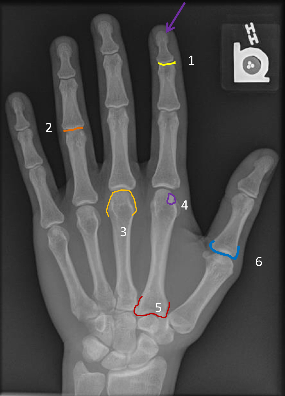
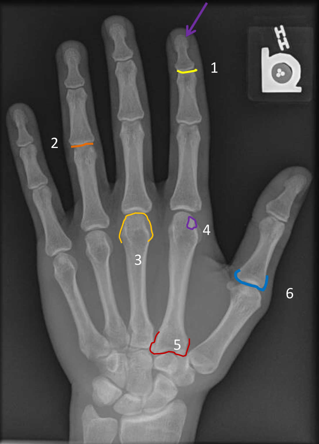
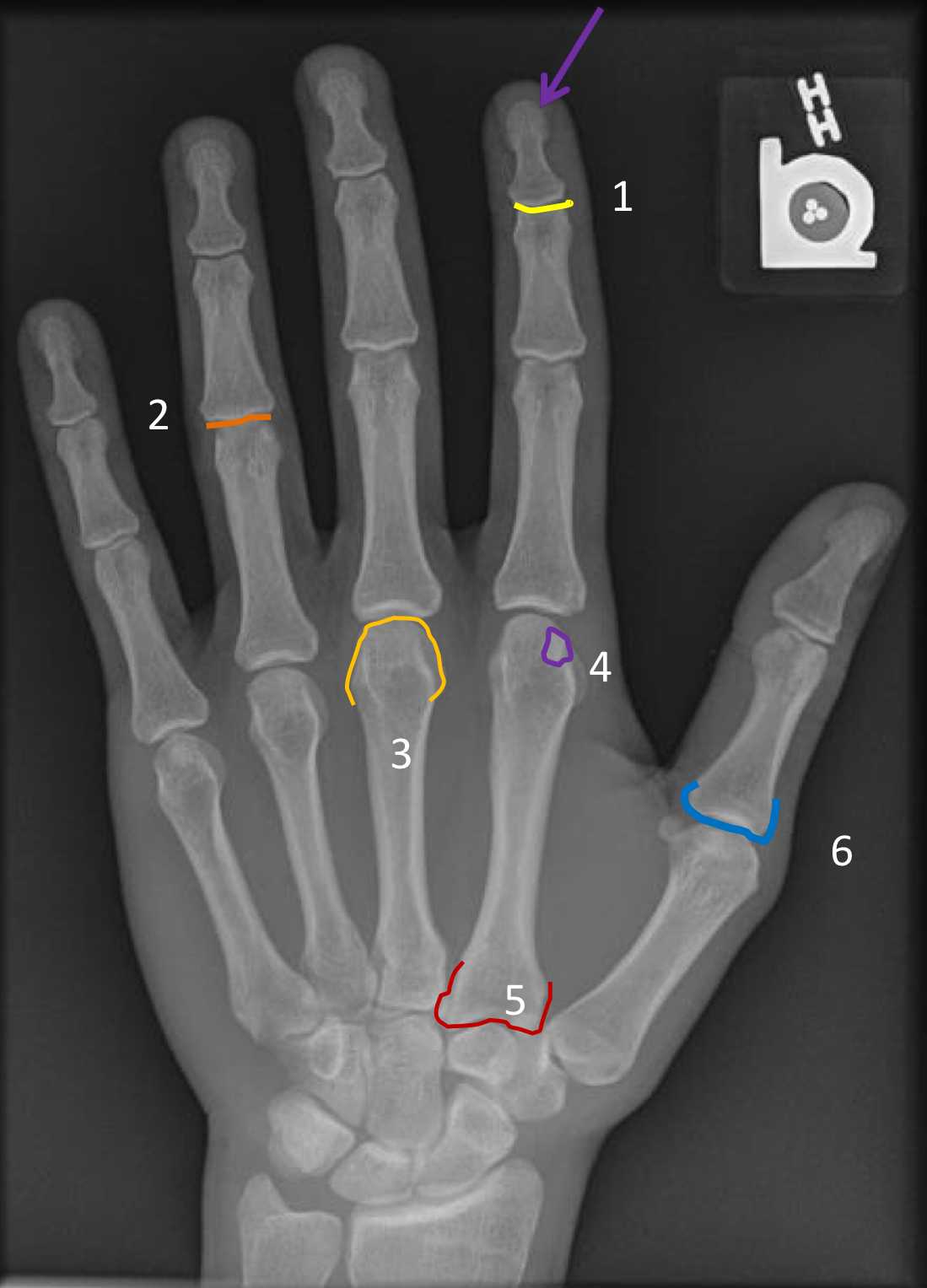
