Cólon e reto Flashcards

(67 cards)

1
Q

Abdome: cólon e reto

Espessura normal da parede cólica?

A

1–2 mm quando distendida e 3–4 mm quando colapsada.

Espessamento parietal cólico.
How well did you know this?
1
Not at all
2
3
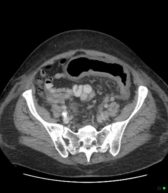
4
5
Perfectly
2
Q

Abdome: cólon e reto

HD?

A

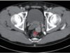
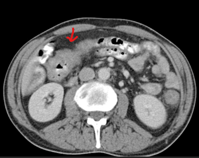
Apendagite epiplóica.

Massa ovalada de densidade gordurosa ao lado do cólon (1,5–3,5 cm), Halo periférico hiperdenso (sinal do anel hiperatenuante, 1–3 mm). Localização clássica: aspecto anterior do sigmoide ou descendente.

How well did you know this?
1
Not at all
2
3
4
5
Perfectly
3
Q

Abdome: cólon e reto

Apêndice epiploico?

A

Projeções de gordura subserosa revestidas por peritônio que localizam-se na superfície do cólon. Duas fileiras: Medial (taenia libera); Póstero-lateral (taenia omentalis).

Normalmente invisíveis nos exames. Podem ser visualizadas se rodeadas por contraste, ascite ou hemoperitônio

How well did you know this?
1
Not at all
2
3
4
5
Perfectly
4
Q

Abdome: cólon e reto

Suprimento sanguíneo do apêndice epiploico?

A

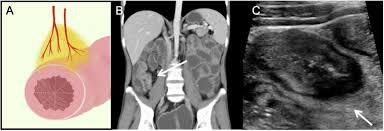
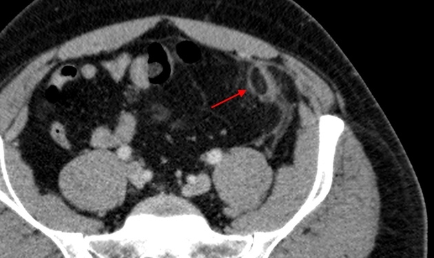
1 a 2 pequenas artérias perfurantes vindas da serosa colônica. Essas perfurações são também locais propensos a surgimento de divertículos.

(Torção com oclusão venosa ou arterial levam à apendagite)

(seta) – apêndices epiploicas normais delineadas por ascite (*).
How well did you know this?
1
Not at all
2
3
4
5
Perfectly
5
Q

Abdome: cólon e reto

V ou F?

Apendagite epiploica comumente evolui com complicações como: aderência, obstruções intestinais, intestinais, intussecepção, corpo livre intraperitoneal, peritonite e/ou abscessos.

A

Falso.

Apendagite epiploica tem um quadro auto-limitado e raramente evolui com complicações como: aderência, obstruções intestinais, intestinais, intussescepção, corpo livre intraperitoneal, peritonite e/ou abscessos.

How well did you know this?
1
Not at all
2
3
4
5
Perfectly
6
Q

Abdome: cólon e reto

Paciente pós QT. HD?

A

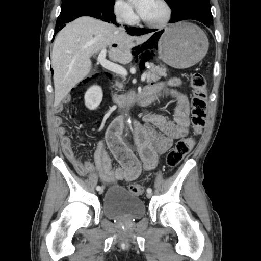
Tiflite (enterocolite neutropênica).

Espessamento da parede do ceco, estrias na gordura pericecal , pneumatose intestinal (gás na parede intestinal) em paciente imunossuprimido.

How well did you know this?
1
Not at all
2
3
4
5
Perfectly
7
Q

Abdome: cólon e reto

Locais de acometimento da tiflite? (3)

A
  1. Ceco (mais frequente);
  2. Cólon ascendente;
  3. Íleo terminal.
How well did you know this?
1
Not at all
2
3
4
5
Perfectly
8
Q

Abdome: cólon e reto

Paciente em uso crônico de Clindamicina, se apresentou no PS. HD?

