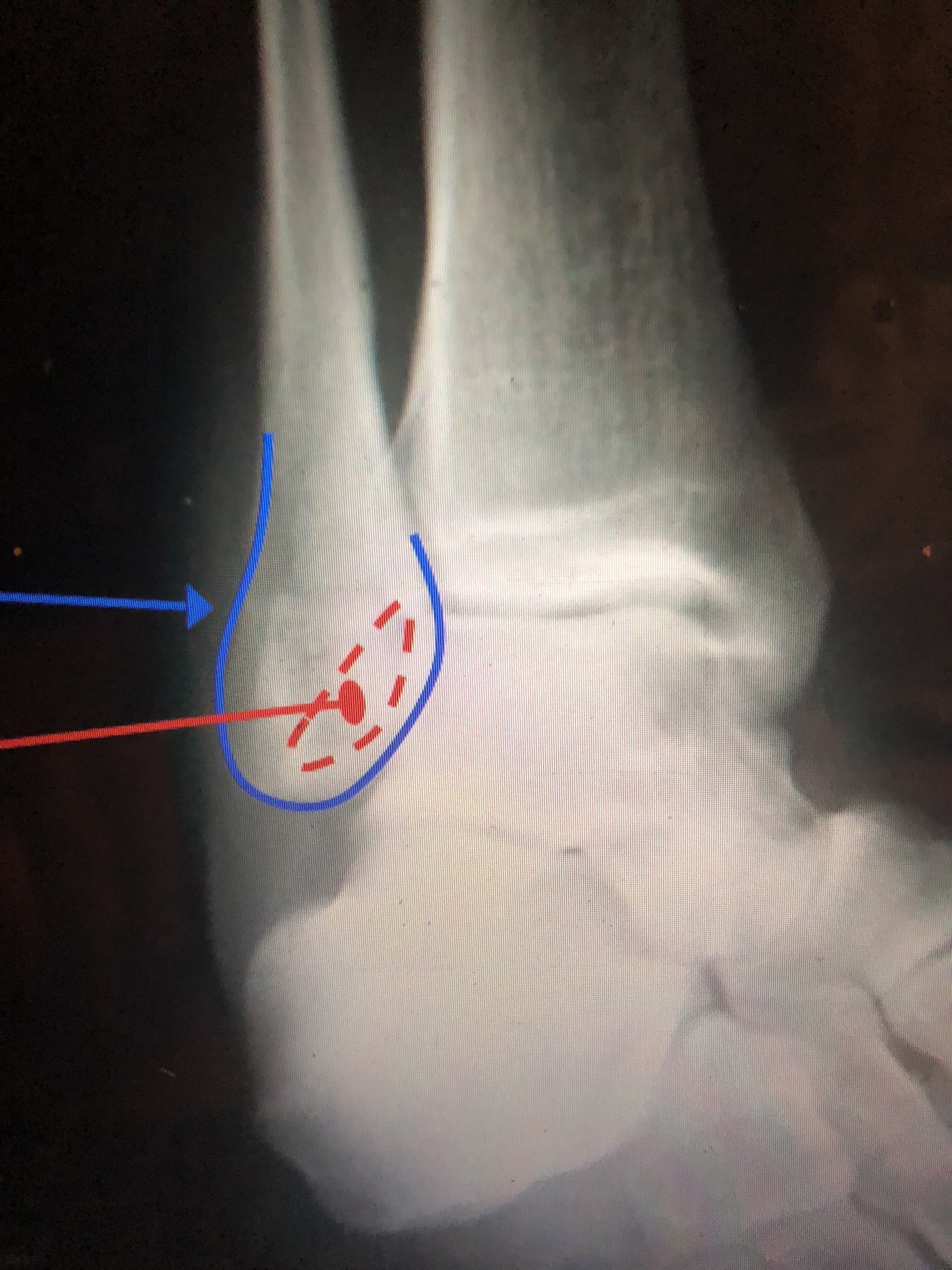
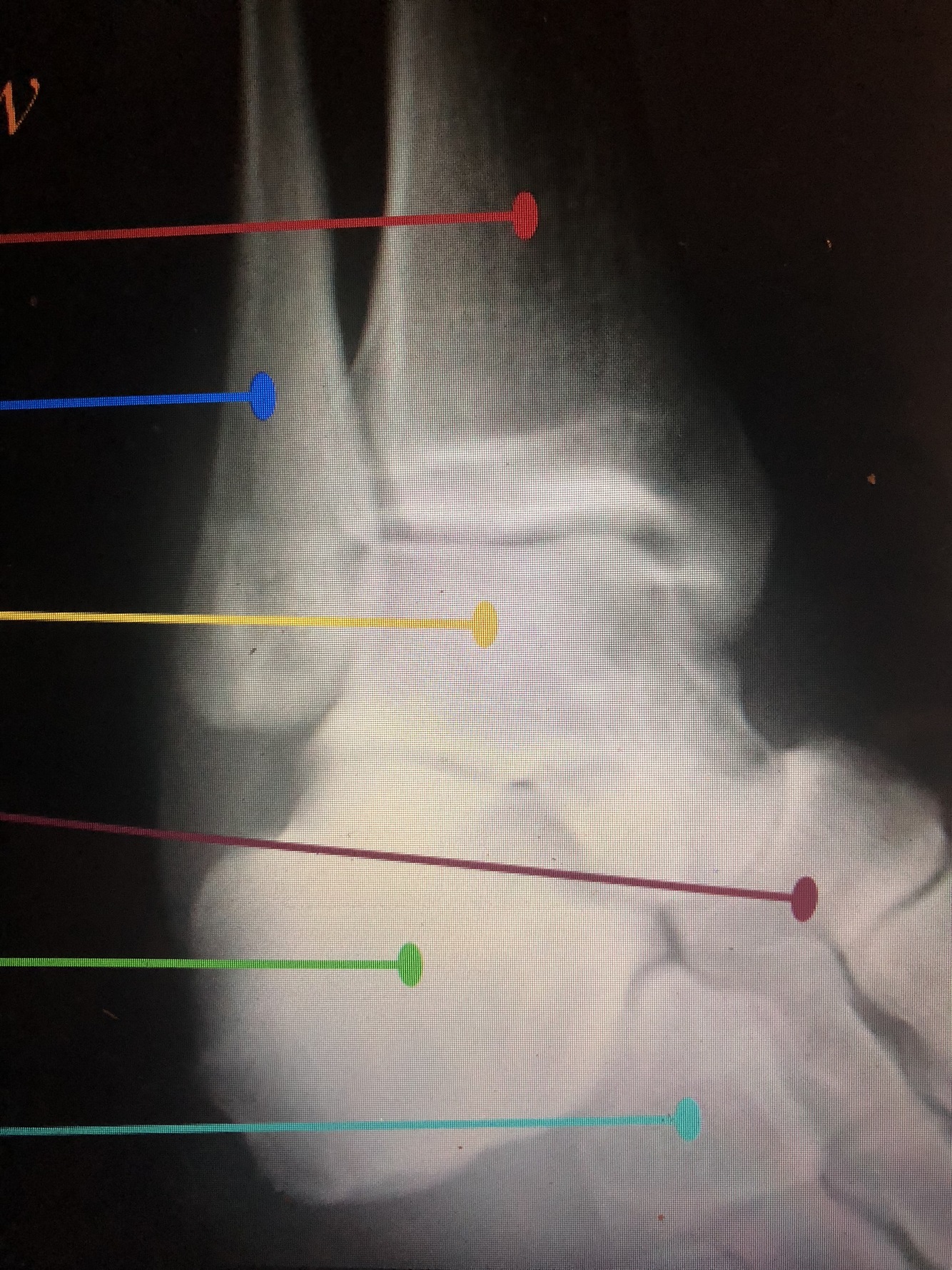
What is the dark blue line?

Lateral margin of the Tibia
What is the red line?

Plafond
What is the light blue line?