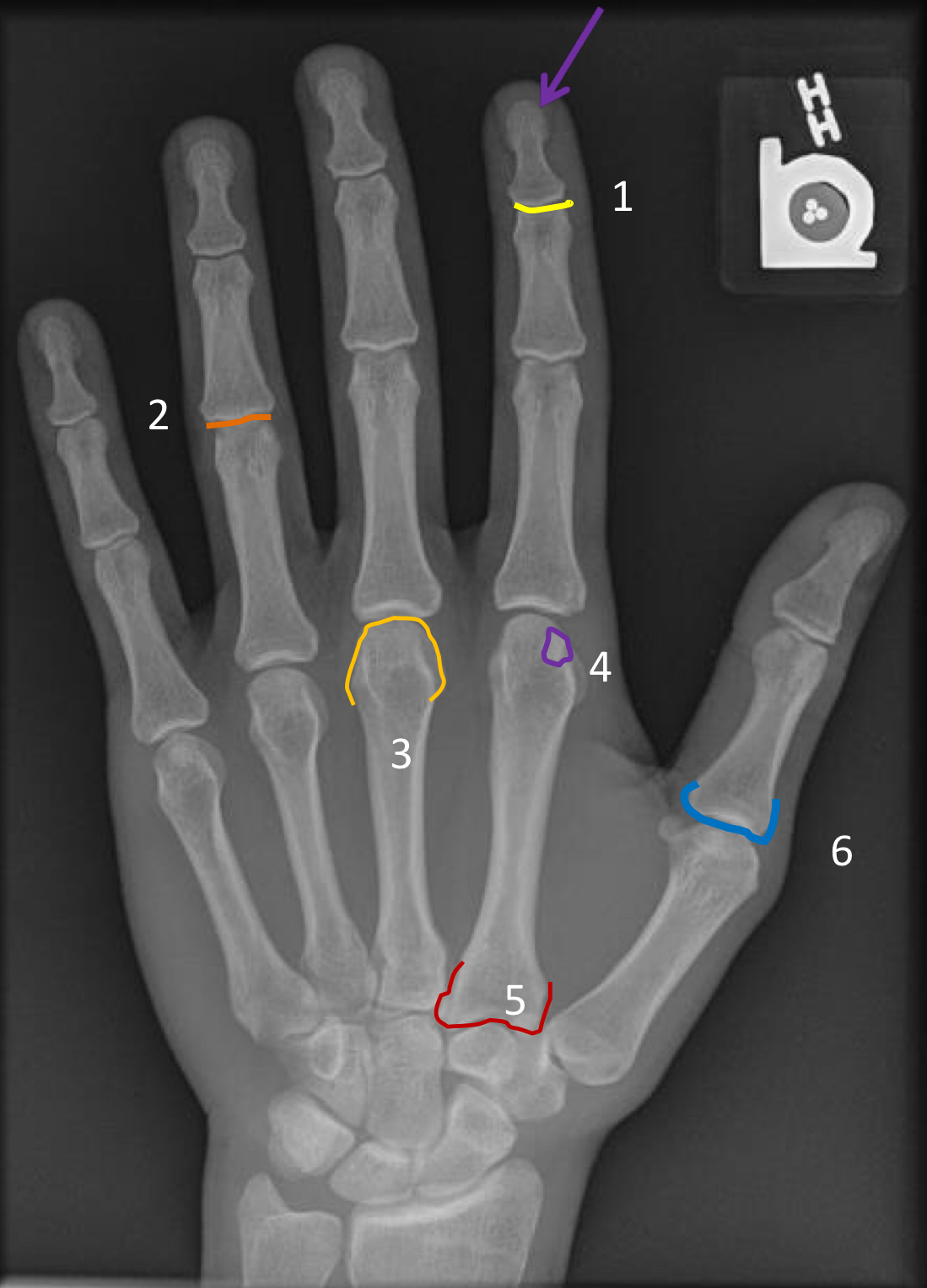
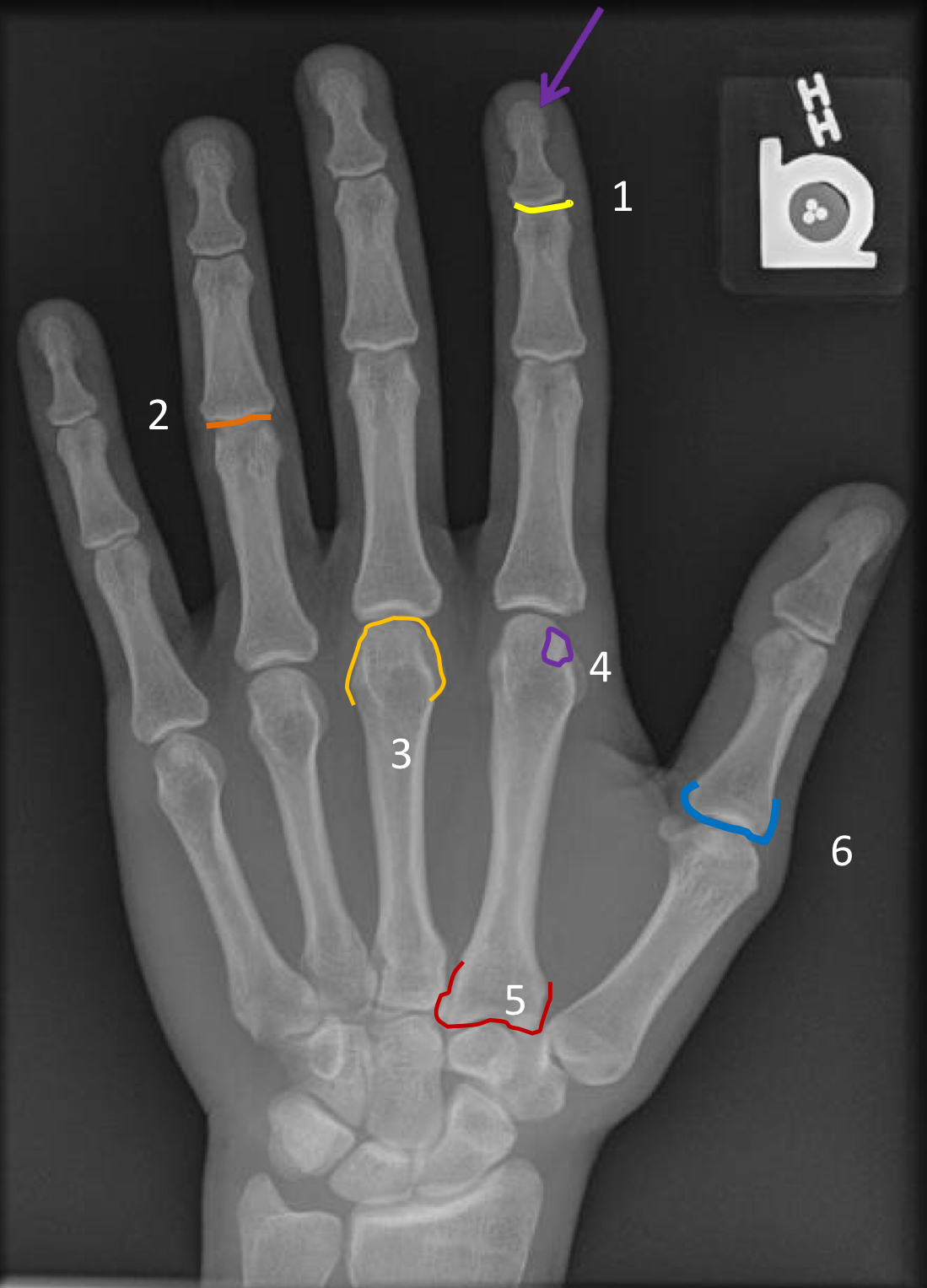
