What are the 4 chronic obstructive pulmonary diseases?
Chronic bronchitis
Emphysema
Asthma
Bronchiectasis
What is the classic lung volume finding in COPD
FEV1/FVC < 80%
Both are decreased, but FEV1 is decreased more
Describe the basic premise behind COPD
Due to obstruction of airflow
Air trapping in the lungs
What is the diagnostic definition of chronic bronchitis
Chronic productive cough lasting at least 3 months over a minimum of 2 consecutive years
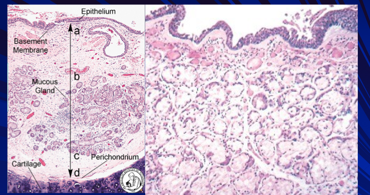
Describe the pathophysiology behind chronic bronchitis
Hypertrophy of bronchial mucinous glands
Reid index (thickness of mucosal gland layer relative to bronchial wall thickness) >50%

Does chronic bronchitis cause “pink puffers” or “blue bloaters” and why?
Blue bloater
Mucus plugs trap CO2
How can COPD lead to cor pulmonale?
When there is lack of O2 to majority of the lung, all those blood vessel will constrict, leading to pressure backing up to R heart, leading to R heart failure
Describe the pathophysiology behind emphysema
Destruction of alveolar air sacs due to (1) loss of elastic recoil and (2) collapse of airways
Leads to physiologic obstruction and air trapping
Think of a large grocery bacg instead of multiple small balloons

What is the cause of destruction of alveolar air sacs in emphysema
Imbalance of proteases (destroy pathogens that make it to small airways e.g. elastase) and anti-proteases
(1) Inflammation = increased proteases (e.g. smoking)
(2) Decreased anti-proteases = a1-anti-trypsin deficiency (A1AT is what neutralizes elastase)
What type of emphysema will you see in smoking vs. A1AT deficiency
Smoking: centri-acinar emphysema more in upper lobes
A1ATD: pan-acinar emphysema more in lower lobes

What other organ does A1ATD affect and why?
Liver cirrhosis
Liver is still making A1AT, but mutation causes it to be misfolded, so protein accumulates in hepatocytes
What part of the hepatocyte does misfolded A1AT accumulate in and what does biopsy reveal
Endoplasmic reticulum
Biopsy shows PAS-positive globules in hepatocytes

What are the normal/abnormal alleles in A1ATD
PiM is normal; PiZ is abnormal
PiMZ heterozygotes are usually asymptomatic but have significant risk of emphysema with smoking
PiZZ homozygotes are at significant risk for panacinar emphysema and cirrhosis
Does emphysema cause “blue bloaters” or “pink puffers” and why?
Pink puffers
Patients are able to prevent airway collapse by pursing lips and exhaling slowly in order to create back-pressure
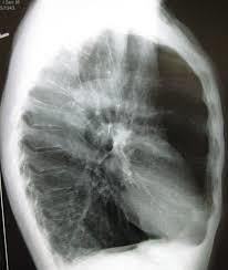
What is a common gross/x-ray appearance in emphysema
Barrel-shaped chest

Describe the basic premise of asthma
Reversible airway bronchoconstriction, usually due to allergic stimuli
Describe the pathogenesis of type I hypersensitivity in asthma
Allergens induce Th2 cells
Th2 cells secrete IL-4 (IgE class switching), IL-5 (eosinophils), and IL-10 (increased Th2 and inhibiton of Th1)
Reexposure to allergen leads to IgE-mediated activation of mast cells
Mast cells release:
(1) Histamine (vasodilaiton and increased permeability)
(2) Leukotrienes (bronchoconstriction)
Describe 2 histologic findings in asthma
(1) Curschmann spirals (shed epithelium forms wholed mucus plug)
(2) Charcot-Leyden crystal (eosinophil-dervied needle-like crystals) - see next slide for image

Charcot-Leyden crystals
eosinophil-dervied needle-like crystals

Describe the basic premise of bronchiectasis
Permanent dilation of bronchioles and bronchi
Dilation leads to turbulent airflow instead of accelerated, straight line flow –> air trapping

What are the causes of bronchiectasis
Necrotizing inflammation with damage to airway walls:
What is Kartagener syndrome?
Defect in the dynein arm of cilia
Leads to sinusitis, infertility, situs inversus, bronchiectasis