A

Colite pseudomembranosa.

Espessamento parietal, sinal do acordeão (contraste entre as haustra espessadas e conteúdo).
Envolvimento colônico difuso (mas 30-40% poupam o lado direito). Reto acometido em 90-95%.
Ocorre após uso de antibióticos ou imunossupressão (dentro de 6 semanas).

How well did you know this?
1
Not at all
2
3
4
5
Perfectly
9
Q

Abdome: cólon e reto

Paciente com histórico de colite pseudomembranosa. HD?

A

Megacólon tóxico.

Complicação aguda e grave da colites inflamatórias, com: perda do tônus neurogênico do cólon, dilatação colônica grave não obstrutiva, alto risco de perfuração.

How well did you know this?
1
Not at all
2
3
4
5
Perfectly
10
Q

Abdome: cólon e reto

Agente etiológico da colite pseudomembranosa?

A

Clostridium difficile.

Bactéria anaeróbica Gram-positiva.
Produz toxinas A e B (principalmente B).

How well did you know this?
1
Not at all
2
3
4
5
Perfectly
11
Q

Abdome: cólon e reto

Doenças que podem complicar com megacólon tóxico? (10)

A
  1. Retocolite ulcerativa (mais comum);
  2. Doença de Crohn;
  3. Colite infecciosa
      * Clostridioides difficile (colite pseudomembranosa)
      * Outras bactérias (ex: Salmonella, Shigella, Campylobacter);
  4. Colite neutropênica;
  5. Colite isquêmica;
  6. Colite actínica (por radiação);
  7. Linfoma colônico;
  8. Doença do enxerto contra hospedeiro (GVHD);
  9. Hipotireoidismo severo (megacólon mixedematoso);
  10. Doença de Hirschsprung (em neonatos/lactentes).
How well did you know this?
1
Not at all
2
3
4
5
Perfectly
12
Q

Abdome: cólon e reto

Paciente no PO de cirurgia ortopédica. HD?

A

Pseudobstrução Colônica (Síndrome de Ogilvie).

Distensão aguda do cólon por redução da atividade parassimpática do intestino grosso, leva à perda do peristaltismo colônico, frequentemente pós-operatório.
Mais comum em homens > 60 anos.
Ocorre em pacientes graves ou hospitalizados.

How well did you know this?
1
Not at all
2
3
4
5
Perfectly
13
Q

Abdome: cólon e reto

Paciente em tratamento de câncer de bexiga .HD?

A

Colite actínica.

Pode ocorrer durante ou após poucas semanas de exposição à radiação. Quadro clínico: diarreia auto-limitada. Diagnóstico é clínico)
TC (achados inespecíficos):
* Espessamento parietal inespecífico;
* Densificação da gordura adjacente;

How well did you know this?
1
Not at all
2
3
4
5
Perfectly
14
Q

HD?

A

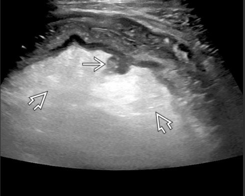
Diverticulite.

Diverticulite aguda à esquerda com aumento acentuado da ecogenicidade da gordura ao redor de um divertículo.

How well did you know this?
1
Not at all
2
3
4
5
Perfectly
15
Q

Abdome: cólon e reto

V ou F?

A maioria dos pacientes com diverticulose evoluem para diverticulite.

A

Falso.

A minoria dos pacientes com diverticulose evoluem para diverticulite (15-20%).

How well did you know this?
1
Not at all
2
3
4
5
Perfectly
16
Q

Abdome: cólon e reto

A maioria dos pacientes com diverticulose tem doença no cólon ______(direito/esquerdo), porém a do cólon _______(direito/esquerdo) é frequente em pacientes asiáticos (43%-50%).

A

Esquerdo; direito.