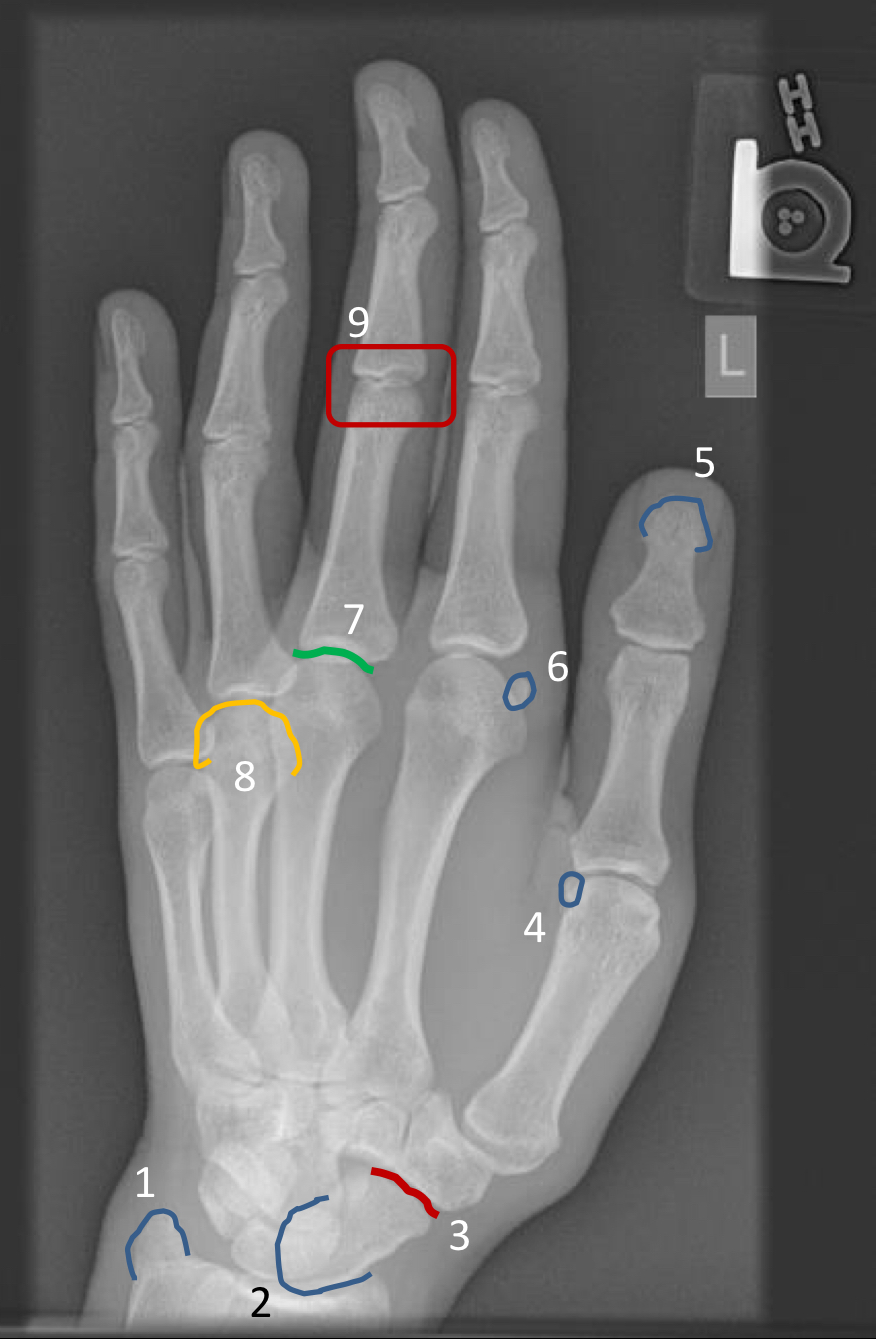
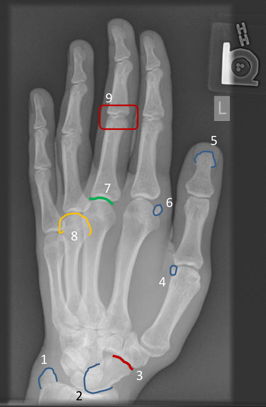
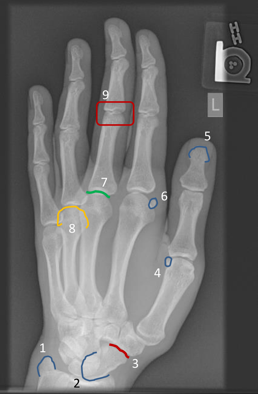
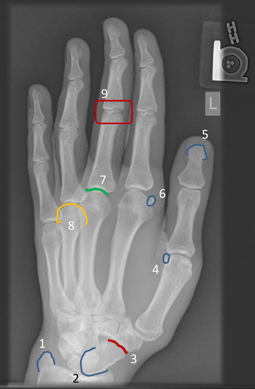
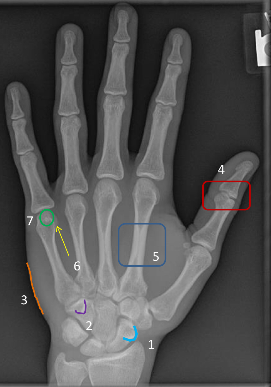
What view is this?

