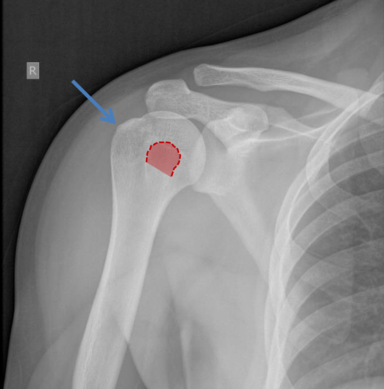
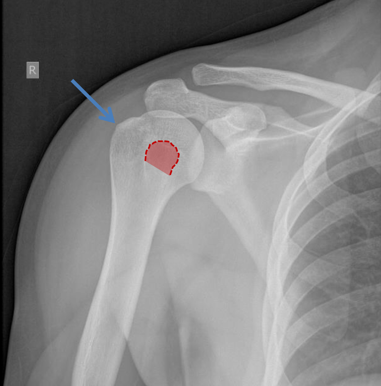
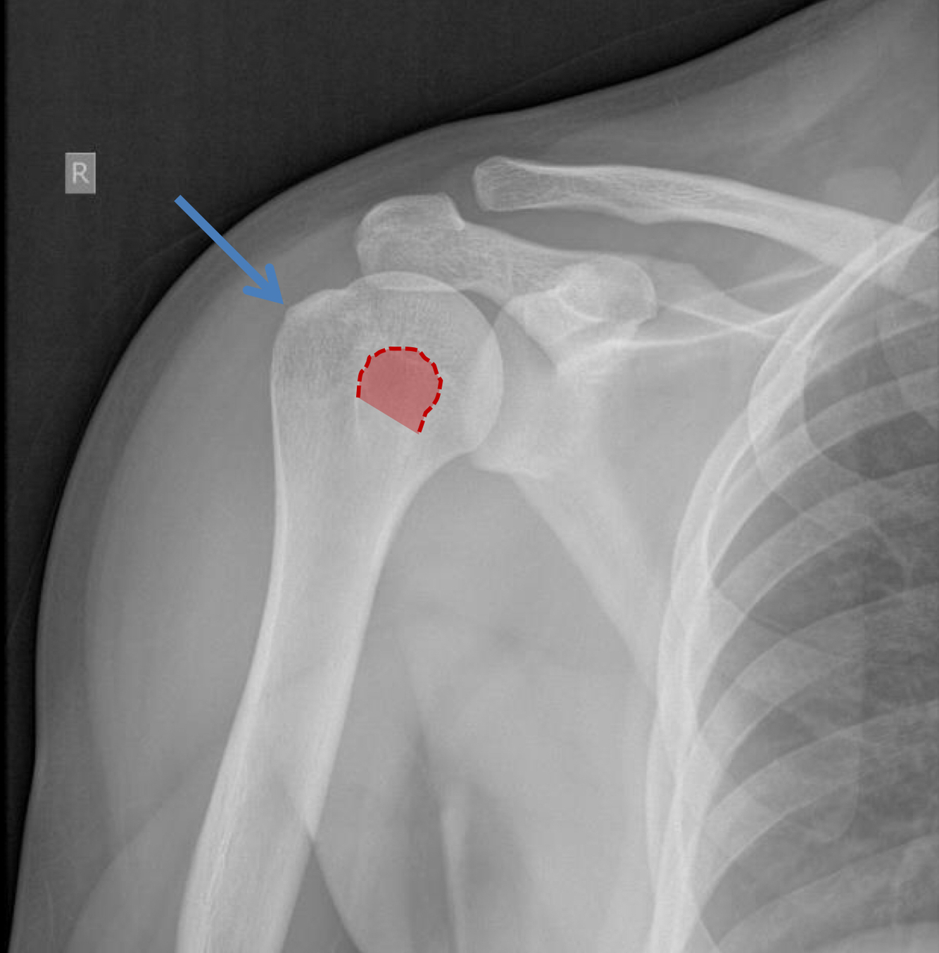
What view is this?