Diverticulose cólica (seta reta). Hipertrofia da camada muscular (seta curva)
How well did you know this?
1
Not at all
2
3
4
5
Perfectly
17
Q

Abdome: cólon e reto

A __________ (doença de Crohn/retocolite ulcerativa) envolve todas as camadas intestinais, podendo resultar em fístulas.
A __________(doença de Crohn/retocolite ulcerativa) tem inflamação confinada à mucosa e submucosa do intestino grosso.

A

Doença de Crohn; retocolite ulcerativa.

Fístula entre alças de intestino delgado em paciente com Crohn; a alta resolução de partes moles da RM ajuda a delimitar melhor fístulas pequenas.
How well did you know this?
1
Not at all
2
3
4
5
Perfectly
18
Q

Abdome: cólon e reto

A __________ (doença de Crohn/retocolite ulcerativa) apresenta envolvimento extenso do cólon direito e delgado, podendo ocorrer da boca ao ânus.
A __________ (doença de Crohn/retocolite ulcerativa) afeta tipicamente o cólon descendente de forma difusa, raramente envolvendo isoladamente o cólon direito.

A

Doença de Crohn; retocolite ulcerativa.

How well did you know this?
1
Not at all
2
3
4
5
Perfectly
19
Q

Abdome: cólon e reto

A __________ (doença de Crohn/retocolite ulcerativa) apresenta espessamento parietal que pode ser difuso e simétrico.

A

Retocolite ulcerativa.

How well did you know this?
1
Not at all
2
3
4
5
Perfectly
20
Q

Abdome: cólon e reto

Na __________ (doença de Crohn/retocolite ulcerativa)pode-se apresentar espessamento parietal excêntrico e segmentar, com áreas salteadas e o espessamento parietal é mais acentuado (11-13 mm).

A

Doença de Crohn.

Espessamento parietal do íleo terminal na doença de Crohn.
How well did you know this?
1
Not at all
2
3
4
5
Perfectly
21
Q

Abdome: cólon e reto

A __________ (doença de Crohn/retocolite ulcerativa) apresenta o sinal do halo por depósito de gordura submucosa. A __________ (doença de Crohn/retocolite ulcerativa) apresenta fibroproliferação adiposa mesentérica, achado quase exclusivo.

A

Retocolite ulcerativa; doença de Crohn.

Proliferação adiposa mesentérica na doença de Crohn.
How well did you know this?
1
Not at all
2
3
4
5
Perfectly
22
Q

Abdome: cólon e reto

A __________ (doença de Crohn/retocolite ulcerativa) pode apresentar envolvimento assimétrico, geralmente na borda mesenterial, levando à formação de pseudodivertículos.

A

Doença de Crohn.

Pseudodivertículos/saculações na borda antimesenterial.
How well did you know this?
1
Not at all
2
3
4
5
Perfectly
23
Q

Abdome: cólon e reto

A __________ (doença de Crohn/retocolite ulcerativa) tem linfonodopatia mesentérica mais comum, costuma apresentar abscessos quase exclusivamente e pode apresentar fístulas.

A

Doença de Crohn.

Espessamento parietal do íleo terminal e abscesso do íleo psoas na doença de Crohn.
How well did you know this?
1
Not at all
2
3
4
5
Perfectly
24
Q

Abdome: cólon e reto

Paciente com histórico de transplante de medula óssea. HD?

A

Graft versus host disease (Reação enxerto x hospedeiro).