PA hand
purple arrow?

ungual tuft
1?

distal interphalangeal joint of the 2nd digit
2?

4th proximal interphalangeal joint
3?

head of 3rd metacarpal
4?

sesamoid of 2nd metacarpophalangeal joint
5?

base of 2nd metacarpal
6?

base of 1st proximal phalanx
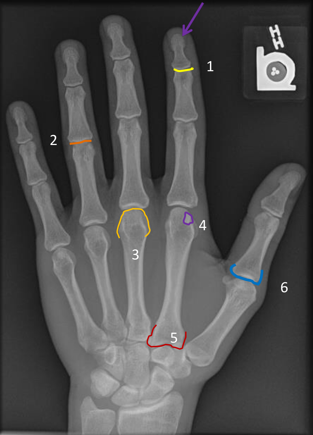
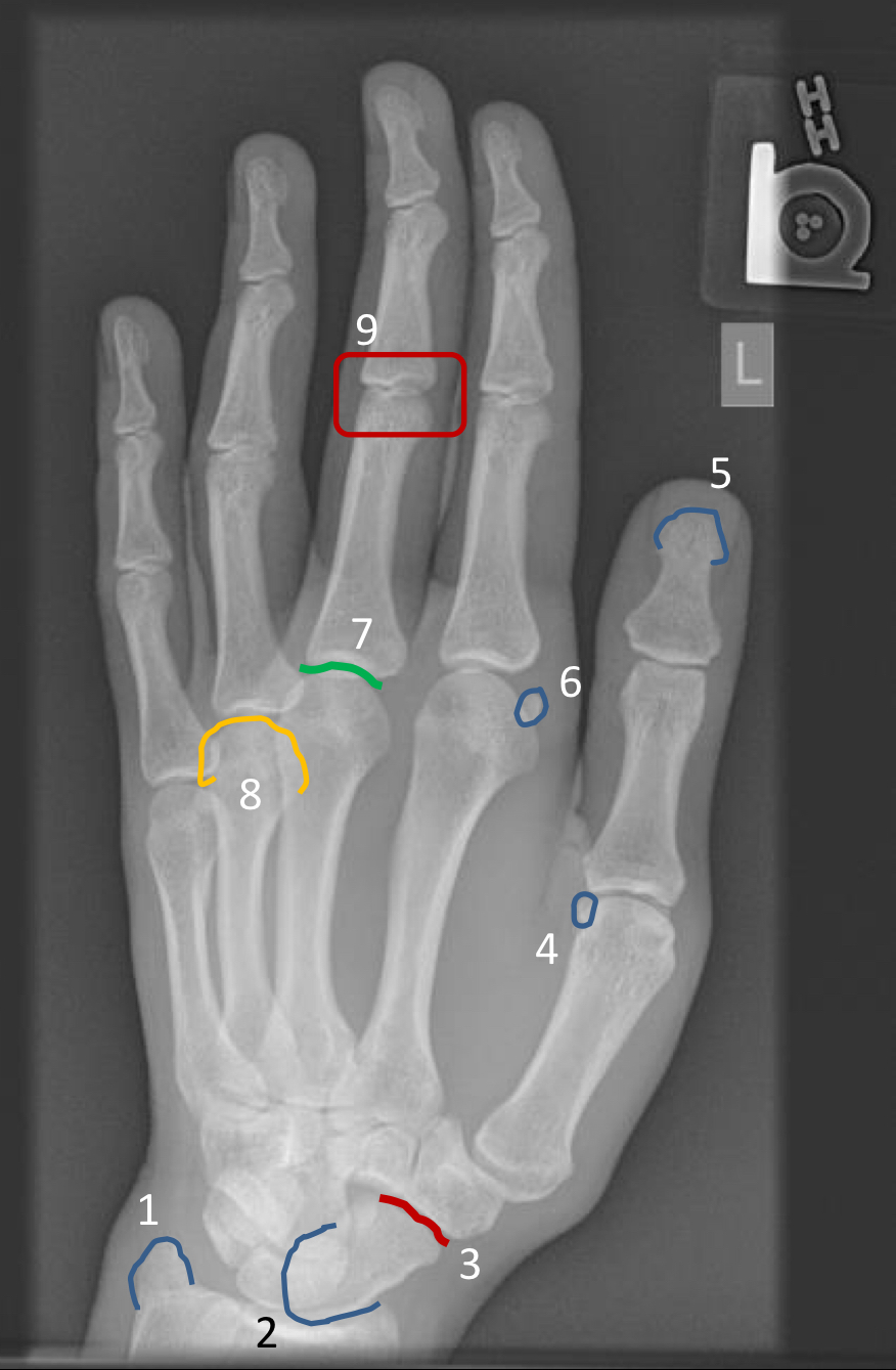
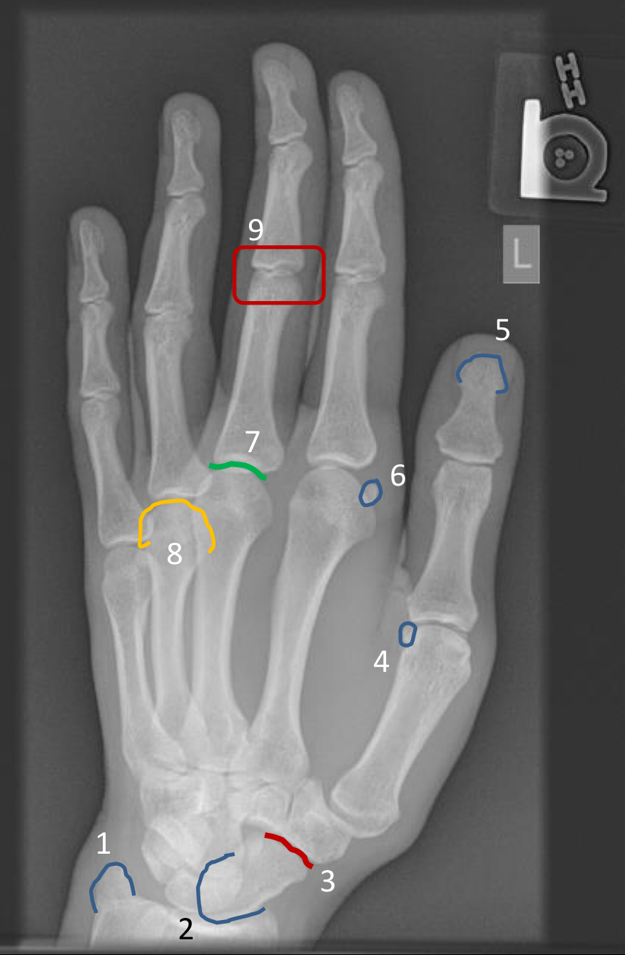
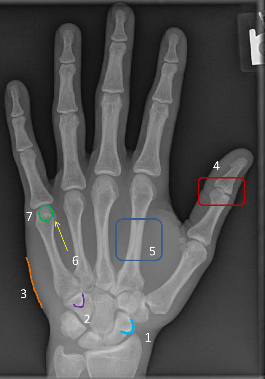
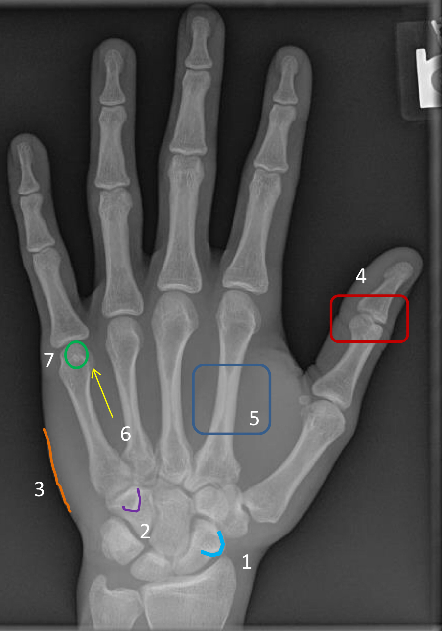
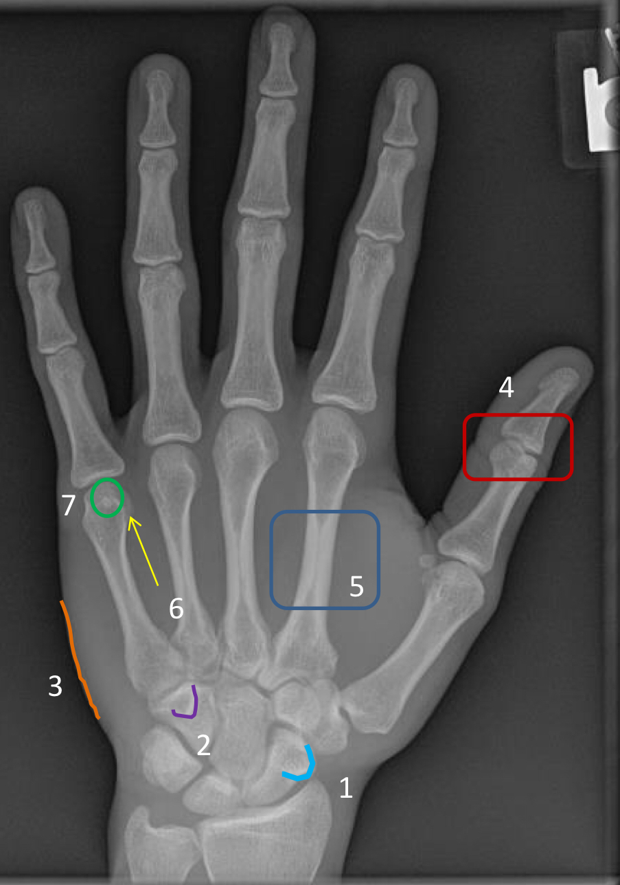
What view is this?