Medial Malleolus
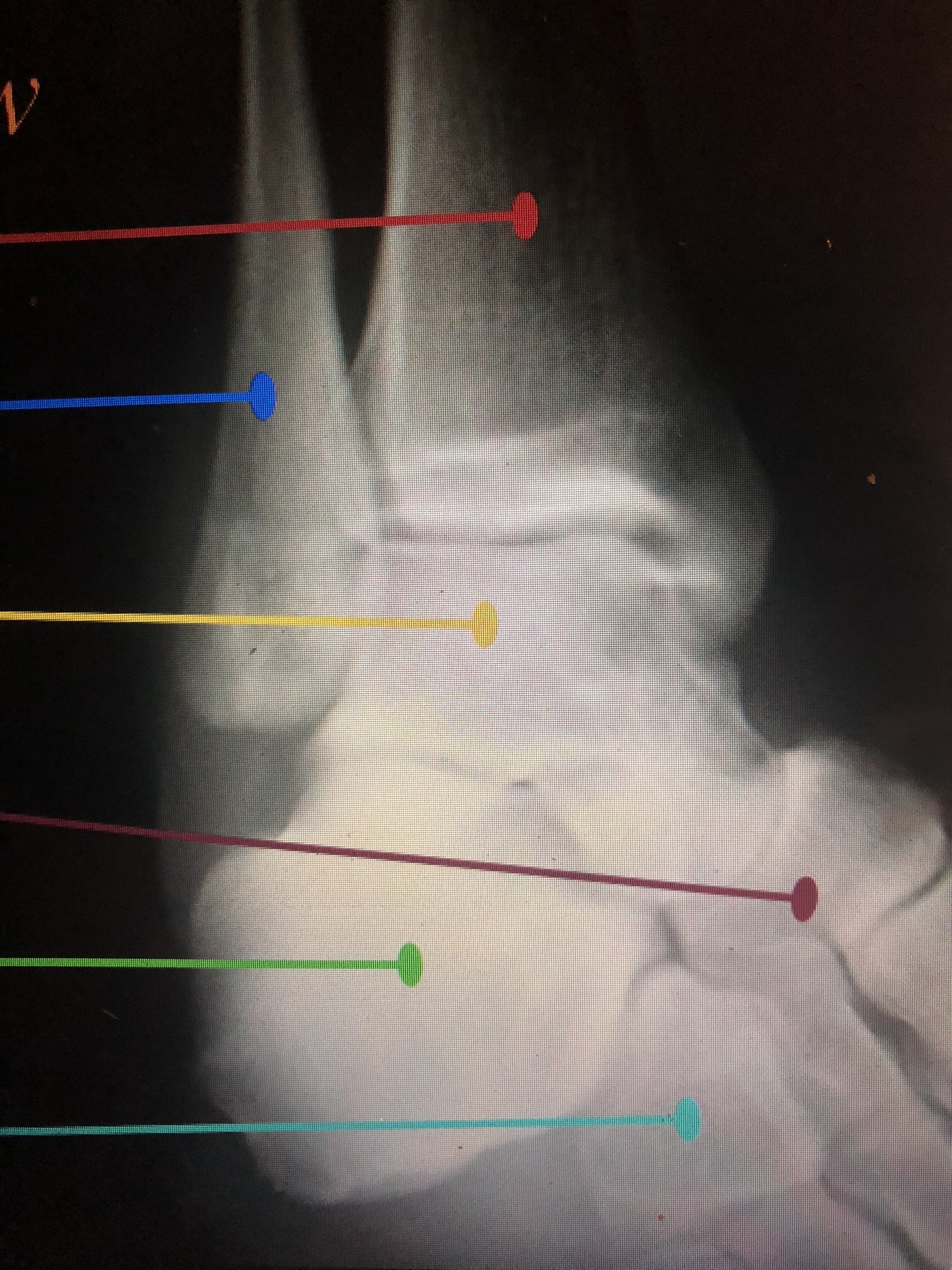
What is the dark blue line?
Interosseous Crest of the distal tibia
What is the light blue dotted line?
Fibular Notch
What is the red dotted line?
Posterior Malleolus
What is the green?
distal Fibular Shaft
What is the red?
Lateral Malleolus
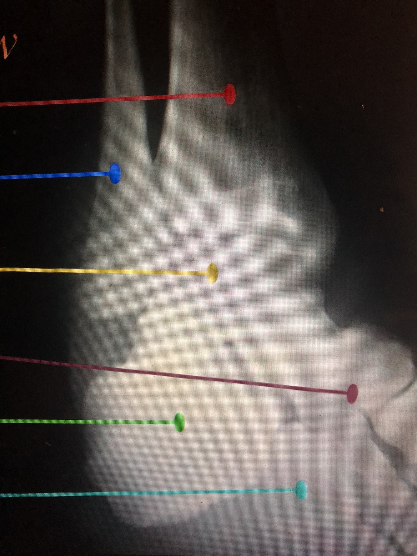
What is the light blue dotted line?