AP shoulder with external rotation
What is the Blue arrow point to?

greater tuberosity of the humerus (which will be more lateral in external rotation)
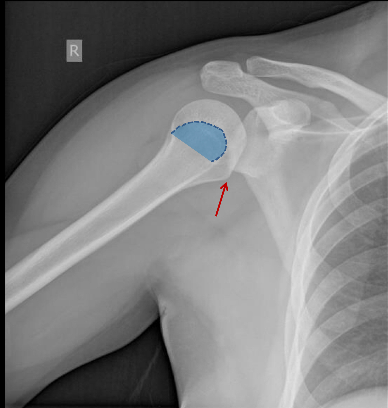
What is the red area outlining?

lesser tuberosity of the humerus (will be superimposed on metaphysis with external rotation)
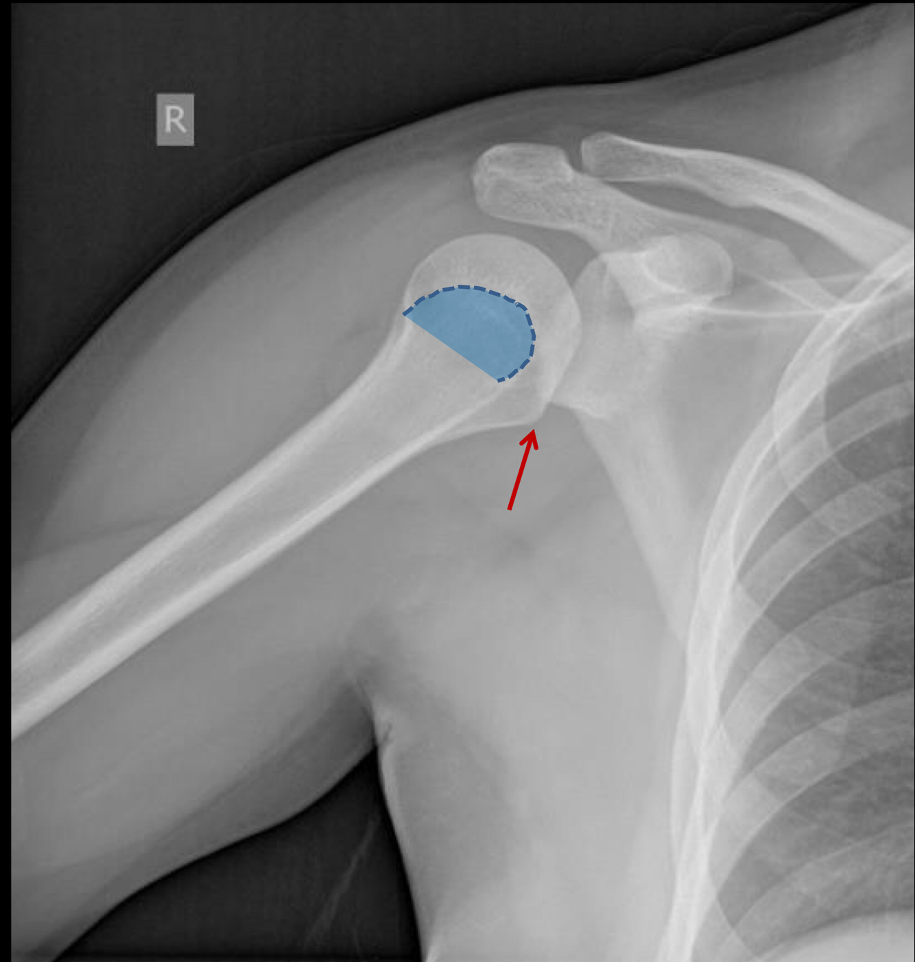
What view is this?

AP shoulder with internal rotation
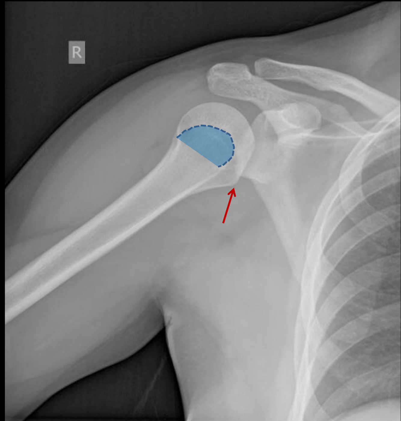
What is the red arrow pointing to?

lesser tuberosity of the humerus (will be medial and in profile with internal rotation)
What is the blue area outlinging?

greater tuberosity of the humerus (will be superimposed with internal rotation)
1?

superior margin of trapezius muscle
2?

lateral margin of deltoid muscle
3?

greater tuberosity of the humerus
4?

lesser tuberosity of the humerus
5?

humeral head
6?

medial margin of humeral metaphysis
7 (dotted purple line)?

anatomical neck of humerus
8 (green dotted line)?

surgical neck humerus
9?

deltoid tuberosity
10?

acromioclavicular joint space
11 (dark green line)?

conoid tubercle
12?

trapezoid line or ridge of clavicle
1?

acromion
2?

inferior margin of acromion process
3 (dark red line)?

superior margin of the spine of scapula
4 (light red line)?

base of spine of scapula
5?

superior angle of scapula
6?

superior angle of scapula