medial oblique
1?

ulnar styloid process
2?

proximal scaphoid
3?

scaphoid-trapezium joint space
4?

sesamoid at first metacarpal head
5?

1st ungual tuft
6?

sesamoid at 2nd metacarpal head
7?

3rd metacarpophalangeal joint space
8?

head of 4th metacarpal
9?

3rd proximal interphalangeal joint (not well visualized on oblique view)
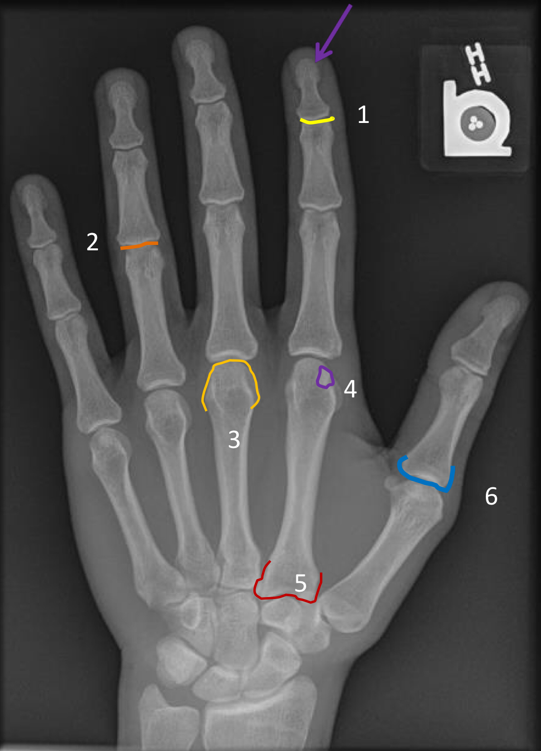