Halo de hipoatenuação dentro da parede intestinal.
Alterações inflamatórias no mesentérion
Em relação à DC ou enterite actínica, a reação enxerto x hospedeiro tem maior extensãon

How well did you know this?
1
Not at all
2
3
4
5
Perfectly
25
# Abdome: cólon e reto **Câncer colorretal** Prevalência?
2º câncer mais prevalente em homens e mulheres conjuntamente (exceto pele não melanoma). 2ª causa de morte por câncer em países desenvolvidos. No Brasil, 2º câncer mais prevalente no sexo feminino e o 3º no masculino. Incidência e mortalidades crescentes, especialmente em regiões mais desenvolvidas. Risco médio de CCR ao longo da vida: 5%; 90%: após os 50 anos de idade.
26
# Abdome: cólon e reto **Câncer colorretal** Fatores de risco?
1. História familiar de CCR ou adenomas; 2. Doença inflamatória intestinal (retocolite ulcerativa e doença de Crohn); 3. Síndromes de CCR hereditárias; 4. Fatores dietéticos e ambientais – estudos controversos. Cerca de 75%: esporádicos – sem fatores de risco conhecidos
27
# Abdome: cólon e reto **Câncer colorretal** **V ou F?** A FAP (Adenomatose Polipóide Familiar) é uma doença hereditária autossômica com alta penetrância: mutação do gene APC, caracterizada por múltiplos adenomas esparsos: jovens (20 a 30 anos) e o câncer colorretal é inevitável, realizando-se colectomia total profilática.
Verdadeiro.
28
# Abdome: cólon e reto Câncer colorretal hereditário não polipóide (HNPCC) - Sindrome de Lynch, critérios de Amsterdam? (3)
1. Três ou mais familiares com CCR comprovado, um dos quais parentes de primeiro grau dos outros dois; 2. CCR em pelo menos duas gerações; 3. Um ou mais casos de CCR diagnosticado < 50 ano.
29
# Abdome: cólon e reto HNPCC é uma doença autossômica ___________(dominante/recessiva) de alta penetrância, mutação dos genes de reparo do DNA (hMLH1 e hMSH2), risco de CCR __(10%/80%) tumores _____(mais/menos) diferenciados, células em anel de sinete. 70% proximal à flexura esplênica.
Dominante; 80%, menos.
30
# Abdome: cólon e reto História natural CCR?
1. Início com pólipos adenomatosos; 2. Transformação adenoma-carcinoma: Essa progressão pode levar de 5 a 10 anos. Durante esse tempo, alterações genéticas e moleculares acumulam-se até o pólipo se transformar em um câncer invasivo. 3. Crescimento local: O tumor invade camadas mais profundas da parede intestinal. 4. Disseminação regional: Há invasão de linfonodos regionais. 5. Metástase à distância: Fígado e pulmões são os locais mais comuns.
31
# Abdome: cólon e reto A colonografia por TC (CTC) vem sendo implementada para rastreamenteo do CCR. Vantagens? (5)
1. Minimamente invasiva; 2. Rápida; 3. Sem sedação; 4. Mínimo risco de complicações (perfurações / complicações cardiovasculares); 5. Sensibilidade aceitável em relação à colonoscopia para diagnóstico de pólipos clinicamente significantes e câncer colorretal (CCR)
32
