreatic
What are the branches of the celiac trunk

What are the actions of angiotensin II
How does Hepatitis D use Hepatitis B in order to cause infection
Cause of gastric varices within the fundus
Portal HTN
Splenic vein thrombosis (often due to pancreatitis, pancreatic cancer, or abdominal tumors - splenic vein runs posterior to pancreas)

Describe the relationship between Creatinine and GFR

What is the formula for filtration fraction?
FF = RPF/GFR
Describe the adenoma-to-carcinoma sequence of colorectal cancer

Describe Displacement vs. Projection
Describe Isolation (psych)
What is reaction formation
Describe sublimation (psych)
What drugs can be used for nocturnal enuresis?
What is the cavernous sinus and what does it contain?

Describe each stage of the sleep cycle
Describe embryology of brain formation
Supraoptic nucleus of the hypothalamus
Produces ADH to be stored in posterior pituitary
THINK: Eyeball cup filled with water
Paraventricular nucleus of the hypothalamus
Produces oxytocin to be stored in posterior pituitary
THINK: near valleys filled with love and happiness
Pre-optic area of hypothalamus
Dorsomedial nucleus of the hypothalamus
Arcuate nucleus of the hypothalamus