Malleolar Fossa
What is the dark green line?
Talar Dome (Trochlea)
Which bone is the light green?
Talus
What is between the red dotted lines?
Talocalcaneal (Subtalar) Joint
What bone is the brown?
Calcaneus
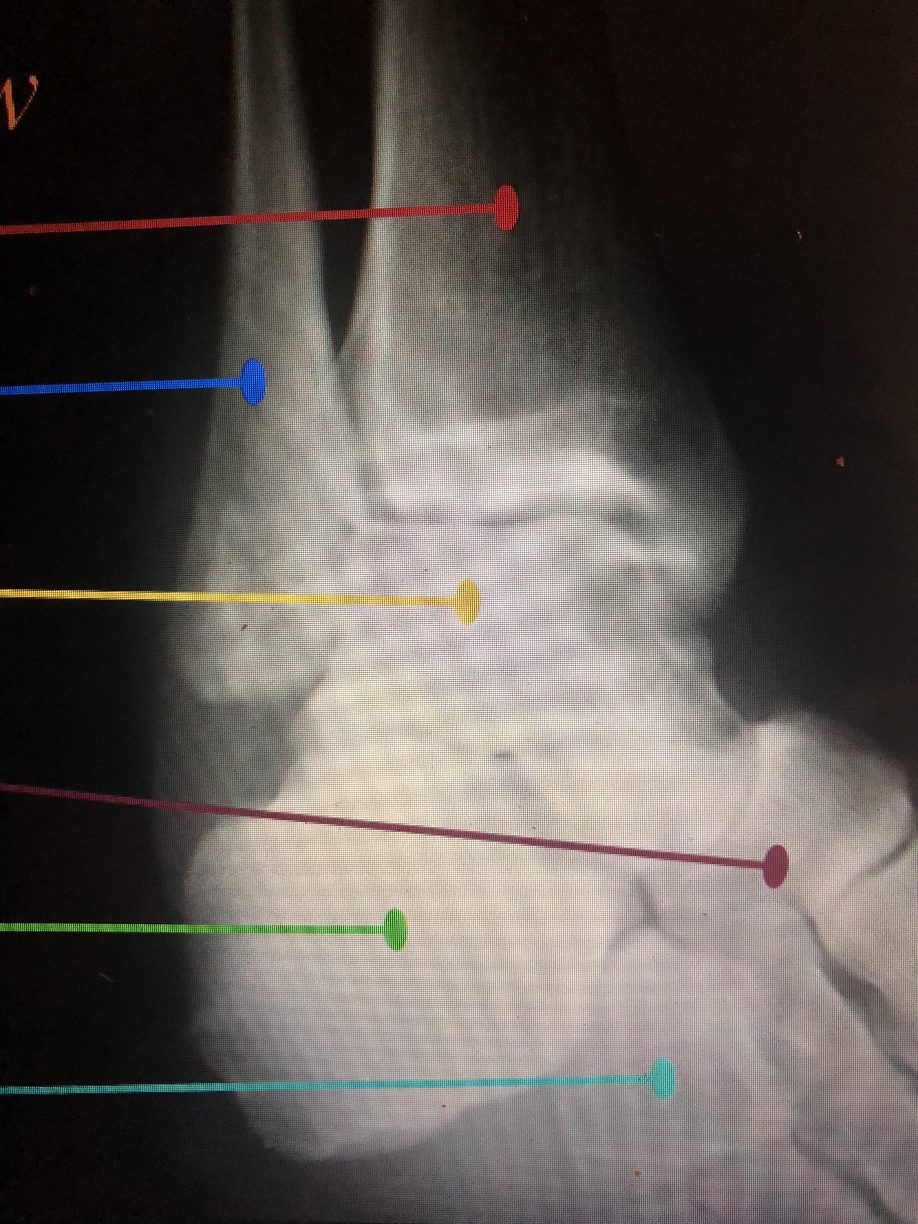
What is the light blue line?
Navicular Tuberosity
What is the dark blue line?
Medial Cuneiform
What bone is yellow?
Talus
What bone is brown?
Navicular
What bone is light green?
Calcaneus
What bone is light blue?
Cuboid
What is the yellow dotted line?
Fibular Notch
What is the dark blue line?
Plafond
What is the red line?
Posterior Malleolus
What is the light blue line?
Medial Malleolus
What is the blue line?
Lateral Malleolus