# Abdome: cólon e reto **V ou F?** Para CCR e pólipos grandes (≥10 mm), a CTC oferece desempenho comparável à colonoscopia. Para pólipos intermediários (6–9 mm) e especialmente os menores, a colonoscopia continua superior.
Verdadeiro.
33
# Abdome: cólon e reto Subtipos pólipos colorretais? (4)
1. Adenomas: 50% dos pólipos colorretais; 2. Pólipos hiperplásicos / serrilhados: 30%; 3. Pólipos mucosos: 10%; 4. Outros: 10% - pólipos juvenis e inflamatórios, lesões polipoides submucosas (lipomas, tu carcinoides), GIST, lesões serosas. | (Por métodos de imagem, difícil diferenciação) ## Footnote Adenomas e pólipos serrilhados (sessis ou tradicionais) são os principais pólipos pré-CCR.
34
# Abdome: cólon e reto Localização do CCR?
1. Ceco (10%); 2. Ascendente (15%); 3. Transverso (15%); 4. Descendente (5%); 5. **Sigmoide (35%)**; 6. Reto (20%).
35
# Abdome: cólon e reto Morfologia do CCR?
1. Precoce: tumor séssil ou pediculado; 2. Avançado:   * lesão vegetante   * espessamento parietal irregular, curto, abrupto   * assimétrico, semianular ou circunferencial (anular), massa expansiva.
36
# Abdome: cólon e reto Estadiamento T do CCR? (5)
* Tis: carcinoma in situ (intraepitelial ou invasão apenas da lâmina própria); * T1: invasão da submucosa; * T2: invasão da muscular própria; * T3: invasão além da muscular própria até a subserosa ou até tecidos pericólicos/perirretais sem atingir outros órgãos * T4: T4a: penetração da superfície visceral do peritônio (serosa); T4b: invasão direta ou adesão a outras estruturas ou órgãos adjacentes;
37
# Abdome: cólon e reto Estadiamento linfonodal locorregional do CCR? (3)
* N0: nenhum linfonodo acometido; * N1: metástase em 1 a 3 linfonodos; * N2: metástase em 4 ou mais linfonodos.
38
# Abdome: cólon e reto Estadiamento M (metástases) do CCR? (5)
* M0: ausência de metástase à distância; * M1: presença de metástase à distância: M1a: metástase em um único órgão ou local (ex: fígado, pulmão, ovário) M1b: metástases em mais de um órgão/local ou no peritônio; M1c: metástases peritoneais com ou sem outras metástases.
39
# Abdome: cólon e reto Aspectos relevantes gerais do tumor neuroendócrino/carcinoide? (5)
1. Neoplasias bem diferenciadas – células endócrinas; 2. Metabólitos ativos (peptídeos / aminas); 3. Sintomas clínicos específicos; 4. Potencial maligno variável (baixo – alto grau); 5. Maioria esporádica. Pode haver associação com síndromes endócrinas familiares (NEM / NF1)
40
# Abdome: cólon e reto Sítios mais comuns do tumor neuroendócrino/carcinoide? (5)
1. Apêndice (35%); 2. Íleo (16%); 3. Pulmão (14%); 4. Reto (13%); 5. Cólon (2-3%).
41
# Abdome: cólon e reto Aspectos de imagem na TC/RM do tumor neuroendócrino/carcinoide?
1. Lesão hipervascularizada; 2. Pequenas: nodular, bem delimitadas (+ freq. no reto); 3. Grandes: infiltrativas (semelhante adenocarcinoma) (+ freq. Cólon dir); 4. Reação desmoplásica; 5. Linfonodomegalia; 6. Focos de calcificação.
42
# Abdome: cólon e reto Em relação ao cólon, o tumor neuroendócrino/carcinoide é mais frequente no _______(direito/esquerdo) e são praticamente indistingúiveis na imagem ao adenocarcinoma.
Direito.
