Is this a T1 or T2 weighted MRI? Why?

T1 wieghted because fluid filled cavities (CSF of spinal column, IVDs) are dark grey
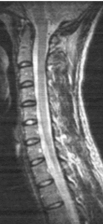
Is this a T1 or T2 weighted MRI? Why?

T2 weighted because fluid filled cavities (CSF, spinal cord and IVDs) are opaque
What kind of CT window is this? Why?

bone window, because the cortical bone of the vertebrae is opaque and bone features are distinguishable
What kind of CT window is this? Why?

soft tissue window because soft tissue is opaque and more easily viewed