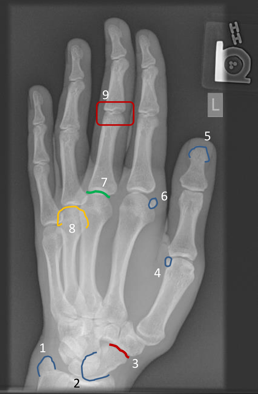
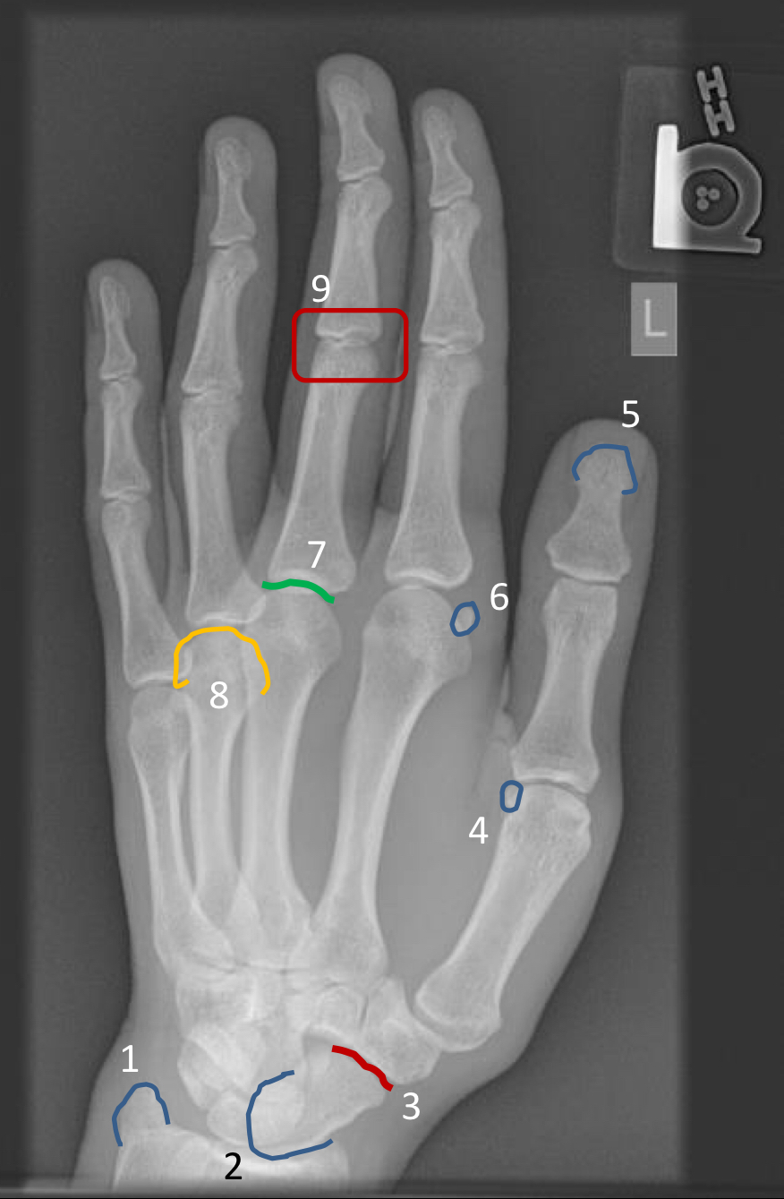
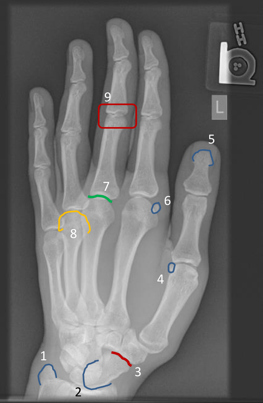
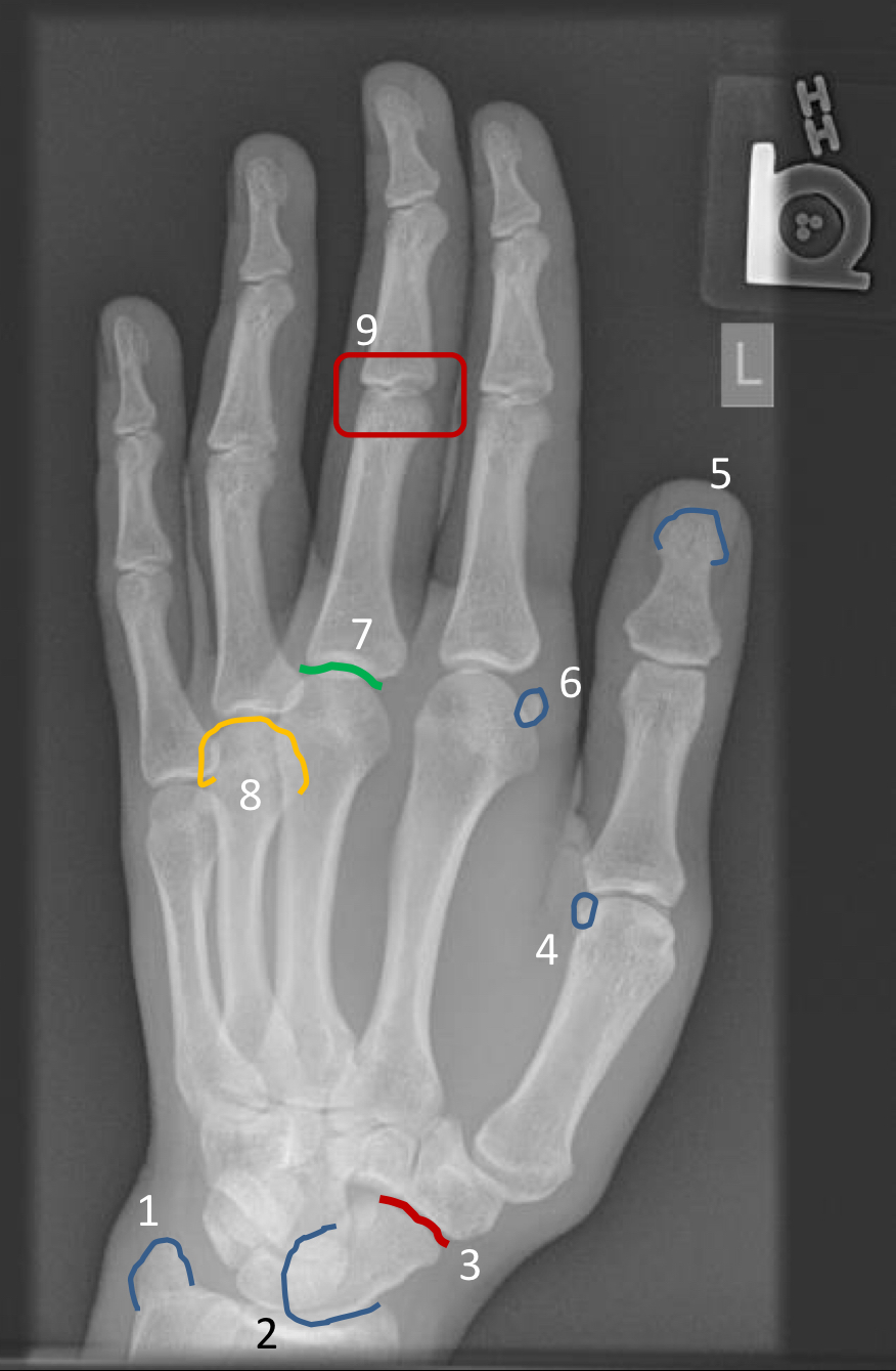
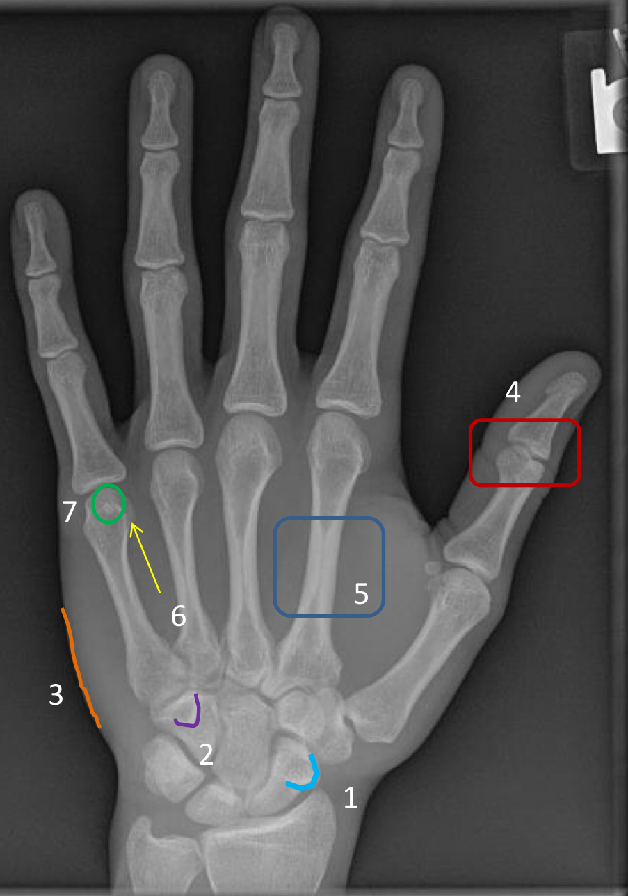
1?

scaphoid tubercle
2?

hook of hamate
3?

hypothenar eminence
4?

1st interphalangeal joint (poorly visualized)
5?

2nd metacarpal diaphysis
6?

“condylar” appearance at the head of metacarpal