43
# Abdome: cólon e reto Diagnósticos diferencial de mucocele (dilatação cística do apêndice causada pelo acúmulo de muco,)?
1. Hiperplasia; 2. Cistoadenoma / cistoadenocarcinoma; 3. Estenoses inflamatórias; 4. Endometriose; 5. Tumor neuroendócrino.
44
# Abdome: cólon e reto Maioria dos GIST do TGI são ________ (benignos/malignos) e a maioria dos GIST colônicos e retais são _______ (benignos/malignos).
Benignos; malignos.
45
# Abdome: cólon e reto Características de malignidade dos GISTs?
1. > 5 cm; 2. Margens mal definidas; 3. Realce heterogêneo. ## Footnote Caracteristicamente inespecíficos à imagem de outros tumores.
46
# Abdome: cólon e reto **Câncer de reto** Vantagens da RM em relação ao usg endorretal? (5)
1. Permite avaliação de lesões no reto alto; 2. Maior campo de visão; 3. Avaliação de lesões estenosantes; 4. Exame indolor; 5. Método menos examinador dependente.
47
# Abdome: cólon e reto **Câncer de reto** Papel dos exames de imagem?
1. Seleção dos pacientes candidatos à terapia neoadjuvante; 2. Identificação de fatores de mal prognóstico; 3. Seleção dos pacientes que precisam de terapia mais agressiva; 4. Predizer margem cirúrgica livre; 5. Auxiliar o cirurgião na busca de cirurgia R0 – evitar recidiva local; 6. Seguimento dos pacientes com resposta clínica completa.
48
# Abdome: cólon e reto **Câncer de reto** Fatores de mau prognóstico? (5)
1. Invasão da gordura do mesorreto; 2. Linfonodos acometidos; 3. Invasão venosa extramural; 4. Fáscia mesorretal comprometida; 5. Acometimento peritoneal.
49
# Abdome: cólon e reto **Câncer de reto** Objetivos do tratamento neoadjuvante? (2)
1. Evitar recidiva local: Fator de grande morbidade aos pacientes; Muitas vezes irressecável (doença incurável); Sintomática; Dor óssea de difícil tratamento; Oneroso para o sistema de saúde. 2. Evitar uma cirurgia de amputação de reto (tumores distais).
50
# Abdome: cólon e reto **Câncer de reto** Sequências padrões para avaliação na RM? (6)
1. T2 sagital; 2. T2 axial oblíquo (perpendicular ao eixo do reto/tumor) – alta resolução; 3. T2 coronal oblíquo (paralelo ao eixo do reto); 4. Difusão (DWI) com b0 e b800-1000 ADC map (associado à DWI); 5. T1 axial (opcional); 6. T1 com contraste (opcional; útil em restadiamento ou avaliação hepática).
51
# Abdome: cólon e reto **Câncer de reto** Estadiamento T? (5)
Tis – Carcinoma in situ (intraepitelial ou invasão apenas da lâmina própria); T1 – Invasão da submucosa; T2 – Invasão da muscular própria; T3 – Invasão da subserosa ou tecido perirretal (além da muscular) Pode ser subclassificado por profundidade (T3a (1 mm), T3b ( 5 mm); T3c (5-15mm) T3d (>15 mm); T4a – Invasão do peritônio visceral; T4b – Invasão de órgãos adjacentes (ex: bexiga, útero, próstata);
52
