Components of the glomerular filtration barrier
1) Endothelial cells 2) Basement membrane - has negatively charged heparan sulfate to prevent negatively charged molecules (such as albumin) from being filtered) 3) Epithelial podocytes
Calcium carbonate
Over-the-counter antacid. Common cause of hypercalcemia and milk alkali syndrome (hypercalcemia, metabolic alkalosis, and renal insufficiency)
Causes of SIADH
Often due to lung neoplasm - ectopic ADH production such as small cell lung cancer
BUN:Cr for pre-, intrinsic, and post-renal failure
Pre-renal -Decreased BF to the kidney -BUN:Cr > 15 (normally some BUN is reabsorbed but no Cr is reabsorbed - decerased BF = activated RAAS = increased water reabsorption = increased BUN reabsorption) -FENa < 1% = tubular function intact Post-renal -Obstruction of urinary tract downstream from kidney -Early stage - increased tubular pressure “forces” BUN into blood so BUN:Cr >15 and tubular function intact = FENa < 1%) -Late stage - tubular damage resulting in decreased absorption of BUN = BUN:Cr < 15 and decreased absorption of Na = FENa > 2%) Intrinsic = tubular damage -BUN:Cr < 15 -FENa > 2%
Mechanism of action of Thiazolidinediones (“glitazones”)
Increase sensitivity to insulin Are ligands of peroxisome-activated receptor gamma (PPAR), which controls the expression of adiponectin, which enhances insulin sensitivity
HLAs associated with Type I DM
HLA DR4 and DR3
Mechanism of action of Furosemide
Loop diuretic Inhibits the Na/K/Cl cotransporter in the thick ascending loop Leads to volume contraction
Turner Syndrome - renal abnormalities
Collecting-system malformations (20%), Horseshoe kidney (10%) Should be monitored for UTIs
What is POMC a precursor of
Produced in the anterior pituitary and is the precursor of ACTH Overproduction in Addison’s: primary adrenal insufficiency –> no cortisol to produce negative feedback –> increased synthesis of ACTH
What disease may follow strep pharyngitis and/or superficial strep infection (imetigo)
Rheumatic fever - only after pharyngitis PSGN - after pharyngitis or impetigo
Types of twinning (day division occurs)
Dizygotic: 2 eggs fertilized by 2 sperm Monozygotic: 1 egg + 1 sperm 0-4 days - dichorionic/diamniotic 4-8 days - monochorionic/diamniotic 8-12 days - monochorionic/monoamniotic >13 days- conjoined (mono/mono)
Fetal hydantoin syndrome
Due to maternal use of antiepileptic drugs such as phenytoin during pregnancy Features include: abnormalities of the skull and face, growth deficiency, underdeveloped nails of fingers and toes, mild developmental delay, cleft palate, microcephaly, brain malformations Phenytoin is associated with horizontal nystagmus on lateral gaze
Flow/concentration of saliva
Normal saliva: As saliva travels, Na+ and Cl- are reabsorbed and K+ and HCO3- are secreted into saliva At high flow rates (e.g. parotitis): Saliva is in contact with ductal epithelium for less time so less reabsorption of Na+ and Cl- and less secretion of K+ HCO3- secretion is increased independently In addition: Lower flow rates - saliva is hypotonic and acidic compared to plasma Higher flow rates - saliva is isotonic and more basic than plasma
MEN 1 (aka Wermer Syndrome)
-Pituitary tumors (prolactin or GH) -Pancreatic endocrine tumors (Zollinger-Ellison syndrome, insulinomas, VIPomas, glucagonomas) -Parathyroid adenomas Mutation of MEN1
MEN 2A
-Medullary thyroid carcinoma (neoplasm of parafollicular C cells which secrete calcitonin) -Pheochromocytoma -Parathyroid hyperplasia Mutation of RET gene
MEN 2B
-Medullary thyroid carcinoma (neoplasm of parafollicular C cells which secrete calcitonin) -Pheochromocytoma -Mucosal neuromas (oral/intestinal ganglioneuromatosis) Mutation of RET gene
Blotting procedures
SNoW DRoP Southern = DNA Northern = RNA Western = protein Southwestern = DNA-binding proteins
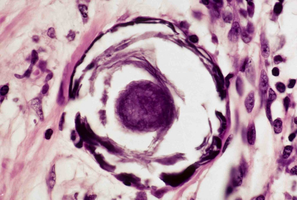
Psammoma bodies

Histologic finding (concentrically laminated, calcified structure) Psammoma bodies are found in papillary adenocarcinoma of the thyroid, papillary cystadenocarcinomas of the ovary, meningiomas, and malignant mesotheliomas PSaMMoma: P - Papillary thyroid carcinoma S - serous cystadenocarcinoma of the ovary M - mesothelioma M - meningioma
Meckel’s diverticulum
Persistence of vitelline duct in the small bowel Complications can include intussusception, volvulus, obstruction, or bleeding Rule of 2’s - 2 inches long, 2 feet from ileocecal valve, 2% of population, present in first 2 years of life, 2 types of epithelium (gastric and pancreatic)
Carcinoid Syndrome -Cause -Presentation -Treatment
Caused by tumor of neuroendocrine cells (rosette appearance on histology), especially mets from small bowel which secrete high levels of serotonin (5-HT) Needs to be within or after the liver otherwise 5-HT will undergo metabolism in the liver via monamine oxidase Presentation: -Diarrhea -Flushing -Asthmatic wheezing -R-sided valvular heart disease Treat with Octreotide (Somatostatin analog)