Where are immune complex depositions in Post-strep glomerulonephritis
Type 3 HSR
Immune complex deposition sub-epithelially
Where are immune complex depositions in IgA nephropathy
Aka Berger disease (Henoch Schonlein purpura)
IgA immune complex deposits in mesangium
What is the cause of Alport syndrome
Presentation of Alport syndrome
Presents as isolated hematuria, sensory hearing loss, and ocular disturbances
“Can’t see, can’t pee, can’t hear high C”
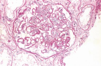
Where are immune complex depositions seen in diffuse proliferative glomerulonephritis
DPGN seen in Lupus
Immune complexes seen subendothelially and within the mesangium
Describe light microscopy of lupus nephritis (DPGN)

Describe the mechanism behind the following in nephrotic syndrome:
What are the types of nephritic syndrome
Post-strep glomerulonephritis
Alport Syndrome
IgA Nephropathy
Diffuse proliferative glomerulonephritis
What are the types of nephrotic syndrome
Foot process effacement: Minimal change disease, focal segmental glomerulosclerosis
Immune deposition: Membranous nephropathy, Membranoproliferative glomerulonephritis
Other: Diabetes, Amyloidosis
What is a trigger for minimal change disease
Where are the immune complex deposits in membranous nephropathy
subepithelial
Describe biopsy of Diabetic nephropathy
Where in the glomerulus will you find amyloid depositis in Amyloid nephropathy
In the mesangium
What type of stone is a struvite stone?
Ammonium magnesium phosphate stone
What is the other symptom associated with Henoch Schonlein purpura other than palpable purpura and IgA nephropathy
Arthralgias
What are the radioopaque (seen in XR) vs. radiolucent kidney stones
Radiopaque = calcium and struvite
Radiolucent = uric acid and cystine
Describe histology of renal cell carcinoma

Horomones secreted by RCC
What is WAGR complex
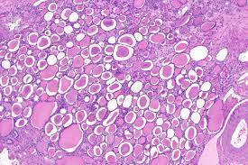
What disease is associated with thyroidization of the kidney

What disease is associated with eosinophils in urine
Describe BUN/Cr and FENa in pre-renal, intrinsic, and post-renal azotemia
Consequences of chronic renal failure