# Abdome: cólon e reto **Câncer de reto** Estadiamento N? (3)
N0: ausência de linfonodos comprometidos; N1: até 3 linfonodos positivos; N2: 4 ou mais linfonodos positivos. ## Footnote Tamanho não é critério; Margens irregulares (S=75%, E=98%); Sinal heterogêneo (S=48%, E=98,6%); Sinal alto e homogêneo (4% de risco).
53
# Abdome: cólon e reto **Câncer de reto** Principal sequência para avaliação na RM?
Axial do reto T2 (axial oblíquo).
54
# Abdome: cólon e reto **Câncer de reto** Limite de margem acometida para cirurgia de ressecção mesorretal?
Fáscia mesorretal. ## Footnote Margem livre: 1mm ou mais. RM tem boa acurácia para isso. Se a lesão ultrapassa a fáscia mesorretal, isso indica pior prognóstico e pode mudar o plano terapêutico (ex.: necessidade de tratamento neoadjuvante).
55
# Abdome: cólon e reto O tumor do ______ (reto baixo/canal anal) geralmente é um adenocarcinoma, enquanto o tumor do ______ (reto baixo/canal anal) é mais comumente um carcinoma escamoso.
Reto baixo; canal anal. ## Footnote Reto baixo é revestido por epitélio glandular, predispondo ao adenocarcinoma, enquanto o canal anal possui epitélio escamoso, favorecendo o carcinoma escamoso.
56
# Abdome: cólon e reto A anatomia do ______ (reto baixo/canal anal) está acima da linha pectínea.
Reto baixo.
57
# Abdome: cólon e reto A principal terapia inicial do câncer de ______ (reto baixo/canal anal) é quimiorradioterapia, sem cirurgia. O câncer de ______ (reto baixo/canal anal) frequentemente exige cirurgia com amputação do reto.
Canal anal; reto baixo.
58
# Abdome: cólon e reto Sobre esfíncteres da região perianal, o esfíncter ______ (interno/externo) é formado por músculo liso e tem controle involuntário, enquanto o esfíncter ______ (interno/externo) é formado por músculo estriado e tem controle voluntário.
Interno; externo
59
# Abdome: cólon e reto Estruturas musculares e espaços anatômicos da região anal? (6)
1. Esfíncter interno do ânus; 2. Esfíncter externo do ânus; 3. Espaço interesfintérico: entre os esfíncteres interno e externo; importante na disseminação de abscessos; 4. Músculo levantador do ânus: especialmente o músculo puborretal, que participa da continência fecal formando o ângulo anorretal; 5. Fossas isquiorretais (ou isquioanais): espaços preenchidos por gordura, localizados lateralmente ao canal anal, que permitem a expansão durante a defecação; 6. Criptas de Morgagni e linha pectínea (dentada): referências anatômicas importantes entre a mucosa e a pele do canal anal, determinando transição epitelial e vascular.
60
# Abdome: cólon e reto Fisiopatologia dos abscessos anorretais?
A maioria dos abscessos anorretais (perianais ou perirretais) tem origem na infecção das glândulas anais (glândulas de Hermann e Desfosses), localizadas na cripta de Morgagni, na linha pectínea. Grande parte evoluem para fístulas.
61
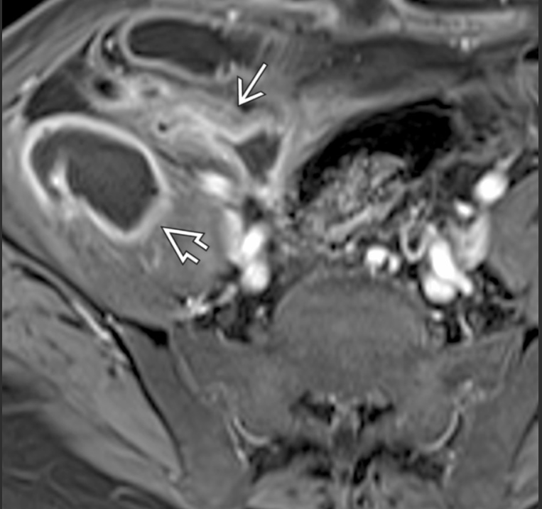
# Abdome: cólon e reto Etiologia das fístulas anorretais?
1. Infecção criptoglandular (>90%); 2. Doença de Crohn; 3. Tuberculose; 4. Radioterapia pélvica; 5. Trauma ou cirurgias anorretais; 6. Corpos estranhos; 7. Câncer anorretal; 8. Infecções específicas (ex.: actinomicose, clamídia).
