Anatomia hepática Flashcards

(9 cards)

1
Q

Abdome: anatomia hepática

Estrutura anatômica divide o fígado em lobo direito e esquerdo?

A

Ligamento falciforme.

A divisão anatômica é feita pelo ligamento falciforme, que não corresponde à divisão funcional vascular.

How well did you know this?
1
Not at all
2
3
4
5
Perfectly
2
Q

Abdome: anatomia hepática

Porta hepatis, conteúdo? (3)

A

Entrada/saída de:
1. Veia porta;
2. Artéria hepática;
3. Ducto biliar;
Localizada anterior ao lobo caudado.

How well did you know this?
1
Not at all
2
3
4
5
Perfectly
3
Q

Abdome: anatomia hepática

Plano divide o fígado em fígado direito e esquerdo funcionais (segmentação de Couinaud)?

A

A linha de Cantlie vai da fossa da vesícula biliar à veia cava inferior, seguindo a veia hepática média.

How well did you know this?
1
Not at all
2
3
4
5
Perfectly
4
Q

Abdome: anatomia hepática

É utilizado como principal referência para a segmentação de Couinaud?

A

Veia porta.

A veia porta divide o fígado em segmentos supraportal e infraportal.

As veias hepáticas definem os planos verticais.

How well did you know this?
1
Not at all
2
3
4
5
Perfectly
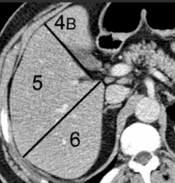
5
Q

Abdome: anatomia hepática

Segmentos hepáticos existem segundo Couinaud?

A

Oito segmentos (I a VIII).

Cada segmento é funcionalmente independente, com:

Ramo portal

Artéria hepática

Ducto biliar próprios

How well did you know this?
1
Not at all
2
3
4
5
Perfectly
6
Q

Abdome: anatomia hepática

Achado anatômico vascular é típico do segmento I (caudado) na TC/RM?

A

Drenagem venosa direta para a veia cava inferior.

Por isso, o segmento I pode permanecer preservado ou hipertrofiar em doenças difusas hepáticas.

How well did you know this?
1
Not at all
2
3
4
5
Perfectly
7
Q

Abdome: anatomia hepática

Vesícula biliar está em relação direta com qual (is) segmento (s) hepático (s)?

A

A fossa da vesícula biliar localiza-se entre os segmentos IVB e V, mais associada ao V.

How well did you know this?
1
Not at all
2
3
4
5
Perfectly
8
Q

Abdome: anatomia hepática

Ligamentos hepáticos?

A

Falciforme: separa recessos subfrênicos
Coronários: fixam ao diafragma
Triangulares: fixação superior
Ligamento redondo: remanescente da veia umbilical
Omento menor: ligação com estômago e duodeno

How well did you know this?
1
Not at all
2
3
4
5
Perfectly
9
Q

Abdome: anatomia hepática

Fígado normal na TC/US/Doppler/RM?

A

TC: Fígado ~10 HU > baço (sem contraste)

US: Ecogenicidade semelhante ou levemente maior que rim
Hepatomegalia: >15,5 cm (controverso)
Superfície lisa

Doppler: Porta: parede ecogênica
Hepáticas: sem parede visível

RM: T1: levemente hiperintenso vs músculo;
T2: hipointenso vs baço.

How well did you know this?
1
Not at all
2
3
4
5
Perfectly