62
# Abdome: cólon e reto Papel da RM na avaliação das fístulas? (3)
1. Identificação e descrição detalhada dos trajetos fistulosos; 2. Caracterização de trajetos secundários e abscessos; 3. Relação da fístula e o aparelho esfincteriano; 4. Auxiliar no planejamento do tratamento cirúrgico; 5. Reduzir recorrências; 6. Evitar incontinência fecal.
63
# Abdome: cólon e reto Preparo para RM para as fístulas anorretais?
1. Aparelhos de 1.5T ou 3T; 2. Bobinas de superfície: sem bobina endorretal; 3. Não necessita preparo intestinal; 4. Buscopan; 5. Protocolo dirigido para a região perianal; 6. Contraste;
64
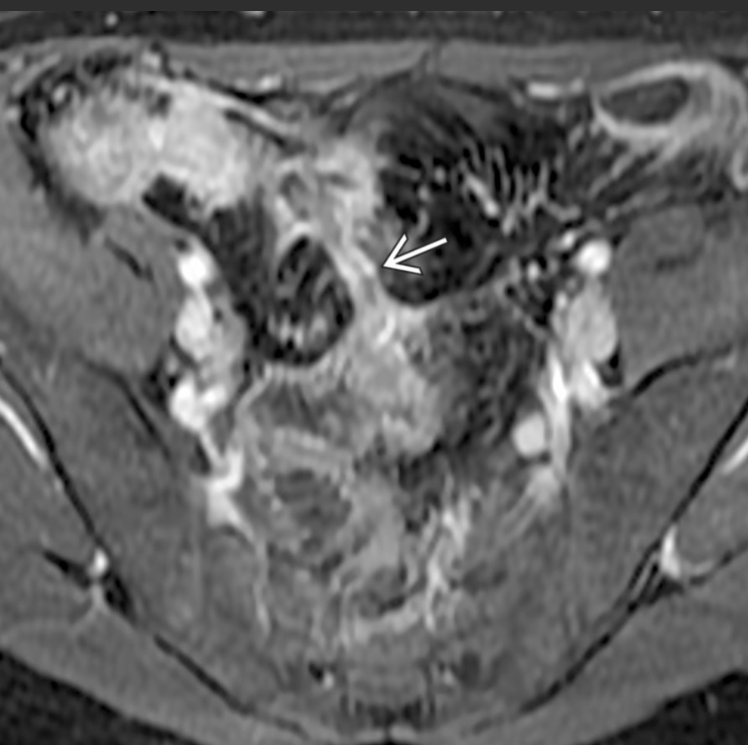
# Abdome: cólon e reto Protocolo para RM para as fístulas anorretais? (6)
1. T2 axial sem Fat Sat: Plano: axial angulado no eixo do canal anal; Utilidade: ótima para avaliar trajeto fistuloso, músculos esfíncteres e coleções; 2. T2 axial com Fat Sat (STIR ou Fat Sat): Plano: axial angulado; Utilidade: evidencia melhor o trajeto da fístula e abscessos devido ao alto contraste entre líquido/inflamação e gordura; 3.T1 FSE axial pós-contraste com supressão de gordura: Plano: axial angulado; Utilidade: realce do trajeto fistuloso ativo e abscessos; 4. T2 coronal sem Fat Sat: Plano: coronal angulado no eixo longitudinal do canal anal; Utilidade: avaliação longitudinal do trajeto fistuloso, relação com o reto e musculatura; 5. T2 coronal 3D sem Fat Sat: Plano: coronal oblíquo Utilidade: reconstruções multiplanares, ótima definição anatômica 6. – Difusão (DWI)/ADC: Plano: geralmente axial Utilidade: pode ajudar a identificar abscessos por restrição à difusão.
65
# Abdome: cólon e reto Tópicos a serem caracterizados no relatório da RM de fístulas perianais? (9)
1. Classificação da fístula; 2. Localização radial e distância do orifício interno à borda anal; 3. Descrever trajetos secundários; 4. Atividade inflamatória; 5. Presença de abscessos; 6. Integridade da musculatura esfincteriana e do septo retovaginal; 7. Proctite; 8. Estenose anorretal; 9. Associação com câncer.
66
# Abdome: cólon e reto Classificação de Parks das fístulas perianais de acordo com a RM? (4)
1. Interesfincteriana – trajeto entre os esfíncteres interno e externo, o mais comum; 2. Transesfincteriana – atravessa o esfíncter externo em direção à fossa isquiorretal; 3. Supraesfincteriana – sobe acima do esfíncter externo e desce para a fossa isquiorretal; 4. Extraesfincteriana – não passa pelos esfíncteres; vai do reto diretamente à pele perianal; Temos ainda a superficial – trajeto raso, sem envolvimento dos esfíncteres (dd fissuras).
67
# Abdome: cólon e reto "Relógio anal" na avaliação e descrição de fístulas anorretais?
Convenção usada para descrever a localização de fístulas anorretais. ## Footnote Ex: A fístula tem abertura interna às 6h e se estende com trajeto secundário até as 9h,